我国已经是实实在在地进入老龄化社会了。
老龄化社会是指老年人口占总人口达到或超过一定的比例的人口结构模型。按照联合国的传统标准是一个地区60岁以上老人达到总人口的10%,新标准是65岁老人占总人口的7%,即该地区视为进入老龄化社会。
1999年中国进入国际公认的老龄化社会,60岁以上老年人口就占全国总人口的10%。现在呢,老年人人数更多,人群占比更高。

由于器官功能退化,老年人普遍存在各种健康问题。且心血管系统,神经系统,内分泌系统,运动系统的问题可以相互影响,可以说牵一发而动全身。
医院也是社会的缩影,站在医生的角度,我观察到近几年的现象是,县市级医院骨科病房老年患者越来越多,这与经济水平的提高,群众就医观念的增强,还有国家在医保方面大力投入与不断完善有莫大关系。
往年病房总是热闹的,有愁眉苦脸地进来的,有唉声叹气等待的,有解决了问题而高兴的,有和病友不和而吵架的,每天上演各种情景剧。用护士长的话来说,我们这就像是菜市场,就不能静一下么。护士长一语成箴,今年突入袭来的疫情,让我们骨科病房彻底体会到了安静的味道。
正好,趁此时机简单谈谈多发的老年人髋部骨折的治疗。
老年人的髋部骨折其实是老年人骨质疏松的表现。往往不需要特别大的外力就能发生。

正常骨密度与骨质疏松对比

这里就是髋部
出现问题总得处理,可绝大多数老人被送入医院都吓得不行,认为自己命不久矣,还要承受痛苦,还不如早点回家,死了一了百了。还有部分老人的家属和我们商量,大夫,能不能别开刀,我们打几天针止下疼痛,然后回家躺,老人又没有什么事可做。
回到文题,老年人髋部骨折,躺着就能好吗!
有机会好,但仅限于部分身体条件很好,家庭经济条件很好,请得起居家护理员的老人,还要做好由于长期卧床带来的各种并发症(压力性溃疡、坠积性肺炎、深静脉血栓形成、泌尿系感染)处理棘手,以及骨折愈合后髋关节功能恢复不满意的思想准备。

足跟部压力性溃疡

骶尾部压力性溃疡

肺部感染

深静脉血栓形成

尿路逆行感染
对于不满足上述条件的老人,大多数都熬不过这几个并发症,让髋部骨折成了人生最后一次骨折,其过程,也是充满了痛苦。
*退倒**十几年,技术的瓶颈会让医生们也止步不前。现如今,髋部骨折的处理多样化,微创化,程序化,能够做到大大减轻老人治疗期间的痛苦,提高康复质量,让老人早日回归正常生活。所以,我们现在唯一的瓶颈,其实是人心的瓶颈。
都看到这里了,干脆继续多了解一下呗。
老年人的髋部骨折包括股骨颈骨折、股骨粗隆间骨折。

股骨颈骨折

股骨粗隆间骨折
前者以关节置换手术为主要解决方案,后者以微创内固定为主要解决方案,当然,合适的情况下后者也有选用关节置换手术的。

内植物模型

双髋关节置换术后片

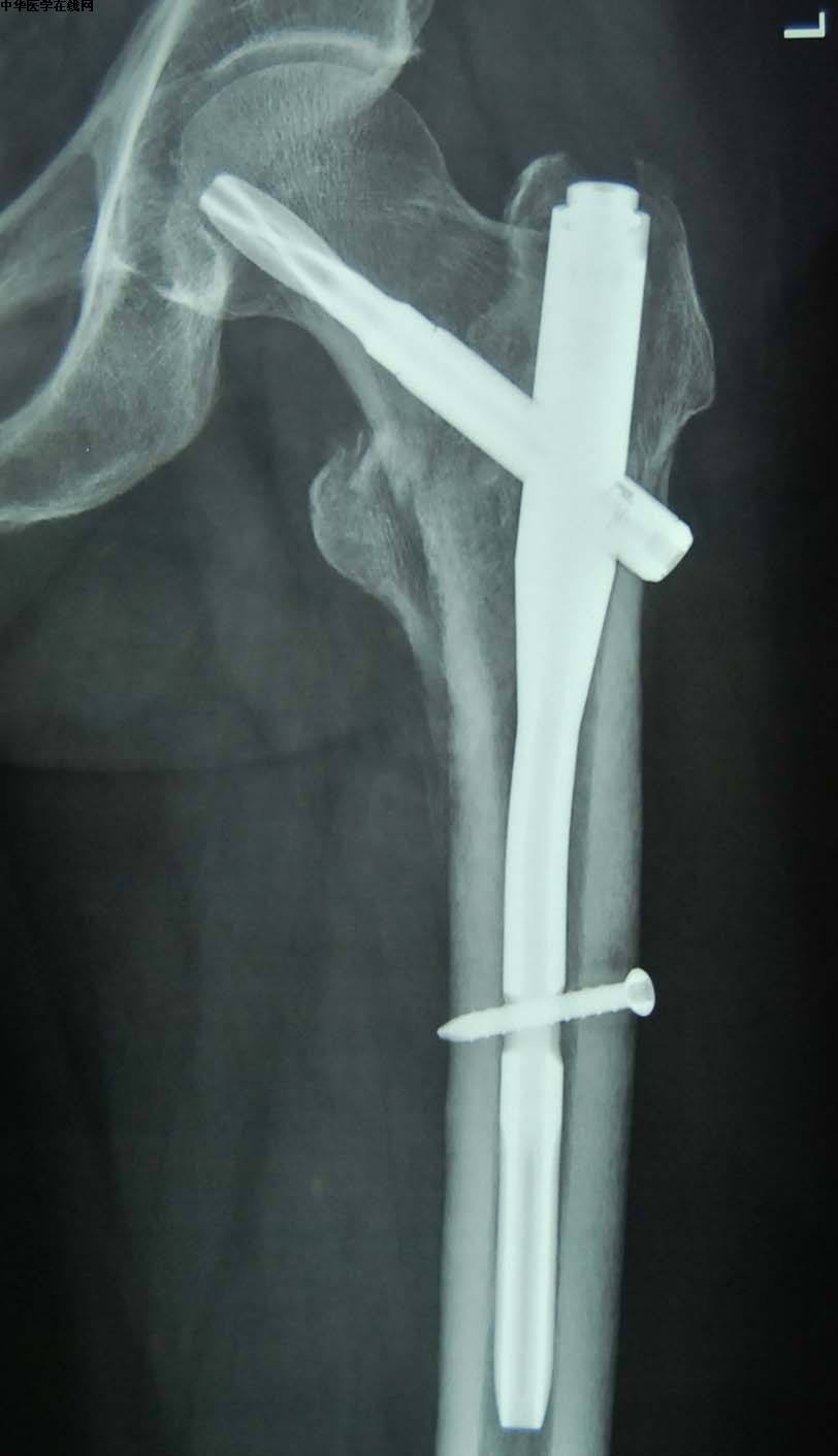
股骨粗隆间骨折微创治疗术后片
即使在合并有高血压病、糖尿病等系统性疾病的前提下,围手术期管理得当,术中精准操作,术中、术后基本不输血,术后也没有明显疼痛,术后第二天在医生指导下恢复关节活动、站立、行走功能。绝大多数髋部骨折患者可以在术后4-7天出院。
现在总结一下科学治疗带来的益处:
1.大大减轻了骨折疼痛的程度;
2.大大减少了骨折疼痛的时间;
3.可早期恢复髋关节的活动能力;
4.可以避免长久卧床带来的全身肌肉、骨萎缩;
5.可以避免长久卧床带来的肺炎和尿路感染;
6.可降低下肢静脉血栓形成的风险;
7.可大大减轻家属在居家护理中的难度;
8.可减少家庭经济的隐形支出。
你,了解了吗!