纯干货!子宫及附件解剖和超声诊断

纯干货!子宫及附件解剖和超声诊断

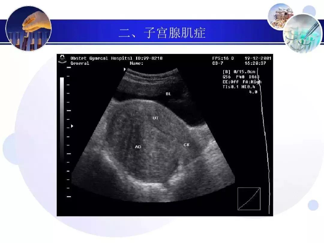
本文详细讲解了如何对子宫及其附件进行超声诊断,非常有收藏价值!

纯干货!子宫及附件解剖和超声诊断

纯干货!子宫及附件解剖和超声诊断

纯干货!子宫及附件解剖和超声诊断

纯干货!子宫及附件解剖和超声诊断

纯干货!子宫及附件解剖和超声诊断

纯干货!子宫及附件解剖和超声诊断

纯干货!子宫及附件解剖和超声诊断

纯干货!子宫及附件解剖和超声诊断

纯干货!子宫及附件解剖和超声诊断

纯干货!子宫及附件解剖和超声诊断

纯干货!子宫及附件解剖和超声诊断

纯干货!子宫及附件解剖和超声诊断

纯干货!子宫及附件解剖和超声诊断

纯干货!子宫及附件解剖和超声诊断

纯干货!子宫及附件解剖和超声诊断

纯干货!子宫及附件解剖和超声诊断

纯干货!子宫及附件解剖和超声诊断

纯干货!子宫及附件解剖和超声诊断

纯干货!子宫及附件解剖和超声诊断

纯干货!子宫及附件解剖和超声诊断

纯干货!子宫及附件解剖和超声诊断

纯干货!子宫及附件解剖和超声诊断

纯干货!子宫及附件解剖和超声诊断

纯干货!子宫及附件解剖和超声诊断

纯干货!子宫及附件解剖和超声诊断

纯干货!子宫及附件解剖和超声诊断

纯干货!子宫及附件解剖和超声诊断

纯干货!子宫及附件解剖和超声诊断

纯干货!子宫及附件解剖和超声诊断

纯干货!子宫及附件解剖和超声诊断

纯干货!子宫及附件解剖和超声诊断

纯干货!子宫及附件解剖和超声诊断

纯干货!子宫及附件解剖和超声诊断

纯干货!子宫及附件解剖和超声诊断

纯干货!子宫及附件解剖和超声诊断

纯干货!子宫及附件解剖和超声诊断

纯干货!子宫及附件解剖和超声诊断

纯干货!子宫及附件解剖和超声诊断

纯干货!子宫及附件解剖和超声诊断

纯干货!子宫及附件解剖和超声诊断

纯干货!子宫及附件解剖和超声诊断

纯干货!子宫及附件解剖和超声诊断

纯干货!子宫及附件解剖和超声诊断

纯干货!子宫及附件解剖和超声诊断

纯干货!子宫及附件解剖和超声诊断

纯干货!子宫及附件解剖和超声诊断

纯干货!子宫及附件解剖和超声诊断

纯干货!子宫及附件解剖和超声诊断

纯干货!子宫及附件解剖和超声诊断

纯干货!子宫及附件解剖和超声诊断

纯干货!子宫及附件解剖和超声诊断

纯干货!子宫及附件解剖和超声诊断

纯干货!子宫及附件解剖和超声诊断

纯干货!子宫及附件解剖和超声诊断

纯干货!子宫及附件解剖和超声诊断

纯干货!子宫及附件解剖和超声诊断

纯干货!子宫及附件解剖和超声诊断

纯干货!子宫及附件解剖和超声诊断

纯干货!子宫及附件解剖和超声诊断

【版权声明】本平台属公益学习平台,转载系出于传递更多学习信息之目的,且已标明作者和出处,如不希望被传播的老师可与我们联系删除