点击「神经介入在线」可快速关注

导读
颅内动脉粥样硬化狭窄有合并动脉瘤的情况,动脉瘤的位置常位于狭窄远端,推测其形成与局部管壁病变有关,也与狭窄远端血流动力学的紊乱有关。而椎动脉-基底动脉夹层也常见动脉瘤合并血管狭窄的情况,但后者管壁可见壁间血肿,狭窄可以位于动脉瘤的近端,也可见于远端,有时还呈串珠样改变。本周我们汇报一例基底动脉狭窄合并动脉瘤血管内介入治疗的处理过程,其近端右椎动脉V4段有夹层样改变,亦予以同期处理。
病例详情
病情信息
患者,男性,63岁。主因“头痛1月,发作性头晕伴左侧肢体无力半月”入院。
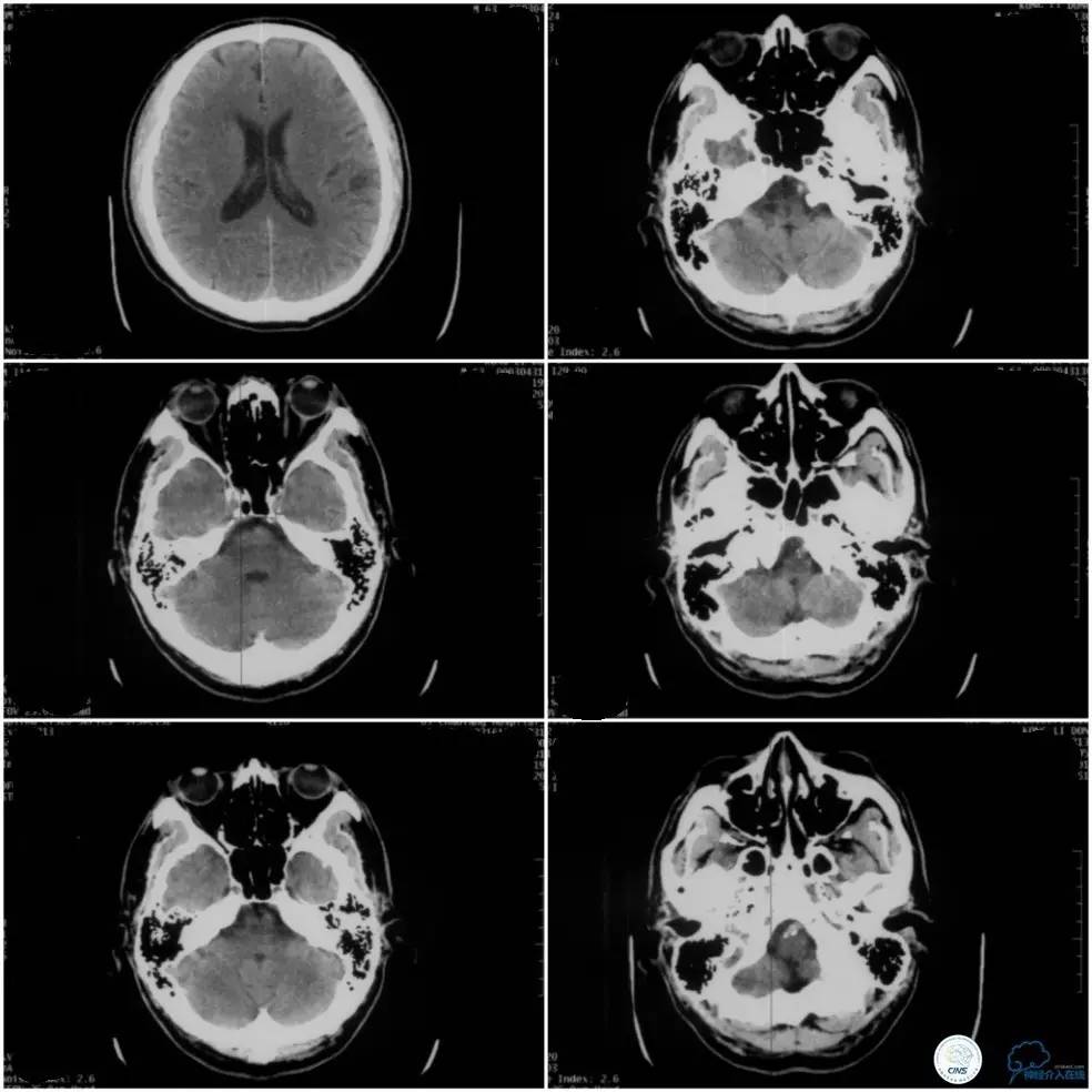
1月前无明显诱因出现后枕部头痛,伴双眼疼痛,以右眼为著,呈胀痛,无视物不清,无肢体活动及意识障碍,后就诊邻近医院眼科查眼底,未能明确诊断,给予对症治疗,症状缓解不明显。至邻近医院就诊查头颅CT示陈旧性脑梗塞,椎基底动脉走行区见钙化病变(图1)。

图1
半月前活动过程中出现头晕,伴视物成双,左颜面部麻木,左肢体麻木无力,上肢持物费力,下肢行走拖曳,10分钟后症状减轻,持续4-5小时后完全缓解。其后4天内患者症状反复发作3次,就诊附近医院,予口服阿司匹林、波立维、阿托伐他汀钙治疗,治疗过程当中仍有头晕发作、左侧肢体麻木。查头颅核磁未见急性梗死病灶。
头颈部CTA示基底动脉及右侧椎动脉V4段狭窄,基底动脉狭窄远端局部管腔扩张(图2)。

图2
为进一步行血管内治疗来我院。
既往有高血压病、2型糖尿病、高脂血症病史。有吸烟、饮酒史。
入院神经系统查体:左侧肢体肌力5-级。左侧肢体及颜面部浅感觉减退。
入院查血栓弹力图:AA 99.6%,ADP 46.5%。
入院后给予双联抗血小板(拜阿司匹林100mg 1/日+波立维 75mg 1/日)及降脂(阿托伐他汀钙 20mg 1/日)、降压、降糖治疗。
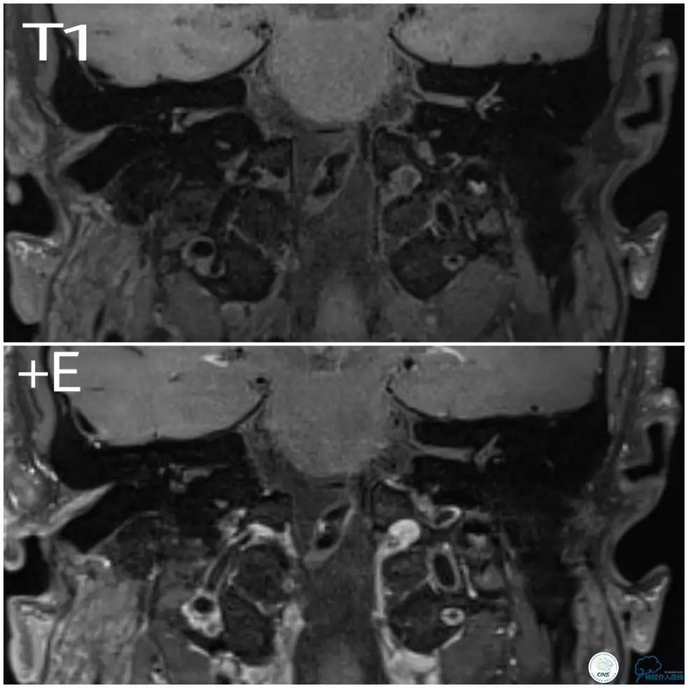
入院后查高分辨核磁:基底动脉局部可见偏心性狭窄,局部可见条状斑块,壁不均匀增厚,管腔内信号增高,注药后可见轻度强化,狭窄远端局部管腔扩张(图3)。右椎V4段略增粗,局部管壁不光滑,可见强化(图4)。左椎动脉显示不清。

图3

图4
DWI序列上未见明显病灶。
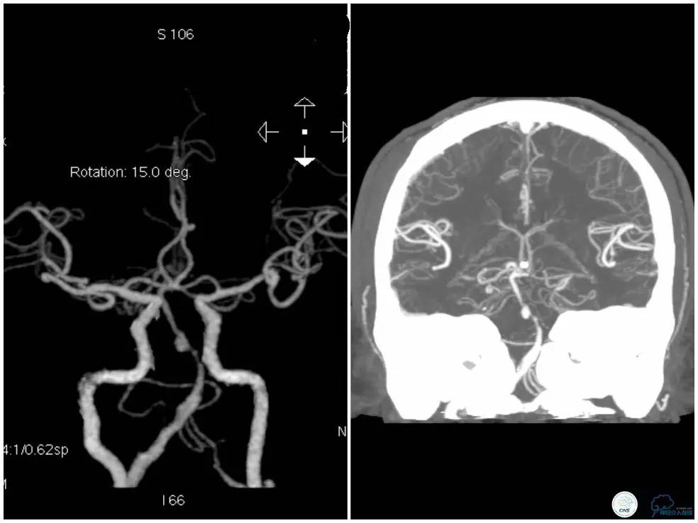
头颅CTA示(图5):右椎动脉优势、局部狭窄,左侧椎动脉细、狭窄;基底动脉迂曲,起始处狭窄,中部可见突起影。

图5
灌注CT(图6):双枕叶、小脑半球CBF正常,CBV略高,MTT及TTP延长。

图6
术前DSA:基底动脉中段狭窄,狭窄远端动脉瘤,右椎动脉优势,右椎V4段管壁不光滑(图7)。

图7
左椎动脉V3段以远未见显影(图8)。

图8
前循环未见明显向后循环代偿(图9)。

图9
术前讨论
1. 患者基底动脉重度狭窄,高分辨提示管壁增厚系动脉粥样硬化斑块,狭窄远端局部管壁扩张,考虑狭窄远端动脉瘤,因代偿不足(灌注CT提示低灌注),二者准备同期处理。
2. 狭窄段考虑在预扩张的基础上使用Wingspan支架,因Wingspan放置后微导管过支架网眼进入动脉瘤困难,拟在球囊扩张后放置微导管进入动脉瘤后,再放置支架。6F导引导管无足够空间容纳Wingspan系统和动脉瘤栓塞微导管,拟采用8F导引导管。
3. 近端右椎动脉V4段局部管壁不光滑,考虑夹层可能,准备同期处理。
治疗过程简述
全麻下,右股动脉穿刺,因8F导引导管不能通过右椎动脉V1段,改用6F导引导管置于右椎动脉V2段,穿刺左股动脉放置5F导引导管用于栓塞动脉瘤入路。Transend微导丝(0.014″,300cm)通过基底动脉狭窄段,放置在右大脑后动脉P2段后选择Gateway球囊(2.0mm×15mm)先预扩狭窄(图10)。

图10
Wingspan支架(3.0mm× 20mm)系统到位后,经5F导引导管放置Echelon-10微导管至动脉瘤腔内,释放Wingspan支架,进行动脉瘤栓塞(图11)。

图11
沿Echelon-10微导管依次推入EV3 PC-3-6-3D 3mm×6cm、QC-3-6-3D 3mm×6cm、QC-2-6-3D 2mm×6cm、QC 1.5-2-HELIX 1.5mm×2cm四个弹簧圈进入动脉瘤腔内。造影显示动脉瘤腔填塞致密(图12)。

图12
撤出Echelon-10微导管及5F导引导管。沿6F导引导管送入Select Plus微导管至基底动脉远端。经微导管送入Enterprise 4.5mm×28mm至右椎动脉V4段,两个支架重叠约2-3mm,完全覆盖右椎动脉V4段夹层(图13)。

图13
总结
动脉粥样硬化狭窄合并动脉瘤的处理,因治疗狭窄和栓塞动脉瘤的两套系统常需要并列使用,事先要考虑所用导引导管是否能完全容纳两套系统,如本例8F导引导管到位困难,故只能改用两套系统完成治疗(图14)。

图14
此外对于邻近动脉瘤的狭窄扩张时,可以考虑使用长度稍长一点的球囊,尽量覆盖动脉瘤颈,避免扩张过程中球囊损伤动脉瘤。
感谢缪中荣教授、李佑祥教授、
杨新健教授和吕明教授对本文的指导!