最近,杭州女大学生小吴同学被自己吓坏了,嘴里一直在流血,刷牙时更是变成“血盆大口”!大学室友都调侃她,好像吸血鬼刚刚出去觅食过一样……
更让小吴害怕的是,她嘴里个别牙齿还出现轻微“晃动”,这让22岁的她害怕不知所措,“我才22岁的小仙女啊!牙怎么会松掉了!”
小吴同学出现以上症状后,吓得有点不知所措,大学室友建议她去口腔科看看,小吴就赶紧来到浙江大学医学院附属第一医院口腔科就诊。
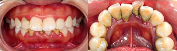
小吴长得白白净净,打扮也很时髦,但口腔科主治医师在看到小吴这口牙后,着实吓了一跳,这哪是22岁小美女该有的牙齿!
牙齿上结满牙结石,还长满了绿色的“苔藓”,而这“苔藓”是细菌长期在牙齿上繁殖出来的菌斑,就像过期的食物不处理掉,就会长霉斑一样。

牙菌斑的堆积会刺激牙龈,引起牙龈炎症,牙龈就会变成鲜红色或者暗红色,质地松软,容易出血,特别是刷牙或者咬硬物时容易出血,还会有口臭。而且小吴的牙龈炎症已经影响到牙根周围的牙槽骨,牙槽骨有炎症会导致骨头吸收,就像树根周围的水土流失,而导致牙齿松动。
长期刷牙不到位,引发慢性牙周炎!
主治医师在排除了血液相关疾病后,初步诊断小吴为慢性牙周炎。
牙周炎危害可大可小,毕竟牙周炎可能会影响到全身健康,因为细菌会通过血液传播到全身其他脏器。
当得知自己牙龈出血、牙齿松动的原因竟然是刷牙刷得不好,口腔卫生差,小吴感到很委屈,“我每天都有刷牙啊!也都保持3分钟以上,为什么还没有刷干净?”
小吴经过姚医师解释后,才明白并不是拿牙刷随便刷满3分钟即可,正确的刷牙方式才是关键。
其实,口腔里最容易堆积菌斑的位置是牙齿与牙齿之间的缝隙以及牙齿与牙龈交界的位置。

所以正确的刷牙方式是,先将牙刷刷毛放于牙齿上方约3毫米的牙龈上,然后自牙龈向牙齿方向轻轻旋转,以剔除牙齿与牙龈交界处以及牙缝间的堆积物。
最好选择软刷毛或超软刷毛的牙刷,以便在按摩牙龈的同时,去除菌斑软垢,如果是刷毛尖端经过软化处理的牙刷更佳。
刷牙是为了去除的是牙菌斑,一般认为清洁后8-12小时可以再次形成成熟的菌斑,我们应该在菌斑成熟前就进行一次清洗,换句话说就是一天刷2-3次比较合适。
来源|FM93交通之声