吴宣仪的整牙前 (吴宣仪牙上粘口红)

在乘地铁、搭公交的时候,细心的小伙伴一定能感觉到周围出现了很多巨幅的牙齿美容广告。这不仅是因为牙齿美容和整形是一个利润非常高的行业,可以高价租下位置较好的广告位,更是因为牙齿对一个人外貌的影响真的非常大,越来越多的人对于牙齿美容整形有了需求。

吴宣仪烤瓷牙怎么做,吴宣仪的整牙前

在地铁、公交站投放的牙科广告

普通人对于牙齿审美的提升,很大程度要归功于影视演员和体育明星对我们的视觉强化——名人们无论什么时候都能放肆开怀大笑,即使笑出了后槽牙,都让人觉得他们的笑容是如此美丽自信。

吴宣仪烤瓷牙怎么做,吴宣仪的整牙前

高圆圆——连续杀入“虎扑”女神评比前三。圆圆的牙齿排列整齐、颗颗饱满,很为她的笑容加分。

吴宣仪烤瓷牙怎么做,吴宣仪的整牙前

汤姆-克鲁斯、贝克汉姆、茱莉亚-罗伯茨展现无懈可击的笑容。

当然,这些名人们的牙齿并非天生如此亮白、整齐,有几位的原生牙齿甚至不及普通路人。

吴宣仪烤瓷牙怎么做,吴宣仪的整牙前

阿汤哥的原生牙算是比较惊悚的——排列不齐,嘴都合不上了。牙齿整形前,阿汤哥看着就是一枚“小镇青年”。

吴宣仪烤瓷牙怎么做,吴宣仪的整牙前

贝克汉姆之前的牙齿有些拥挤,*牙虎**突出明显,但是因为有“帅哥滤镜”,看着还是比较俏皮可爱的。

吴宣仪烤瓷牙怎么做,吴宣仪的整牙前

享誉东亚三国的“不老女神”全智贤以前有些“龅牙”,矫正之后,气质温婉了许多。

吴宣仪烤瓷牙怎么做,吴宣仪的整牙前

“巩皇”的原生牙齿也有些“参差”,矫正之后,洋气了不少。哎?“巩皇”整牙之前居然有些撞脸张艺谋?

以上举例的几位,都没有在五官上“大动干戈”,仅仅是对牙齿做了矫正和美白,气质就有了质的飞跃。同样,当剧情需要时,演员们有时也会“*化丑**”自己,而想要达到四两拨千金的变丑效果,只要动动牙齿就可以啦。这个秘诀,“星爷”屡试不爽。

吴宣仪烤瓷牙怎么做,吴宣仪的整牙前

莫文蔚在《食神》中的造型。牙不好,柔光再强,都美不起来。

吴宣仪烤瓷牙怎么做,吴宣仪的整牙前

李健仁饰演的“如花”——标志性的抠鼻屎+升级版的龅牙。

吴宣仪烤瓷牙怎么做,吴宣仪的整牙前

《功夫》里的龅牙珍,演员本身是个很清秀的姑娘呀。

“星爷”的这个绝招,希望现在偶像剧的“服化道”都能借鉴学习一下,再也不要轻描淡写地给美女演员点几颗痣,就想瞒天过海。毕竟我们见过真丑,面对“假丑”是很难入戏的。

吴宣仪烤瓷牙怎么做,吴宣仪的整牙前

迪丽热巴在《李慧珍》中扮丑:框架眼镜+几粒雀斑。这也能叫丑?明明是个连“泡面头”都能驾驭的大美女啊!

人的审美能力都是逐步形成和完善的。影视明星对于牙齿的高要求,也并非与生俱来,是经过好几代人的更迭才慢慢提升到现在人人一口美容牙的水平。比如曾经在八九十年代独领东亚演艺圈风骚的香港明星们,在早些年并没有重视牙齿的美容,好些明星至今保留着一口原生牙,其中不乏一些“女神”级演员。

吴宣仪烤瓷牙怎么做,吴宣仪的整牙前

赵雅芝的原生牙排列不齐、有些拥挤。上了年纪之后,面部胶原蛋白流失,更有些唇不包嘴的感觉。

吴宣仪烤瓷牙怎么做,吴宣仪的整牙前

雅芝姐姐可能也知道自己的牙齿问题,后期商演都是抿着嘴或是作“嘟嘟嘴’状,很难拍到她开怀大笑的照片。

吴宣仪烤瓷牙怎么做,吴宣仪的整牙前

宅男心中的清纯女神周慧敏,保养得当,容貌未有大变化,但是这一口牙齿,确实有点毁“童年滤镜”。

牙齿矫正技术,也是随着时间推移不断地得到改进的。早期,明星们采用的都是传统金属托槽矫正——也就是我们俗话说的“钢牙”。

吴宣仪烤瓷牙怎么做,吴宣仪的整牙前

金属托槽矫正,就是将金属托槽黏在牙齿上,用钢丝固定,慢慢使牙齿排列整齐。

吴宣仪烤瓷牙怎么做,吴宣仪的整牙前

高圆圆“钢牙”时期留影。

吴宣仪烤瓷牙怎么做,吴宣仪的整牙前

小S也是用的金属托槽,她还将这段整牙经历总结立传,出版了《小S牙套日记》。

吴宣仪烤瓷牙怎么做,吴宣仪的整牙前

美国流行天后碧昂斯也用过金属托槽矫正。

金属托槽矫正的优点是价格便宜,矫正效果好,不易反弹——高圆圆和小S已经矫正结束快20年了,牙齿的排列依然比较整齐。所以虽然传统,依然有不少明星会选择金属托槽矫正。但是它也有一个很明显的缺点——不够美观。对于普通人来说,这没什么大不了的,变美总是要经历阵痛的嘛。但是这个缺点对于明星来说可是致命的——要是戴两年“钢牙”,那不是两年都不用接戏了?所以,金属托槽有了它的升级版——半隐形陶瓷托槽。

吴宣仪烤瓷牙怎么做,吴宣仪的整牙前

原理和金属托槽矫正基本一致,只是用陶瓷替换了金属托槽,美观性大大提升。

吴宣仪烤瓷牙怎么做,吴宣仪的整牙前

Angela Baby就是用的陶瓷托槽。远远望去,只能看见齿间留有一根细细的金属线,不影响她出镜主持。

吴宣仪烤瓷牙怎么做,吴宣仪的整牙前

阿汤哥也用了陶瓷托槽。这画质再渣一点,牙套就完全隐形啦,是不是棒棒哒。

吴宣仪烤瓷牙怎么做,吴宣仪的整牙前

《橄榄树》的原唱齐豫也追了把陶瓷托槽的潮流。矫正牙齿是不分年龄哒!小伙伴们也不要动摇想变美的决心呐!

吴宣仪烤瓷牙怎么做,吴宣仪的整牙前

胡歌的正畸留影,用的也是陶瓷托槽哦。

陶瓷托槽虽然在美观度上有了提升,但是近看还是能看出痕迹。并且,陶瓷托槽和金属托槽一样,都会对咬字发音有影响,对于演员和歌手来说还称不上完美。于是乎,全隐形牙套应运而生。

吴宣仪烤瓷牙怎么做,吴宣仪的整牙前

隐形牙套是将树脂附件黏在牙齿上,然后套上透明矫正器,以此来达到正畸的目的。

隐形牙套在外观上可谓达到了质的飞跃,即便凑近看也看不出破绽,而且拿取方便,自己就能佩戴。可能是因为太隐形了,我搜遍全网都没有找到几张明星佩戴隐形牙套的图片,哭哭,大家将就着看吧。

吴宣仪烤瓷牙怎么做,吴宣仪的整牙前

阿雅在微博上晒出的佩戴隐形牙套的照片。是不是完全看不出痕迹?

以上三种正畸手段,都是通过长时间的外力作用,使得牙齿慢慢排列整齐的。因此,它们也共享了同一个缺点——耗时间,效果并非立竿见影。对于风云变幻的娱乐圈来说,时间是唯一的魔法师,前浪随时可能被拍在沙滩上。所以,现在的年轻一代更青睐一些用时“更更更”短的美容手段——美容冠、牙贴片。

吴宣仪烤瓷牙怎么做,吴宣仪的整牙前

美容冠,就是先将原生牙齿磨小,然后套上定做的牙冠。

采用美容冠正畸,可以大大缩短时间,一般只需几周时间就能完成。

吴宣仪烤瓷牙怎么做,吴宣仪的整牙前

脱口秀演员李诞的妻子黑尾酱的原生门牙有一颗突出明显,比较影响颜值。

吴宣仪烤瓷牙怎么做,吴宣仪的整牙前

黑尾酱选择美容冠正畸。第一步是将牙齿磨小,然后等待牙冠制作完成。这期间,一直要以这样的面貌示人哦。

吴宣仪烤瓷牙怎么做,吴宣仪的整牙前

这是套上美容冠的效果。是不是又快又好呐?

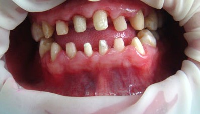
像黑尾酱这样整副牙齿只有一两颗排列不齐的,用美容冠是比较合适的,毕竟比传统正畸节省了好几年时间嘛。但是,有些女明星对自己下手比较狠,一上来就是全口美容冠。有些小伙伴可能不明白了,反正都是套牙冠,一颗是套,两颗也是套,干脆整口一起做,多省事呀。但是,小伙伴们可不要忘了,要套上美容冠,先要磨掉真牙呀!恒牙一生只有一副,磨掉就再也长不出来啦!下面给大家展示一张做全口美容冠磨完牙齿后的照片,高能!慎入啊!

吴宣仪烤瓷牙怎么做,吴宣仪的整牙前

是不是很影响食欲?所以那些选择全口美容冠的明星,都经历过这样“满口烂牙”的时期。

吴宣仪烤瓷牙怎么做,吴宣仪的整牙前

林允的全口美容冠。她选择的美容冠似乎偏大了一号,而且颜色过白,导致现在有些唇不包齿。

吴宣仪烤瓷牙怎么做,吴宣仪的整牙前

赵薇也为全口牙齿套了美容冠。整口假牙,有些影响咬合,因此在她后期的影视剧里,总感觉有些“口齿不清”。

美容冠价格昂贵——一颗就需要几千元,整口牙齿,耗费几何?聪明的你,一定已经心算出结果啦。而且,美容冠并不是一劳永逸的正畸手段,假牙冠都是用胶水黏在真牙上的,所以会有脱落的风险。演员刘涛也是整口美容牙,她曾自爆每年都要去牙医那里养护牙齿。

吴宣仪烤瓷牙怎么做,吴宣仪的整牙前

刘涛的美容牙耗费了300万元。

凡尔赛不?人家明星可是把一套房子搁嘴里了。但是,即便抛开经济上的制约,小伙伴们还是要谨慎选择美容冠正畸,毕竟再好的假牙,那也不如真牙啊!

吴宣仪烤瓷牙怎么做,吴宣仪的整牙前

男明星也越来越注意牙齿美容。秦昊也按上了美容牙,这么糊的图片,依然能看见他的牙齿泛着幽幽的蓝光。

相比美容冠,还有一招能更快速地让你拥有一口洁白整齐的牙齿——牙贴片。

吴宣仪烤瓷牙怎么做,吴宣仪的整牙前

牙贴片就是将事先定做好的树脂片或者烤瓷片贴到原来的牙齿上。

牙贴片不用磨真牙,因此无需经历”满口烂牙”的瘆人过程,而且随贴随走,完全不耽误捞金,啊,不是,不耽误工作。而且价格也相对便宜——一般一颗只需几百块,所以,特别受一些刚出道的小明星的喜爱。

吴宣仪烤瓷牙怎么做,吴宣仪的整牙前

刚拿下范思哲代言的吴宣仪。这张图是范思哲的主推,相信已经有不少小伙伴已经看过了。

吴宣仪烤瓷牙怎么做,吴宣仪的整牙前

吴宣仪的嘴本身有点“小鸡嘴”,比较显幼态。但是这口牙贴片让嘴显得更“凸”了,有点接近“龅牙”了。

吴宣仪烤瓷牙怎么做,吴宣仪的整牙前

同是选秀出道的孔雪儿,人气不如吴宣仪,但是这一口牙贴片可真像是一个医生做出来的呀。

因为牙贴片是在原来牙齿的基础上再加了一层,所以牙齿会增厚,露齿笑的时候很容易有“龅牙”既视感。而且大部分明星都会选择比较亮白的色号(其实这个色号并不生活,明星是为了上镜需要哈),在视觉上更会产生放大效果。

吴宣仪烤瓷牙怎么做,吴宣仪的整牙前

泰勒-斯威夫特的牙贴片做得也有些失败,一咧嘴,满口牙花子BlingBling。

吴宣仪烤瓷牙怎么做,吴宣仪的整牙前

李佳琪做完了牙贴片也被网友调侃了。谁让牙贴片如此方便,上午贴完,下午照样能开直播,

因为方便便宜,大部分的演艺圈新人都会选择这种方式给牙齿美容。毕竟都是圈子里的新人,谁也不想因为矫正牙齿而错过太多工作机会——都是“打工人”,都不容易呀。但是这也导致了很多影视剧里的演员们会“撞牙”:大家都是一口形状相似、颜色一样的假牙,看多了,竟有在看一群“牙口很好”的马群的感觉。

吴宣仪烤瓷牙怎么做,吴宣仪的整牙前

相比于美容冠,牙贴片有一个最大的好处,就是可以走“回头路”——随时可以让医生帮你取下来。所以,真心希望这些小明星能早日发迹,卸下这些千篇一律的假牙,再找一位好医生,定制一副更贴合自己牙型的牙贴片。

吴宣仪烤瓷牙怎么做,吴宣仪的整牙前

还是建议小伙伴们不要急于求成——用最传统的正畸方案。不仅对原生牙齿伤害小,而且不反弹。

看了这么多,小伙伴们对牙齿美容整形有什么自己的看法呢?爱美之心人皆有之,但同时不要忘记了身体才是革命的本钱,保护牙齿健康也是非常重要的。千万不要为了好看而伤害自己的身体,这样可是会得不偿失的噢。