
3个病例,带你认识这种疾病!
临床上有见到婴幼儿乳头上长小白点,父母对此很担心,想知道诊断是什么以及需要怎么处理。虽然教科书和文献报道不多,但这个疾病临床并不罕见,因为它的临床症状很轻微,又有一定的自愈性,所以可能会被忽视。
下面就让我们以案例的形式一起来认识这个疾病。
案例1
患儿为15月大的女孩,右乳头在过去2月间逐渐长出无痛性白色物质,质软。皮损初期呈扁豆状,不断扩大,直至出现明显病变。
患儿母亲诉皮损无瘙痒、疼痛、溢液,乳头无创伤史。但在详细询问时,这位母亲回忆起,她曾在新生儿时期挤压过孩子的乳头来治疗“新生儿泌乳(witch's milk)”。
新生儿泌乳亦称婴乳、女巫乳,是一种因母体激素作用而出现乳房肥大,且可以不对称分布,偶尔会持续(数日致数周)分泌稀薄乳状液体,此为新生儿生理现象。
一般体格检查无异常。皮肤检查显示右侧乳头有一个约0.8×0.8cm的圆形、界限清楚的珍珠白色皮损,表面光滑,无脐凹(图1)。触诊时皮损柔软、囊性,无压痛。乳腺组织内无潜在肿块,乳晕轮廓保持正常。左侧乳头完全正常。
根据临床表现疑诊为表皮包涵体囊肿(epidermal inclusion cyst,EIC)或粟丘疹(milia)。
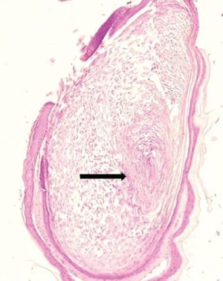
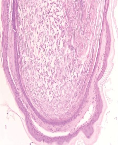
皮损于局部麻醉下切除,标本送病理检查。大体组织为囊状结构,含有软而臭的干酪样物质。镜下见囊壁有复层鳞状上皮和颗粒状细胞层,并含角质物,无附件结构(图2和图3)。
最终根据临床表现(皮损较大而软)、有干酪样物质和组织病理学确诊为EIC。

图1. 右乳头白色囊性皮损

图2. 组织病理:含角质物的囊肿,呈层状排列(黑色箭头),囊壁为复层鳞状上皮(HE染色,×100)

图3. 高倍镜示囊壁由复层鳞状上皮组成,包含颗粒层(HE染色,×250)
案例2
患儿为9月大的男婴,因右侧乳头白色单发皮损就诊,出生既有,缓慢增大,无症状。患儿无外伤史,无疼痛、瘙痒和乳头溢液。
一般体格检查无明显异常。皮肤科查体示右侧乳头附近的乳晕有单发白色圆顶形皮损,约0.8×1cm。触诊皮损柔软,波动、无压痛表现(图4a),左侧乳头正常。
对肿块行全切手术,有干酪样物质,伴恶臭。病理组织示真皮内单发囊肿,由复层鳞状上皮和颗粒层构成,囊腔由角质物组成,未见附件结构(图4b)。
最终也诊断为EIC。

图4(a)右侧乳头圆顶形白色丘疹;(b)组织病理:囊肿内有复层鳞状上皮,囊腔充满角质物质(HE染色,×40)
案例3
患儿为3月大的男婴,自出生以来,右侧乳头既有无症状结节,呈进行性增大(图5a)。左侧乳头正常。无感染、创伤、疼痛、瘙痒和乳头溢液的病史。
一般体格检查均正常。皮肤检查:右侧乳头呈圆顶状结节,直径为1×2cm。触诊时皮损可自由活动,但活动不明显,无压痛,表面光滑。
于全麻下行囊肿全切手术,组织病理示囊肿内有复层鳞状上皮和颗粒层,充满角质物质(图5b)。
最终也诊断为乳头EIC。案例2与3切除后均无复发迹象。

图5. (a)右乳头单发白色结节;(b)组织病理示囊壁为复层鳞状上皮,其腔内充满角质物质(HE染色,×40)
病例学习
表皮包涵体囊肿(epidermal inclusion cyst,EIC)与表皮样囊肿(epidermoid cyst)同义,是一种单发、光滑、柔软或硬、可移动的良性囊肿,大小为数毫米至数厘米不等。可发生于创伤(如乳头挤压而造成的机械性外伤)或手术后,临床也可见先天性病例。通常无痛,除非发生破裂感染、引起炎症反应。
组织病理常可见囊壁,由来源于毛囊漏斗部的正常复层鳞状上皮构成,囊腔充满薄层状角质物质。囊肿的发生机制可能为穿透性和钝性创伤所致毛囊上皮植入真皮。然而引起原发性囊肿改变的确切机制尚不清楚。
皮损可保持静止不变,亦可进行性增大、破裂、产生炎症反应。目前无法预测这些皮损的变化趋向。
EIC发生基底细胞癌或鳞状细胞癌非常罕见。未感染的EIC不处理可能有自发缓解趋向。一般无需治疗,除非患者迫切想治疗。治疗上首选手术切除,应该切除整个囊肿,包括囊壁,以防止复发。
EIC和粟丘疹有相似的组织病理学特征,均为数层复层鳞状上皮组成的囊壁,中央为角质物质填充。有时候认为粟丘疹为轻微、浅表的EIC,因此可将两者视为疾病的包含关系。不过,检索发现,国内的乳头EIC文献没有对两者进行有效区分。
实际上,粟丘疹临床体积较小且表浅,直径通常不超过1-2mm,常见于面部,治疗仅需简单的挑治或切开表皮后挤压出颗粒状角化物。而典型的表皮包涵体囊肿体积更大,可迅速增长,通常大于5mm,有异味干酪样角质物质。
总之,本文通过形象的病例展示和后续讨论,厘清了表皮包涵体囊肿的疾病特征及其与粟丘疹的关系,以后再遇见这种乳头的小白点,大家就不要再诊断为粟丘疹了。
参考文献:
[1] Jain S, Sarkar R, Garg VK, et al. Epidermal inclusion cyst or giant milium of the nipple. Indian J Dermatol Venereol Leprol. 2012, 78:103-105.
[2] Amrani A, Sahu P, Dayal S, et al. Congenital epidermal inclusion cyst on the breast: A case series of a rare entity. Int J App Basic Med Res. 2018, 8: 54-56.
[3] 朱学骏, 孙建方, 王宝玺. 皮肤病学. 第110章: 囊肿.
[4] 皮肤良性病变概述. UpToDate.
[5] 赵小艳. 婴幼儿乳头上的小白点.
[6] Ferreira, Salgado. Congenital milium of the nipple.Wiley Periodicals. 2017, 34: e28-e29.
本文来源:医学界皮肤频道
本文作者:苏烁彬
本文审稿:唐教清
版权申明
本文转载 欢迎转发朋友圈
- End -
