玩着手机、刷着抖音就把阑尾炎治好了?还不打针、不麻醉、不开刀?医生,你没吹牛吧?
真没有,且听我慢慢道来——
阑尾炎是外科急腹症中最常见的疾病之一,主要表现为“移动性”右下腹疼痛,初期有中上腹或脐周疼痛,数小时后腹痛转移并固定于右下腹,且可伴有低热、恶心、呕吐等症状。
如果是孩子患了阑尾炎,不敢直腰走路,婴儿常以阵发哭闹来表达腹痛,患儿常卧床不敢动或*吟呻**拒食。

一般诊断为阑尾炎后,一般有两种治疗策略:
一是抗生素保守治疗,一种是开刀切掉或者微创(腹腔镜、NOTES手术)切除阑尾。
实际上,我们身体上的零件,没有一件一多余的,以前认为阑尾是可有可无的,但随着现代医学的进展,医生们认为它是人体重要的免疫器官,能留还是留的好!

阑尾切除疤痕
今天咱们说的治疗方式,可以说是革命性的,简便、无创、无疤痕,既不开刀,也不切掉阑尾,还没有痛苦,那就是,注水肠镜下阑尾炎治疗术——ERAT。
就是在肠道注入温水300ml,通过导丝/导管技术,在放射线的监视下,借助结肠镜引导,对梗阻的阑尾管腔进行炎性分泌物冲洗、引流、取石、电切,从而解除梗阻、降低阑尾腔压力,阻止阑尾高压引起阑尾缺血与坏死,达到治疗目的。
【关于注水肠镜,是一种不打麻药也不痛苦的肠镜检查方式,详情可点击我前天发的文章:注水肠镜——不打麻药也不疼,省钱、省时、看得清。】
通俗点说,我们通过肠镜,进入到回盲部,找到阑尾的内开口,清除掉阑尾里面的粪石、脓液等,达到消除炎症的目的,当然,一旦有坏疽穿孔了,就要切掉了。
今天就来了一位知道肠镜下肠镜下可以治疗阑尾炎的年轻人,听说也不用打麻药,注水肠镜相当于给肠子洗个热水澡,就过来做阑尾炎。
为了让患者一点也不紧张,我们就让他打开手机玩自己爱玩的游戏。

让助手给他肠腔注入300ml39度温水的时候他还惊呼暖暖的好舒服。
然后循腔进镜到了阑尾开口,看到了阑尾开口有很多的脓液,因为不少患者饮食不规律,特别是在日本生活节奏快、压力大,特别是有受到打击时,小肠里有很多应激性溃疡,因此就进入了末端回肠,在里面给他注入了温水后,大家可以清晰的看到小肠的绒毛,以及多发的应激性小溃疡是非常清晰的。
请看视频:
视频加载中...

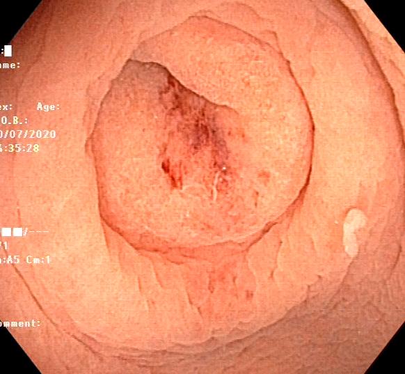
阑尾内口
然后下一步就阑尾口插管给它冲洗,冲出来很多的浓苔样的物质以及粪石,为了不影响大家心情,因此冲洗时候的视频就没有录制。
水下再观察一下干干净净的阑尾开口是不是很nice!

阑尾内口
患者说我这局还没打完呢(估计他是玩的回合制游戏,哈哈。)
这个患者比较病情比较轻,彩超也只是看到阑尾肿大,阑尾腔内可见粪石和积液,因此冲洗完就让他回去口服3天奥硝唑配合右下腹热敷,再顺时针揉肚子促进肠蠕动就可以了。
哪些情况下可做ERAT
各种原因引起的急慢性阑尾炎而未坏死穿孔者,均适合内镜逆行阑尾炎治疗术,如阑尾粪石梗阻急性阑尾炎、阑尾炎反复发作、阑尾化脓腔内高压、阑尾腔局部狭窄、阑尾穿孔脓肿局部包裹等。
ERAT的手术过程
1、内镜下阑尾腔插管
在内镜前端透明帽的帮助下,推开Gerlach's瓣(黄箭头),并进行阑尾腔插管。当黄斑马导丝及导管置入阑尾腔时,可见脓性分泌物涌出。

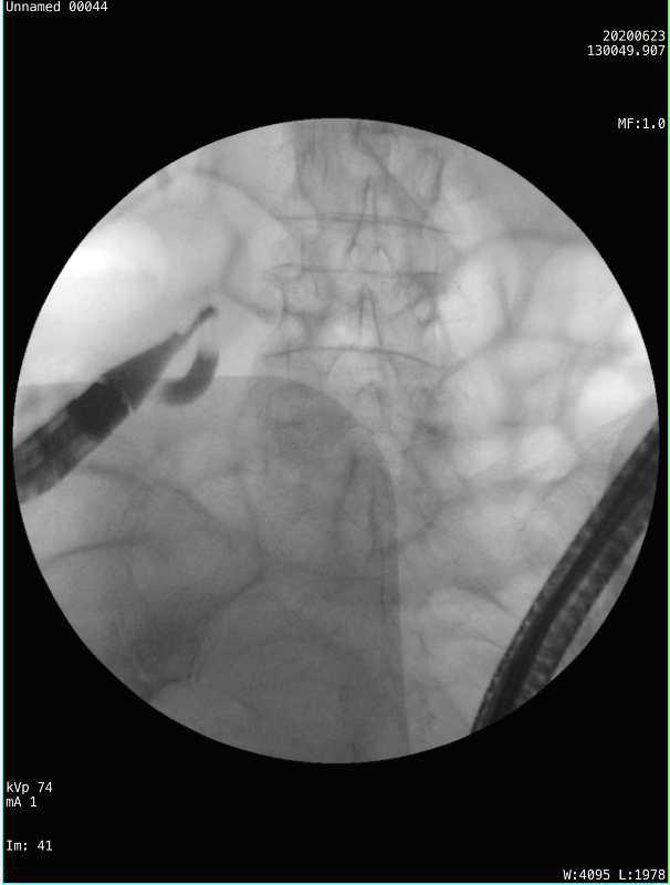
2、内镜逆行性阑尾造影术
X线下,在阑尾腔内注入造影剂显示阑尾腔的形态,并确认有无阑尾穿孔。

3、球囊或网篮取石术
通过内镜下置入球囊导管或取石网篮,将粪石取出。

4、塑料支架置入及脓液引流
在充分取出粪石后,置入塑料支架行脓液引流及进一步阑尾腔冲洗。

ERAT治疗阑尾炎特点
➤ 恢复快
内镜下阑尾插管行阑尾腔减压后,患者疼痛症状迅速缓解,病人可以立即恢复日常的活动,避免外科手术后的切口疼痛。
➤ 创伤小、无疤痕
ERAT技术创伤小、无疤痕,操作快捷、方便,初步的临床结果显示,患者无出血、穿孔及阑尾周围脓肿形成等并发症。
➤ 保留阑尾完整
保留了潜在的阑尾生理功能。
➤ 诊断"金标准"
可作为诊断急性阑尾炎的重要检查方法,甚至将来可能成为急性阑尾炎诊断的"金标准"。