
家长带宝贝来青苗看牙的时候,
很多家长都对医生要求的拍牙片表示不解:

为什么看牙一定要拍片?
而且一拍就要拍好几张?
医生这是想让我们多消费吗?
不拍牙片难道就看不了牙了?
要是辐射影响了孩子的健康怎么办?

今天我们带着这些问题揭开牙科X光片的神秘面纱。
看牙为什么要拍片?
我们的牙根是埋在牙槽骨和牙周膜里面的,就像树根扎根在土壤中一样,肉眼是看不到的。因此,如果牙齿出了问题,就需要有“透视”功能的X光片来检查。
通过X光片除了了解牙齿病变情况,还可以了解牙槽骨内是否有埋伏牙、多生牙、牙齿有没有空洞、牙根下有没有囊肿、周围骨头有没有吸收等, 依据X线片综合分析可以提高医生诊断治疗牙齿的准确性和成功率。

牙片是医治过程中的重要手段之一,在 治疗前 用于发现病变程度、范围; 治疗中 引导治疗、确定治疗范围和治疗深度; 治疗后 观察疗效。拔智齿、做根管治疗、牙周病、种植牙、牙齿矫正等都需要进行拍片。
牙科常用的X光片有哪几种?
(1) 全景曲断片

全景曲断片
以检查全口牙齿为目的,全景曲断片可以观察到全口牙的形态、位置、颌骨等情况,比如乳牙下方是否有恒牙牙胚在发育、牙颌的畸形程度等等。
(2) 牙科头颅侧位片

牙科头颅侧位片
可以展现牙齿及颌骨影像。可见孩子侧面骨骼、上下颌骨发育 、气道、腺样体等各组织结构间是否影响孩子面型发育。
想要矫正牙齿的小朋友,以上两项牙片一定要拍哦~
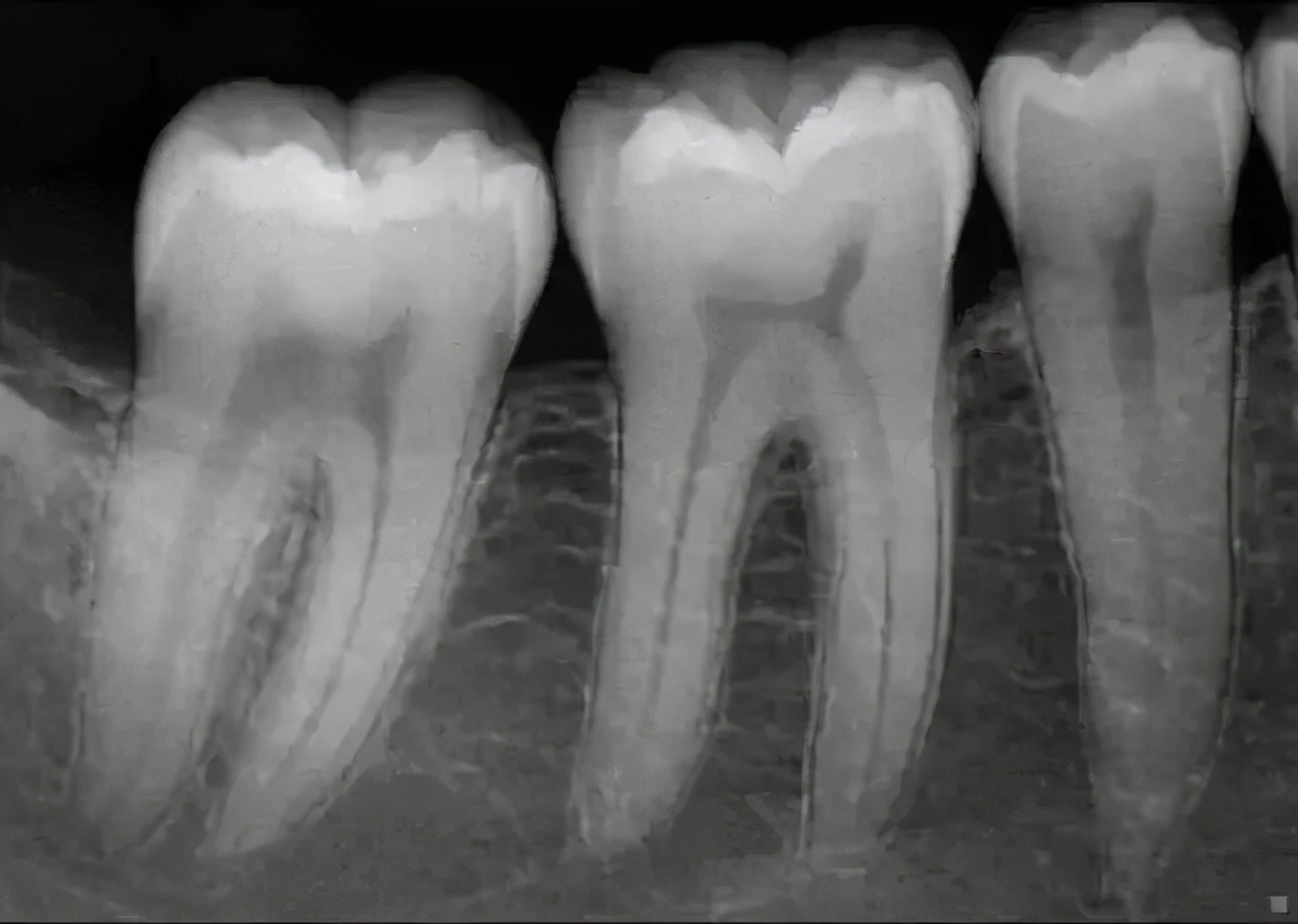
(3)小牙片

小牙片
以检查单颗牙齿为目的,一般图像上可显示2~4颗牙齿,能观察到牙根的情况,所以牙医们要检查单颗牙齿时,往往会选择拍摄小牙片。
(4)牙科CT片
可以展现牙齿及颌骨三维立体结构的影像。可多角度再现颌骨、牙齿内部结构和各组织结构间的关系。
每一种X光片针对的检查目的不同,牙医会根据孩子的具体情况选择需要拍摄的X光片呢~
哦哦哦,原来是这样,现在终于清楚了拍牙片的必要性了。看牙拍片也说明医生对患者认真负责的态度啊!不会没有根据的诊治!可是问题又来了,牙片是通过X光拍摄的,那孩子看一次牙得吃多少辐射啊?担心!
牙片的辐射危害到底有多大?
一张小牙片的辐射剂量大约为4-5微西弗,全景曲断片为7微西弗,牙科CT约为100微西弗左右,所以,牙科治疗中X光片对身体来说辐射量相当低。
打个比喻
据联合国原子辐射效应科学委员会数据:10小时的航空飞行辐射剂量为30微西弗。就是说, 一张小牙片的辐射剂量相当于乘坐1个多小时飞机,一张全景片的辐射剂量相当于2个小时左右的飞行辐射,一次牙科CT的辐射剂量相当于北京飞纽约一个来回。
相比全身检查来说,牙科的各种影像学检查,辐射剂量是相当低的。而且随着科技的发展,传统的X线胶片已经被数字化影像片所取代,辐射剂量也大大减少。
孕妇和儿童可以拍牙片吗?
在某些牙科治疗的紧急状况下,孕妇可能不得不在宝宝出生前拍牙片,因为未经治疗的牙科感染会对胎儿健康构成的潜在威胁。 怀孕初期三个月,一般不会给张孕妇拍牙片,毕竟此阶段胎儿较常人更敏感。 而三个月过后,在进行拍片过程中,孕妇应在腹部围上铅制的防护围裙。对孕妇或哺乳期妇女,拍牙科X线片并非不可。专家强调,只要不是对准腹部或其附近部位的高剂量X辐射,准妈妈大可不必过于担心。

儿童也是可以拍牙片的,一般医生会为他们穿上铅衣或铅裙,良好的抗辐射保护措施会将危害的效果降到微乎其微。
终于一切真相大白啦!
总而言之,
牙片对于口腔疾病的诊断是非常有帮助的,
而且辐射量也很小,
小朋友们可以在牙医的建议下,
放心地拍牙片啦!