来源:医学影像园
膝关节骨髓水肿:图片综述
Bone Marrow Edema in the Knee: A pictorial Review
Congress:ECR 2018Poster No.:C-2439Type:Educational ExhibitKeywords:Metabolic disorders, Inflammation, Diagnostic procedure, MR, Musculoskeletal system, Musculoskeletal joint, Musculoskeletal boneAuthors: J. Saraiva1, A. S. Teixeira Gomes2, C. Bilreiro1, A. R. Ventosa1, R. Monteiro1, B. M. Q. Santos1, M. O. E. Castro1; 1Portimao/PT, 2Lisbon/PTDOI:10.1594/ecr2018/C-2439DOI-Link:http://dx.doi.org/10.1594/ecr2018/C-2439
Learning objectives
- 了解膝关节骨髓水肿(BME)的原因和影像表现,复习几个MRI病例。
- 根据Eustace分类中的水肿机制将病例进行分组。
Background
骨髓水肿代表组织间液的增加, 因此它具有增加含水量的MR特性,即T1WI像上的低/等信号以及T2WI和PDWI像上的高信号。水敏感性序列如短时反转恢复(STIR)序列对于检测骨髓水肿非常敏感,因为它与正常骨髓相比呈现高信号。
静脉注射钆对比剂后,轻度延迟增强可见于骨髓水肿,特别是在血管形成期。
如上所述,骨髓水肿是由于细胞外间隙中过多的液体积聚造成的,其MR表现是相当特征的,但应该认识到相同的MRI结果也可以代表坏死和/或出血。
几种机制可能参与骨髓水肿的病理生理过程。我们遵循Eustace 提出的分类:充血性/血管性、充血性、肿瘤、创伤和非典型组。我们根据发病率对他们进行了重新排序,将一些罕见且较少的病例归为非典型/其他组(尽管其中一些病理机制可能适用于其他类型),并将创伤/退化组命名为反映微创性质的传统退行性骨关节炎的分类:
1、外伤性/退行性
创伤是骨髓水肿的最常见原因。直接创伤造成骨小梁的立即断裂,组织间质液渗出,细胞外间隙出血。在创伤性骨髓水肿(通常称为骨挫伤,挫伤或小梁微骨折)中,皮质保持完好,而在真正的骨折中,骨皮质是断裂的。
2、充血性
液体回流受损会导致毛细血管床处的静水压力增加,血管外间隙渗出。充血通常由血管闭塞或血栓形成引起,如原发性(例如缺血性性坏死)或继发于骨髓空间压力升高的其他原因,如血红蛋白病,骨梗死,脂肪细胞肥大或使用激素。
3、血管性
骨髓毛细血管床处血液和血清的增加(伴或不伴渗透压改变)将导致组织间液积聚增加。在感染发炎部位或邻近部位出现,急性滑膜炎关节边缘或创伤后反射*交性**感神经营养不良的患者。
4、肿瘤性
与充血性毛细血管渗漏类似的机制。大多数致肿瘤性水肿是由骨小梁破坏引起的直接毛细血管损伤以及血管内液体释放和出血的结果。它的存在是恶性肿瘤的间接标志。在少数病例中,水肿反而继发于诱导的炎症反应(如骨样骨瘤中通常通过前列腺素E2释放)。
骨挫伤(可能是由于外力直接撞击骨骼,相邻骨骼的压缩力相互影响,或者由于牵引力造成的撕脱伤)通常具有反映创伤机制的分布:五种骨挫伤模式 描述如下:
- 轴移损伤
- 仪表板损伤
- 疲劳性损伤
- 剪切伤
- 髌骨外侧脱位

图1:
1)轴移损伤例如滑雪事故):涉及后外侧胫骨平台和外侧股骨髁的中间部分。常伴有 ACL撕裂。
2)仪表板损伤(例如车祸):胫骨近端前侧水肿。常伴有PCL撕裂。
3)过伸性损伤(例如足球运动损伤):“接吻”涉及胫骨近端和股骨远端的前方面的挫伤模式。常伴有PCL撕裂。
4)剪切伤(例如橄榄球运动铲球时):涉及股骨外侧髁的大面积水肿和股骨内侧髁上的较小区域。常伴有内侧副韧带(MCL)损伤。
5)髌骨外侧脱位:涉及下内侧髌骨和股骨外侧髁前方的水肿。
这些局部损伤是膝关节周围骨髓水肿最典型的表现之一。当水肿弥漫时,找到正确的病因更具挑战性,并且有时患者和主治医师在检查之前不能提供线索。在MRI扫描时,暂时性骨质疏松症,神经肌肉功能障碍,赘生性骨损害或甚至轻微创伤可能是未知的。在没有创伤史且没有发现弥漫性水肿的其他明显原因的情况下,可以诊断出短暂性一过性骨髓水肿。
Findings and procedure details
下面我们列出几个与膝关节骨髓水肿有关的病例,根据每个病例的水肿病理生理学特点进行排列:
1、创伤性/退行性
a、骨性关节炎
b、急性骨小梁微骨折
c、应力性疲劳骨折
d、应力性不全骨折
i.e. SIF(软骨下不全性骨折)以前称为SONK(膝关节自发性骨坏死,也称为Ahlback氏病)
e、肉眼可见骨折
f、有症状的小骨
g、胫骨结节骨软骨病(图16)
h、辛丁一拉森一约翰逊氏病(髌骨缺血性坏死)
i、剥脱性骨软骨炎(OCD)
2、充血性
a、骨坏死(缺血性坏死,AVN)
- 血红蛋白病(图20)
- 骨梗死
- 脂肪细胞肥大
- 使用激素
- 怀孕
3、血管源性
a、炎症/感染性关节炎
b、外伤后反射*交性**感神经营养不良
c、慢性复发性多病灶性骨髓炎(CRMO)
4.肿瘤性
(例如:骨肉瘤(图22),巨细胞瘤(图23),骨样骨瘤(图24)...)
5、非典型/其他
a、代谢变化
例:慢性肾病
b、神经源性
例:夏科氏(Charcot)关节
c、医源性变化
例:放射治疗
d、特发性/多因素水肿
例:短暂性骨髓水肿综合征(也称为短暂性骨质疏松症(TO))(图25)
1. 局限性游走性骨质疏松症(RMO)
Ⅰ关节外
Ⅱ关节内(图26)
2.复杂的局部疼痛综合征(CRPS,包括反射*交性**感神经营养不良,痛觉神经营养不良和Sudeck骨萎缩)
3.钙调磷酸酶*制剂抑**疼痛综合征(CIPS)
Ⅱ. 废用性骨质疏松症(DO)(图27)

图2:骨性关节炎(OA):男,58岁,股骨内侧髁负重区有软骨缺损,伴有边缘小骨赘和继发性软骨下骨髓水肿。骨性关节炎通常不与创伤性病因分类,而是作为退行性病变分类(a:冠状T1-WI; b:冠状PDWI-FS; c:矢状PDWI-FS)。

图3:应力(疲劳)骨折:女,25岁,最近在没有适当热身的情况下在健身房参与剧烈运动的冠状位T1WI和STIR图像。她主诉出现双侧内侧胫骨疼痛。在双侧胫骨中,内侧近端应力性骨折是明显的。

图4:SIF(软骨下不全性骨折):在过去,每当在股骨内侧髁上观察到这种软骨下病变时,它就被标记为膝关节自发性骨坏死(SONK)。现在它被认为是一个不全性骨折。这些不全性骨折通常发生在股骨内侧髁和股骨头,并存在于老年人中(它们与骨质疏松症和生物力学改变相关,如在不稳定的半月板损伤中。与其他应力性骨折类似,低信号的骨折线在水敏性序列(a,b:冠状和矢状PDWI-FS)上被高信号的骨髓水肿包围。

图5:长期的SIF(软骨下不全性骨折)伴股骨外侧髁软骨下塌陷、大面积水肿(不如上图中显示的内侧髁位置常见)。

图6:内侧胫骨平台上不常见的SIF(软骨下不全性骨折)(a,b:矢状和冠状PDWI-FS)。

图7:骨小梁骨折:男,15岁;踢足球创伤性事件后的急性疼痛:在T1-WI(a,b)和T2WI-FS上的股骨内侧髁上的低信号微裂纹(c)。在水敏序列(T2-FS-WI)上,骨折周围有明显高信号骨髓水肿。

图8:创伤性骨髓水肿,髌骨脱位的典型病例:青年人,髌骨一过性脱位和挫伤的横断面(a,b,c),冠状面(d,e)和矢状面(f)的PD-FS-WI图像 :股骨外侧髁的前外侧和髌骨下内侧的故事水肿。对于进行运动的青少年或年轻人来说,在弯曲时需要膝盖扭转运动的情况更为常见。如该患者患有髌骨骨软骨损伤(*)和内侧髌股韧带(MPFL)撕裂(箭头)。

图9:外伤性骨髓水肿,典型的轴移损伤模式:在矢状面上的PD-FS-WI。这类非接触性损伤常见于滑雪者或美式足球运动员。这种模式是由于外翻负荷作用于屈曲或半屈曲膝关节,与胫骨外旋或股骨内旋相结合。水肿范围包括胫骨外侧平台的后方和股骨髁间(a)附近的股骨外侧髁的中部[3]。膝关节的屈曲程度决定了股骨外侧髁损伤的确切位置。有时,如a所示,发生股骨外侧髁冲击性骨折。另一个经常出现的骨挫伤部位是内侧胫骨平台的后部(如b所示)。ACL在这种创伤中经常被撕裂,因此当识别出这种损伤时应该对韧带进行彻底的评估。

图10:创伤性骨髓水肿,典型的轴移损伤模式:在矢状面上的T2-FS-WI,不同于图6的患者,相同的机制和相似的表现(尽管在这种情况下没有骨折)。

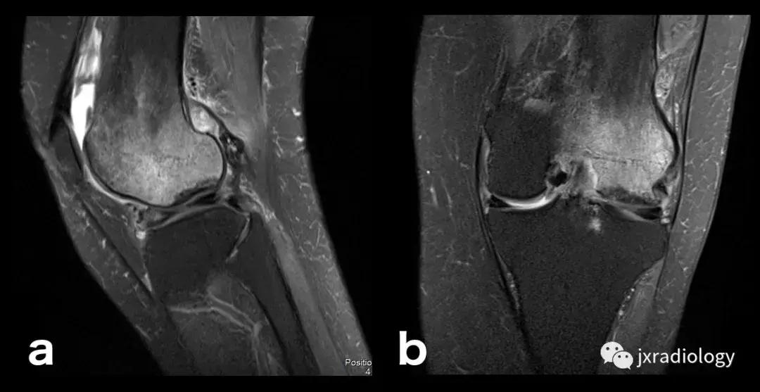
图11:创伤性骨水肿,典型的剪切伤模式:一名23岁男子在橄榄球比赛时受到创伤。冠状面质子加权脂肪抑制MR图像显示继发于直接挫伤的股骨外侧髁和胫骨外侧平台的骨髓水肿。与创伤机制相关的强外翻力可能会撕裂的MCL(内侧副韧带),如该患者所表现的那样。

图12:创伤性骨水肿,肉眼可见的骨折(皮质断裂):该患者在常规放射线照片上有一条非常微弱的骨折线,几乎不明显(此处未显示)。 在MR成像中,骨折周围的挫伤性骨髓水肿不可能漏诊(胫骨外侧平台上的PD-FS-WI高信号和T1-WI低信号)。T1-WI(a,c)处骨折线低信号,PD-FS-WI(b,d)处等信号。

图13:创伤性骨水肿,肉眼可见的骨折(PCL撕脱):当后十字韧带未回缩时,很难确定其撕脱骨折。周围的骨水肿使诊断变得更简单。

图14:创伤性骨水肿,肉眼可见的亚急性骨折:即使CT扫描(a,b)上的骨折线稍不明显,MRI上骨髓水肿也指出病变(c,d,e,f)。

图15:由于股外侧肌重复拉动导致髌骨与小骨之间出现应力,高达2%的二分髌骨出现疼痛症状。在这位患者身上发生的重复性应力导致了未融合的骨化中心出现骨髓水肿(二分髌骨)(a,b:冠状和轴向PD-FS-WI)。

图16:Osgood-Schlatter氏病(胫骨结节骨软骨病)是一种慢性撕脱伤,被认为是由于髌腱在胫骨结节附着处,重复性微创伤和牵引造成的。通常见于喜欢运动的青少年,特别是那些参与膝盖剧烈活动的运动。如上所示(a,b:矢状和轴向PD-FS-WI),在撕脱点产生骨髓水肿可以作为诊断的重要线索。

图17:这名13岁男孩患有Sinding-Larsen-Johansson综合征(髌骨缺血性坏死),这是一种慢性牵拉性损伤,它是髌韧带近端未成熟骨腱连接处的一种慢性牵引性损伤(矢状位PD-FS-WI上的显示髌骨下极水肿)。

图18:剥脱性骨软骨炎(OCD)。OCD的病因学是未知的,可能是多因素的,包括损伤,血管因素,压力变化,发育差异和遗传学等。膝关节OCD最常见的部位是股骨内侧髁(75%)。这里显示了特征性的MRI表现,通常没有其它的损伤:在骨软骨碎片周围(b)有明显的小片骨髓水肿。(a,b:冠状T1-WI和冠状PD-FS-WI)。

图19:剥脱性骨软骨炎(OCD)。与图18相同的患者。X线片显示右侧股骨内侧髁见骨软骨碎片。

图20:患有血红蛋白病的患者(例如镰状细胞性贫血),在这种情况下,容易发生继发于毛细血管阻塞的骨坏死。这种阻塞导致毛细血管静水压升高,造成水敏性序列中低信号骨梗死周围的高信号水肿。这是充血性骨髓水肿的一个例子(由于骨髓空间毛细血管床液体流出受损)。该患者还表现出广泛的红骨髓转化,如T1-WI中的骨髓信号所示(远低于周围脂肪组织并略高于肌肉组织)和DP-FS-WI(未完全饱和,保持略高信号)( a:冠状面DP-FS-WI; b:冠状面T1-WI; c:轴向T1-WI; d:矢状面DP-FS-WI)。

图21:这名患者的炎症性关节炎表现为围绕内侧股 - 胫室侵蚀性改变的骨髓水肿。它是血管源性骨髓水肿的一个例子(继发于血液和血清传递至骨髓空间毛细血管床)(a,b:冠状T1-WI和PD-FS-WI)。

图22:骨肉瘤(a,b:冠状和轴向PD-FS-WI):肿瘤性水肿继发于骨小梁破坏引起的直接毛细血管损伤,并伴有血管内液体释放和出血。区分周围水肿和肿瘤侵袭可能是困难的。

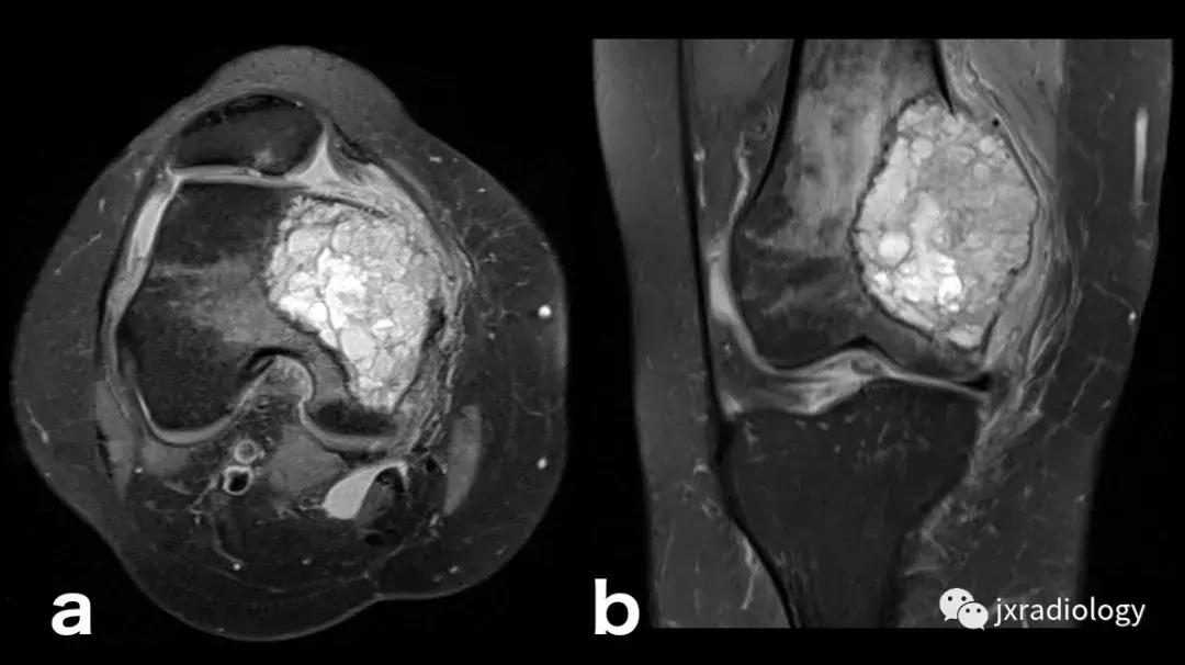
图23:骨巨细胞瘤(PD-FS-WI):也存在肿瘤性骨髓水肿。

图24:骨样骨瘤:在这些良性肿瘤中,水肿可以继发于前列腺素E2引起的炎症反应(a,b:横断位和冠状CT扫描; c,d:横断位T1-WI和冠状位PD-FS-WI)。

图25:短暂性骨髓水肿综合征(短暂性骨质疏松症):30岁女性急性膝部疼痛的矢状位FS-PDWI MR影像显示骨髓水肿,涉及非负重区域股骨外侧髁骨髓水肿在1年内几乎完全自发消退。短暂性骨髓水肿综合征是自限性病变,其表现为与MRI研究中的骨髓水肿证据相关的关节痛。其病因仍不确定。

图26:局限性游走性骨质疏松症(具有位置变化的短暂性骨髓水肿综合征)(连续冠状PD-FS-WI):在一些情况下,在连续MRI上看到骨髓水肿的位置变化,这被称为局限性游走性骨质疏松症(RMO);尽管可以自愈的短暂性骨髓水肿综合征的情况更为常见,但可以在一小部分病例中转移到不同的关节,或者(甚至更罕见)转移到同一关节内的不同部位(关节内转移) ,如关于该患者所见。在这个关节内RMO病例中,没有创伤史,水肿始于股骨内侧髁,3个月后发现转移到外侧髁。

图27:废用性骨质疏松症(DO):在骨骺上的所有序列中显示的融合和斑片状中-高信号影是典型的长期固定后的短暂性骨质疏松症。恢复活动在废用骨中产生比在正常骨中更大的应力,因为必须支撑负载的骨小梁更小更弱,因此出现骨髓水肿(应力反应也在内侧髁上看到并用* 标识)。一个愈合的外侧胫骨平台骨折(箭头)。(a-e:PD-FS-WI; f:T1-WI)。值得注意的是,复杂性局部疼痛综合征(CRPS,包括包括反射*交性**感神经营养不良,痛觉神经营养不良和Sudeck骨萎缩)具有与DO相同的MRI骨水肿模式,但其病理生理学与废用脱钙无关,并且总是伴有疼痛(DO是无症状患者的偶然发现,在有外固定的患者中)。

图28:正常的红骨髓:这是寻找骨髓水肿时可能出现的误区。造血系统红骨髓(由于年轻患者正常分布或成人骨髓再生)在T1-WI(b)和水敏序列(a:PD-FS-WI)上均具有中等信号强度。T1-WI上的正常红骨髓相对于肌肉的分布(通常在干骺端)的特征性模式和较高的信号强度(与T1-WI上肌肉组织的等信号或低信号的病理性骨髓相反),应能及时发现这一正常发现。
Conclusion
Knee bone marrow edema is a very common finding on MRI scans. However, its pathophysiology it’s not as simple as one could imagine as there are several different mechanisms through which it can develop. For each of these mechanisms there is a specific set of possible underlying diseases, some with a very characteristic distribution pattern. Having this knowledge is highly helpful in narrowing down differential diagnosis and not missing common associated injuries.
膝关节骨髓水肿在MRI扫描中非常常见的发现。然而,它的病理生理学并不像人们想象的那么简单,因为它可以有几种不同的机制。对于这些机制中的每一种,都存在一组可能的潜在疾病,其中一些非常具有特征性的分布模式。掌握这些知识对缩小鉴别诊断范围非常有帮助,并且不会漏诊常见的相关损伤。
【版权声明】本平台属公益学习平台,转载系出于传递更多学习信息之目的,且已标明作者和出处,如不希望被传播的老师可与我们联系删除
喜欢本期内容的 求收藏 求转发
如果您有ct片问题也可以直接头条私信
想要知道更多的放射科相关内容可以微信关注放射沙龙公众号
或者直接在应用商店*载下**放射沙龙app与放射科医生在线互动学习