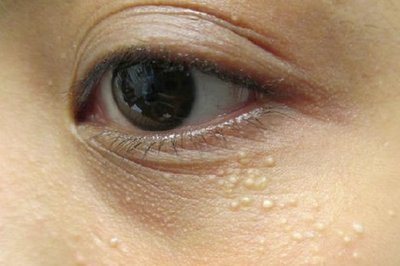
脂肪粒,是美容上的一个俗称,一般为米黄色颗粒状,在眼睛的周围。多发于额头,膝盖处。如果从医学角度讲,脂肪粒应该分为粟丘疹和汗管瘤两种,大家通常说的脂肪粒实际上是指粟丘疹。

导致这种粟丘疹的原因是汗腺开口处的皮肤过度角化,眼部、面部出现油脂粒大多是由于身体内分泌有些失调,致使面部油脂分泌过剩,再加上皮肤没有得到彻底清洁干净,导致毛孔阻塞,很快形成脂肪粒。
这些脂肪粒会直接影响到我们的容貌和社交,眼部的脂肪粒还可能让我们看上去比实际成熟,显老,那么怎么去解决这些影响美观的脂肪粒呢?

自生自灭法
粟丘疹一般不用治疗,只要注意面部清洁、避免过度去角质或长期画浓妆,并选择清爽不油腻的眼霜,坚持一段时间后即会自然脱落。
用针挑出脂肪粒
最好有挑青春痘的经验,当脂肪粒长在离眼睛很近的地方时,最好不要轻易动手。
怎么判断脂肪粒是否可以挑出呢?等脂肪粒变白色或显淡黄色就可以挑了。先拿一根绣花针,用酒精擦擦消毒。然后小心地挑破皮肤表层,将里面白色的浓粒挑出来,一定要挑干净,否则下次还会再长出来,但也要注意别伤到皮肤。最后,用棉签沾点酒精在伤口处消毒,以防感染。
但如果你的脂肪粒是很大个,而且看上去比较严重的话,还是建议不要挑了,因为挑尽会很痛,而且保不准会再长出来的,建议到专业美容院处理。
维生素E
每晚洗完脸后,用维生素E油在有脂肪粒的地方涂抹均匀,大约两周时间脂肪粒就会干掉,这时很容易就可以剥落了,但有些也无效。
涂抹维E的方法比较保险,但耗时较长,有些人看到自己脸上的脂肪粒就忍不住要去挑。不过发在眼睛周围的脂肪粒,还是用抹维E或眼霜的方法,比较靠谱。
按摩油去除脂肪粒
消除眼部脂肪粒,而脸上和鼻子上的脂肪粒,则要靠卸妆油了。
按摩油,用卸妆油的话,一定要给足按摩的时间,最好按摩15分钟左右,这样不但可以按出脂肪粒,还可以按出黑头哟,不过不能经常使用。
还可以多喝水,多排毒,运动出汗。

建议大家不要长时间用手触摸脂肪粒,因为这样可能会导致脂肪粒出现溃破或者化脓反应,这对于我们的身体健康而言是非常不利的,所以建议大家还是要引起重视。