原题回放
火眼金睛第 75期
本期难度系数★★★★ ☆

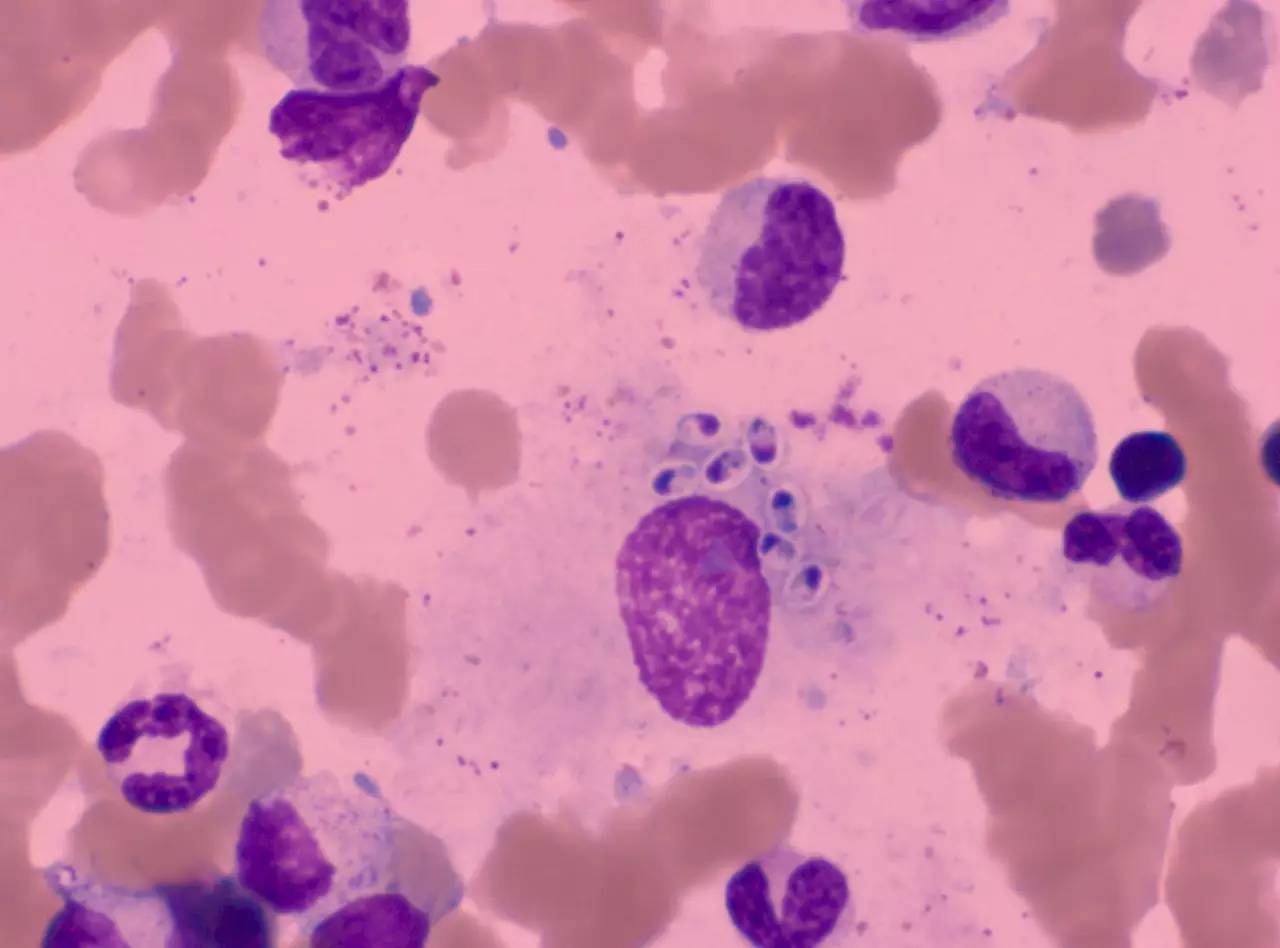
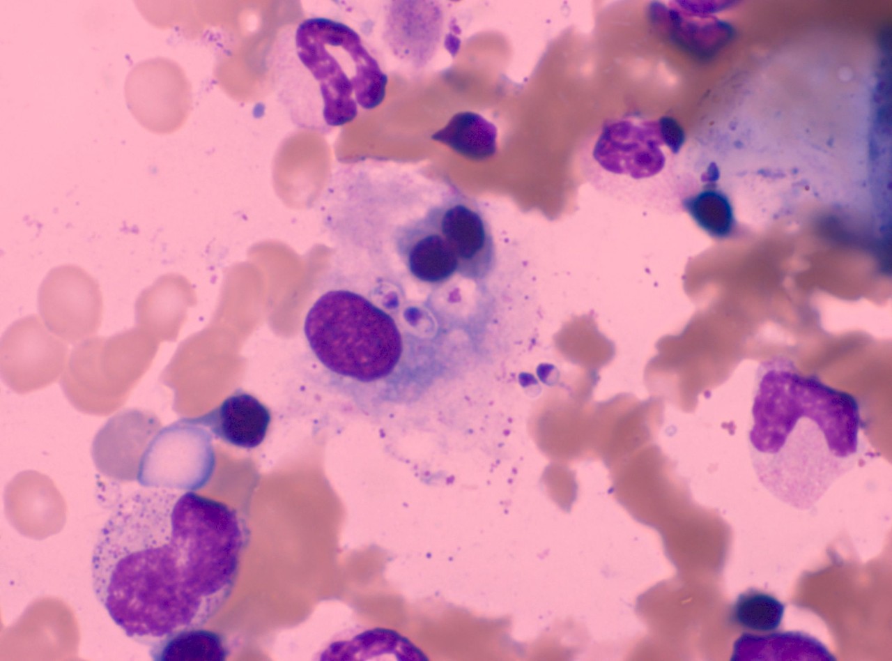
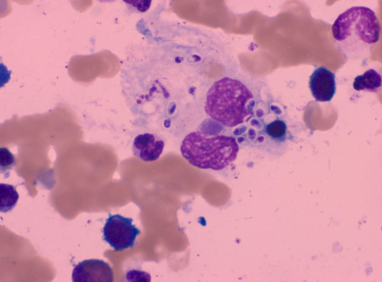
M/22, 腹泻黄褐色稀糊便6月,2-5次/天,伴纳差、消瘦,体重下降12.5kg。间断发热2月。查体肝肋下约6cm,剑突下约8cm,脾肋下约5cm,质韧,边缘光滑。血常规:WBC5.52X109/L,Hb110g/L,Plt82X109/L,MONO8.1%。骨髓涂片可见:



请问,骨髓涂片提示诊断是什么?(单选)
A.马尔尼菲青霉菌
B. 组织胞浆菌
C.杜氏利什曼小体
D. 弓形虫
E. 新型隐球菌
答案 B
来看看大家的答题情况吧!

解读
患者为青年男性,慢性病程,表现为腹泻、纳差、消瘦、发热、肝脾大、血小板减少。除了以上骨髓涂片所见,复查结肠镜见盲肠及全结肠多发浅小溃疡性病变,病理提示结肠粘膜显急性及慢性炎,伴粘膜糜烂,上皮样肉芽肿及多核巨细胞形成,组织细胞内可见菌体,符合组织胞浆菌病。确诊荚膜组织胞浆菌病。
组织胞浆菌病(histoplasmosis, HP)是一类少见的由荚膜组织胞浆菌引起的深部真菌感染性疾病。主要累及单核巨噬细胞系统及全身多个脏器,临床上往往表现为发热、肝、脾、淋巴结肿大及全血细胞减少等, 可有肺、消化道及中枢神经系统等受累。临床表现多样,常被误诊。由于培养的荚膜组织胞浆菌生长缓慢,难以用于早期诊断,骨髓涂片检查是确诊组织胞浆菌病的快速、简便易行的方法。
骨髓涂片可见吞噬型组织细胞增多,巨噬细胞内包含有数量不等荚膜组织胞浆菌孢子, 其胞体呈大小一致的圆形或卵圆形, 直径2~5μm,为单个核。胞体一端深染, 着紫红色, 一端呈较明亮的淡蓝色,其边缘未染色的空晕形似荚膜,是由于在染色过程中其细胞壁皱缩而形成,实际并无荚膜 ,孢子内无横隔。有时可见出芽现象。
组织胞浆菌与黑热病、马尔尼菲青霉菌临床症状相似,骨髓涂片病原体在镜下形态、大小较接近,需注意鉴别。鉴别要点为组织胞浆菌分布于组织细胞细胞质内,糖原(PAS)染色孢子轮廓清楚, 荚膜着红色, 胞内容物不着色。黑热病杜氏利什曼小体在骨髓涂片上组织细胞胞内或胞外均可见分布, 除细胞核外, 尚见一更为深染的动基体。PAS染色胞壁不着色或着色浅或颗粒状而不连续, 胞内容物染红色, 较胞膜着色深而清楚。马尔尼菲青霉菌在骨髓涂片上组织细胞胞内或胞外均可见分布,形态大小不一致,胞核1~2个,胞体可呈腊肠形,且胞内可以发现一明显透明横隔。腊肠形细胞和横隔为其特征。经PAS染色胞壁染红色且清楚连续, 在腊肠状的细胞内可见一明显的横隔, 胞内容物不易着色。
*文中所有图片均由作者提供
本期《从医开始:协和八的奇妙临床笔记》获奖者:178****1968
作者:北京协和医院内科 陈苗、马小军、蒋显勇医师
编辑:昨叶何草