崔医生是一位非常好学的年轻医生,私下里我们的关系非常好,一天他拿了一张片子问我,他发现好多急诊拉栓的患者术后出现了类似于脑出血的影像表现,我告诉他这不是脑出血,这是造影剂外渗,什么是造影剂外渗,为什么造影剂外渗会表现出类似于出血的表现呢?这两种影像如何区分呢?

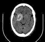
图像中心的白色部分即是造影剂外渗
造影剂外渗多见于颅脑血管疾病介入治疗术后,脑血管疾病的介入手术治疗是近些年来兴起的一种微创治疗方式,此技术利用人体内的血管通路,应用一些特殊器材,到达病灶,对病症采取人工干预,从而达到治疗的目的。

颅内介入手术常常用来治疗颅内动脉瘤,动静脉畸形,脑动脉狭窄,急性脑梗死等疾病。在最近一段时间,急性脑梗死的介入治疗发展尤其迅速,使得原来无法治愈的急性脑梗死病人得到了救治,恢复健康和自理能力。

介入手术治疗急性脑梗死一般是利用极细的导管和导丝通过动脉血管,到达闭塞的血管处,利用支架将血栓从血管内取出,从而恢复脑组织的供血,从而达到改善细胞缺血缺氧状态,拯救患者神经功能的目的。

介入手术利用的是人体内的血管通路来完成操作,所以介入手术的副损伤十分少,除了价格较传统手术高一些外,基本上没有什么缺点,可以说是人类医学上的一个巨大进步,介入手术需要应用造影剂来使血管显影,目前临床上多使用碘剂。所谓的造影剂外渗多指的是造影剂由血管内渗到血管外的脑组织中,从而形成类似于脑出血的影像学表现。

为什么会出现造影剂外渗呢?正常情况下为了保护大脑的正常功能,大脑内的毛细血管与神经胶质细胞形成一层特殊的生理屏障,可以阻止某些物质进入脑组织,从而保护大脑内的神经细胞免受血液中的有害物质的侵害,保护大脑的正常功能。

血脑屏障是指脑毛细血管壁与神经胶质细胞形成的血浆与脑细胞之间的屏障和由脉络丛形成的血浆和脑脊液之间的屏障,这些屏障能够阻止某些物质(多半是有害的)由血液进入脑组织。血液中多种溶质从脑毛细血管进入脑组织,有难有易;有些很快通过,有些较慢,有些则完全不能通过,这种有选择性的通透现象使人们设想可能有限制溶质透过的某种结构存在,这种结构可使脑组织少受甚至不受循环血液中有害物质的损害,从而保持脑组织内环境的基本稳定,对维持中枢神经系统正常生理状态具有重要的生物学意义。

所以正常情况下,造影剂是不能穿过血脑屏障的,但部分患者存在颅内病变,加上局部造影剂量增加,高渗透性、再灌注损伤改变了颅内血管的通透性,进而可能破坏血脑屏障,致使造影剂容易渗漏血管外间隙并逐渐聚集,形成 CT 高密度灶,尤其是动脉溶取栓、脑动脉狭窄支架成形术及动脉瘤栓塞术的病人[1-3]。另外,在一些病理情况下,如感染、脑缺血下也容易出现血脑屏障破坏[3]。因此脑血管造影过程中可能有一些造影剂外漏,对影像诊断造成一定程度的干扰,此时需同脑出血 CT 影像结果进行鉴别[4]。

造影剂外渗的影像学表现为梗死灶内或脑表面出现高密度影,形态和密度均和脑出血类似,类似于高血压脑出血或蛛网膜下腔出血表现,脑血管介入手术最担心的并发症就是血管破裂出血,所以术后通常都会复查头CT,在CT上如何区分脑脊液渗出和脑出血呢?

造影剂外渗与脑出血在以下四个方面区别
1.无占位效应;
2.外渗周围无水肿;
3.4h、24h 内复查头颅CT可见高密度影可明显吸收或完全吸收;
4.CT 值 60~95HU,局部达 150HU。
总之,颅内血管造影剂外渗常常出现在介入手术术后,外渗原因主要是因为颅内的血脑屏障功能被破坏,加之局部造影剂增加,渗透压增高,从而导致造影剂外渗。造影剂外渗在影像学上和脑出血非常相似,造影剂外渗无占位效应,周围无水肿,吸收快,CT 值 60~95HU,局部可达 150HU。另外,如果出现类似于蛛网膜下腔出血表现的造影剂外渗,其主要特点是常为对称分布,而蛛网膜下腔出血常常是不对称的。
以上是我对造影剂外渗相关知识的理解,如果您和我的观点一致,欢迎您点赞,关注或留言,创作不易,感谢您的支持,我是神外医生张伟,我们下期再见。

【参考文献】
[1] 卢新天(编译).美国血液学会免疫性血小板减少症基于证据的实践指南[J].中华小儿血液与肿瘤杂志,2011,16(5):232- 235.
[2] 李治,伊力达尔·阿布都外力,张晓光,等.中小剂量丙种球蛋白治疗重症特发性血小板减少性紫癜疗效和安全性的系统评价[J].中国循证医学杂志,2014,14(3):312- 319.
[3] 李杨,曲道炜,林庶如,等.紫癜汤及其拆方对特发性血小板减少性紫癜模型小鼠网织血小板和血小板生成素的影响[J].中国中医药信息杂志,2014,21(6):53- 56.
[4] 蔡华聪,王书杰,富玲,等.重组人血小板生成素用于原发免疫性血小板减少症维持治疗的有效性和安全性—多中心临床研究[J].中华血液学杂志,2017,38(5):379- 383.
#健康出行节# #生命召集令超能团# #健康科普排位赛# @头条健康 @*今条头日**青云计划 @生命召集令 @想好好做医生的胖子