拥有一口洁白整齐的牙齿,不仅外表美观,而且无形当中增加我们的自信心。
然而近年来很多人出现口腔方面的疾病,使有些人不得不拔掉坏掉的牙齿,造成牙齿的缺失,很多人因此不敢开怀大笑,主要也是因为对自己牙齿方面没有信心。
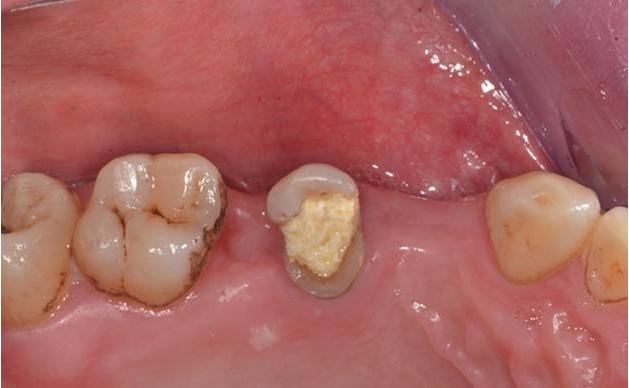
其实牙齿缺失并不可怕,修复的方法很多,由于种植牙价格略高,固定牙桥修复成了大多数人的选择。

固定牙桥,就是将缺失的单颗牙部位的两侧相邻的两个牙齿磨去一定比例的牙体积,以此将三个连在一起的烤瓷牙套在两侧的牙齿上。所谓的牙桥,也就是利用桥梁的原理,将两侧被磨的牙齿作为桥两侧的桥墩,起到固定中间假牙的作用,中间完整的假牙作为桥。


固定牙桥修复相对于传统的假牙来说,是有很大的优势的
1.无需经常摘戴。清洁的时候同普通牙齿一样,定时刷牙清洁。
2.支持作用好。由于采用桥梁的特点,稳定作用很好。
3.能适当的恢复缺失牙齿的形态和功能。
4.异物感较小,近似真牙齿,能保持很好咀嚼效能。
5.缺失牙齿所受的力能通过两侧的基牙来分担。

当然任何一件事都是有正反两面的,正如一枚硬币,固定桥技术也不例外。
固定牙桥修复缺失牙齿的缺点要比我们想象中更严重一些
如果做固定牙桥,需要将缺失牙齿部位两侧好的牙齿磨掉一定的体积,磨掉的那部分体积也就是牙齿的牙釉质,这是固定牙桥修复技术最大的缺点。这就相当于为了一颗坏牙,反而磨损了相邻的两颗好牙。
牙釉质是牙齿最坚硬的部分,仅次于金刚石的硬度,同时也起到多种保护作用。牙釉质的缺失容易造成细菌的入侵,影响牙周的健康,产生一些继发症,如牙周炎,牙髓炎牙龈萎缩。

牙釉质缺失容易引起牙本质小管暴露在空气中,从而引起牙本质过敏,也就是所谓的牙齿过敏。当牙齿受到冷,热,酸,甜等强烈刺激的作用,牙齿本身会产生强烈的疼痛感。
另外,做了固定牙桥后,如果对固定桥的保护不得当造成固定桥损坏之后,不便于修理,常常需要拆除后重新制作,浪费钱不说,拆除固定桥这一动作又是对两侧牙齿的再一次伤害。

之所以绝大多数人选择固定牙桥修复缺失牙齿,除了它在修复牙齿方面的很多优点,另一个重要的原因就是其在价格方面的优势,价格中等一些,能被多数人接受。
固定牙桥的价格相比于种植牙更便宜些。

种植牙是在缺失牙齿部位的牙床直接将种植钛植入牙床,然后安装上假牙。这种缺失牙齿修复方法价格相比于固定牙桥贵很多,大多数人还会选择固定牙桥修复方法。
其实单颗牙缺失也有活动义齿的修复方法,价格虽然相对便宜些,但结果稍微有点不尽人意。
活动义齿就是传统的假牙,是由卡环也就是钢丝钩,基托,人工牙,支托组成。其原理是通过卡环勾住两侧的健康牙齿来稳定假牙,基托连接人工牙来修复缺失牙齿。

这种活动义齿想比于固定牙桥,需要经常摘戴单独清洁比较麻烦,咀嚼时的效能相对差一些,外表不是很美观,固定能力较差一些,有些人才开始带活动义齿是异物感会比较强烈些,可能会有点恶心呕吐现象。
现在选择活动义齿的人已经很少了,毕竟使用起来舒适感太差,也有可能出现脱落。

我是牙科医生黄征难,35年从业经历,如果你有任何口腔问题,可以先点击关注后在主页私信咨询,或评论留言!可以私信牙片,我来帮你免费问诊!