有的人表面上看起来光鲜靓丽
实际牙齿背后藏了很多黑线
这几条黑线是什么呢?这样的牙齿是不是药丸了?

牙齿咬合面出现黑线一般有两个原因:单纯的色素沉着和蛀牙。
如果你的牙齿是第一种情况,那就不用担心,往往是刷牙不彻底造成的,通过洗牙就可以轻松去除。但是如果置之不理的话,他们有可能会沉积于龈下缝隙,出现在牙齿根部和颈部,影响健康和美观。
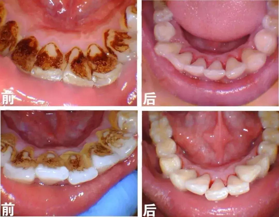
洗牙前后对比图

但是如果你的牙齿是第二种情况,就要注意起来啦!这些黑线很有可能是早期蛀牙的表现,也被称之为“窝沟龋”它的发展主要有3个阶段:
1
牙齿表面形成黑线,初步形成蛀牙

2
牙本质腐蚀,龋坏进一步加深,形成龋洞,牙齿冷热酸疼

3
龋坏影响牙髓,出现明显的疼痛,龋洞更大

如果任由其自生自灭,牙齿出现明显黑线时大概两年会开始烂,再烂个三年后整颗牙就会只剩牙根,不得不拔除。

窝沟龋的治疗方法
1
第一阶段对应的治疗
有条件的话,建议可以去做一个窝沟封闭来预防蛀牙(成年人也可以做的);定期洗牙

2
第二阶段对应的治疗
窝沟龋已经向两侧扩散,窝洞形成。这种情况下,窝沟可以明显用肉眼看出来,大块的,不规则的黑洞。在牙齿还没有疼之前,赶紧去牙科,去除黑色龋坏部分,再用补牙材料填充,及时止损,保护牙齿。

3
第三阶段对应的治疗
窝沟龋发展到这步,就不妙了。细菌已经侵蚀到牙髓,自发痛,激发痛,冷热酸甜疼。这种情况下,先拍片看一下情况。实际操作过程,判断穿透大小,似透非透的,可以保守治疗(同第二阶段方法,垫底,补上)。若是完全黑透了,牙髓裸露了。只能做根管治疗,然后填充,最后在治疗后套个牙冠。总而言之能保留的牙齿还是尽量保留,万不得已才会考虑拔牙。

你可以没有车,也可以没有房,但是你一定要有一口健康的牙齿。如果有了蛀牙问题,尽早到专业医疗机构去看医生,越拖延病情越严重!越拖延治疗费用越贵!所以建议大家多加注意,及早做好牙齿的保护工作,出现问题及早解决。