
一谈到辐射这个词,大家往往将它与癌变、致畸、疾病等联系起来。超声波这项最普遍的检查方式对身体有害吗?今天小编就给大家普及下这方面的知识吧~
超声波检查
超声波是一种通过示波屏显示体内各种器官组织对于超声的反射及减弱规律来诊断疾病的一种方法,B型超声波也是其中一种。

B超,是利用超声波在体内传播时,遇到不同密度的器官、组织,发生反射、折射以及吸收现象,通过屏幕显示诊断疾病。

超声波检查一般用于妇科检查、孕期检查、腹部检查、血管检查、胸部和头部检查。可判断各个组织和内脏是否有炎症、脓肿、结石和积液等,以及判断胎儿情况。

关于超声波的辐射:其实超声波属于一种高频率的声波,与辐射无关,当然也不会存在辐射问题。且医院检查所用超声波的输出是在适用范围内,所以才可以用在孕妇身上。
下面这台机器
就是区中心医院超声增添的新“*器武**”
有了它诊疗依据会更加的清晰

飞利浦EPIQ7、EPIQ5
高档超声设备
这台高端设备的“新*器武**”
拥有三个探头
心脏三维探头
乳腺、甲状腺等浅表器官三维探头
阴式妇科三维探头

来看看这些“新*器武**”
带来的新技能吧!
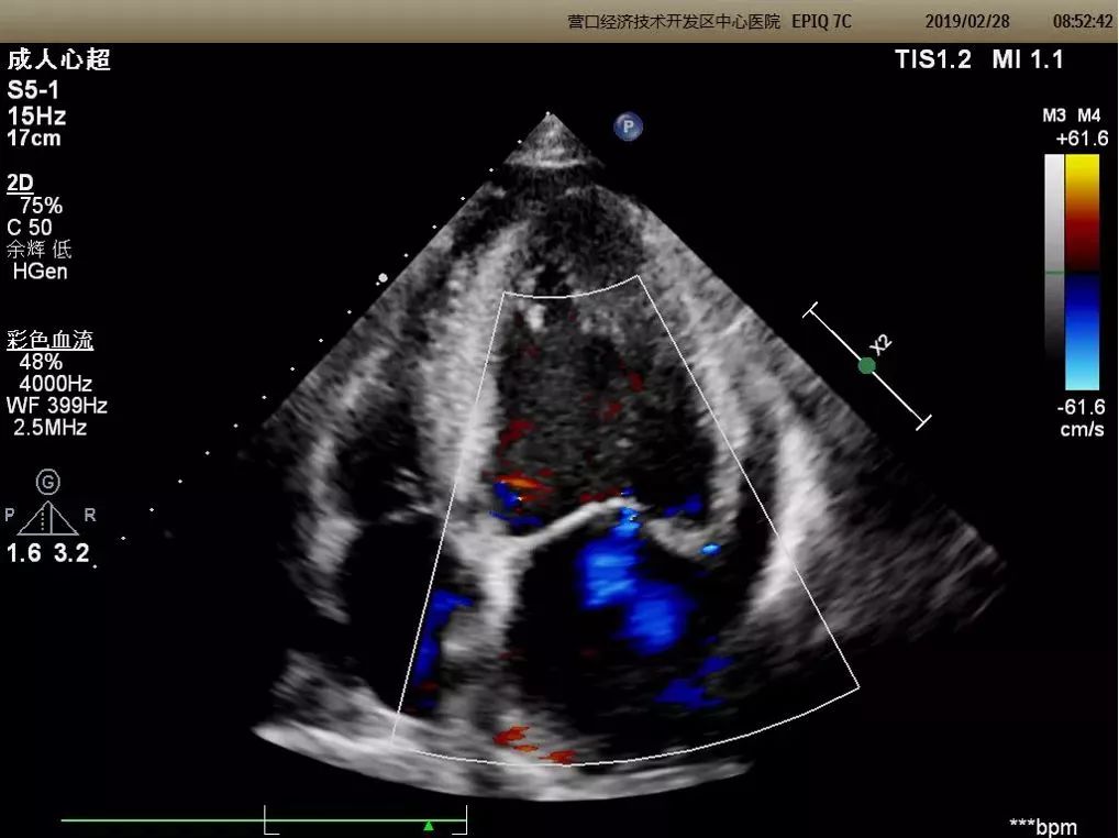
心
脏
心脏三维超声成像
能够整体、直观的获得心脏内部结构图像,医生可多角度、多切面观察,适用于瓣膜病、先天性心脏病等疾病,使超声诊断更加准确。

二维成像

三维成像
浅
表
浅表器官三维超声成像
可显示甲状腺、乳腺结节的三维立体图像,可多角度、多切面观察病灶,对选定区域切割成像,能够清晰显示结节的空间位置、内部细微结构及内部血管树构型,同时进行连续性观察和定量和半定量测量。对肿块的良恶性鉴别提供较大帮助。
弹
性
弹性成像
可反映肿块组织内部软硬度信息,作为鉴别病变性质的重要参数,目前主要适用于乳腺、甲状腺等浅表器官,尤其在乳腺肿瘤方面更为成熟。

二维成像

三维成像
妇
科
经阴道三维超声
可通过三维重建技术,整体、直观的获得子宫的冠状切面,更加直观的显示子宫外形轮廓、宫腔形态及子宫内膜的连续性,能够弥补二维超声的不足,起到补充及确定诊断的作用,适用于子宫先天性发育异常、宫腔内病变及宫内节育器形态及位置异常等疾病的诊断。

二维成像
那么!
哪些超声检查
需要空腹、憋尿、排尿…?

检查前我们一定要清楚
是对哪个部位进行检查

空 腹
当检查单中有以下部位:胆、胰、胃、肾血管等,则需要大家晚上8点后不能进食(包括牛奶、豆浆、果汁、蜂蜜水等),空腹8小时以上。
憋 尿
当检查单中有以下部位:肾、膀胱、子宫、宫颈、前列腺等,则需要膀胱充盈。医护人员都会嘱咐,要喝上8杯水,等候约1个小时,所以提前做好喝水憋尿的准备。
排空膀胱
当检查单中有以下字眼:经阴道、经直肠,则需要排空小便(最好也能排空大便)后进行检查。
特殊准备
有些情况比较特殊,如婴幼儿要求平静状态下行心脏彩超检查,需要镇静配合才能完成,这时候需要按照医生提供的具体指导步骤去做。
一般情况
除以上的情况外,我们只需要在检查时充分暴露受检部位即可。

那在进行超声检查
提前做好相应的准备工作
有什么好处呢?
▼
避免浪费过多时间;
减轻检查前的不适感;
减少检查过程中的干扰因素,提高诊断准确率;
如有既往病例及其它检查报告,最好携带上,以便医生查阅对比,更好地作出诊断。

哪些超声检查
需要空腹、憋尿、排尿
你get到了吗?
专家团队

孔凡凯:知名超声专家返聘出诊
姜洋:副主任医师,省医学会超声医学分会委员,曾在北京*013院医**及安贞医院学习深造。
李志国:从事超声诊断工作20余年,曾在中国医科大学附属盛京医院学习深造,浅表三维超声领航者。
唐杏:医学影像学硕士,曾在北京安贞医院学习深造,心脏三维超声领航者。
张智玲:辽宁省基层卫生协会“超声专业委员会”委员,曾在首都医科大学附属北京妇产医院学习深造,阴式妇科三维超声领航者。

☞鲅鱼圈妇婴医院入选第一批国家分娩镇痛试点医院,营口市第一家!
☞2019营口·鲅鱼圈国际马拉松赛报名火爆!不要错过报名时间
☞新建区第二人民医院内外实景曝光!(预计6月30日完成内外网工程)
☞全城征集丨你有才艺、你爱表演吗?鲅马公益嘉年华等你来点亮!
编辑丨白金泽 美编丨李天娇
校对丨潘 健 主编丨张淼磊