导语:在很多胃病患者的胃镜活检报告里,我们经常能够看到肠化这两个字,患者与家属看到这两个字之后 ,可谓是如临大敌 。认为出现的肠化的话,那就离癌症不远了,所以从医院出来之后会到处求医问药 ,甚至听信江湖上的神药,甚至被一些江湖神医骗取金钱。
其实这一切的根源都是由于患者和家属对于肠化了解不够深刻所导致的, 那么肠化到底是什么意思呢?它与癌症有关吗?今天我们就一起来了解一下。

01
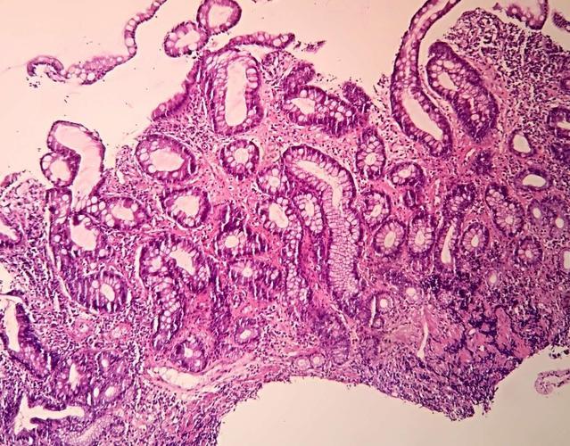
报告上写着“肠上皮化生”,是什么意思?与胃癌有关吗?
慢性萎缩性胃炎的出现,很有可能会给患者带来一些症状,比如 腹痛,消化不良等问题,并且也会容易伴随着恶心、反酸、嗳气等症状。
在胃黏膜受到疾病影响逐渐萎缩之后 ,就有可能出现胃部生长出现一些异常的肠道细胞,这就是“肠上皮化生”,这种疾病与慢性萎缩性胃炎相比, 才是真正的癌前病变。

当你在胃镜活检报告当中看到了肠上皮化生这一个词语的时候, 也可以看成是逆转未来最后的一个阶段。
在这一时期尚且没有出现癌症,但是又离癌症挺近,
因为根据调查结果显示 ,只有极少部分的肠上皮化生才会逐渐发展为癌症。

02
胃“肠上皮化生”离胃癌有多远?
肠上皮化生一般由这些因素诱发: 缺乏维生素C、幽门螺杆菌感染、吸烟、胆汁反流、超重年龄大于50岁等。
根据统计显示 ,肠上皮化生发展为癌症的概率是5%。

从肠化生过渡到胃癌的发展途径是: 正常胃黏膜→慢性浅表性胃炎→慢性萎缩性胃炎→肠上皮化生→不典型增生→胃癌。
从出现肠上皮化生到胃癌是需要很长一段时间的,并不是所有的肠化都会出现癌变的情况,胃黏膜肠上皮化生的类型和 胃肿瘤发生的风险具有着一定的相关性。

根据胃黏膜组织标本特殊染色之后,显微镜之下的 病理形态为粘膜肠上皮化生可以分为Ⅰ、Ⅱ、Ⅲ这三种类型。
- Ⅰ型是完全性肠上皮化生 ,这种情况下一般不会出现恶性风险;
- Ⅱ型是不完全性肠上皮化生 ,一般与完全性肠上皮化生混合存在;
- Ⅲ型是不完全性肠上皮化生 ,具有发展为恶性的风险。

在大量的文献研究当中,Ⅲ型肠上皮化生具有着非常高的胃肿瘤发生可能性,通过对胃黏膜肠上皮化生的患者的长期随访研究当中发现 ,Ⅲ型胃黏膜肠上皮化生患胃肿瘤的风险比Ⅰ和Ⅱ型要高5~10倍左右。
除此之 外,胃黏膜上皮化生的范围与癌症发生的风险也有着一定的 关系,全为各部位的组织,标本当中检,出有肠上皮化生的标本越多, 胃病变的风险就会越大,发生癌症的风险也就会越高。
03
出现肠上皮化生该怎么办?
出现肠上皮化生,虽然不能逆转, 但是可以延缓病程的进度,减少胃癌的发生率,大家要做到以下这几点:
定期复查
如果出现了这种问题,一定要每半年复查一次胃镜,评估胃黏膜化生程度,如果出现了异型增生或者是早期癌,那么一定要尽早处理, 做到早发现、早治疗,这样效果才会很好。

根治幽门螺杆菌
幽门螺杆菌是慢性 胃炎的“头号帮凶” ,若你是幽门螺杆菌的感染者,那么一定要尽早根治,这样能够减轻症状 ,也能够治愈问题。
抑酸治疗
抑酸治疗非常适合高胃酸患者, 在临床上是首选质子泵*制剂抑**,比如奥美拉唑,但是也要注意一点,慢性萎缩性胃炎的患者,若是长期口服抑酸药, 反而会容易加重胃黏膜萎缩问题。

保护胃粘膜的药物
保护胃黏膜,这是治疗肠化生以及萎缩性胃炎的首要药物, 包含硫糖铝、枸橼酸铋钾、替普瑞酮等。
注意饮食
胃炎和饮食息息相关, 大家平时一定要清淡饮食,减少对于胃黏膜的刺激, 也要戒烟戒酒,少吃辛辣油腻刺激性的食物,一日三餐要规律, 千万不要暴饮暴食,不要加重肠胃负担,影响胃部病情。

结语:通过上述的了解,或许大家都已经明白了常化是什么意思,每一个人的心里也都有了清楚的答案,对于这一点大家不要过分担心和害怕,一般肠化都是伴随着慢性胃炎出现的,如果想要避免问题不断扩大,那么就要首先根治原发性的慢性胃炎,然后再养成良好的生活习惯和饮食习惯定期复查,这样才能够使自己的健康得到保障。