
每个人都想拥有一口健康整齐洁白的牙齿,但牙齿在成长过程中,受某些因素影响,总是事与愿违的变成你讨厌的模样,今天,咱们就聊聊牙齿的颜色!
全文分为三部分;
1、牙齿的外源性着色
2、个别牙的内源性着色。
3、全口牙的内源性着色。
一、牙齿的外源性着色。
*进入口腔的外来色素或口腔中细菌产生的色素沉积在牙面称为牙齿外源性着色。

(图片摘自网络)
通俗的说,外源性着色就是因为口腔卫生不良,抽烟熏得,长期喝茶、喝咖啡、喝中药、嚼槟榔等行为导致的牙齿表面,特别是舌面出现的刷不掉的褐色或黑褐色色素沉着。
注:长期用氯己啶(洗必泰)或高锰酸钾溶液漱口或用药物牙膏,如洗必泰牙膏可在牙面形成浅褐或深褐色着色;牙齿局部氨硝酸银浸镀治疗后,相应部位也会变成黑色。
二、个别牙的内源性着色。
*补牙材料染色:如银汞合金长期与牙齿接触,充填材料会渐渐渗透到牙本质小管引起牙齿变黑或者褐色。

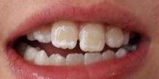
*个别牙齿上出现的白斑(如门牙):牙釉质发育不全(轻度),常出现在切牙中部和切端。


牙齿局部脱矿(下图)

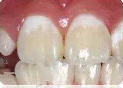
*牙髓坏死:变色的牙齿多有外伤,龋齿或者根管治疗史,多呈暗黄色或灰色,无光泽。

(图片出处见水印)
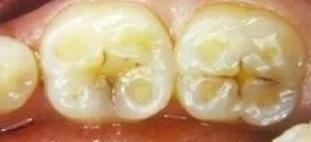
*龋齿:龋齿等牙齿实质性缺损,食物残渣堆积在龋洞内,经产色细菌分解,有色物质进入牙本质,多呈黑绿色。

*牙齿磨损:牙齿外层白色的牙釉质因磨损变薄,牙齿内层的乳黄色的牙本质外显导致牙齿变黄。

三、全口牙的内源性着色。
*四环素牙:在牙发育矿化期,服用的四环素族药物,可被结合到牙组织内,使牙着色。也可导致牙釉质发育不全从而导致牙齿变色。(四环素在牙本质内,因结合部位的深浅而使牙本质着色的程度有所不同,当着色带越靠近釉牙本质界时,越易着色,因而在婴儿早期形成外层牙本质时,用药影响最大。)

*氟斑牙:氟主要损害牙釉质发育期牙胚的造釉细胞,因此,过多的氟只有在牙发育矿化期进入机体,才能发生氟牙症(六七岁之前,避免儿童在高氟地区)

临床上常按其轻、中、重度而分为白垩型(轻度)、变色型(中度)和缺损型(重度)三种类型。
注:饮用水中氟含量过高产生氟斑牙,过低则形成龋齿,当饮水含氟量为1ppm时,既有防龋作用,又不致形成氟斑牙。因此牙膏可选含氟牙膏,有助于预防蛀牙,但对于吞咽控制能力还不完善的儿童,误吞含氟牙膏就会增加氟的摄入量,而过量的氟则容易导致氟牙症,所以小朋友经量少用或者不用含氟牙膏,可定期去牙科涂氟保护牙齿。
上文只是列举了常见的牙齿变色原因,因时间和精力不足,部分原因省略没写,如某些系统性疾病,母婴疾病,营养不良,缺少维生素和肝肾疾病等都会导致牙齿变色。