前言: 我们在判断肺内实性肿块或结节是良性还是恶性时,最主要的影像特征有两个方面:一是病灶边缘是否光滑,如果边缘光滑说明侵袭性不明显,容易是良性的;二是增强CT有没有强化,如果强化不明显,说明血供不丰富,容易是良性的。但我们却需要警惕今天分享的这种疾病,它也多可表现为质地不硬、收缩乏力、强化不明显、边缘光滑等,但它的性质将让你大吃一惊!
患者,某A,男性,71岁,病史中未诉有吸烟史。检查发现左下叶实性结节入院。症状不明显,血化验检查如下:


肿瘤筛查指标中的CEA与CA724高于正常。我们先来看其左下叶病灶的CT图像:

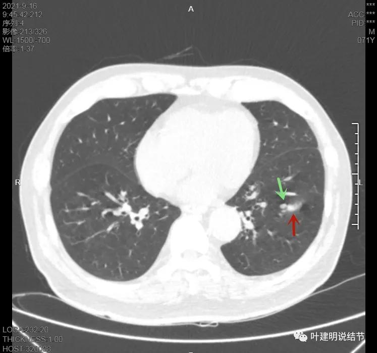
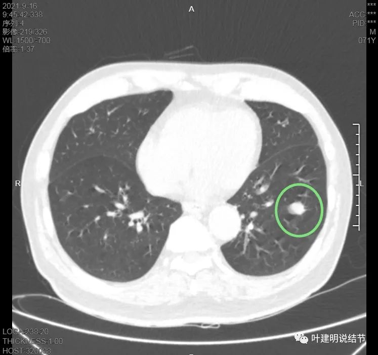
上图示病灶在左下叶,红色所指的与绿色箭头所指的是两个病灶,不相连的,实性结节

上图也示病灶是两个的,小的与大的之间有间隙的。大的病灶呈长方形似的

上图见主病灶长方形,边缘平直且光滑,没有毛刺、分叶或胸膜牵拉,粉色箭头示小病灶,在主病灶边上

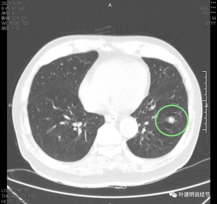
上图示主病灶边缘非常光滑,膨胀性不明显

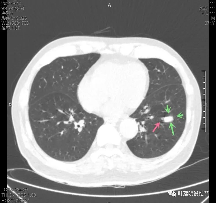
上图似乎边缘有点磨玻璃,但这可能是病灶横断面扫到组织相对较少或较薄的地方,其实并不是磨玻璃成分

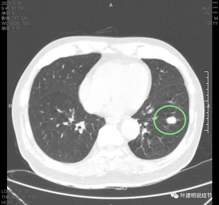
上图是病灶下缘的样子
这样的病灶应该是良性可能性大的多,纵隔窗上又是如何的呢?


纵隔窗上也是很光滑的,据CT报告其强化也不明显:

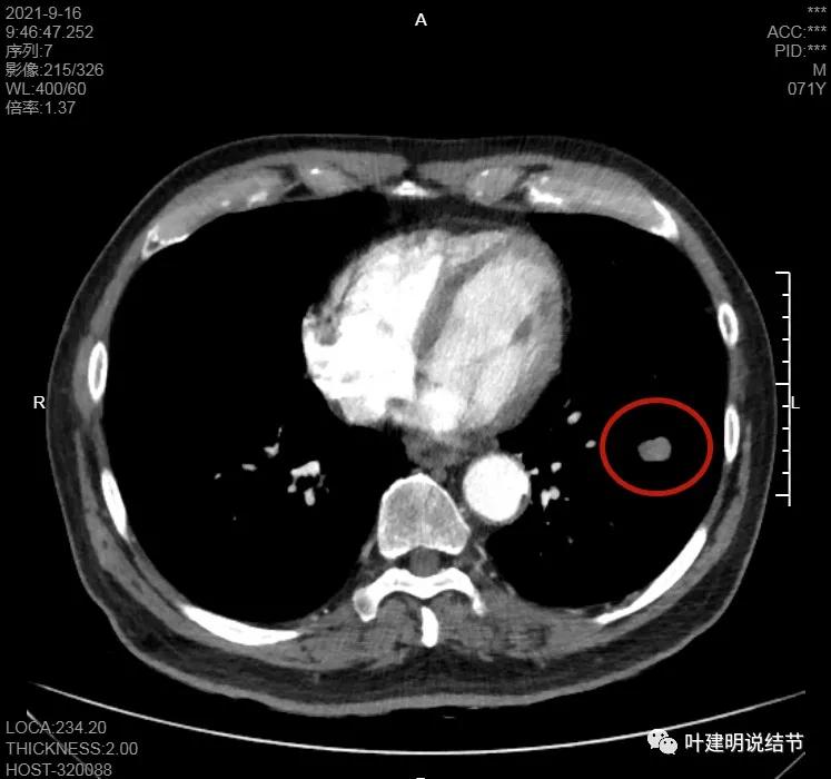
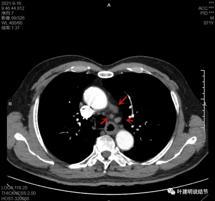
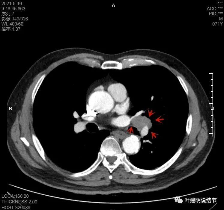
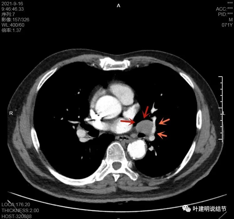
左下病灶在增强CT中强化不明显,但有肺门区肿大淋巴结,而且近3厘米大。同事叫我看片子的时候,本来只先看左下病灶处,以为是良性结节。但翻到肺门区,发现有如此大的肿大淋巴结,那这个原发灶则肯定是恶性的了!我们先来看纵隔窗的淋巴结情况:

主动脉弓下有淋巴结,但不大

隆突下未见明显肿大淋巴结

左肺门区淋巴结肿大

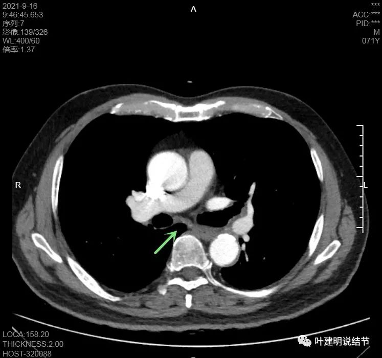
肺门区淋巴结挤压附近肺血管,但似乎示见肿瘤侵犯破坏血管壁

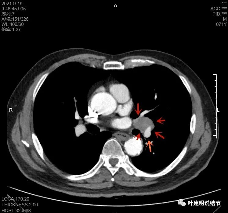
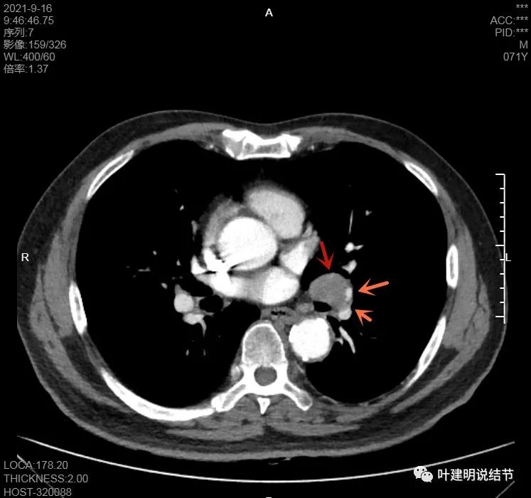
淋巴结巨大,部分包绕肺血管,但仍未见明显侵犯血管壁


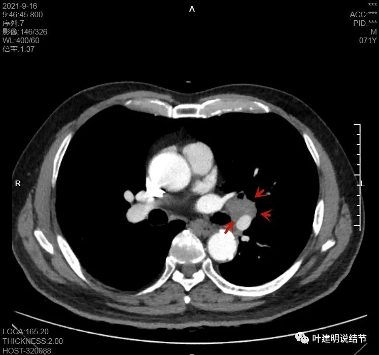
肺血管受压明显,气管内壁感觉也是光滑的




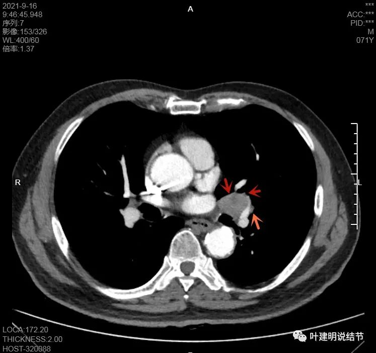
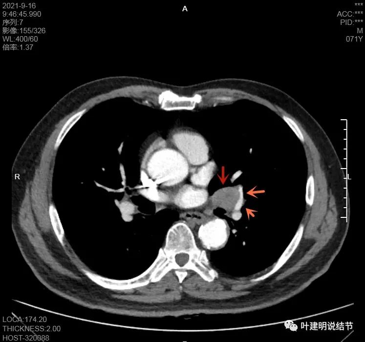
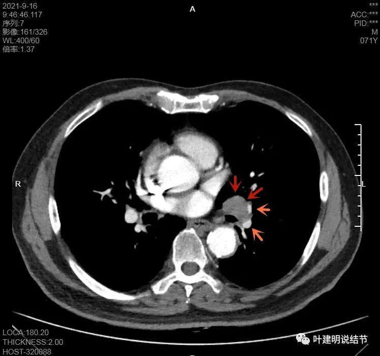
以上诸图均示肿大淋巴结挤压肺血管,但未见确切侵犯破坏,支气管内壁也感觉是光滑的,没有肿瘤突向管腔
这样质地不硬,缺乏收缩力的原发灶,实性的,但却有明显的淋巴结转移,我首先想到的是小细胞肺癌,但小细胞肺癌容易广泛的纵隔淋巴结转移而且融合成团,这个病例只有肺门区的肿大淋巴结,不是特别符合。另外一个就是类癌,不典型类癌可以质软,缺乏破坏力,但却是恶性的,会转移。
主管医生安排了为其手术,先做了左下叶病灶的楔形切除,术中快速切片报告:

结果是低分化癌,不排除小细胞癌。那么若能确认小细胞癌,其实也不必一定再进一步切下叶了,但因为有不确定性,主刀医生权衡后仍为其进一步进行了肺叶切除并清扫淋巴结,术后石蜡病理结果示:


结果还是小细胞肺癌!
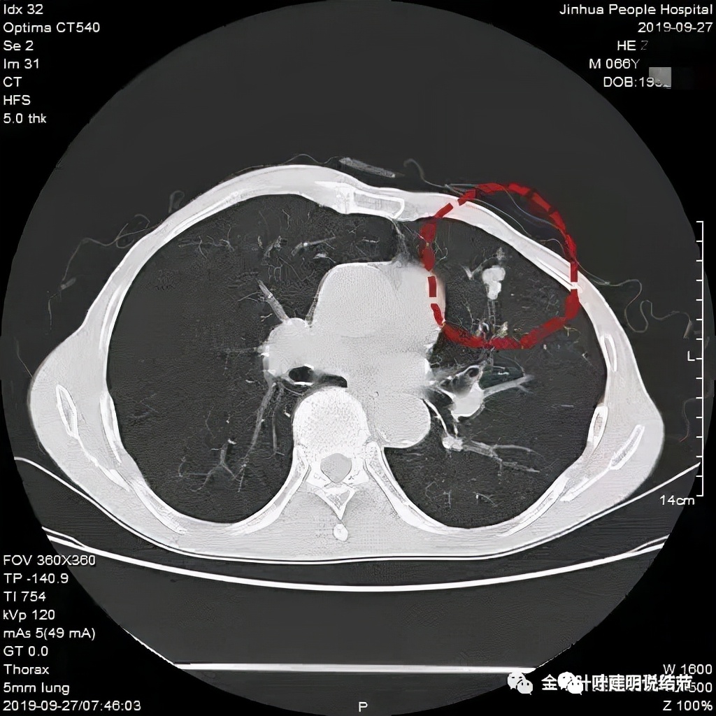
临床上我们容易见到小细胞原发灶不大,但广泛的纵隔淋巴结转移,甚至远处转移的,而且中央型多见,这时候,诊断不难。但若病灶是周围型,淋巴结肿大又不明显或不广泛,而原发灶又像这样边缘光滑的,还真倒容易误诊。之前碰到过一例小细胞肺癌是下面这样的:


左上叶簇状实性小结节,呈堆积状。开始时也没有能考虑到肺癌,是因为随访后病灶增大,经过穿刺活检确诊为小细胞肺癌。其实今天这个病例也是堆积的,也是两处病灶,只是挨的近而已。所以以后如果碰到“实性结节堆积状”的,边缘光滑缺乏收缩力或膨胀性的、周围又没有炎性渗出改变的,我们要考虑到其小细胞肺癌的可能性,而且可能性不小!
(此处已添加医疗卡片,请到*今条头日**客户端查看)