
先天性漏斗胸是一种小儿胸壁骨骼畸形,前胸壁以胸骨为中心向内凹陷,呈漏斗状故而得名。
漏斗胸呈进行性加重发展,会压迫心肺,甚至影响生长发育,影响患者的身心健康。

大部分漏斗胸畸形在婴儿出生后不久就会被发现,治疗漏斗胸的有效方法是手术,自愈的可能性很小。

国际上评估漏斗胸的畸形指数,普遍使
用 Haller指数,关于漏斗最深点到脊柱前方距离、胸骨最凹陷处层面胸廓的最大横径。
正常人的 HI 平均指数是 2.52,漏斗胸患者则超过 3.2,大于 3.5 为重度漏斗胸,3.25 到 3.5 为中度,小于 3.25 为轻度。
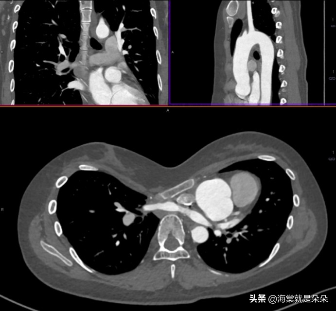
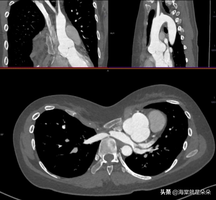
这个女孩20岁才来就诊,Haller指数达到了16!胸骨体都快贴到胸椎了!心脏大血管受压迫移到左边,主动脉窦膨大!
她是体检超声怀疑主动脉瘤的,吓哭了。但是这个漏斗胸确实已经发展到影响器官发育和功能了。需要做手术。




漏斗胸是一种有遗传倾向的先天性疾病,不是什么缺钙引起的,父母要予以重视,不要随便去补钙啥的。
如果不管它,会越来越严重,像这个女孩发展到影响心肺正常功能,而且还会对孩子的心理健康造成不良影响。