今天一大早来到医院,手机收到一条微信消息提醒,一看是一位患者发来的他在健身的照片,看着他的照片中的笑容和精神抖擞的样子,你一定想不到他已经82岁了,他在13年前曾经做过PCI手术(PCI是指经由心导管技术来疏通狭窄甚至闭塞的冠脉管腔来改善心肌的血流灌注的治疗方法)。

其实从来没有刻意的去记着曾经救治过的病人的名字或者样子,但是在我几十年的从医生涯中,有很多病人是让人难以忘却的。
就像上图中的这位阿伯就让我非常的印象深刻:阿伯是一个地地道道的广州人,他2006年在外院体检时发现了腹主动脉瘤,但是外院没有办法处理这个问题,于是阿伯就转到了广东省人民医院,当时的阿伯已经69岁了,一般来说,到了这个年龄都是退休在家,但是阿伯在入院之前还在做保安的工作,而且平时非常喜欢健身,尤其喜欢举重运动。据阿伯当时自己描述说,他平时在做举重时,除了肚子有蹦蹦跳的感觉外,胸口也总是闷闷的,不是很痛快。
检查结果出来,替患者捏了一把汗
听到他说的对于肚子蹦蹦跳的感觉,我们知道,这可能是腹主动脉瘤引起的。而对于胸口闷闷的症状,我们考虑可能是冠脉狭窄引起的。说到这,我就不得不提一点,在临床上,有些患者的心绞痛症状不是很明显,但是血管狭窄却非常严重;而有些患者的心绞痛症状非常严重,但是血管狭窄却不是那么严重。综合考虑后,我们估计这个患者可能属于是前一种情况,于是决定对其进行冠脉造影和腹主动脉造影检查。

冠脉造影
冠脉造影结果发现,左主干末段狭窄60%-70%,前降支开口狭窄70%,中段狭窄80%,旋支开口狭窄60%-70%,中段长病变,最重狭窄70%,右冠中段狭窄30%,远段狭窄50%,这个检查结果也说明我们的判断是正确的。

腹主动脉造影
腹主动脉造影发现,腹主动脉中段见一瘤样扩张约50-70mm*30-40mm,右肾动脉近段狭窄60-70%。最终诊断:腹主动脉瘤合并冠状动脉左主干+三支血管病变明确。
治疗方案的选择,不只是内心的纠结
诊断明确了,我们的难题也来了,针对这样的情况,我们该怎么进行下一步治疗呢?
在2006年的时候,虽然也有研究证实左主干病变的PCI治疗是可行的,但是指南中对于左主干病变、多支病变的PCI推荐还是还是比较保守的。如果我们给患者做PCI的话可能会遭受很多质疑。我们在当时就很纠结,到底是选PCI好还是CABG(冠状动脉旁路移植术,也叫做冠脉搭桥术)好呢?
我们心脏团队讨论后,根据患者造影情况制定了五种治疗选择,综合分析后都认为做CABG治疗比较合适。

当左主干狭窄遭遇腹主动脉瘤,5种治疗方案选择
然而,与患者商量时,患者本人却不愿意做外科治疗,因为患者有光膀健身的习惯,他不希望身上有明显的疤痕存在。

患者的选择让我们又再一次纠结了,到底是PCI还是CABG呢?按照当时患者的实际情况,如果我们推给心外科,让心外科做搭桥好像也没有错,但是患者的长期预后会怎样呢?出院后的生活质量能不能保证?以后这个患者还能举重健身吗?会不会因为创伤较大的外科手术,今后患者只能小心翼翼地活下去,而谈不上什么生活乐趣了?回过头来讲,如果给患者做了PCI,当时做左主干病变是有风险的,如果手术不成功,我怎么面对患者和家属?

其实我一直在思考一个问题,在临床研究里,患者的手术成功率和远期预后只是一个数字。但在临床工作中,我们面对的是活生生的人。医学的目的终究是为了人,而不是数字。而且反复看造影,再考虑到合并腹主动脉瘤必须干预,最终我下定决心承担风险,为患者做左主干PCI。
对医生来说,在患者出现风险之前,做一个预防发生风险的手术决策,比患者发生了风险去救他的命,难上加难,这考验医生的担当。
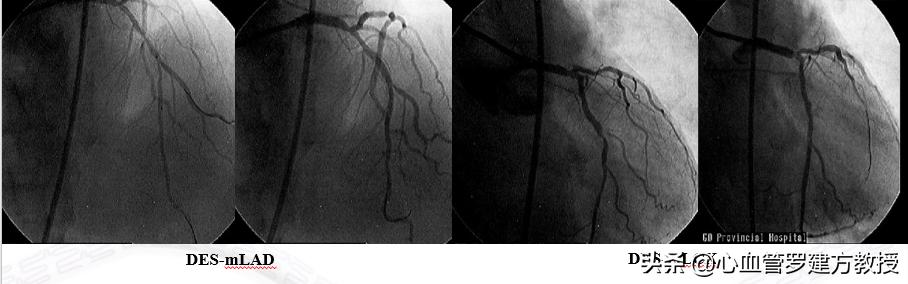
我很清楚地记得,这个患者是2006年12月14日做的PCI,分别干预前降支和回旋支后,采用T支架术在左主干植入了1枚药物支架。

术后给予患者常规双抗治疗,当时的指南中对左主干PCI患者,推荐术后2~3个月应常规行血管造影监测,3个月后,患者复查结果很好,于是停用了双抗,改用低分子肝素进行抗凝治疗,进行了腹主动脉腔内隔绝术,术后继续恢复双抗治疗。
这个患者在PCI术后,虽然我们明确说明了要禁止运动,但是私下里,还是偷偷进行举重运动,很幸运的是,患者的手术非常成功,术后恢复也都非常好。这位患者的依从性也不错,一直遵医嘱服药随访,直到现在。患者现在已经80多岁了,就像他发给我的照片中一样的精神抖擞,健康有力的生活着,还是那样的热爱运动。
现在,每当我见到那快乐而熟悉的笑脸时,一种医患之缘而来的生命亲情,便流淌在我的心底。一个大病,医生的压力并不比患者小。一个治疗方案的抉择,医生的纠结只会比患者更多。纠结,是仁心与风险在搏击,而搏心,是仁术之心的另一种表达。作为医生,要让患者相信我们一定会选择最适合他们的治疗方式。只有双方信任合作,才能给患者带来更长的生命,和更有质量的生活。#我的冬日门诊# #健康科普大赛# #清风计划# #腹主动脉瘤# #头条健康#