细胞学为低度鳞状上皮内病变的管理
【据《CAP Today》2016年8月报道】题:细胞学为低度鳞状上皮内病变的管理
(作者 Borron S, Zhao C)
2016年8月,美国CAP细胞病理委员会委员赵澄泉教授和Borron医生在captoday online.com上发表了一篇关于细胞学低度鳞状上皮内病变的管理进展。用于宫颈/阴道细胞学诊断报告的Bethesda系统是病理医生向临床医生交流细胞学检测结果的一种标准化诊断术语,并由此发展而来。Bethesda系统还推动了宫颈疾病的流行病学和发病机制的检测,该系统致力于低度鳞状上皮内病变(LSIL)和高度鳞状上皮内病变(HSIL)的检查,以及这些疾病与人乳头瘤病毒感染(HPV)及进展为浸润性宫颈癌之间的关系。宫颈癌筛查方案和治疗指南是由美国癌症协会、美国阴道镜与子宫颈病理学会、美国临床病理学会提出的,其积累的经验仍在发展,并且随着宫颈疾病的进展和所收集的疾病相关风险数据而不断被修订。细胞学发现HSIL需要做阴道镜检查,组织学证实有CIN2以上的病变者需要手术切除,这是目前较公认的。然而LSIL 的临床处理原则随着筛查建议(HPV联合筛查和筛查间隔时间的延长)改变而发生变化。
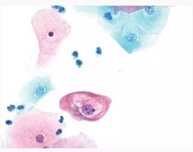
在Bethesda系统中,LSIL是一类以HPV感染为主要特征的病变。经典的LSIL表现为中、表层的鳞状上皮细胞增大,核染色质浓染,核轮廓不规则以及核周胞浆透亮的病变,后者被称为挖空细胞样改变(图1)。图1-4是细胞学检测中明确的LSIL病变。据报道,在所有细胞学检测中,LSIL占1.3-2.5%,在液基细胞学中所占比例最高。已证明在LSIL中55-89%的女性呈高危型HPV阳性(hr-HPV),在非典型鳞状上皮细胞,不能明确意义/低级别鳞状上皮内病变的分流检测(ALTS)中已证实有83%的LSIL呈现高危型HPV阳性。随着常规高危型HPV联合检测的开展,在LSILs中30岁以下的女性高危型HPV阳性率(88.8%)显著高于年长组(30-39岁为80.1%,≥60岁为77.2%)。此外,在LSIL患者中的组织学CIN2以上病变的检出率在高危型HPV阳性组和阴性组中分别为14.5%和3.7%。

图1. 典型的挖空细胞 (600×) 核周空泡及核变大

图2. LSIL 细胞团 (600×) 核增大及深染,HPV感染的细胞质表现,而非LSIL所必需的

图3. LSIL 细胞团(600×) 核大,嗜酸性胞浆,无核周空泡

图4. 少部分LSIL细胞(600×) 核周空泡, 双核形成,轻微增大的核
HSIL则是一种与LSIL明显不同的病变,这是由于HSIL与高危型HPV感染相关性更高(报道为95.7%),病毒常持续存在,有较高的进展为浸润性宫颈癌的风险。在阴道镜检查中,大约50-70%的细胞学为HSIL的女性中发现CIN2以上的病变,而发现浸润性宫颈癌的比例大约为2%。当诊断为高危型HPV阳性的HSIL病变后,总的5年进展为浸润性宫颈癌的风险在30岁及以上的女性中接近8%。而细胞学检测结果为HSIL且高危型HPV阴性者非常罕见,但其进展为浸润性宫颈癌的风险则升高至7%。对这些女性推荐立即活检或手术切除,自第一版管理指南出版至今仍没有改变。
最近几年,当在LSIL的背景中发现有“非典型鳞状上皮细胞,不除外HSIL(ASC-H)时,病理学家经常使用“低度鳞状上皮内病变,不除外高度鳞状上皮内病变”(LSIL-H)这一细胞学术语。这些发现代表了这样一小部分不同的群体,其高危型HPV阳性率为90.5%,明显高于LSIL或ASC-H(高危型HPV阳性率分别为80.8%和54.3%),稍微低于HSIL(高危型HPV阳性率为95.7%)。更重要的是, LSIL-H在组织学检查时发现CIN2以上病变的比例(29.4%)介于HSIL(70.5%)和LSIL和ASC-H(分别为12.9%和17.2%)之间。然而,在Bethesda系统中,LSIL-H并不被认为是一种独立的类别,因而,细胞学检测结果为LSIL-H的病变并没有相应的宫颈癌筛查方案和治疗指南,其管理仍是按照现有的治疗指南,推荐建议结合临床的判断进行处理。
在2001年,ASCCP和ACOG有关宫颈癌筛查共识最初推荐不论HPV结果如何,对所有非青少年的绝经前女性的LSIL都应立即行阴道镜检查。如果在LSIL中发现有较高的高危型HPV感染阳性率,那么由共识推荐的这一建议表明对于在细胞学检测中发现的LSIL常规检测HPV的作用甚微。然而,随后发布的数据证实,在LSIL巴氏检查结果中有5-16%为高危型HPV阴性。近年的数据也进一步证实,高危型HPV阴性的LSIL女性,组织学检查为CIN2和CIN3以上病变的发生率分别低至3%和0.2%,明显低于高危型HPV阳性的LSIL,只有ASC-US与之相似。
对高危型HPV阴性的LSIL已提出几种解释,包括非致瘤性的HPV感染、结点相关的敏感性限制提高了高危型HPV实验的特异性、细胞学检测假阳性以及组织学检查前病毒已被清除。这些发现导致高危型HPV阴性的LSIL女性更易于治疗并且侵袭力更弱一些。因此,在2012年出版的最新宫颈癌筛查方案和治疗指南推荐对高危型HPV阴性的LSIL女性最好采取一年内重复细胞学检查和高危型HPV检测联合筛查方法进行随访,推迟立即选择阴道镜检查。
高危型HPV阴性的LSIL不仅属于LSIL中的一个亚群,而且治疗方法是可选择的,可推迟阴道镜检查。25岁以下的年轻女性由于其自身具有较高的HPV病毒清除率,有较高的宫颈疾病消退能力,且进展为宫颈癌的风险较低。因而,伴有LSIL的年轻女性,包括孕期和非孕期女性,首选治疗方法是12个月内重复细胞学检查。阴道镜则只有在出现以下情况时才进行;即在12个月的随访中发现有ASC-H以上的病变或24个月的随访中发现ASC-US病变。对于非孕期的成年女性最好的方法是阴道镜检查;然而,产后六周内的女性有较高的宫颈疾病消退能力,且进展为宫颈癌的风险低,因此,延迟阴道镜检查也是可以接受的。同样,绝经后女性患LSIL可选择性地行HPV检测,至少6个月和12个月重复细胞学检查,如果在随访中检测为ASC-US以上病变或高危型HPV阳性,则行阴道镜检查。
随着关于LSIL新数据的收集,包括依据年龄基础上的关于高危型HPV感染的疾病消退能力的不同层次的风险,增加宫颈癌筛查联合高危型HPV检测以及设置更长的宫颈癌筛查间期已成为可能。这些数据补充了非典型鳞状上皮细胞,不能明确意义/低度鳞状上皮内病变的分流检测的最初结果,对治疗指南进行修订。此外,新的细胞学分类,诸如LSIL-H,已确定可以增加患者宫颈疾病的风险,但尚缺乏临床管理指南。随着对于高危型HPV检测和宫颈疾病持续存在关系的检查和新数据的收集,将会使临床管理从依赖一个广泛的共识指南转变成实行个性化的管理。
(北京大学人民医院病理科 张晓波 译 沈丹华 校)