本文来源 “撤稿快讯” 官微
如需了解更多精彩内容请联系

近日, 中国中医科学院中药研究所林娜教授团队早期发表的两篇SCI论文备受读者关注 。

论文一

2017年,中国中医科学院中药研究所 Xiangying Kong(音译 孔祥英),Na Lin(音译 林娜)等人在 International Journal of Biological Sciences(IF:10.75/2区) 期刊上发表题为 “Forsythoside A exerts antipyretic effect on yeast-induced pyrexia mice via inhibiting transient receptor potential vanilloid 1 function” ( 连翘糖苷A通过抑制瞬时受体电位香草素1功能对酵母致小鼠发热产生解热作用)的论文。

本文图7 南京深瞳查重

图8A 南京深瞳查重
针对上述质疑,作者尚未作出任何回应。

论文二

2018年,中国中医科学院中药研究所 Ying Xu(音译 徐颖),Na Lin(音译 林娜)等人在 Phytotherapy Research(IF:6.388/2区) 期刊上发表题为 “Radix Paeoniae Alba increases serum estrogen level and up‐regulates estrogen receptor expression in uterus and vagina of immature/ovariectomized mice” ( 白芍可提高小鼠血清雌激素水平,并可上调子宫和阴道雌激素受体的表达)的论文。

图4b

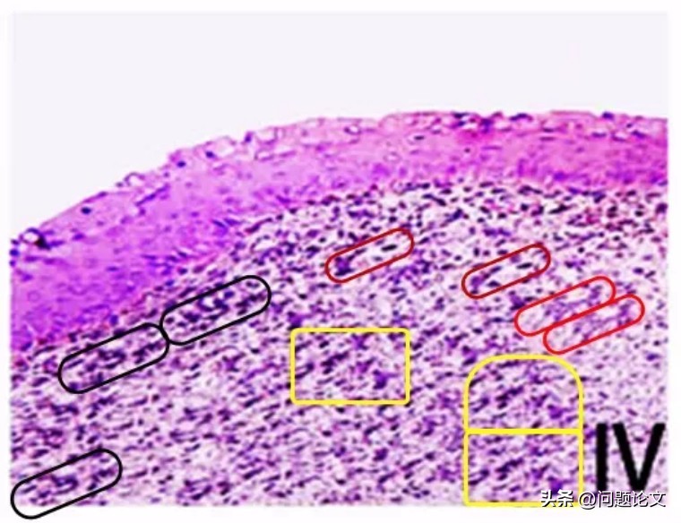
图4b (IV) 南京深瞳查重

图4d

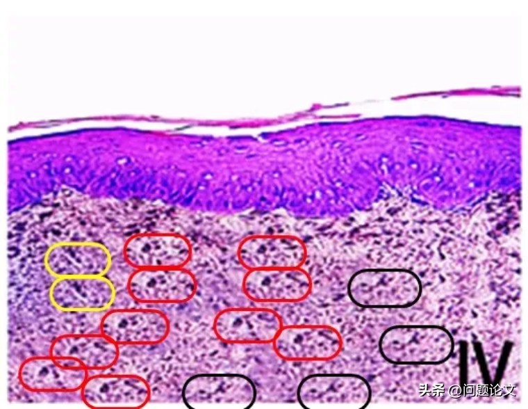
图4d (IV) 南京深瞳查重

图5

重复元素举例 南京深瞳查重

针对上述质疑,作者始终未做回复。 2021年4月16日,本文被撤回 ,撤稿说明显示:
“上述文章于2018年10月29日在线发表于Wiley Online Library(https://doi.org/10.1002/ptr.6205),经该杂志主编Angelo A. Izzo教授和John Wiley & Sons Ltd.的同意,已被撤回。 由于不适当的图像处理和未经修改的原始数据不再可用 ,已同意撤稿。因此, 这篇文章的结论被认为是不可靠的 。”

参考信息:
https://pubpeer.com/publications/66B230A0BCF5CA3250A40D58953348
https://www.ijbs.com/v13p0065.htm
https://pubpeer.com/publications/69433934A3834FB2D4786340D927F7
https://onlinelibrary.wiley.com/doi/10.1002/ptr.6205
https://onlinelibrary.wiley.com/doi/10.1002/ptr.6994
本文来源 “撤稿快讯” 官微
如需了解更多精彩内容请联系