王女士往年都参加社区的“两癌筛查”体检,一直都好好的,可是去年接受妇科检查一周后,社区医生通知让去复查,说要做活检,莫非是有什么问题?忐忑不安中,在卫生院接受了妇科医生的活检,在宫颈上夹了4块白色米粒大的东西放在小瓶中,说是留做病理用的,五天后报告才能出来,同时开了些妇科外用药,让她回家耐心等待……
焦躁不安的五天过去了,拿到了病理报告:(宫颈活检)黏膜慢性炎,部分鳞状上皮示低级别上皮内瘤变(CIN1级),建议随访复查。
CIN?这是什么鬼?是癌吗?还是要变癌?这可怎么是好,上网百度查查,不查还好,越看越害怕,说什么的都有,有人说是癌前,差一步就是癌,让做手术切除,可也有人说没事,过段时间会好,到底该怎么办呢?不行,还是到医院去看看,听听医生怎么说。
在丈夫陪同下到了医院,挂了妇科,等了好久,终于一名中年女医生接待了她。医生详细询问了相关病史,包括初始月经了,生了几胎了,避孕措施了,月经周期了,白带多不多了,事无巨细,还问了些令人难以启齿夫妻间羞羞的事儿,问得她脸都红了,幸亏没有外人在场,不然真的脸都没地儿搁了,同时仔细看了病理报告,然后就是重复妇科检查的一套程序,用棉签样的东西取了些什么,说需要做什么病毒的检测,比社区体检时仔细了许多,妇查结束后,还开了盆腔超声检查。
针对她心中的疑问,医生让她别过分担心,说宫颈上的细胞有些变化,没发现癌,可能是由于炎症刺激或者病毒有关,已帮她申请了HPV病毒的检测,结果出来后,再来咨询复诊。
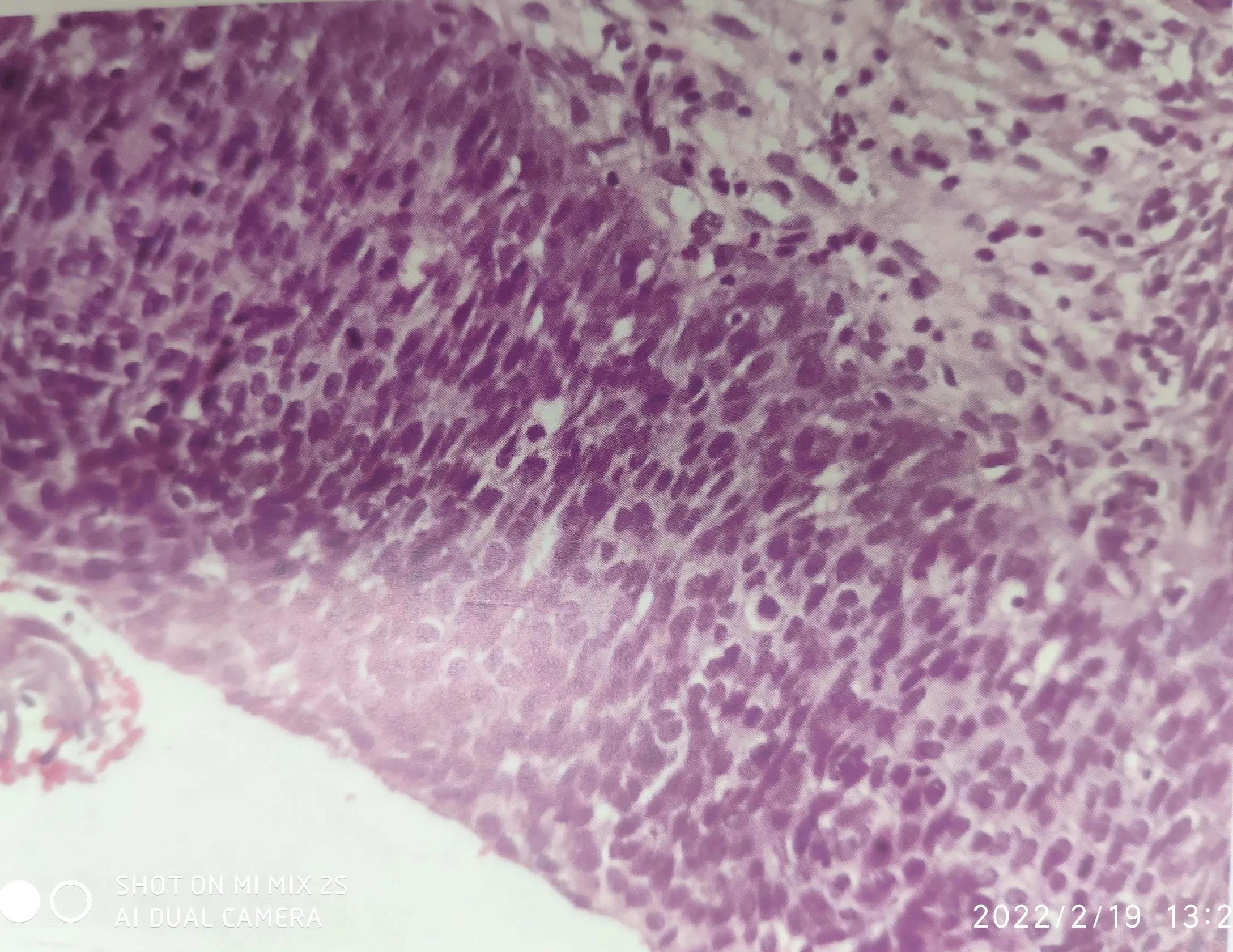
宫颈的CIN到底是什么呢?
CIN是宫颈上皮内瘤变的简称。
是基于宫颈鳞癌发生、发展过程中,对鳞状上皮增生、异型增生、原位癌、浸润癌一系列连续过程的重新认识之后,新提出的概念。这个概念的提出只有20-30年时间。
通过长期大量病例的观察研究发现,宫颈鳞癌的发生、发展是一个连续的、漫长的过程。在各种致瘤因素(包括病毒、长期慢性炎症刺激等)作用下,宫颈鳞状上皮在由下向上的自我更新中,某些细胞形态发生变化,具有了一些肿瘤的特征,包括细胞核增大,染色深,核分裂,提示失去了分化成熟的能力,随着这些异型细胞的增多,从上皮层底部开始,向上不断扩展,逐渐占据上皮全层。这就是上皮内瘤变的过程,根据异形细胞占据上皮层的范围、并结合细胞异型性的大小,人为划分成3级:
CIN1级—累及上皮不超过1/3(即以往的轻度不典型增生);

CIN1级
CIN2级—累及上皮超过1/3,不超过2/3(即以往的中度不典型增生);

CIN2级
CIN3级—累及上皮超过2/3(即以往的重度不典型增生,包括原位癌)。

CIN3级
CIN1级划归低级别上皮内病变
CIN2级及CIN3级划归高级别上皮内病变
CIN1级与宫颈炎症糜烂后上皮修复性增生在形态上无法区别,所以说,部分CIN1会消退,恢复正常,如果是真正的瘤变,消退不易。因为在形态上真性瘤变与修复性增生不易区别,病理医生在判断上主观性较大,重复性不高,有专家建议采用P16和ki-67染色加以区分。对于低级别病变,临床医生多建议随访、观察。
CIN2级与CIN3级,回复的可能性小,认为是不可逆性病变,建议手术干预,临床多采取宫颈锥形切除,送病理检查,全面观察病变范围,保证切缘干净、无残留,如有浸润,采取进一步措施。
上皮内瘤变,故名思议,肿瘤性细胞局限于上皮内,属于非浸润性病变,又叫浸润前病变。有人观察发现,从低级别到高级别,一般进展多很缓慢,长的可达10多年。从原位癌到浸润癌的进展时间有的也比较长,有观点认为,原位癌可以长期存在,而不发生浸润。
所以,发现病理报告上有CIN字样,大可不必紧张,首先它不是癌,新命名系统中,原有的原位癌已划归到了高级别瘤变之中,有效避免了临床的误解与病人的恐慌。
真正意义上的CIN是不会转移的,必须在病变完全切除后才能明确。