肺癌已经分列男性和女性十大高发癌症的第一位和第二位。人们对肺癌堵截的“篱笆”也是越扎越紧。许多单位都将低剂量螺旋CT作为体检项目的标配。但是每当拿到体检报告,各种肺部结节、磨玻璃结节的字样让人看了很害怕。
医生的意见往往是定期随访,先不用手术。但很多人认为是“胸怀定时*弹炸**”整日恐慌不安,尤其是磨玻璃肺结节患,许多人都觉得这种结节最容易会癌变!

那么查出肺结节到底要不要紧? 下面来盘点一*体下**检报告中的常见肺结节。
肺部结节是一种多系统多器官的肉芽肿性疾病,常侵犯肺、双侧肺门淋巴结,类圆形、影像学表现密度增高的周围被含气肺组织包绕的软组织阴影,虽然肺部结节不是一定就转变为肺癌,一般来说是有可能往肺癌的方向转变,所以肺部结节可以说是肺癌的一个很重要的指标和因素。
肺内直径≤3厘米的病灶称为 结节
肺内直径<10毫米的结节称为 小结节
肺内直径<4毫米的结节称为 微小结

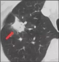
1.良性结节
结节长相:形态比较圆,边缘干净、光滑,仿佛十五的月亮。有的可能像一块钙化的结节,整个画面呈现高亮的样子。
产生原因:一般是指生活中常见的各种肺炎,包括肺部感染和炎性假瘤、结核、真菌感染、霉菌感染等诸多情况都有可能留下肺部结节,但大部分都是透明的,通常这类结节对人体是没有危害,经过一段时间消炎治疗后会逐步消退。

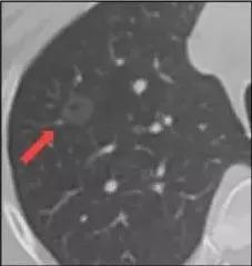
2.磨玻璃结节
结节长相:肺内密度轻微增加,增加程度小于实性改变,呈模糊的云雾状,并可见其内血管和支气管纹理。
产生原因:根据肺部磨玻璃影内部成分均一程度的不同,磨玻璃结节又可分为单纯磨玻璃结节及混合型磨玻璃结节。造成磨玻璃结节的原因包括感染性病变、肿瘤等多方面。

3.实性结节
结节长相:肺内圆形或类圆形密度增高影,病变密度足以掩盖其中走行的血管和支气管。
产生原因:一般实性肺结节恶性可能性很高,多是由肿瘤导致。但是否是恶性,还需要结合大小等因素综合判断。
Q:体检发现“磨玻璃结节”如何处理?
一旦体检报告出现“磨玻璃结节”,请不要着急“一刀切”。70%磨玻璃结节发展很慢,无须急忙手术“一刀切”,更不是切的越多越好,随访和及时中医药治疗控制是“上上策”。
Q:磨玻璃肺结节正确随访方式是?
结节<4 mm时,可不必常规随访。
结节在5~8 mm之间时,建议每6~12个月定期随访,病情稳定后延长至每18~24个月随访一次。
结节>8 mm时,每3个月随访一次。
而对于中老年人、长期吸烟史等高危因素的肺癌高危患者:
结节<4mm时,不需要定期随访。
结节>5 mm时,常规3个月,6个月,12个月随访。
Q:哪些肺部结节需马上穿刺定性或马上手术?
肺部结节变大,实性的部分增多,对于高危的“磨玻璃结节”患者,一旦结节快速长大,形态高度怀疑癌变,若大于1厘米且为实性结节者,可以考虑穿刺活检,明确诊断。快速增大直径大于1厘米但是为磨玻璃样结节,宜行手术切除。大多数病人可推荐全面微创切除。
Q:中医药治疗肺结节有什么优势?
一方面解郁、软坚、散结、排毒,控制缩小肺结节,甚至消失,另一方面改变患者肺的质地,就像要是改变一片长有荆棘的土地,手术仅仅把长了荆棘的地方挖掉,但土地土质没有根本改变,可能还会长出荆棘。
了解更多呼吸系统疾病内容,请关注本账号。
如有相关问题咨询,欢迎留言或私信,出诊之余我会尽量为大家解答。
