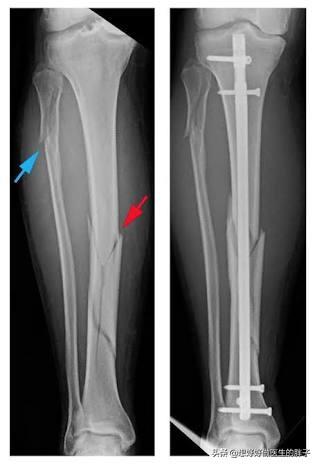
小腿有两根重要的骨头,一根是胫骨,一根是腓骨,小腿骨折根据骨骼损伤的位置可以分为胫骨骨折、腓骨骨折或者胫腓骨双折;而不同骨折又可以分为多种骨折方式,比如闭合骨折、开放骨折、螺旋骨折、粉碎骨折等等,这又可以分为是否存在血管损伤、是否有筋膜室综合征等并发症,所以简单谈论小腿骨折以后如何快速恢复有些复杂,所以我们将小腿骨折设置为:小腿胫腓骨双折、钢板内固定术后,如何能恢复的安全、快速呢?这样会更好的帮助大家理解骨折的基本注意事项,和如何康复,何时康复更好!

手术早期如何加速恢复
第一,无论手术与否,骨折早期患者都要面临疼痛的问题,现在有江湖传说认为吃镇痛药对影响骨折的愈合,这是一种完全错误的理念。一般的镇痛药主要是通过抑制中枢的疼痛阀门或者通过控制炎症来减轻疼痛,常见的如舒尔芬和洛索洛芬就是这两类药物的代表,这两类药物副作用主要是成瘾性和对胃粘膜的损伤,并不会对愈合造成任何影响。所以骨折的病人,该吃镇痛药就吃,不要因为疼痛影响了休息、睡眠和饮食。(舒尔芬不要超过三盒,洛索洛芬之类药物注意有胃溃疡或者心脏支架患者忌用)

第二,肿胀。无论手术与否,骨折都会导致折端的出血、软组织的撕裂,所以肿胀是非常正常的,尤其在受伤以后的72小时以内,肿胀更会是明显的加重,达到峰值。作为小腿还有一点特殊情况,就是小腿是双骨结构,小腿周边的肌肉包围着紧密的筋膜,我们称为筋膜室!

骨折后软组织会明显的肿胀,但是筋膜并不会发生明显的肿胀,所以当软组织以及肌肉肿胀特别严重的时候,会因为筋膜的限制导致肌肉内的血管出现闭塞,当肌肉缺血以后,反而会加重肿胀,最终诱发肌肉的坏死,我们称之为骨筋膜室综合症【1】。这种问题多发在双骨骼部位,比如前臂和小腿。

所以小腿骨折以后控制肿胀特别重要!首先一定要做冰敷,受伤后越早做收益越高,冰敷可以很好的消除软组织的肿胀,减轻患者的疼痛。建议一定要采取冰水混合物,这样它的温度是恒定的零度,不会冻伤皮肤。在受伤以后的72小时内,24小时内要每天隔一小时冰敷20分钟,48~72小时这段时间要根据肿胀的情况,适当的减少冷敷的次数,每天冰敷7~8次都可以。
在这段时间还要口服迈之灵片,一次两片一日两次口服,这种植物种子有很好的消除肿胀的作用。这个阶段如果肿胀特别明显,可以静脉注射甘露醇注射液,帮助减轻肿胀。
另外还要坚持踝泵,促进下肢静脉循环,帮助减轻肿胀,要求每天至少五百下左右,根据疼痛情况以及耐受程度酌情加减次数,具体的操作如下图:

另外抬高下肢也是促进肿胀消退非常好的一种方式,建议抬高30°左右即可,这样可以利用重力促进肿胀的消退!

TIP:如何发现是否存在骨筋膜室综合症?小腿骨折或者术后疼痛严重,如果开始出现肢体远端的麻木,就说明筋膜压力过大,出现了神经缺血,如果活动大姆脚趾头疼痛严重加重,那么就是必须要手术治疗的时机了,而且要越快越好,骨科医生遇到这种情况,基本直接在病房开刀切开筋膜,有的老医生甚至麻药都不打,就为了争取时间,因为骨筋膜室综合症严重的情况会导致下肢坏死,需要截肢,所以一定要快【2】!
第三,是否活动的问题,需要视情况而定!如果患者做的是石膏外固定,那么由于石膏的作用,患者是根本动不了的,那就索性躺着就可以了吗?绝对不要这样,因为长时间的石膏不定会导致关节的粘连,将石膏撤去以后,患者的关节将会彻底的僵硬,更无法做屈伸运动,需要特别长时间痛苦的康复过程才能解决问题。这个时候虽然膝关节不能活动,但是肌肉可以收缩,这个时候一定要做一件事儿就是:股四头肌静力收缩,其实就是大腿绷劲儿!#清风计划# #健康早班车##

这个动作我们要求每天做500次、1000次都可以。做这个动作不仅可以预防肌肉萎缩,同时可以使髌骨有轻微的活动,这样就预防了关节粘连的发生。做好股四头肌静力收缩就为将来的康复打下了基础!
骨折手术的患者由于没有石膏外固定,更是应该在早期进行关节的屈伸活动,而且要也要进行股四头肌静力收缩。这样不仅会避免关节粘连、肌肉萎缩,也会为早期下地行走康复锻炼打下基础!加速骨折术后的康复。

骨折两周到一个月期间如何恢复
此时无论手术还是保守的患者,肿胀和疼痛应该都已经有了明显的减轻,而且手术的患者应该已经拆除了缝线,保守治疗的患者可能要继续固定两个月左右的时间,而手术的患者由于有了坚强的内固定,一个月左右的时间,可以双拐助力下康复行走了!
第一,下地的早期,因为还存在对于骨折的恐惧感,建议在双拐助力下非负重行走。具体操作大家可以看下图:

这样不仅可以促进下肢的静脉循环,利于骨折和全身状态的恢复,而且还可以帮助患者尽快的从卧床当中恢复过来。
第二,手术的患者可以根据自己恢复下地以后是否存在明显的小腿肿胀加重,或者是下肢颜色的改变,以及是否存在疼痛来判断自己是否可以更改行走训练方式。如果行走以后下肢的肿胀加重不明显,或者是疼痛并不会特别的严重,可以在双拐的助力下适度的部分负重行走。如果疼痛加重,可以延缓部分负重时机,疼痛不明显,可以开始部分负重行走了!

如果是保守治疗的患者,在撤去石膏以后也可以按照这个原则来进行行走训练。
第三,当部分负重行走也可以轻松进行以后,就可以单拐助力行走了,具体操作如下,记得单拐要放在健侧,这个很重要!

上下楼梯的时候要像下图操作:
上楼梯要健侧先上,之后拐杖和患肢一起跟上。

下楼梯的时候要患肢和拐杖先下支撑好之后,健侧再跟上。

第四,这期间股四头肌静力收缩、踝泵以及屈伸关节活动范围一定要坚持进行,千万不要因为已经可以慢慢的行走了就掉以轻心,放松对于康复的重视。
这里要啰嗦一句心理的问题:如果手术做的够好,内固定够坚强,早期行走康复锻炼是非常正常的!而很多人却仍然保持着骨折术后卧床三个月的理念,要先把骨头长好再运动,这样带来的危害是非常大的,是非常不值得的。不仅会带来肌肉萎缩等问题,还会可能发生褥疮、下肢静脉血栓形成、心肺功能下降和很多的问题。很多人由于心理上的问题,担心活动以后会导致骨折移位或者是内固定折断,而不敢早期进行康复锻炼。这种情况可以理解,但是做法不对!如果患者朋友们想要早期的恢复,尽快的恢复到日常工作生活当中去,那么就一定要克服心理上的恐惧感,要咨询您的主刀医师是否同意早期康复锻炼。
骨折功能重建期的康复锻炼
这个时期的康复反而可选项比较多,如果已经能够自我脱拐行走,复查x线骨折愈合情况良好,可以选择不康复,通过日常生活当中的活动来逐步恢复功能。
如果对于身体恢复要求比较高,想要恢复以往的运动状态、肌肉强度,这时往往是最佳的康复锻炼时机,在此时的康复锻炼,最好是要在专业的运动损伤康复师或者是康复治疗师的指导下,通过积极的科学有效的康复锻炼,恢复肌肉的力量、强度!恢复身体的本体感觉,例如平衡感等,由于过于专业,就不在这里赘述了!

总结
小腿骨折尤其自身的解剖特点,无论手术还是保守治疗都可以,要根据具体骨折的情况来决定!但是无论何种骨折,我们都要遵循稳定骨折部位、预防肿胀加重、早期康复以及早期行走的原则进行治疗,这样可以加速康复的过程,减少并发症,患者也会受益最多!
文章当中的一些办法适用于大部分小腿骨折的患者,但是应该要说,万事莫有绝对,任何个体都应该有个体处理的原则,不应该一概而论!
如果还有其他的疑惑可以在下方留言,大家共同探讨!
参考文献
【1】McQueen MM, Gaston P, Court-Brown CM. Acute compartment syndrome. Who is at risk. J Bone Joint Surg Br. 2000;82:200–3.
【2】Cohen MS, Garfin SR, Hargens AR, et al. Acute compartment syndrome: effect of dermotomy on fascial decompression in the leg. J Bone Joint Surg Br. 1991;73:287–90.
我是坚持用简单语言解释复杂疾病知识的谢新辉,码字不易,如果您赞同我的观点,请帮忙点个关注或点个赞吧,谢谢了!
