
虽然治疗方法并非首创,但这一治疗案例堪称惊人的医学成就。美国阿肯色州2岁女孩Eden Carlson在游泳池内不幸溺水,从母亲发现她不见了到她被救出水面,一共至少15分钟,虽然母亲在她获救后立刻对她进行了心肺复苏急救和人工呼吸,但直到两小时后在医院她才算真正被救活了。

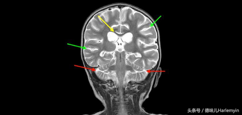
虽然没有彻底脑死亡,但长时间缺氧还是让女孩有重度脑损伤(下图为女孩MRI),她的部分脑组织已经产生永久性损伤,脑神经和脑细胞也出现了大面积退化。医生预测她将来可能无法说话,对外界也不会产生反应。48天的强化治疗后,Eden Carlson出院了,出院时她有不自主的摇头、只能躺在床上、双腿无知觉、对外界也毫无反应。

55天后,专家Paul G. Harch接手了Eden Carlson的进一步治疗,使用一种名为“氧气浴”的治疗方法,Paul G. Harch几乎完全治愈了Eden Carlson的脑损伤。“氧气浴”其实就是纯氧舱治疗,Eden Carlson一开始每天在正常大气压的纯氧舱内呼吸45分钟2次,第一次治疗就收到了效果,她似乎被唤醒,并停止了不由自主的颤动。
虽然治疗方法并非首创,但这一治疗案例堪称惊人的医学成就。美国阿肯色州2岁女孩Eden Carlson在游泳池内不幸溺水,从母亲发现她不见了到她被救出水面,一共至少15分钟。11周后Paul G. Harch改用1.3大气压的高压纯氧舱继续治疗Eden Carlson,经过39次高压氧舱治疗后,小女孩几乎已经完全行动自由了,心智能力也恢复到正常同龄人水平,语言水平甚至超过了事故之前的水平。

3周后,微笑回到了Eden Carlson脸上,她又能挥动双手了,而且左手恢复了抓握能力。11周后Paul G. Harch改用1.3个大气压的高压纯氧舱继续治疗Eden Carlson,经过39次高压氧舱治疗后,小女孩几乎已经完全能行动自由了,心智能力也恢复到同龄人正常水平,语言水平甚至超过了事故之前。

虽然治疗方法并非首创,但这一治疗案例堪称惊人的医学成就。美国阿肯色州2岁女孩Eden Carlson在游泳池内不幸溺水,从母亲发现她不见了到她被救出水面,一共至少15分钟。11周后Paul G. Harch改用1.3大气压的高压纯氧舱继续治疗Eden Carlson,经过39次高压氧舱治疗后,小女孩几乎已经完全行动自由了,心智能力也恢复到正常同龄人水平,语言水平甚至超过了事故之前的水平。
MRI结果也显示,Eden Carlson脑皮质和神经链已经恢复, 受伤脑组织竟然几乎找不到了,这一结果让医生们吃了一惊,因为这是迄今为止高压氧舱治疗脑损伤最成功的一个案例,病人大脑几乎完全恢复到了脑损伤之前的状态。不过,这并不意味着高压氧舱就包治脑损伤了,因为这只是一个孤例。其他类似病人当然也可以接受这样的治疗,但效果就不一定有这么好了,甚至可能都不会有太大效果。