*力暴**刷法太可笑,楔状缺损来报到。
一冷一热心情燥,疼痛难忍脾气暴。
掌握方法很重要,告别*力暴**巴斯到。、
医生:牙妹 患者:齿哥

1

2

3
齿 啊!
牙 怎么了,齿哥?
齿 我的牙一吃冷或热的食物就会疼,感觉疼痛的地方是在牙齿和牙龈接触的位置,摸起来似乎有个沟儿,用手一抠里面就疼,诶呦!
牙来,我帮你检查一下。
齿好的。
牙你这是“楔状缺损”。
齿 额。
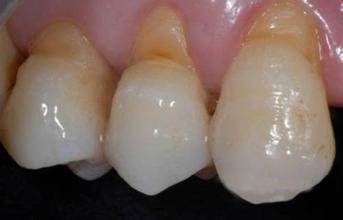
牙 楔状缺损指牙齿牙颈部的硬组织在某些因素长期作用下逐渐丧失,形成由两个光滑斜面组成的楔形缺损。随年龄增长,楔状缺损有增加的趋势,年龄愈大,楔状缺损愈严重。 多见于中年以上患者的前磨牙,其次是第一恒磨牙和尖牙,有时范围涉及第二恒磨牙以前的全部牙齿,常见邻近数个牙齿缺损的程度不同。年轻患者有时可见单个牙楔状缺损。楔状缺损由浅凹形逐渐加深,楔形的两个斜面光滑,边缘整齐。
楔状缺损达牙本质后可出现牙本质过敏症,深及牙髓时可引起牙髓和根尖周疾病,缺损过多可导致牙冠折断。(图1-2)
齿 “楔状缺损”是怎么来的?
牙 先别着急,我先问问,你平时是怎样刷牙的?
齿 刷牙很简单嘛,就是横着刷呗,我给这种刷牙方法起了个名字,叫“横拉锯式”大力刷牙法,效果很好的,不过就是有点费牙刷,用不了多久,牙刷毛就呲开了。(图3)
牙 嗯,找到原因了。你牙齿上的沟儿,可能就是被你刷出来的。
齿 怎么会?牙齿那么硬,刷牙还能刷出沟来?
牙 不良的刷牙方法是发生楔状缺损的主要原因呢。牙刷毛过硬、用力横刷等均易发生楔状缺损。牙齿是很硬,可是牙颈部釉牙骨质交界处是整个牙齿中牙釉质和牙骨质覆盖量最少或无覆盖的部分,为牙体组织的薄弱环节;牙龈在该处易发生炎症和萎缩致根面暴露,故该部位耐磨损能力最低。
齿 哦,这样呀。那除了不良的刷牙方式还有哪些原因也会引起楔状缺损?
牙 酸的作用和牙颈部的应力疲劳。1.酸的作用 龈沟内的酸性环境可使牙颈部的组织脱矿,受摩擦后易缺损。2.应力疲劳 牙齿萌出与对颌牙接触后,开始承受咀嚼压力。在咀嚼运动的过程中,相应部位牙体硬组织承受大小不同的压应力和拉应力交互作用。随着时间的推移,牙颈部硬组织内应力疲劳性微小损伤不断积累发生疲劳微裂,这种内部变化极大地降低了牙颈部硬组织的抗机械磨损和化学腐蚀能力。应力疲劳损伤的积累作用解释了楔状缺损好发于中老年人、承受颌力大的牙位和牙齿应力集中部位的临床现象。
齿 那现在该如何治疗呢?
牙 改变刷牙方法和充填楔状缺损。
(1.消除病因 调磨牙齿,解除(牙合)干扰,均衡全口咬合力负担;使用正确的刷牙方法;刷牙时不要过度用力;选用刷毛较软的牙刷;纠正口腔内的酸性环境,改变饮食习惯,用弱碱性含漱液漱口,如2%小苏打溶液。2.治疗原则 (1)组织缺损少,且无牙本质过敏者,不需作特别处理。(2)缺损较大者可用充填修复治疗;(3)有牙髓感染或根尖周病时,可行根管治疗术。)
齿好的。
国际口腔协会推荐使用巴斯刷牙法:(1)手持刷柄,将刷头置于牙颈部,刷毛与牙长轴呈45°角,刷毛指向牙根方向(上颌牙向上,下颌牙向下),轻微加压,使刷毛部分进入龈沟,部分至于龈缘上。(2)从后牙颊侧以2--3颗牙为一组开始刷牙,用短距离水平颤动的动作在同一个部位数次往返,然后将牙刷向牙冠方向转动,拂刷颊面。刷完第一个部位之后,将牙刷移至下一组2--3颗牙的位置重新放置,注意要与前一部位保持有重叠的区域,按顺序刷完上下牙齿的唇(颊)面。(3)用同样的方法刷后牙的舌(腭)侧。(4)刷上前牙舌(腭)面时将刷头竖放在牙面上,使前部刷毛接触龈缘或进入龈沟,自上而下拂刷,不做来回拂刷。刷下前牙舌面时,自下而上拂刷。(5)刷咬合面时,刷毛指向咬合面,稍用力做前后来回刷。注意上下左右区段都必须刷到。)