文章来源: 中华结核和呼吸杂志, 2020,43:网络预发表.
DOI:10.3760/cma.j.cn112147-112147-20200321-00392
作者:中华医学会呼吸病学分会 中国医师协会呼吸医师分会
通信作者:瞿介明,Email:jmqu0906@163.com
王辰,Email:cyh-birm@263.net
曹彬,Email:caobin_ben@163.com

摘要
基于已有研究成果和我国前阶段抗疫经验,本文总结了目前新型冠状病毒肺炎病原学、发病机制、流行病学、临床特点、治疗原则、康复与预防以及防控措施等方面的进展和专家意见,以期对疾病防控和临床诊治工作提供借鉴和指导。
2019年12月以来,湖北省武汉市出现了新型冠状病毒疫情[ 1,2,3]。2020年1月12日,世界卫生组织(WHO)将引起这次肺炎疫情的新型冠状病毒暂时命名为"2019新型冠状病毒(2019 novel coronavirus,2019-nCoV)"。2020年2月8日,中国国家卫健委将疾病命名为"新型冠状病毒肺炎(新冠肺炎)",英文名称"novel coronavirus pneumonia(NCP)"。2020年2月12日,国际病毒分类委员会冠状病毒小组建议将新型冠状病毒正式命名为"SARS-CoV-2",同日WHO宣布,正式将这一疾病命名为Coronavirus Disease 2019 (COVID-19)。2020年2月22日,国家卫健委发布通告,将"新型冠状病毒肺炎"英文名称修订为"COVID-19",中文名称保持不变[ 4]。根据我国国情和学术习惯,本文采用以下命名:疾病中文名称"新型冠状病毒肺炎"(简称"新冠肺炎"),疾病英文名称"COVID-19",病毒名称"SARS-CoV-2"。
作为急性呼吸道传染病,该病已纳入《中华人民共和国传染病防治法》的乙类疾病按甲类传染病管理。目前,我国境内疫情已得到较好控制,但境外的发病人数呈上升态势,2020年3月11日, WHO正式宣布新型冠状病毒进入全球大流行状态。随着对疾病防控及诊疗经验的不断积累和全面认识,有必要汇总这些研究的成果和经验,指导防控和临床诊治工作。本文总结了目前COVID-19病原学、发病机制、流行病学、临床特点、治疗原则、康复与预防以及防控措施等方面的进展和专家意见。
一、COVID-19的定义、病原学和发病机制
(一)定义
COVID-19是由新出现的严重急性呼吸综合征冠状病毒2(severe acute respiratory syndrome coronavirus 2,SARS-CoV-2)引起的急性呼吸道传染病。本病潜伏期多为1~14 d,以发热、干咳、乏力为主要临床表现,多数患者临床症状轻微、预后良好;部分重症患者可快速进展为急性呼吸窘迫综合征、脓毒症休克[ 1]。重症患者常合并心肌损伤、急性肾损伤等脏器功能损伤,可进展为多脏器功能衰竭[ 2,3]。
(二)病原学
2019年12月,武汉出现不明原因的病毒性肺炎疫情后,国家卫生健康委指定中国疾病预防控制中心、中国医学科学院、军事科学院军事医学科学院、湖北省疾控中心、中国科学院武汉病毒研究所等作为平行检测单位,共同确定造成本次疫情的病原是新型冠状病毒,2020年1月8日宣布初步病原鉴定结果,并向全世界主动分享了病毒全基因组序列[ 2,5,6,7]。国际病毒分类委员会(ITCV)将该病毒命名为"severe acute respiratory syndrome coronavirus 2(SARS-CoV-2)"[ 8]。
SARS-CoV-2属于冠状病毒科β冠状病毒属,和SARS-CoV属于同一支系。病毒基因组序列比对显示,SARS-CoV2与SARS冠状病毒的同源性为79%左右,与MERS冠状病毒的同源性只有52%左右[ 5]。与SARS-CoV相同,SARS-CoV-2也以血管紧张素转换酶II(ACE2)作为受体,后者广泛分布于肺、心脏、肾脏、胃肠道等多个器官[ 7,9]。
(三)发病机制
研究结果表明,尽管大多数感染SARS-CoV-2的患者仅有轻症呼吸道症状,但约5%的患者进展为严重的肺损伤甚至多器官功能障碍,病死率达2%[ 10]。从武汉SARS-CoV-2出现以来,我国学者进行了大量研究,目前对于COVID-19的疾病特征有了基本了解,但发病机制仍存在众多未知,有待进一步研究。
根据现有关于SARS-CoV-2以及既往关于SARS-CoV的研究结果,我们推测重症COVID-19发病机制为以下3个方面:(1)SARS-CoV-2病毒直接感染导致多器官功能损伤。尸检标本电镜检测结果显示,肺泡上皮细胞内存在大量病毒颗粒[ 1]。此外,目前已有研究不仅从呼吸道标本中,而且从患者尿液及大便标本中分离出活病毒[ 11,12]。(2)以细胞因子风暴和淋巴细胞减少为特征的宿主免疫反应失调也是重症COVID-19发病的重要机制[ 2]。(3)SARS-CoV-2感染可以引起全身多脏器功能损害和凝血功能障碍等,这也参与了重症COVID-19的发病过程[ 3]。
(四)病理改变
1.尸体解剖及大体所见:
双侧肺叶不同程度萎缩。切面可见肺含气量减少,不同程度实变;气管、主支气管、叶支气管内无明显分泌物潴留。大部分患者肺与胸壁粘连,以中下肺叶为重。
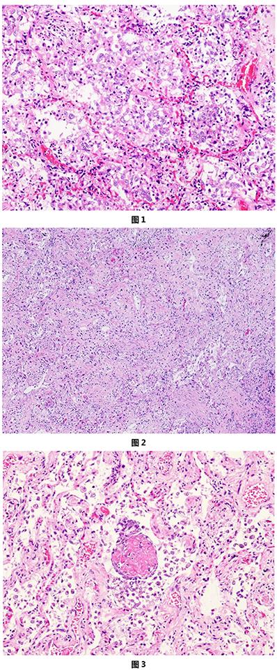
2.光镜所见:
肺内主要病理变化为肺泡腔内多量巨噬细胞、浆液性和浆液纤维素性渗出,伴肺泡腔内出血(图1);肺泡弥漫性损伤;肺泡肉质变;肺实变(图2);部分患者少量肺泡腔面透明膜形成;Ⅱ型肺泡上皮不同程度增生,肺泡间隔不同程度增宽,间质纤维组织增生,可见少量淋巴细胞浸润(图3);部分小气道(主要是细支气管和终末细支气管)黏液性分泌物潴留,甚至黏液栓形成。部分患者继发细菌感染,表现为病灶内以中性粒细胞为主的炎症细胞浸润;少数患者继发真菌感染,表现为病灶内可见真菌菌丝和孢子。以上形态符合病毒性肺炎病理改变,可继发或复合其他病原微生物如细菌、真菌等感染。

图1~3COVID-19患者肺HE染色可见肺泡腔内多量巨噬细胞浸润,肺泡间隔内少量淋巴细胞浸润(图1,中倍放大);纤维组织显著增生,肺实变(图2,低倍放大);肺泡间隔内纤维组织增生变宽(图3,低倍放大)
二、COVID-19的流行病学
(一)传染源
目前认为,传染源主要是SARS-CoV-2感染的患者。无症状或症状轻微的隐性感染者也可能成为传染源,这些患者难以及时诊断和隔离,容易造成社区中传染源的积累,导致控制疾病传播的难度增大。目前的研究证据提示处于潜伏期的患者可能存在一定的传染性,在恢复期早期的患者可以检测到病毒的存在,也可能具有一定的传染性[ 1]。
(二)传播途径
目前认为,经飞沫传播和接触传播是主要的传播途径[ 13]。病毒通过患者咳嗽、讲话时产生的飞沫传播,易感者吸入后导致感染。含有病毒的飞沫沉积在物品表面,经手接触到口腔、鼻腔、眼睛处等黏膜,进入呼吸道,导致感染。在相对封闭的环境中,长时间暴露于高浓度含病毒气溶胶的情况下,存在气溶胶传播的可能。由于在粪便及尿中可分离到新型冠状病毒,存在粪-口传播风险,应注意粪便及尿对环境污染造成气溶胶或接触传播。母婴传播途径存在与否有待进一步研究。
(三)易感人群
COVID-19是一种新发传染病,人群对SARS-CoV-2缺乏免疫力,因而各年龄段人群均易感。老年人和患有慢性阻塞性肺疾病、糖尿病、高血压、心脏病等基础疾病的人感染风险增加。患者和无症状感染者的密切接触者为高危人群。医务人员感染风险亦较高。
三、COVID-19的临床特点
(一)临床表现
潜伏期一般为3~7 d,最短的为1 d,绝大多数在14 d之内。急性起病,早期可表现为发热、乏力,呼吸道症状以干咳为主,少数患者伴有鼻塞、流涕、咽痛、肌痛和腹泻等症状。重症者经过7~10 d后可能逐渐出现胸闷、呼吸困难,严重者并发急性呼吸窘迫综合征、脓毒症休克、难以纠正的代谢性酸中毒和出凝血功能障碍。值得注意的是,部分重型、危重型患者可以起病隐匿,病程中可有中低度发热,或无明显发热。轻型患者症状轻微,表现为低热、乏力,可无肺炎表现。多数患者预后良好,少数患者病情危重者预后不良。
(二)实验室检查
1.一般检查:
发病早期白细胞总数正常或减低,淋巴细胞计数减少。部分患者出现肝酶、肌酶和肌红蛋白增高。多数患者C反应蛋白和红细胞沉降率(ESR)升高,降钙素原正常。严重者D-二聚体升高。重型、危重型患者常有炎症因子升高。
2.病原学及血清学检查:
(1)病原学检查:采集鼻咽拭子、痰和其他下呼吸道分泌物、血液及粪便等标本,采用实时逆转录PCR(RT-PCR)或第二代基因测序(NGS)方法行SARS-CoV-2核酸检测,下呼吸道标本(痰和气道抽取物)更加准确。(2)血清学检查:特异性lgM抗体多在发病3~5 d后开始出现阳性,lgG抗体滴度恢复期较急性期有4倍及以上增高。
3.胸部影像学:
早期呈现多发小斑片影及间质改变,以肺外带明显。进而发展为双肺多发磨玻璃影、浸润影,严重者可出现肺实变,胸腔积液少见。胸部影像学表现没有特异性,必须结合临床表现动态观察,如短期进展明显、双肺多发病灶更支持诊断,但如果患者有肺部基础疾病,常与其他肺部病变不易鉴别,需借助其他检查证实[ 1]。
四、COVID-19的诊断
(一)病原学诊断
1.RT-PCR和(或)NGS检测SARS-CoV-2核酸:
若鼻咽拭子、痰和其他下呼吸道分泌物、血液、粪便等标本中检测SARS-CoV-2核酸呈阳性,均可明确病毒感染。RT-PCR核酸检测是最常用、敏感度最高的COVID-19病原学诊断标准,目前敏感度在50%以上,但部分结果呈"假阴性",可能与标本取样不合格、样本RNA降解、不同提取试剂对最后提取到的核酸数量和质量有关。SAR-CoV-2病毒感染主要侵犯支气管上皮细胞和肺泡上皮细胞,应尽可能采用下呼吸道标本(痰或气道抽取物等)以更准确地反映病毒感染情况。合格的样本采集、尽快送检标本、规范检测操作流程、使用符合标准的检测试剂盒等均能有效提高样本检测的准确率。此外,切口平移法可用于SAR-CoV-2病毒的快速检测筛查。
2.血清学检测SARS-CoV-2特异性抗体:
SARS-CoV-2特异性IgM抗体多在发病后3~5 d后阳性,可用于感染的早期诊断;IgG抗体滴度恢复期较急性期有4倍及以上提高,感染病毒后2周开始产生,持续时间较长。血清抗体检测为《新型冠状病毒诊疗方案(试行第七版)》[ 1]新增的病原学诊断依据,具有简便快速、价格低、易普及等优势,是SAR-CoV-2核酸检测的有效补充手段;但其存在早期检测不出的窗口期、敏感度相对较低等局限性。
(二)诊断标准和体系
COVID-19的确诊依据"流行病学史、临床表现、病原学证实"的综合诊断体系。作为一种严重的急性传染性疾病,流行病史在疾病诊断中尤为关键。COVID-19的平均潜伏期为1~14 d,14 d内有明确武汉及其他严重疫区旅居史是重要流行病学资料之一;发热、干嗽、气促等呼吸道症状是最典型的临床表现,超过86%的患者还有肺部影像学异常,肺部影像学表现具有复杂性和多样性特点,早期多表现为靠近双肺胸膜下的多叶段累及的斑片状、磨玻璃密度影,磨玻璃影中可有增粗的血管或有实变,局部有网格状小叶间隔增厚的表现,胸腔积液少见;随着病情进展,病灶范围可迅速扩大,实变会更明显。COVID-19患者的实验室检查指标,除白细胞正常或下降这一典型的病毒性肺炎表现外,多数伴淋巴细胞下降。病原学证实SARS-CoV-2感染仍是确诊的金标准。无症状携带者也具有一定传染性,且聚集性发病也提示临床医生应予以高度重视,需要动态观察和反复病原学检查。COVID-19诊断标准[ 1]如下。
1.疑似病例:
应结合下述流行病学史和临床表现综合分析:(1)流行病学史:①发病前14 d内有国内外疫区或其他有病例报告社区的旅行史或居住史;②发病前14 d内与SARS-CoV-2感染者(核酸检测阳性者)有接触史;③发病前14 d内曾接触来自国内外疫区或有病例报告社区的发热或有呼吸道症状的患者;④聚集性发病。(2)临床表现:①发热和(或)呼吸道症状;②具有COVID-19影像学特征;③发病早期白细胞总数正常或降低,淋巴细胞计数正常或减少。有流行病学史中的任何一条,且符合临床表现的任意2条。无明确流行病学史的,符合临床表现中的3条。
2.确诊病例:
疑似病例同时具备以下病原学或血清学证据之一者可明确诊断:①实时RT-PCR检测SARS-CoV-2核酸阳性;②病毒基因测序,与已知的SARS-CoV-2高度同源;③血清SARS-CoV-2特异性IgM抗体和IgG抗体阳性,SARS-CoV-2特异性IgG抗体由阴性转为阳性或恢复期较急性期4倍及以上升高。
3.严重度分型 [ 1] :
(1)轻型:临床症状轻微,影像学未见肺炎表现。(2)普通型:具有发热、呼吸道等症状,影像学可见肺炎表现,但无呼吸困难或其他并发症。(3)重型:成人符合下列任何一条:①出现气促,呼吸频率≥30次/min;②静息状态下,指氧饱和度≤93%;③动脉血氧分压(Pa02) /吸氧浓度(Fi02) ≤300 mmHg( 1 mmHg=0.133 kPa)。高海拔(海拔超过1000 m)地区应根据以下公式对PaO2/Fi02进行校正:PaO2/Fi02× [大气压(mmHg)/760]。④肺部影像学显示24~48 h内病灶明显进展>50%者按重型管理。(4)危重型:符合以下情况之一者:①出现呼吸衰竭,且需要机械通气;②出现休克;③合并其他器官功能衰竭需ICU监护治疗。
4.重症危险因素:
依据国家卫生健康委员会《新型冠状病毒肺炎诊疗方案(试行第七版)》[ 1]及《上海市2019冠状病毒病综合救治专家共识》[ 14]结合最新临床研究[ 3,15,16],提出COVID-19普通型患者重症化的临床预警指标:(1)老年(年龄>65岁);(2)伴有合并症,如高血压、糖尿病、冠心病等;(3)外周血淋巴细胞进行性下降,CD4 +T淋巴细胞数<250/µl;(4)外周血炎症因子,例如IL-6、C反应蛋白(CRP)等进行性上升;(5)乳酸进行性升高,乳酸脱氢酶(lactic dehydrogenase,LDH)>2倍正常值上限;(6)肺内病变在2~3 d内明显进展>50%;(7)代谢性碱中毒;(8)序贯器官功能衰竭评分(sequential organ failure assessment, SOFA)高;(9)入院时D-二聚体水平>1 mg/L等是重型的危险因素。
5.鉴别诊断:
对于COVID-19轻型患者,需与其他病毒引起的上呼吸道感染相鉴别,主要为普通感冒和流行性感冒。普通感冒以低热、卡他症状为主要表现,无季节性,人群普遍易感,一般具有自限性。流行性感冒[ 17]则头痛、肌痛等全身症状较多,多在11月底至次年2月底流行。
对于普通型、重型及危重型患者存在不同程度的肺部浸润,要结合病史、辅助检查与影像学表现等与其他病毒性肺炎、非典型病原体等感染所致的肺炎[ 18],及其他非感染性肺病相鉴别。(1)其他病毒性肺炎:主要鉴别流感病毒、人禽流感病毒、腺病毒、呼吸道合胞病毒、中东呼吸综合征冠状病毒及SARS病毒等所致病毒性肺炎,需结合流行病学史(如流行季节和疫区旅游史等)及临床特征和病原学检查结果。(2)非典型病原体肺炎:主要包括支原体、衣原体、军团菌所致的下呼吸道感染,发病多有聚集性。刺激性干咳为支原体感染较为特异的临床症状,呈进行性加重。衣原体肺炎与支原体肺炎临床表现类似,大多数预后良好,少数鹦鹉热衣原体感染可引起重症肺炎,需要警惕。军团菌流行病学史包括接触被污染的空调系统或水源等。临床常表现为相对缓慢的发热、急性发作性头痛、非药物引发的意识障碍或嗜睡、非药物引起的腹泻、休克、急性肝肾功能损伤、低钠血症、低磷血症等。(3)非感染性肺病:包括急性间质性肺炎、机化性肺炎、肺水肿、肺泡出血、结缔组织疾病引起的继发性间质性肺炎,需要详细询问病史,结合相应临床表现、特异的实验室指标等进行鉴别。
五、COVID-19的治疗
(一)一般治疗
根据COVID-19临床分型进行分层治疗,轻症和普通型一般治疗,包括:(1)适当卧床休息;(2)支持治疗:保持一定能量摄入,保持水电解质和酸碱平衡,维持内环境的稳定。(3)注意生命体征监测,包括体温、呼吸、脉率和血氧饱和度。
(二)抗病毒治疗
目前尚无治疗COVID-19的有效抗病毒药物。WHO根据现有的研究证据列出亟待优先评价的候选抗病毒药物,包括瑞德西韦(Remdesivir)、洛匹那韦/利托那韦单药或联合干扰素等[ 19]。瑞德西韦对冠状病毒的体外抗病毒活性较强,SARS和MERS动物实验结果均显示出良好的抗病毒效果[ 20,21],且已有临床试验的数据显示其安全性良好[ 22]。目前我国正在进行两项随机、对照、双盲临床研究分别针对轻中症和重症的COVID-19患者,以期获得瑞德西韦可靠的疗效与安全性结果(临床试验注册号分别为NCT04252664、NCT04257656)。洛匹那韦/利托那韦虽然无SARS-CoV-2的体外研究数据,但其在SARS和MERS的体外和体内均积累较为充足的研究证据[ 23,24]。2003年SARS流行期间,我国香港学者采用回顾性队列研究发现,与111例利巴韦林单药治疗相比,洛匹那韦/利托那韦和利巴韦林联合治疗的41例SARS患者发生ARDS或死亡的风险更低[ 25]。2016年沙特启动了一项洛匹那韦/利托那韦联合干扰素-β治疗MERS-CoV患者的随机对照试验(NCT02845843),研究尚在艰难招募中[ 26]。中国肺炎研究网牵头组织开展的一项洛匹那韦/利托那韦的随机、开放、对照的研究结果显示,洛匹那韦/利托那韦存在一定的临床效果但获益并不令人满意,仍需更多的研究确认该药物的疗效(ChiCTR2000029308)[ 27]。需要注意洛匹那韦/利托那韦与其他通过细胞色素P450代谢的药物的相互作用,重点关注胃肠道的不良反应。法匹拉韦和利巴韦林也是核苷类似物,体外研究结果证实利巴韦林对冠状病毒的抗病毒活性较弱;法匹拉韦对SARS-CoV-2的体外EC60高达61.88 μmol/L[ 28],理论上体内需要较高血药浓度才能达到抗病毒作用。目前已有部分学者对外公布法匹拉韦治疗COVID-19存在临床获益,期待相关同行评议的学术文献发表。此外,部分研究者提出使用阿比多尔治疗COVID-19,但缺乏抗病毒作用机制。总之,通过严格设计的随机对照临床试验,评价抗病毒药物的疗效和安全性,是保持临床科研攻关科学性的可靠方法。
(三)抗菌治疗
应避免盲目或不恰当使用抗菌药物。建议疫情防控与抗菌药物管理计划(antimicrobial stewardship,ASP)联合起来[ 29],高级别感染病学专家和临床药师既应是院内ASP团队核心成员,也应积极参与疫情的应对和准备,如专家团队早期识别潜在病例,微生物实验室进行病原体鉴定,抗感染临床药师帮助调整抗菌药物治疗方案,监测和管理因疫情供应不足而造成的药物短缺,协调疫区前线获取新药途径等。
轻型及普通型COVID-19患者不建议使用抗菌药物,重型及危重型患者如评估存在合并或继发细菌、真菌感染时可使用抗菌药物治疗,治疗前应完善适当的呼吸道病原检测,包括其他呼吸道病毒检测、细菌涂片及培养、真菌相关检测等,经验性治疗应参考当地肺炎流行病学及细菌和真菌耐药监测数据。如评估存在脓毒症,应在初次患者评估后1 h内给予抗菌药物[ 30],并及时根据微生物学结果和临床判断降阶梯治疗[ 1,30]。
COVID-19患者不合理使用抗菌药物,会增加院内耐药细菌感染的风险,此外重型或危重型患者早期淋巴细胞下降,部分患者较大剂量使用糖皮质激素,入住ICU,接受无创或有创机械通气等抢救措施,都是继发侵袭性真菌感染的高危因素[ 31]。建议遵循院内获得性肺炎及侵袭性真菌感染相关指南,合理选择药物。
(四)免疫调节治疗
1.糖皮质激素:
糖皮质激素在COVID-19中的应用由于没有RCT研究证据,具有争议。研究结果显示,中低剂量的糖皮质激素可降低重症病毒性肺炎患者的病死率和缩短住院时间,而不会导致继发感染或其他并发症[ 32]。国家卫健委《新型冠状病毒感染的肺炎诊疗方案(试行七版)》[ 1]建议对于氧合指标进行性恶化、影像学进展迅速、机体炎症反应过度激活状态的患者酌情短期使用糖皮质激素。国内回顾性研究结果显示,中低剂量糖皮质激素对病毒清除时间未见明显影响,重症型患者可能有潜在受益[ 33]。
鉴于目前的证据有限,糖皮质激素在COVID-19患者中需谨慎使用,严格把握适应证及禁忌证,具体建议如下[ 34]。(1)原则:①慎用糖皮质激素,严禁使用糖皮质激素退热;②对于SARS-CoV-2感染前因自身免疫病、肾病综合征、支气管哮喘等基础病已经规律使用糖皮质激素的患者,糖皮质激素的使用剂量应该结合患者基础病和感染严重程度个体化使用。(2)适应证(以下2个条件需同时具备):①影像学进展迅速(24∽48 h内病灶进展>50%);②静息未吸氧状态下,患者血氧饱和度(SPO2)≤93%或呼吸窘迫(呼吸频率≥30次/min)或氧合指数≤300 mmHg。(3)以下情况慎用:①糖尿病患者,正在接受口服药物或胰岛素治疗;②已知对甲泼尼龙、氢化可的松、地塞米松或其他赋形剂过敏;③难治性高血压;④癫痫或谵妄状态;⑤青光眼;⑥已知的近3个月内活动性消化道出血;⑦已知的难以纠正的低钾血症;⑧已知继发细菌或真菌感染;⑨已知的免疫抑制状态(如化疗、放疗或术后1个月内,HIV感染);⑩严重淋巴细胞减低(外周血淋巴细胞绝对值<300/µl)。(4)用法、用量和疗程:建议剂量不超过相当于甲泼尼龙1∽2 mg.kg-1.d-1,疗程5∽7 d。应当注意较大剂量糖皮质激素的免疫抑制作用会延缓对冠状病毒的清除。
给药方式:医师可根据病情酌情考虑,建议静脉点滴为主。若病情允许,可逐渐过渡为口服。
2.细胞因子靶向治疗:
COVID-19导致死亡的主要原因之一就是过度的免疫反应诱发的细胞因子风暴,进而导致肺组织损伤/修复失衡和呼吸衰竭[ 35]。文献报道,金银潭医院收治确诊的99例COVID-19患者中,超过50%的患者IL-6升高[ 36]。此外,COVID-19患者血浆细胞因子水平均显著升高,并且重症患者IL-2、IL-7、IL-10、G-CSF、IP-10、MCP-1、MIP-1α和TNF-α等炎症因子水平更明显高于非重症患者[ 2]。因此,对于这些患者,积极寻找相关标志物并进行干预治疗,避免进一步的肺损伤和呼吸衰竭,无疑是重要的治疗手段之一。
目前,针对细胞因子风暴的治疗缺乏循证医学证据,需要权衡利弊使用。细胞因子风暴的靶向治疗包括细胞因子拮抗治疗、细胞因子前的信号通路封闭治疗等策略。目前常用的靶向治疗药物包括IL-6拮抗剂、Janus激酶(JAK)*制剂抑**等(表1)。IL-6拮抗剂——托珠单抗(Tocilizumab, TCZ)是针对IL-6受体的重组人源化单克隆抗体,是治疗细胞因子释放综合征(CRS)的一线药物[ 37,38],已被写入国家指南第七版[ 16]。肿瘤坏死因子(TNF)拮抗剂——依那西普(Etanercept)用于治疗类风湿关节炎和强直性脊柱炎,可竞争性与血TNF-α结合,阻断TNF-α和细胞表面TNF受体结合,降低TNF-α活性,控制炎症反应,用于巨噬细胞活化综合征的治疗[ 39]。JAK通路是多种炎症因子所依赖的信号传导通路,*制剂抑**包括托法替布(Tofacitinib)、芦可替尼(Ruxolitinib)。上述药物可以通过暂时抑制或调节的机制,及时阻断失控的细胞因子风暴,为患者度过危险期提供最重要的干预措施,帮助患者度过最紧急的不当免疫激活致死期。

但需注意的是,在危重型病毒性肺炎患者中往往合并有细菌或真菌感染,会导致复杂的免疫局面,在使用细胞因子拮抗剂时需要高度警惕。
3.恢复期血浆治疗:
即采集康复患者恢复期血浆,经过严格的制备程序,获得安全、具有高滴度中和抗体的生物制品并将其输注给患者,通过降低病毒载量达到治疗目的。COVID-19患者恢复期血浆治疗适用于病情进展较快、重症和早期危重症患者,但其疗效和安全性尚需进一步的临床研究予以证实。恢复期血浆治疗应遵循以下原则:(1)起病14 d内输注可能疗效更好,原则上病程不宜超过3周;SARS-CoV-2核酸检测阳性或存在病毒血症。(2)病情进展快的重症患者,危重症早期患者或经评估需要进行血浆治疗的患者。使用禁忌:有血浆输注过敏史或人体血浆蛋白类制品过敏史;有枸橼酸钠过敏史;有亚甲蓝过敏史者严禁使用经亚甲蓝病毒灭活血浆;有其他严重过敏史或血浆使用禁忌证。对全身情况差、预计生存时间<7 d者,心、肝、肾等重要脏器严重功能障碍者,妊娠期、哺乳期妇女不宜采用恢复期血浆治疗。具体用法用量及不良反应管理参考国家卫生健康委颁布的《新型冠状病毒肺炎康复者恢复期血浆临床治疗方案(试行第二版)》[ 42]。
4.干细胞治疗:
一些具有免疫调节和抗炎能力的细胞可减轻肺损伤、促进肺组织修复,抑制肺纤维化,对改善COVID-19患者的呼吸功能和预后具有积极作用[ 43,44,45]。国务院联防联控机制科技攻关组启动了干细胞治疗COVID-19临床研究应急攻关项目[ 46]。
目前干细胞临床治疗处于探索性阶段,干细胞治疗COVID-19原则上应在科技部应急科技攻关项目确定的范围内进行,并参照《干细胞治疗新型冠状病毒肺炎(COVID-19)临床研究与应用专家指导意见》进行实施[ 47]。患者接受不多于3次干细胞输注,每次输注剂量为(1~5)x106个细胞/kg体重,每次间隔时间建议不少于3 d。针对干细胞输注后可能出现的不良反应应有具体的处置方案。有应对严重不良事件的救治方案,并按相关规定报告医院主管部门、机构伦理委员会及相关卫生和药品行政管理部门。
5.其他治疗:
(1)氯喹(chloroquine):研究结果显示,氯喹可通过改变内吞体的pH值以有效预防和阻止SARS病毒在细胞中的复制[ 48]。氯喹还能通过减少ACE2受体的末端糖基化、干扰SARS病毒与ACE2受体结合来发挥抑制病毒复制的作用[ 49]。我国研究团队在体外实验中初步证实了氯喹具有抗SARS-CoV-2的活性[ 28]。在10多所医院开展的多中心临床试验结果也显示,氯喹对COVID-19具有明显的疗效和可接受的安全性[ 50]。国家卫健委最新版《新型冠状病毒肺炎诊疗方案(试行第七版)》推荐:18~65岁成人,体重50 kg以上者每次500 mg、每日2次,疗程7 d;体重50 kg及以下者第1、2天每次500 mg、每日2次,第3~7天每次500 mg、每日1次,疗程7 d。需要注意的是,有心脏病者禁用,用药前必须心电图检查正常[ 1]。羟氯喹是氯喹的衍生物,药理作用完全覆盖氯喹,毒性仅为氯喹的一半,目前正在进行的一项评价其治疗COVID-19有效性和安全性的多中心、随机、对照临床试验中,前3 d的起始剂量为风湿免疫病推荐的3倍剂量,后续治疗为2倍剂量,轻型、普通型疗程为14 d,重型为21 d。
(2)阿比多尔(Arbidol):阿比多尔是一种非核苷类广谱抗病毒药物[ 51],体外研究中也被证明对冠状病毒有效[ 52]。一项对69例COVID-19患者的回顾性分析结果显示,阿比多尔有提高排尿率、降低病死率的趋势[ 53]。根据国家卫健委最新版《新型冠状病毒肺炎诊疗方案(试行第七版)》推荐:成人200mg、每日3次、疗程不超过10 d[ 1]。
(3)青蒿素(artemisinin):研究结果显示青蒿素类化合物对多种病毒均具有抑制作用[ 54],但目前青蒿素用于COVID-19的临床治疗尚有待进一步研究。
(五)呼吸支持治疗
1.普通氧疗:
低氧血症(呼吸空气时PaO2<60 mmHg或SpO2≤93%)的患者应立即给予氧疗。常用的普通氧疗装置包括鼻导管、普通面罩、文丘里面罩和非重复呼*储吸**氧面罩等。初始氧气流量设置为5 L/min,随后滴定氧气流量使SpO2维持在94%~98%(孕妇患者至少95%以上);合并慢性高碳酸血症病史的患者维持SpO2在90%~92%即可。在吸氧流量>10 L/min条件下, 1~2 h后低氧血症无改善或恶化应立即更换其他呼吸支持方式[ 55,56]。
2.经鼻高流量氧疗(HFNC)和无创正压通气:
当普通氧疗装置难以纠正急性低氧性呼吸衰竭(150 mmHg≤PaO2/FiO2<300 mmHg)和(或)呼吸困难时,可以考虑早期HFNC治疗,但不建议应用于血流动力学不稳定、多脏器功能衰竭、神志不清或严重二氧化碳潴留(pH值<7.3)等患者[ 57]。应用HFNC治疗后应严密(1~2 h)监测疗效反应,若使用后病情无好转或持续恶化,或吸入氧浓度超过50%也不能维持SpO2>90%时,应及时更换为无创通气[ 58,59]。
对于无气管插管指征且PaO2/FiO2>150 mmHg的患者,可尝试应用无创通气治疗观察1~2 h,若有效则继续使用。若使用后病情无好转或持续恶化,或吸入氧浓度超过60%和呼气末正压(或持续气道内正压)超过8 cmH2O也不能维持SpO2>90%时,应及时更换为有创正压通气。
3.有创正压通气:
若上述呼吸支持方式难以纠正低氧血症或出现气道保护能力差、血流动力学不稳定等情况时,应立即气管插管实施有创正压通气[ 60]。
(1)小潮气量通气:强烈推荐使用小潮气量(4~8 ml/kg理想公斤体重)和低平台压(<30 cmH2O)通气。初始潮气量可以设置6 ml/kg,可以适当增加潮气量至8 ml/kg,但同时尽量保证平台压低于30 cmH2O[ 59,61]。
(2)呼气末正压(PEEP):建议根据肺的可复张性和P/F比值,以及血氧分压滴定PEEP水平[ 62]。对于肺泡可复张性较差的患者,尤其在COVID-19病程后期出现肺组织纤维化或机化改变时,建议给予低水平PEEP设置;相反,应给予高水平PEEP设置。
(3)俯卧位通气:对于常规通气参数调节未能改善氧合的重度ARDS患者(PaO2/FiO2<100 mmHg),推荐常规实施俯卧位通气,且俯卧位通气时间至少>12 h[ 63]。
(4)肌肉松弛药物:对于中重度ARDS患者(PaO2/FiO2<150 mmHg),不应常规给予肌肉松弛剂治疗。当患者出现严重的呼吸窘迫症状和人机不协调、呼吸驱动过强导致难以实施小潮气量通气时,可以考虑在充分镇静和镇痛前提下短期使用肌肉松弛剂(如罗库溴铵、阿曲库铵等)。当病情好转,需要及时考虑降低或停用肌肉松弛剂和镇静药物。
(5)肺复张手法(RM):RM主要应用难治性低氧血症患者的补救措施,但不能常规应用于ARDS患者。RM常用方法包括高水平持续气道内正压(35~40 cmH2O,维持40 s)或压力控制通气方法(吸气压力为10~15 cmH2O,PEEP为25~30 cmH2O,维持1~2 min)等。过高水平RM(最大气道压为60 cmH2O,2 min)会恶化ARDS患者预后,尤其对于存在血流动力学不稳定的患者[ 64]。
4.体外膜式氧合(extracorporeal membrane oxygenation,ECMO):
鉴于COVID-19的潜在可逆性,建议在应用传统标准治疗手段(肺保护性通气潮气量为6 ml/kg,平台压<30 cmH2O,PEEP≥10 cmH2O,并且联合肺复张、俯卧位通气、肌肉松弛剂等手段)无明显改善时应考虑ECMO治疗:(1)PaO2/FiO2<100 mmHg,或肺泡-动脉氧分压差[P(A-a)O2]>600 mmHg;(2)通气频率>35次/min时pH值<7.2,且平台压>30 cmH2O;(3)年龄<70岁;(4)机械通气时间<7 d。也可参照EOLIA研究标准[ 65],满足下面条件之一即可考虑ECMO:(1)PaO2/FiO2< 50 mmHg超过3 h;(2)PaO2/FiO2<80 mmHg超过6 h;(3)动脉血pH值<7.25并伴有PaCO2>60 mmHg超过6 h。早期应用(PaO2/FiO2为100~150 mmHg)ECMO治疗ARDS,有利于减少呼吸驱动,减轻肺部及全身的炎症反应,避免肺脏及其他脏器功能严重受损[ 66,67]。对于部分年轻、对治疗配合程度高、未合并其他脏器功能衰竭及其他严重肺部感染的患者,可谨慎考虑早期进行"清醒ECMO"治疗[ 68,69]。模式以静脉-静脉ECMO(VV-ECMO)为主,如有明显心肌受累,可考虑静脉-动脉ECMO(VA-ECMO)。鉴于ECMO的专业性及高风险性,应成立ECMO中心,由具有成熟管理经验的专业团队集中管理。早期气管切开可改善气道管理,可在深度镇静、肌肉松弛及严格防护条件下进行,以减少气管切开的风险。为减少气管切开出血的风险,可在建立ECMO之前进行。
(六)血液净化
1.急性肾损伤(acute kidney injury,AKI):
重症COVID-19患者可能会出现AKI,应积极寻找导致肾损伤的各种原因,并给予纠正。重症COVID-19患者合并AKI的比例为3%~9%[ 70]。引起AKI的原因有多种,包括低血容量、平均动脉压过低导致肾灌注不足,感染、药物等导致直接肾损害等。需积极纠正各种因素,减轻肾功能损伤[ 1,2,36,71,72]。关于AKI的处理,可参考改善肾病患者预后国际基金会(kidney disease: improving global outcomes,KDIGO)2012临床指南[ 73],以及2016拯救脓毒症运动指南[ 74]等。
2.血液净化治疗:
评估重症COVID-19患者AKI的严重程度,必要时行血液净化治疗。参考KDOGO指南评估AKI严重程度并进行相应管理。血液净化技术包含了肾脏替代治疗、血液或血浆灌流、吸附、血浆置换等多种模式。重症COVID-19患者进行血液净化治疗的目的包括:(1)清除肌酐、尿素氮等代谢产物及通过对流、吸附或血浆置换来清除各种炎症介质,重塑免疫内稳态;(2)调控容量,纠正液体过负荷,有助于维持重症患者血流动力学稳定;(3)纠正电解质及酸碱平衡紊乱,维持内环境稳定;(4)辅助控制高热;(5)与ECMO联合,发挥体外多器官支持的作用。
血液净化治疗重症COVID-19肺炎患者的流程分为4个步骤:评估重症COVID-19患者是否需要血液净化,选择血液净化的模式,监测及调整治疗过程中的参数,评估血液净化停止时机。
1/4~1/3的危重型COVID-19患者合并脓毒症休克及多器官功能衰竭【72】,主要原因为严重低氧血症及全身炎症风暴。血液吸附可以清除炎症因子,减轻炎症风暴。
(七)营养支持治疗
COVID-19患者由于出现感染、发热等症状,部分患者进展为ARDS,机体处于高分解代谢状态,引起营养代谢障碍。COVID-19患者营养风险评估建议使用营养风险筛查评分简表(NRS2002)或改良NUTRIC评分工具[ 75]。NRS2002评分≥3分提示有营养不良风险,需要进行营养干预,对于NRS2002评分≥5分或改良NUTRIC评分≥5分,要尽早给予营养治疗。根据《关于新型冠状病毒肺炎患者的医学营养治疗专家建议》[ 76],推荐五阶法实施营养治疗,即膳食+营养教育、口服肠内营养(ONS)、管饲肠内营养、补充性肠外营养(SPN)及全肠外营养(TPN)。若无法自主进食,则建议48 h内启动肠内营养。对于存在经口进食或肠内营养禁忌证的患者,需要在3~7 d内启动肠外营养[ 75]。同时为避免过度喂养,重症患者的肠内营养和肠外营养应在3~7 d内逐渐达到目标喂养量。国内外主流指南和COVID-19快速建议指南中推荐:根据疾病危重程度,推荐按照20~30 kcal.kg-1.d-1供给并尽快达到目标能量[ 77];对于重型COVID-19患者,建议目标喂养量为25~30 kcal.kg-1.d-1。需强化蛋白质供给,增加蛋白质的比例,根据国家卫健委最新版《新冠病毒肺炎重型、危重型病例诊疗方案(试行第二版)》推荐按照1.5~2.0 g.kg-1.d-1(氮0.25~0.33 g.kg-1.d-1)供给,提高支链氨基酸供给,从而促进蛋白的合成。当蛋白量摄入不足时,建议在标准整蛋白制剂基础上额外添加蛋*粉白**。
经ONS途径的无创通气患者,建议在进食时更换成鼻罩或暂时更换成经鼻高流量氧疗,以降低进食过程中出现低氧血症的风险;无创通气患者优先推荐"钮式"面罩,因为该型面罩上设有胃管出口,不影响无创通气效率,同时更有利于肠内营养的顺利实施。如果无创通气患者出现胃泡严重胀气,推荐幽门后喂养。有创机械通气或接受ECMO的患者,若无肠内营养的禁忌证,建议尽早行管饲肠内营养。经胃为首选的管饲营养喂养通道。行空肠喂养和使用质子泵*制剂抑**的重症患者往往出现维生素B12的吸收障碍,应额外补充维生素B12 [ 78]。科学合理的营养治疗对于重症COVID-19患者疾病恢复、预后改善至关重要。
(八)抗凝治疗
COVID-19患者常出现凝血功能异常[ 2,36],尤其是重型和危重型患者的凝血功能障碍更加明显[ 2,3]。所有的重型、危重型COVID-19患者都具有发生静脉血栓栓塞症(VTE)的风险,如果没有禁忌证,均应进行VTE的预防。
采取预防措施前应对患者进行全面评估,包括基础疾病、实验室检查(如凝血功能、血常规、肝肾功能等)、合并用药及侵入性操作的评估。对于合并低出血风险患者,建议首选低分子肝素(LMWH)皮下注射进行预防,可应用3000或4000 U(1次/d),具体用药剂量需结合患者个体化情况进行调整;因LMWH由肾脏清除,需注意患者肾功能,肾功能不全者慎用,若应用则需减量并监测血浆抗Ⅹa因子活性。
对于严重肾功能不全患者,可以使用普通肝素,一般情况下5 000 U,皮下注射,2次/d。临床上可根据患者的具体情况进行调整。对于收住ICU的危重型COVID-19患者,建议应用药物预防和(或)机械预防。对于已经应用ECMO支持的患者,如果已经肝素化,则不必应用额外的药物预防,以免增加出血的风险。
使用肝素类药物可能会引起肝素诱导的血小板减少症(HIT)。对于合并血小板减少或应用肝素期间出现HIT的患者,推荐应用其他抗凝药,如阿加曲班、比伐卢定、磺达肝癸钠、利伐沙班等。
在预防VTE过程中需注意观察抗凝药物使用后是否有出血或凝血功能异常,一旦出现可以先停药并做相应处理,并根据出血风险变化,动态调整预防手段。药物预防的时间应该贯穿于整个ICU收住期间,或直到危险因素去除。对于高出血风险患者,可以考虑使用间歇充气加压泵(IPC)。
在COVID-19的综合救治过程中,需要动态监测患者病情变化,尤其是对于卧床>3 d的患者,如果出现单侧下肢或者双侧下肢的不对称疼痛、肿胀或不适,或中心静脉置管的患者出现置管侧肢体局部肿胀或浅表静脉充盈,需要警惕深静脉血栓(DVT)的发生;如果出现用基础疾病难以解释的胸痛、咯血、呼吸困难、低氧血症、血压下降等临床表现者,需要警惕肺血栓栓塞症(PTE)的发生[ 79]。临床高度怀疑DVT或PTE时,诊断应以床旁检查(下肢静脉超声及超声心动图)为主,若防护条件允许,建议行肺动脉CT血管造影术(CTPA)除外PTE。
对于确诊DVT或PTE,或根据临床综合判断高度怀疑VTE的患者,如果没有抗凝禁忌证,建议启动抗凝药物治疗。考虑不同治疗药物的不良反应与药物间相互作用等问题,建议使用胃肠外抗凝药物,抗凝的标准疗程为至少3个月。抗凝治疗过程中应注意监测血小板计数与肾功能水平,如果出现D-二聚体持续升高,应积极寻找原因,实时调整抗凝策略[ 1,80]。
六、COVID-19的康复与健康管理
(一)康复
对隔离空间的患者通过音频、视频、小册子或者远程会诊的方式进行呼吸康复指导,解除隔离的出院患者,可根据功能障碍的情况开展多种形式的综合康复治疗[ 81]。评估和监测应该贯穿整个呼吸康复治疗的始终,并严格掌握适应证和禁忌证。
1.轻型患者临床症状轻微,可能伴有恐惧、焦虑等心理障碍[ 1,82]。应积极向患者普及COVID-19疾病防控的相关知识,并告知病情加重时的对策和求助方式[ 30],劝导戒烟。加强心理干预,利用手册和音频、视频进行心理疏导[ 82]。指导患者进行低强度运动,以第2天不出现疲劳为宜[ 81]。
2.普通型患者因活动量减少导致肌力下降、痰液廓清障碍[ 81],血栓风险增加[ 79],同时可能伴有焦虑、抑郁等心理问题[ 83]。康复干预注意保持气道通畅,采取胸部扩张技术帮助排痰。每天运动的强度介于静息(1.0 METs)和轻度体力活动(<3.0 METs)之间,运动时长为15~45 min,可采取间歇运动方式[ 81]。根据患者喜好选择呼吸康复操、简易太极拳、八段锦等。因3%~5%的患者可能转为重症,故在康复治疗中需严密观察生命体征变化,严格把握康复介入和中止指征[ 2,84]。
3.重型和危重型患者可能出现呼吸功能和躯体功能障碍,应积极寻找导致患者低氧和躯体损伤的各种原因,早期康复有助于减少并发症,预防及改善功能障碍,降低致残率和提高生活质量,康复的介入时机可参照《2019新型冠状病毒肺炎呼吸康复指导意见(第二版)》[ 81]。新型冠状病毒可攻击多个器官或系统组织,可致肺脏不同程度实变、支气管腔内黏液及黏液栓形成[ 1]。危重型患者多因免疫力极度低下或进行性降低而致全身性感染、休克与多器官功能障碍综合征[ 10]。康复治疗措施包括:(1)气道廓清管理[ 81]:使用气道内振动或呼气期正压呼吸治疗(oscillatory positive expiratory pressure,OPEP)。(2)体位管理和早期活动[ 85]:尽量给予抗重力体位,以及渐进性主被动活动。对ARDS患者每天俯卧位通气12 h以上。(3)肌肉再训练[ 86]:采用神经肌肉电刺激、外周肌力及呼吸肌阻力训练等。(4)预防下肢静脉血栓:弹力袜,踝泵运动等。呼吸康复过程中保证管路、线路安全和设备正常运行,谨防跌倒坠床等不良事件的发生。
4.出院后:重型和危重型患者可能存在一定程度的认知、精神和躯体功能障碍[ 87],往往难以适应家庭和社会生活。在综合评估患者呼吸功能、运动能力、日常生活活动(activity of daily living, ADL)能力、焦虑抑郁、认知等的前提下,开具个性化的运动处方,包括有氧训练、骨骼肌力量训练(外周肌和呼吸肌),给予ADL训练、营养和心理指导,使用物联网进行远程管理。
(二)健康管理
COVID-19患者治愈出院后,应当继续隔离14 d进行医学观察、健康管理和康复[ 13,88]。短期健康管理包括发热、咳嗽、咳痰、气促、胸闷、活动耐量等情况;重型和危重型患者伴显著肺部纤维化残留病灶者,建议日常监测指脉氧,特别是在活动时,如有低氧血症应予以氧疗。如患有慢性疾病,应同时确保基础病得到规范化管理。如出现发热、咳嗽等情况,应按照卫生管理部门的规定至指定医疗机构就诊。
中长期健康管理主要针对下列患者:(1)重型和危重型COVID-19治愈患者;(2)合并糖尿病、高血压、慢性阻塞性肺疾病、支气管哮喘、支气管扩张症等慢性疾病以及癌症的COVID-19治愈患者。对此类患者进行中长期的随访和管理以期达到更好的康复效果。针对重型、危重型COVID-19造成的潜在肺部损害,可进行生活质量评估以及肺功能、胸部影像学检查,并根据肺功能损害程度制定呼吸康复计划并予以康复治疗。
健康管理方案的实施需要定点医院、隔离场所、康复医疗机构、疾病预防控制等专业公共卫生机构和基层医疗机构密切配合、共同推进[ 89]。为了应对短期内增加的健康管理医疗服务,有必要探索线上-线下结合、各级医疗机构分诊联动的监测随访模式。
七、COVID-19的预防
SARS-CoV-2具有较强的人传染人的能力,阻止由其引起的COVID-19在医疗机构内发生院内感染既是保护患者也是保护医务工作者乃至最后消灭疫情的关键环节之一,医疗机构感染防控工作重点应从控制传染源、切断传播途径和保护易感者3个环节着手[ 90]。
(一)控制传染源
已知传染源主要是COVID-19的患者,无症状感染者也可能成为传染源。医疗机构应按《医疗机构传染病预检分诊管理办法》的要求,做好患者的分流和风险管控,对传染源做到早发现、早报告、早隔离、早治疗(简称"四早"),这是降低医院内感染暴发的关键策略。
首先应当把好患者的入口关,应在门急诊设置规范的预检分诊点,通过重点询问相关临床表现、流行病学史以及体温监测,对可疑SARS-CoV-2感染者尽早进行影像学和实验室检测,加快对疑似患者的筛查与确诊、迅速实施隔离措施、缩短确诊与住院时间,做到"四早"。
二级以上的医疗机构均应设置独立的发热门诊及观察区域,并有明显的标识与普通门急诊相区别,发热门诊应按照三区(清洁区、潜在污染区和/或缓冲区、污染区)划分,医患通道应分开设置,区域内通风良好,气流方向保持从洁到污单向流动并配置空气清洁消毒设施,有条件的单位应设置负压病房。
其次应加强患者收入院管理和住院患者及陪护探视人员管理,医疗机构应根据国家及所在地区的风险等级,制定本机构疫情期间患者入院筛查流程。有条件的单位建议对收住院患者进行血常规、胸部CT筛查,必要时做鼻咽拭子新冠病毒核酸检测筛查。加强对确诊病例、疑似病例、有发热症状的患者和密切接触者的筛查甄别,可设置过渡病房对新入院的患者进行单间收治,待排除SARS-CoV-2感染后再转至常规病房进一步住院治疗,普通病房应设置1 m以上的床间距,降低潜在院内交叉感染风险。对陪护、探视人员也应进行筛查和管理。
第三,做好住院患者院内感染的主动监测,建立全院全员(含全体医务人员、管理、后勤及保洁、保安、护工、配送等其他工作人员、患者和陪护人员)的健康监测及强制报告制度,通过对发热、呼吸道症状和胸部影像学的主动监测,及时发现散发感染病例、聚集性感染病例和疑似COVID-19患者等情况,尽早采取相应的调查和防控措施。
(二)切断传播途径
随着对COVID-19疾病特征的不断深入了解,对其传播途径从最初的经呼吸道飞沫和密切接触传播为主,到发现在相对封闭的环境中长时间暴露于高浓度气溶胶情况下存在经气溶胶传播的可能,最新指南(第七版)指出由于在粪便及尿液中可分离到SARS-CoV-2,应注意粪便及尿液对环境污染造成气溶胶或接触传播。因此医院感染控制的另一个策略就是要尽一切可能切断飞沫、接触和空气传播,尤其是当出现新的不明原因传染病时,应以最高防控级别应对。
手卫生是控制医院感染最简单、最有效、最方便、最经济的措施,进入医疗机构的各类人员均应正确进行手卫生,医疗机构应配备合格的手卫生设施,含流动水洗手池、非接触式水龙头、洗手液和干手设施,新冠疫情期间应首选含酒精、过氧化氢快速手消毒液,医护人员应该要提高手卫生依从性,戴手套不能替代手卫生[ 91]。
加强对周围环境物品表面的日常清洁与消毒,尤其对高频接触表面(如各类把手、电脑键盘、仪器面板等)增加消毒频次,按规范(《医疗机构消毒技术规范(WA/T367.2019)》)选用正确的消毒剂及其浓度和接触时间。对室内空气需要加强通风,必要时加机械通风,无人情况下可采用紫外线或过氧化氢消毒;在疫情防控期间原则上应暂停使用集中空调通风系统,若必须开启集中空调通风系统时,应关小或全关回风阀,全开新风阀,以提高系统的新风量,同时开启相应的排风系统,并在空调回风口安装纳米或高强度紫外线灯等集中空调通风系统消毒装置。并加强对集中空调通风系统的清洁消毒,每月及疫情结束后清洗消毒或部件更换一次。
进入医疗机构的各类人员均应当正确选择和佩戴口罩,这对预防飞沫传播非常重要,尤其是患者及疑似患者在医院就诊时不能佩戴含呼气阀的口罩,此外呼吸卫生、咳嗽礼仪和安全的社交距离均是预防飞沫传播的重要措施。
疫情期间医院应加强对可能产生气溶胶和飞沫喷溅的检查和操作加强管理,例如尽可能避免肺功能检查,若必须做则尽可能删繁就简,选用便携式肺功能仪,既有利于减少交叉感染,又便于患者在家中开展物联网诊疗,并按规范加强对肺功能仪器的管道、阀门和接口等配件的清洗和消毒[ 90]。严格掌握支气管镜检查适应证,如非病情急需,建议暂缓检查,检查中应加强镇静止咳,减少飞沫喷溅。
医院后勤部门应按照国家相关规定严格执行排污系统的消毒措施,严禁污水直接排放或处理未达标排放,不得将固体传染性废物、各种化学废液弃置和倾倒排入下水道[ 20]。疫情期间还需要高度关注医疗废物的处理,对COVID-19确诊或疑似患者产生的医疗废物包括患者的生活垃圾均应按感染性医疗废物管理,严格按照相关规定,进行规范处置[ 21]。
(三)保护易感人群
由于COVID-19是新发传染病,所有人群均易感,疫情期间医院感染防控重点保护的易感人群与平时不同,除了要关注来院就诊和住院的患者以外,医务人员,特别是直接与患者及其体液、分泌物、排泄物有密切接触的一线人员,也是感染的高危人群。各个医疗机构应当根据国家法律、法规、行业规范以及疫情期间的指南规范,制定符合自己医院实际情况的应急预案和操作流程,除了关注发热门诊、隔离病房等重点区域外,所有收治患者的临床科室以及影像医学科、超声科、放疗科、血透室等部门均需要制定个性化的诊疗流程和应急预案。
医疗机构在常规开展医院感染病例主动监测的同时,应特别关注孕产妇、急诊、危重症、急性心脑血管疾病、血液透析、恶性肿瘤患者等重点人群的感染预防工作,对手术治疗、内镜诊疗等侵入性操作环节实施重点监测。
医疗机构需要加强感控的专职、兼职人员的配备和能力建设,保障感控经费投入,层层落实感控管理责任,践行人人都是感控实践者;应按照相关技术标准和规范,使重点部门的建筑布局和工作流程符合要求,并配备必要的保障设施,为医务人员提供安全的工作环境和良好的个人清洁条件。
对全院全员进行感控知识和职业防护的强化培训,未经培训合格不得上岗,所有医务人员应该严格落实标准预防,强调双向防护,并在此基础上根据诊疗环境和操作的风险分层,正确合理选用防护用品进行分级防护。可能接触到患者血液、体液、分泌物或实施产生气溶胶操作时,选择佩戴护目镜或防护面屏、隔离衣、医用防护口罩等防护用品,并熟练掌握穿脱方法及顺序。医疗机构应成立专门的物资管理工作组,严格参照相关的国家标准[ 92],合理调配资源,根据暴露风险分层制定相应防护等级需求,保质保量满足全院工作人员个人防护用品的需求。
医疗机构应尽量选用现代化信息手段,例如远程会诊、云影像、视频会议等方式,减少医护人员的聚集和职业暴露风险。医务人员应尽量减少社交,合理安排工作,避免过度劳累导致免疫力下降而感染。对重点部门(例如发热门诊、收治疑似和确诊患者的隔离、观察病区)的医务人员加强身心健康关怀,安排集中居住观察点进行密切的医学观察。
八、中西医结合治疗
COVID-19属于中医"疫"病,证候要素为"湿、毒、寒、热、瘀、虚",湿邪致病特征突出,主要病位在肺、脾。分为潜伏期、疾病期(轻型、普通型、重型及危重症型)和恢复期,治疗应辨病与辨证相结合[ 1,93,94,95,96,97]。
(一)辨证治疗
1.寒湿郁肺证:
疾病初起,发热,乏力,周身酸痛,纳呆,呕恶,便溏。舌淡苔白腻,脉濡滑。可用神术散、藿香正气散加减。如苍术、厚朴、藿香、草果、麻黄、羌活、槟榔、贯众等。
2.湿热蕴肺证:
身热不扬,口苦,胸闷脘痞,干咳,气短,乏力,头身困重,便溏不爽。舌红苔黄腻,脉滑数。可用麻杏苡甘汤、蒿芩清胆汤加减。如麻黄、杏仁、生薏苡仁、苍术、藿香、青蒿、黄芩、葶苈子、茯苓、滑石等。
3.疫毒闭肺证:
喘憋胸闷,呼吸气促,倦怠,口苦,发热,咳嗽,大便不畅,舌红苔黄腻,脉滑数。可用麻杏石甘汤、宣白承气汤、达原饮加减;药如麻黄、杏仁、生石膏、厚朴、苍术、草果、桃仁、生大黄、瓜蒌、生黄芪、葶苈子等。腹胀、便秘明显者,可用生大黄,泡水,频服;或大承气汤保留灌肠。
4.内闭外脱证:
喘息气促、呼吸困难、或伴神昏,烦躁,汗出肢冷,舌紫暗,苔厚腻或燥,脉大无根。可用参附汤加减;药如人参、黑顺片、山茱萸等,送服苏合香丸或安宫牛黄丸。
5.肺脾气虚证:
气短,乏力,纳差,便溏,舌淡胖苔白腻。可用六君子汤加减;药如半夏、陈皮、*党**参、炙黄芪、茯苓、藿香、砂仁等。
6.气阴两虚证:
表现为口干渴,心悸,汗多,乏力,气短,干咳,舌红少津,脉细。可用生脉饮、沙参麦冬汤加减,药如沙参、麦冬、西洋参,五味子、桑叶、芦根、丹参等。
(二)根据病情使用中药注射剂,可联合使用。
基础用药:血必净注射液50~100 ml入0.9%氯化钠注射液100 ml静脉点滴2次/d。
1.发热,可加用下列一种:痰热清注射液20~40 ml、或热毒宁注射液20 ml、或喜炎平注射液50~100 mg,入0.9%氯化钠注射液(或5%葡萄糖注射液)250 ml静脉点滴qd;
2.意识障碍,加用醒脑静注射液20 ml入0.9%氯化钠注射液(或5%葡萄糖注射液)250 ml静脉点滴1次/d。
3.血压、血氧不稳定者,加用参附注射液20~100 ml、或生脉注射液20~60 ml、或参麦注射液40~100 ml,入5%葡萄糖注射液250 ml静脉点滴1次/d。
九、就医体系和社会动员
疫情一旦发生,必须动员全社会的力量,建设完整高效的就医体系。基层医疗体系的激活,县域医院综合防诊治水平的提升,呼吸与危重症医学科、感染与传染病科、临床微生物科和综合重症医学科的常态化体系建设和"战时"的动员统筹整合能力,在应对新发与突发呼吸道传染病中至关重要。
基层医疗机构是疫情联防联控的第一线,也是外防输入、内防扩散最有效的防线。在COVID-19疫情的防控中,基层医疗机构统筹兼顾,既要做好疫情防控,又要完成日常诊疗、家庭医生签约、基本公共卫生服务等工作,确保城乡居民基本卫生健康服务的连续性,发挥了居民健康"守门人"和新冠疫情"网底"的双重作用[ 98]。
基层医疗机构的作用:(1)加强门诊预检分诊筛查,做好对发热患者、疑似患者、家庭聚集性发病的早发现、早报告和隔离转诊。(2)会同城乡社区组织实施网格化、地毯式管理,包括病例密切接触者的追踪排查和隔离医学观察以及出院患者的随访管理等。(3)关注辖区重点人群基本卫生健康和用药需求,开展精准管理。针对孕产妇、儿童、老年人群和高血压、慢阻肺、糖尿病等慢性病患者实施科普教育、健康管理、预防、康复和心理疏导。通过电话、短信、微信、视频、区域健康云APP等多种信息化手段开展随访服务,落实慢性病患者长期处方、延伸处方等政策[ 99,100,101]。
县级医院是本次疫情防控的另一个前沿阵地和重要战场,在县域内的疾病防控中发挥了至关重要的作用。然而,县域医院在防疫中的不足也尤为凸显,其中最核心的问题是缺乏学科体系建设,呼吸与危重症医学科和感染与传染病科人才队伍缺乏,应对突发传染性疾病能力薄弱。通过全国呼吸专科联合体、国家远程医疗与互联网医学中心、中国基层呼吸疾病防治联盟等平台组织,打通县域医院与省级、国家级医院之间的通道。发挥互联网医疗的优势,畅通省级定点医院与各市定点医院会诊网络,实现确诊病例市级专家会诊全覆盖、重型病例省级专家会诊全覆盖,及时发现和诊治重型、危重症患者。此外,还要同步建设高效的临床微生物科,为快速确诊、及时收治和隔离提供技术支撑[ 99]。
十、方舱庇护医院
方舱庇护医院(简称"方舱医院")是由大型公共设施(会展中心、体育馆等)改造成的临时医院,为轻型、普通型COVID-19患者提供隔离、病情监测、医疗照护等服务。方舱医院的建设能够缓解定点医院的医疗压力,快速收治确诊患者,是顺应国家"应收尽收,应治尽治"战略方针的关键之举,在抗击COVID-19疫情中发挥了重要作用。
方舱医院的基本功能主要包括:(1)隔离:COVID-19患者和家庭、社会接触可造成社区传播[ 102,103],将确诊患者收入方舱医院能够切断社区传播。(2)治疗:给予轻型、普通型患者符合疾病规律和特点的医疗照护[ 104]。(3)监测:方舱医院收治轻型、普通型患者,严密监测患者病情,早期识别病情加重的患者并及时送往定点医院进一步治疗。
方舱医院的建设特点主要包括:(1)大容量:方舱医院由会展中心、体育馆等大型公共设施改建,提供大量床位迅速收治确诊患者。(2)高速度:方舱医院建设步骤包括病区床位建设、感染控制区域划分(污染区、缓冲区、清洁区)、基本医疗设施布置,可在极短的时间内高效建成。(3)低成本:方舱医院的建设充分利用现有场所的资源,仅需增加床板、隔板、床头柜等物品,并改造临时厕所、盥洗池等基本设施;其他花费亦低于或至少不高于普通医院。(4)临床功能分区[ 3]:病房区、影像检查区、临床检验区、病毒核酸检测区等。各方舱医院可根据周边医疗资源和具体需求设立临床功能分区。
方舱医院的运营注意事项:(1)入舱标准[ 3]:①轻型、普通型COVID-19确诊病例;②有自主生活能力,可以自主行走;③无严重慢性疾病,包括高血压、糖尿病、冠心病、恶性肿瘤、结构性肺病、肺心病以及免疫抑制人群等;④无精神疾患史;⑤年龄<65岁;⑥已排除流感病毒感染;⑦静息状态下,SpO2>93%,呼吸频率<30次/min。(2)监测与转院:需密切监测患者生命体征和SpO2,早期识别重症患者。如果患者病情快速进展或达到重型、危重型患者诊断标准,需及时转至定点医院救治。(3)预防交叉感染:方舱里的患者均需佩戴口罩;工作人员在病区环境中实行全面防护。(4)社区管理:方舱医院实质上是轻型、普通型患者的小社区,大量患者聚集,有发生群体事件的风险,需注意患者的心理疏导。此外,可设立读书角、电视区等,组织文化活动,丰富患者的文化生活。
方舱医院是应对重大公共卫生事件的新模式,对这一模式的总结和推广有助于我国现代社会治理体系和能力建设。
十一、未来研究重点
1.进一步开展病毒的追踪溯源、变异演化、生物学特性、感染途径等研究,为传染病防控、疫苗及药物研发提供理论依据。
2.SARS-CoV-2损害靶器官的机制:包括对免疫细胞的攻击、淋巴细胞降低的机制。肺脏作为新冠病毒首先和主要的靶器官,病理及病理生理发生了哪些变化。除了肺脏,对其他重要脏器包括心肌损害、肝肾损害、凝血细胞、病毒性脑炎等的发生机制研究。
3.疾病演化的规律:包括患者从轻症到重症、危重症的危险因素,患者死亡的危险因素及相关预警模型的研究。
4.干预措施和实施的时机:包括抗病毒药物的疗效、不良反应、疗程及适用人群,糖皮质激素的使用时机、剂量疗程及不良反应,有创机械通气及ECMO的给予时机和指征及其获益等。
5.抗病毒药物的研发及如何在紧急状况下开展规范有序的临床试验:在了解病毒生物特性的基础上开发新型抗冠状病毒的药物,现有药物包括洛匹那韦/利托那韦、瑞德西韦、阿比多尔、氯喹和羟氯喹以及中药药物的疗效和机制。制定合理的规则指导临床规范有序,层次分明,步调一致的开展各项临床药物试验。
6.梳理现有制度短板和风险点:包括如何改进现有传染病报告制度,使之更加灵敏高效;如何提高应对重大紧急突发公共事件的能力,疫情防控不只是医药卫生问题,而是全方位的工作。方舱医院在本次抗疫中发挥了重要的作用,我们需要未雨绸缪,在城市设计和建设中就应该融入灾难意识,大型场馆建造时考虑到改造为临时医院的需求。
新型冠状病毒肺炎防治专家意见编写组
总顾问:钟南山,刘又宁,陈荣昌
执笔专家(按姓氏拼音排序):曹彬、陈德昌、陈荣昌、代华平、杜荣辉、胡轶、黄怡、金阳、刘清泉、苗青、彭志勇、瞿介明、宋元林、王朝夫、王辰、王健伟、王一民、徐金富、杨汀、翟振国、詹庆元、张定宇、张静、张文宏、赵红梅、赵建平、周敏
咨询专家(按姓氏拼音顺序):白春学、陈良安、康健、李时悦、李为民、林江涛、刘春涛、沈华浩、徐永健
秘书:谷晓颖,左依慧
参考文献(略)