精子要和卵子“相会”,要过 4关:即通过阴道,穿过子宫颈,在宫腔内运行,最后进入输卵管同卵子 “相会”,宫颈这个管口是起跑线。
在正常情况下,*生活性**数分钟后精子可以进入子宫颈管,正常阴道内环境呈酸性,阴道酸性分泌液平常为pH3.5-4,在阴道的酸性环境不利于精子的活动和生存。大部分精子进入阴道就阵亡了,由附睾、精囊腺、前列腺和尿道球腺分泌液混合而成的精浆呈碱性,可以对阴道的酸性液体进行稀释和中和,所以在一定量精液的缓冲下,才有极少数生命力强的精子存活的时间得以延长,获得进入宫颈管的机会,另外宫颈粘液助精子一臂之力:在排卵期,子宫粘液量多而稀薄,便于精子通过;同时宫颈粘液中白细胞数量少,从而减少了吞噬精子的机会;另外,此时子宫颈粘液碱性增强,而精子正是喜碱厌酸,故起到了保护精子的作用。
一般情况下,精子在阴道内的存活时间比较短,*交性**之后2小时,90%死亡。*交性**时精液射进阴道后,大部分积存在阴道后穹窿,宫颈口正好浸泡在这个精液池中。但是如果前位子宫,宫颈口像一个瓶口倒扣在后穹窿,会影响精子进入子宫,如果子宫后位,宫颈上翘,由于精液都在阴道的后穹窿,精子就很难进入子宫了。关于宫颈位置问题影响受孕可以阅读《孕前检查8个月后成功受孕》《Candy的好孕报告》。
精子是否能穿过宫颈,与宫颈粘液的生化性质密切相关,宫颈粘液的分泌直接受卵巢分泌的雌激素和孕激素水平的影响。在排卵前期,成熟卵泡分泌大量雌激素,使宫颈粘液变得稀薄,清澈透明如蛋清样,量也增多。其中含有糖、微生素和盐类等营养物质,为精子活动提供能量。
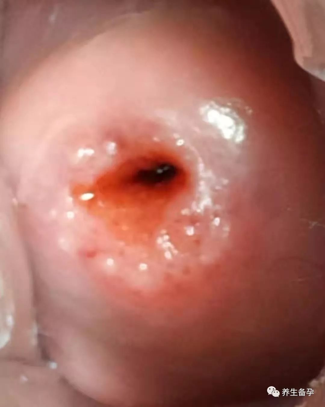
如果备孕女性有阴道炎宫颈炎,白细胞会吞噬精子,使精子还没有起跑就被吞噬了,精子还会被许多稠厚而韧性大的粘液阻塞宫颈外口,导致许多精子不能穿入,被堵在了起跑线上,备孕女性来医院做卵泡监测的时候,我经常会要给病人做一次妇科检查,看一下白带情况和宫颈粘液情况,如果发现有宫颈粘液栓,我会帮助清理。大家可以看以下几篇好孕报告。《笑笑的好孕报告》《好孕记—白带不好也是不孕的原因》《小蘑菇的好孕报告》
下面二张图片是清理宫颈粘液栓前后的照片。


本文已设原创,可以转发,转发时不能编辑修改为原创。