都以为牙齿是人体最坚固的部分之一,就像是一根深深钉在墙上的铁钉。但其实随着年龄的增长,很多老年人由于生理退化等原因会出现牙齿松动的现象。
但现在很多年轻人嘴里的牙也开始“摇摇欲坠”,出现松动了,这是什么原因引起的呢?出现松动的牙是不是保不住了?

牙齿出现松动的原因有很多,但总的来说,可以分成生理性和病理性两大类。
生理性原因
也就是牙齿和牙周组织是健康的,没有发生病变,但牙齿可能因为机械性外力或其他原因出现松动。
1. 外力撞击:用牙啃硬物、摔跤、打架、车祸等情况,都可能*力暴**伤及牙齿,使牙齿出现疼痛、松动,甚至脱落等现象;
2. 磨牙:平时牙齿就负责咀嚼食物,如果在睡觉时还要前后左右磨动它们,就会给牙齿额外添加很大的压力,长期下来,可能导致牙齿松动;
3. 其他原因:女性在妊娠期、月经期或长期口服激素类避孕药的情况下,激素水平发生变化,牙齿的松动度也可能增加。除此之外,还有幼儿换乳牙、老年牙齿退化等情况。

病理性原因
也就是说,牙齿或牙周组织发生了病变。
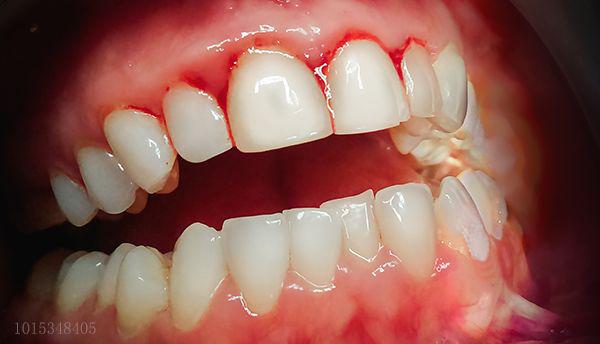
1. 牙周疾病:大部分牙齿松动都是牙周疾病引起的,例如侵袭性牙周炎、妊娠期牙龈炎、慢性牙周炎等,随着病情的深入,会出现牙龈萎缩,牙槽骨吸收的现象,当吸收达到一定程度后,就会导致牙齿松动;
2. 深龋:严重的龋齿会烂到牙根,此时牙髓被感染,出现根尖脓肿、根尖周炎等就可能导致牙齿松动;
3. 其他疾病:口腔肿瘤、坏死性牙龈炎、维生素缺乏症、糖尿病等都可能对牙龈和牙周组织造成不良影响,使牙齿发生松动。

病理性的牙齿松动还有救吗?是不是只能拔牙了?
如果牙齿松动在可修复范围,一般是不会优先选择拔掉牙齿的。
治疗病理性牙齿松动,大部分都要从牙龈萎缩的康复入手。根据病情的不同,采取的手段有洗牙、龈下刮治、牙周手术、根管治疗等。
如果牙齿松动非常严重,医生就会建议先拔除再进行修复,否则留着松动的牙齿还可能影响旁边相对健康的牙齿。

想要预防牙齿松动,最主要的环节是预防牙周疾病的发生,因此在日常生活中应做好口腔卫生,定期洗牙,定期检查。
一旦出现了牙齿松动的现象,应该尽早干预,及时到医院诊断,弄清楚是什么原因造成的,需要治疗的就配合医生进行治疗,以免耽误病情。