主要症状及体征
性别:男性。
年龄:41岁。
【主诉】因全身对称性角化性丘疹、结节伴瘙痒6年,于2011年11月来我院就诊。
【现病史】6年前患者在工厂做工接触纸箱后躯干、四肢出现对称性角化性丘疹,伴瘙痒,病情逐渐加重,皮损范围扩大。曾于当地多家医院就诊,给予口服、外用药物(具体不洋)治疗,瘙痒有所缓解,但每年7、8月份加重:近3年来患者在皮具厂做压膜工作后,瘙痒更为剧烈,夜间明显。
【既往史】患者幼年因发热使用抗生素后致耳聋。
【家族史】无其他疾病史,家族成员中无类似疾病患者。
【查体】一般情况好,耳聋不能正常应答,听力残疾三级,其他系统检查无异常。皮肤科检查:躯干、四肢伸侧大片半球形米粒至绿豆大小丘疹、结节,褐色,质硬,密集成片但不融合,表面粗糙、角化过度,伴有抓痕和脱屑,无触痛(图1)。

图1 患者躯干、四肢伸侧大片半球形丘疹,褐色,质硬,密集成片但不融合,表面粗糙、角化过度,可见抓痕和脱屑
【辅助检查】白细胞总数13.5*10^9/L[正常值(3.9-10)*10^9/L],淋巴细胞13%(正常值20%-40%),中性粒细胞84%(正常值50%-70%);T细胞亚群分析示:T细胞(CD3+)56.0%(61.10%~77.0%):T辅助诱导细胞(CD4+CD3+)13.00%(15.8%~41.6%);T抑制*伤杀**细胞(CD8+CD3+)40.0%(18.1%~29.6%);T辅助/T抑制细胞(CD4+/CD8+)0.33(0.90~2.50);体液免疫示:IgE939.0IU/ml(0~150.0IU/ml);传染病8项示:HBsAg(+)、抗HBc(+);HBeAg、抗HBs、抗HBe、梅毒快速血清反应素定性、抗艾滋病病毒(HIV)抗体(IgG)、丙型肝炎病毒抗体均阴性。尿、粪常规无异常。
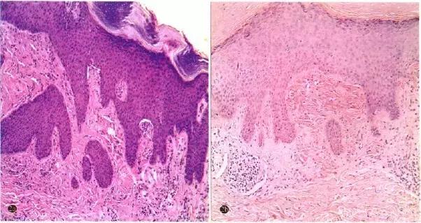
胸部X线片、心电图正常;肿瘤抗原、癌胚抗原正常。上臂及大腿皮损组织病理检查:表皮鳞状上皮增生及角化过度,真皮乳头内粉红色无定形透明样物质沉积,真皮乳头和浅层吋见稀疏炎性细胞浸润;无定形透明样物质刚果红染色呈砖红色(图2)。

图2 患者上臂皮损组织病理 2a)角化过度,棘层肥厚,颗粒层增厚,真皮乳头内可见粉红色无定形透明样物质沉积(HE染色*100);2b)刚果红染色阳性(刚果红染色*100)
治疗经过
给予普鲁卡因注射剂0.4g,每日1次静脉滴注(静脉封闭);抗敏颗粒剂[批准文号:南制字(2006)F01008;成分:苦参,丹皮,地肤子,蛇床子,僵蚕等]10g,每日3次口服;赛庚啶4mg,每晚1次口服;甲泼尼龙8mg,每日2次口服;丙酸氟替卡松乳膏、维A酸软膏每日1次外用,以及冷冻等对症治疗。治疗1周后,全身皮损变薄,颜色变淡,未见新发皮损(图3),瘙痒明显好转,现继续用药,门诊随访症状持续好转。

图3 患者治疗1周后,原有皮损丘疹变平,无新皮疹
最后诊断
原发性皮肤淀粉样变性(泛发性)
病例讨论
原发性皮肤淀粉样变性是一种由于淀粉样物质沉积于正常皮肤中而其他器官均无受累的慢性皮肤病。临床上该病主要分为3型:①苔藓样淀粉样变性,②斑状淀粉样变性,③结节型皮肤淀粉样变性。结合临床表现和组织病理特征,本例符合苔藓样淀粉样变性。
原发性皮肤淀粉样变性局限分布于四肢,泛发性的较为少见。原发性皮肤淀粉样变性被认为是一种代谢类疾病,有研究发现,遗传、环境、机体免疫紊乱、表皮摩擦损伤、EB病毒感染均与本病的发病有关。 该例患者初发病时每天接触纸箱,目前在皮具厂做压膜工作,工作中常有皮肤接触摩擦,可能与皮疹泛发有关。
有研究认为该病与患者免疫异常有关。程少为等研究发现,原发性皮肤淀粉样变性的重症患者血清IgE水平高于轻、中症组及正常对照组,认为血清IgE水平是衡量病变程度的客观指标之一。该例患者IgE939.0IU/ml,远高于正常值,支持了这一结论。本例患者T淋巴细胞亚群异常,提示其细胞免疫功能紊乱,可能是导致其皮损大面积泛发的原因。
该例患者皮损广泛,应与系统性淀粉样变性鉴别,在组织病理上系统性淀粉样变性的皮肤改变不仅在真皮乳头有淀粉样物质沉积,且血管周围也有淀粉样物质沉积。该例患者各系统检查未见异常,骨髓穿刺细胞涂片正常,符合原发性皮肤淀粉样变性诊断。 目前该病治疗方法以部分和短期缓解皮损和症状为主,不能防止复发。虽然该例患者病情有所缓解,但仍需继续用药且长期随访。
病例来源:实用皮肤病学杂志
如何参与病例讨论
即刻添加易可为好友(医客号:702175),加入医客皮肤科练功房。周一晚20点~22点,群主会组织全国的皮肤科医生同胞们一起讨论精华病例,一起交流成长。
① 登录医客APP,进入医客圈
② 点击右上角“添加好友”
③ 在搜索栏输入“易可”,或填写“702175
④ 发送验证消息“皮肤科”,易可会尽快验证通过的哦
有偿病例投稿
投稿者一经录用,根据病例质量,可获得80~300元稿费。以上稿费,仅代表医客对您的感谢,但我们相信,您的作品所产生的价值远远不止这些,医客与粉丝共同期待您的来稿!
投稿方式
邮箱:tianyuji@hk515.com
QQ:351455989
微信:tyj0211