明天就要上班了,请工作时留心“隔壁老王”。
作者 | 苏州大学附属第二医院 消化科 胡端敏
来源 | 医学界消化频道
上篇小文探讨了貌似粘膜下肿瘤(submucosal tumor SMT)的血管,本专题关注另外一组假瘤子------消化道毗邻脏器的外压,这类“假瘤子”潜在风险小于血管,但如被误切也会导致较严重的临床后果,接下来笔者就近年来碰到的相关病例谈一谈如何识别和打假这些形如SMT的外压。
一
食道篇

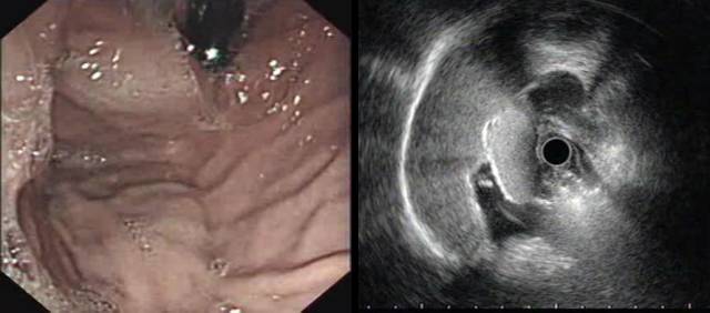
食道位于后纵隔,全程伴行于胸主动脉,上段食道周边结构复杂,是外压出现的主要区域。总体而言,这些外压宽大,一般不会被误认为SMT,下方是食道上段的内镜图,我们脑海里应该意识到各个隆起的意义。

EUS探查食道病灶时,往往同时显示食道周边结构,尝试去解释这些影像形成的解剖学基础是EUS术者自我锻炼和提升的手段之一。超声小探头可以观察到结构有气管、胸椎、胸主动脉、主动脉弓、左心房、奇静脉和胸导管(下图)。

食道及周边结构(气管分叉层面 A:CT 扫描;B:小探头超声)
熟悉上述结构后,对食道常见外压的EUS解读就不困难了。
(一)气管压迫
气管在食道中、上段的右前方走形,是引起上段食道前壁外压的主要结构,左支气管于距门齿25厘米左右横跨并压迫食道,形成第二生理狭窄。气管内含大量气体,超声信号完全被反射,产生多个平行展开的弧形高回声(振铃现象),故较容易识别。

气管引起的外压( A: 内镜可见左壁隆起;B:超声示12点处弧形高回声)
(二)脊柱椎体和椎间盘压迫
消瘦患者中可见到明显的脊柱外压,其特点是食道后壁高、低起伏的竹节样改变,隆起明显处是椎间盘,而连续隆起之间为椎体。EUS下椎间盘为中、高回声圆形结构,而椎体为骨性,表现为弧形高回声伴后方声影。

脊柱引起的外压( A: 内镜可见后壁高低起伏的柱状隆起;B:小探头超声示椎间盘;C:小探头超声示椎体结构)
(三)肺叶外压
部分患者的右肺一叶横跨脊柱并导致食道外压性改变,超声探查同样见到的是多个平行展开的弧形气体回声。

右肺引起的食道外压( A: 内镜可见食道后壁中段隆起;B:超声发现气体回声; C:CT证实为横跨脊柱的右叶压迫所致
二
胃篇
高位胃体前壁在右侧与肝左叶贴近,在左侧与膈相邻,胃后壁与胰、横结肠、左肾和左肾上腺相邻,胃底与膈和脾相邻。胃腔注气扩张后,来源于上述脏器的病灶对胃壁形成压迫,表现为向胃腔内突出的半球形隆起,光镜下与SMT难以鉴别。在介绍相关典型病例前,我们一起熟悉胃壁外压图。

接着,我们来看看下面的典型病例。
(一)来自肝脏的外压
肝囊肿和肝血管瘤是最常见的肝脏占位,也是外压性假SMT常见原因。
1.肝囊肿外压

胃底肝左叶区域可见粘膜下半球形隆起,表面光滑(图 A),EUS见类圆形无回声病灶外压,其后方回声增强,可见囊性病灶特有的双侧折射声影(图B白箭头),故诊断为肝左叶囊肿外压。
2.肝血管瘤

不同于低回声的囊肿,血管瘤的超声影像通常为中、高回声病灶,上面病例就是一个肝左叶类圆形血管瘤外压导致的胃底隆起。CT等传统影像工具诊断肝脏病灶不难,但部分与胃壁关系密切的外生性血管瘤却是例外。
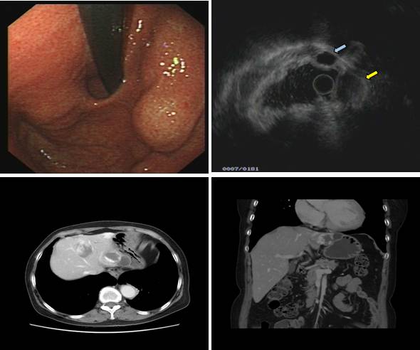
下面患者在外院胃镜和CT(图 A-B)均考虑胃底粘膜下肿瘤,拟双镜联合切除。

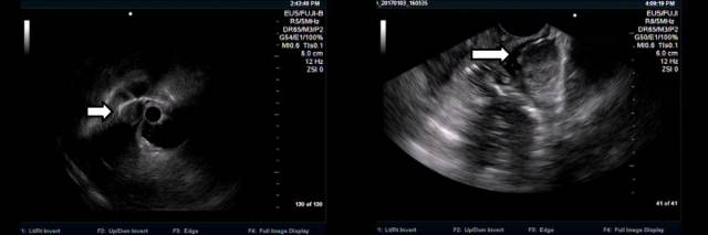
术前来我院完善超声内镜检查提示肝左叶近膈顶血管瘤(图A-B)

图A:环扫EUS提示肝脏近膈顶类圆形血管瘤(白色箭头);图B:线阵EUS见病灶上方的固有肌层完整(白色箭头)
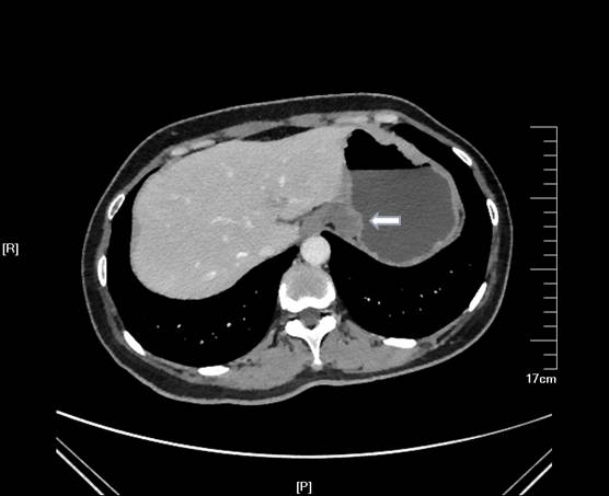
EUS考虑血管瘤,动员患者在我院复查增强CT,常规水平成像可见胃底软组织影(下图 白色箭头)。

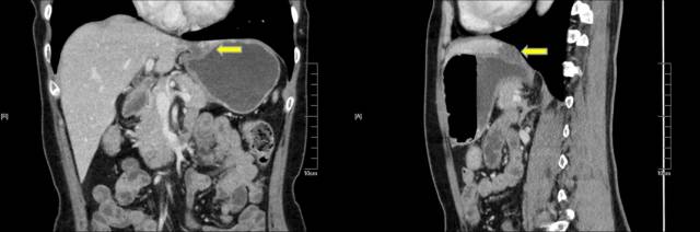
但经冠状位和矢状位重建放大后证实来源于肝左叶近膈顶部外生性血管瘤压迫胃底(下图A-B 黄色箭头处)。

3.肝血管瘤和肝囊肿联合外压
这种情况相对少见,下面病例我们可见看到高位胃体前壁哑铃状隆起(图 A),EUS探查见囊性病灶(白箭头)和实性病灶(黄箭头)共同外压(图 B),CT证实来源于肝左叶的囊肿和血管瘤联合外压(图 C-D)。

A:高位胃体前壁哑铃状胃壁隆起;B:超声探查见来源于肝脏的囊性和实性病灶;C-D:CT证实来源于肝脏的囊肿和血管瘤的联合外压
(二)脾脏区域的外压
主要指高位胃体后壁,很多结构可以在该区域引起SMT样外压,它们通常是脾脏、副脾、脾动脉和胰腺。
1.脾脏和脾动脉外压

上面病例在高位胃体后壁见两处隆起(图A),远处探查发现为脾脏外压,其内部为细小均匀的点状回声(图B),稍退探头扫描(图 C),探查结果为迂曲脾动脉(图D)。脾动脉外压特点我在上一篇小文里已详细阐述,大家可以参考。
2.副脾外压
副脾是该区域常见的外压,其形成的隆起较小,内镜表现与间质瘤极相似,曾有报道被当成SMT误切,故要提高识别副脾的能力。下面病例副脾外压明确,因为外侧可见正常脾脏,CT等影像学工具诊断副脾时也通常以脾脏为对照,但在无对照时(脾切后),诊断就相对困难。

A:胃底贲门下方隆起;B:胃壁外可见副脾(其外侧可见脾脏结构)
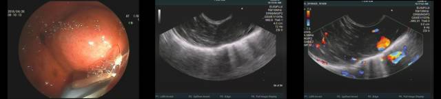
下面病例我们可以看到胃底粘膜下隆起,中央有凹陷(图A),外院CT也考虑胃底间质瘤(图B白色箭头处)。

患者拟手术来我院行超声内镜检查,小探头发现局部胃壁结构欠清,肿块内部为均匀点状回声(图 A),改环扫EUS探查见肿块后方为膈肌,内部为均匀点状回声,考虑副脾,该患者10年前因外伤切除脾脏,故诊断为脾脏切除后副脾代偿性增生外压。

嘱咐患者在我院复查CT检查,请放射科同事局部放大并重建后证实为副脾,故放弃手术。

经典EUS教课书上强调用胃壁五层结的完整性来判断外压,但胃底需倒镜探查,EUS扫描平面很难垂直于病灶且信号衰减明显,识别五层结构困难。此时,观察重点应是病灶的内部回声特点,小间质瘤内部为均匀低回声,这和副脾的点状回声完全不同。打个比方,如果让你分辨一只小老虎(间质瘤)和一个家猫(副脾),你可以通过步态和皮毛来判断(相当于观察胃的五层结构),也可以试图掐一下它们,如果发出“瞄”的声音就是家猫(相当于观察病灶内部的回声特点),下面的病例也是通过上述方法诊断为副脾。

该患者也有脾切除病史,胃镜发现胃底隆起,小探头超声见卵圆形病灶,后方膈肌,内部为典型的均匀点状回声,故诊断副脾,从上述两个病例可以看到,如碰到脾切除后的胃底粘膜下隆起,一定要有副脾增生外压的意识。
正常人群也有副脾外压,但是外压较小,同样可通过观察内部回声来判断。
下面副脾形成一个黄豆大小外压。

3.左侧膈肌病灶外压
膈肌肿瘤十分罕见,来源于左侧膈肌的肿瘤可压迫胃底形成假SMT,一块看看下面病例,胃镜可见胃底粘膜下半球形隆起,EUS探查见类圆形病灶,超声照影增强后发现病灶供血来源于膈肌(图 C),故诊断为膈肌肿瘤导致的胃底外压。

CT的冠状位和矢状位成像确认膈肌来源肿瘤引起的外压。

4.肠道外压
肠腔集气后经常在胃底体交界大弯引起外压,EUS探查可见环状平行展开的弧形高回声(振铃现象:见下图)。因含气的肠腔较软,所形成的假SMT在注气后可展平。

5.胆囊外压
胃镜检查要禁食8小时以上,此时胆囊体积大,常压迫胃窦前壁导致隆起,有时被误认为巨大的粘膜下肿瘤。胆囊结石发病率较高,超声信号衰减不明显时,可见胆囊结石影。

A:胃窦前壁巨*隆大**起性改变;B:EUS探查显示胃壁外侧的代表胆囊壁的第6层高回声(黄色箭头所指);C:改环扫超声内镜后见胆囊结构及内部结石
三
直肠篇
直肠位于盆腔后部,毗邻结构较多,经常受到前列腺、子宫、卵巢、精囊腺等外压,一旦有所疑问,可结合盆腔CT的检查。下面是一个罕见的精囊腺囊肿外压。

表现为SMT的非血管外压的潜在风险虽小于血管,但一旦误判、误切也给临床带来不小的麻烦。同对待“血管性假瘤”一样,EUS操作者必须要有风险意识,熟悉毗邻脏器外压的部位,要多维度动态观察,一旦怀疑“外压性假瘤”,及时改换大探头超声内镜。如鉴别困难,常需和影像科同事商量,通过CT薄层扫描,局部放大,立体重建,联合读片来识别假SMT,切勿贸然进行内镜下手术。
作者简介

胡端敏
曾主持和参与多项省市级和国家级课题(胰腺疾病领域),并在International Gastrointestinal Consensus Symposium和APDW等会议发言。曾于2009年在美国NEW YORK university buffalo school 和2015年在日本自治州大学附属病院学习。2005年获苏州大学教学竞赛一等奖,2007年获苏州大学建行奖,2008年建院20周年希望之星,2011年入选院首批后备学术骨干,2012年获欧洲消化年会的international scholarship,2013年上海交通大学研究生一等奖学金,上海瑞金医院研究生科研优秀奖,2014和2015年两次获苏州市新技术引进一等奖,2016年苏州市新技术引进二等奖,2014年全国超声内镜图像大赛优秀奖,2015年中核控股优秀工作者和2016年苏州大学“学生最喜爱老师”称号。近年来一直从事超声内镜的临床工作、同时致力于胰腺癌分子发病机制研究,多项基础和临床研究结果发表在国外期刊及国内核心期刊上。发表论文50余篇,包括GIE等SCI杂志论文10 余篇,中华系列杂志10 余篇,参超声内镜专著一部。