
急性胰腺炎是临床常见病、多发病,且近来发病率逐年上升,重症急性胰腺炎病情凶险、并发症多、费用高,给家庭和社会带来沉重负担。
目前提倡重症急性胰腺炎的内科治疗、介入治疗,通过积极的治疗,大多数患者可以避免外科手术;通过综合治疗,可以提高重症急性胰腺炎的治愈率,改善患者预后。

其中介入治疗主要包括内镜技术和经皮引流技术。
下面我们通过一个具体病例,以介入治疗为重点,向大家介绍重症胰腺炎的综合治疗。
病史介绍
患者男,29岁,11天前进食油腻食物后出现剧烈持续上腹痛。
血常规:WBC 17.9×10^9/L,N 80.8%;血淀粉酶:691U/L;血甘油三酯:15.7umol/L;腹部CT:急性坏死型胰腺炎。
当地医院治疗后腹痛好转,但腹胀明显,于2019-2-4在我科住院。
查体:BMI 33.74, P 105次/分,R 20次/分,肠鸣音弱。
个人史:有高脂血症病史1年余,未予特殊治疗;有胆囊炎发作史。
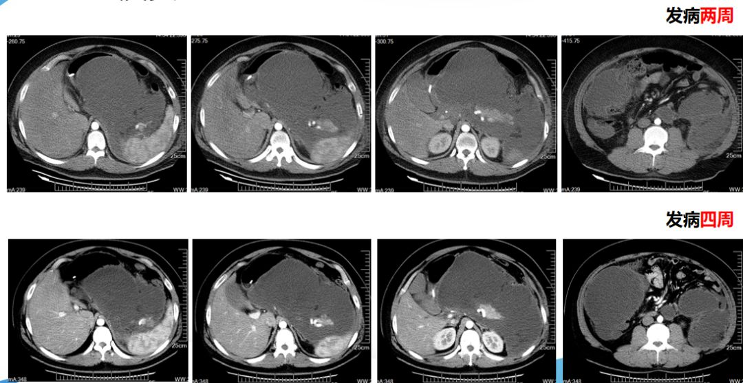
CT演变

治疗过程

引流指征

……
……
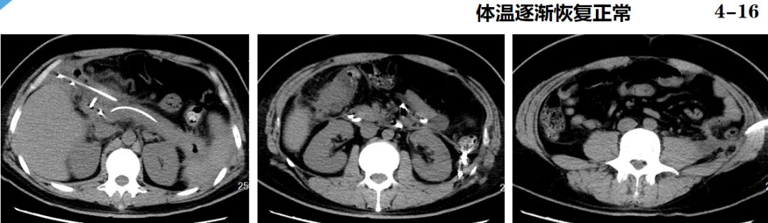
临床转归

4.20 拔除引流管
4.23 康复出院
10.9 随访,正常生活

有趣的病例在等你
