随着冬去春来,寒热交替,“肩膀子”疼得越来越多了,那么当您的肩膀疼痛了,很多人甚至于好多医生都以为是“肩周炎”犯了,然后就去买点膏药以及抗炎止痛药,休息几天,很多人还会上网学习如何进行康复锻炼,于是乎,在家进行着肩部锻炼,如拉单杠、甩胳膊、抡鞭子等。
结果呢?一小部分人病情缓解了,然而大部分人却越来越重,究其原因,才发现自己并非患上肩周炎,而是肩袖损伤;
也有一部分患者因肩周炎康复方法不正确,而继发了肩袖损伤,而更有相当一部分人会因为肩部的外伤而导致肩袖损伤。

肩袖在哪里
肩袖是指冈上肌、冈下肌、肩胛下肌、小圆肌共同组成的,包绕在肩关节周围的肌腱套,它们的完整是肩关节稳定有力的保证。
肩袖损伤
包绕在肩关节周围的肌腱套发生创伤性炎症或不同程度的撕裂,使其功能(稳定肱骨头位置)减弱或丧失,肩袖损伤主要发生在极度往复外展运动中,冈上肌撕裂为肩袖损伤常见情况。
肩袖损伤的临床表现
外伤史:急性损伤史,以及重复性或累积性损伤史,对本病的诊断有参考意义。
疼痛与压痛:常见部位是肩前方痛,位于三角肌前方及外侧。急性期疼痛剧烈,呈持续性;慢性期呈自发性钝痛。在肩部活动后或增加负荷后症状加重。被动外旋肩关节也使疼痛加重。夜间症状加重是常见的临床表现之一。压痛多见于肱骨大结节近侧,或肩峰下间隙部位。
功能障碍:肩袖大型断裂者,主动肩上举及外展功能均受限。外展与前举范围均小于45°。但被动活动范围无明显受限。
肌肉萎缩:病史超过3周以上者,肩周肌肉有不同程度的萎缩,以三角肌、冈上肌及冈下肌较常见。
关节继发性挛缩:病程超过3个月者,肩关节活动范围有程度不同的受限,以外展、外旋及上举受限较明显。
肩袖损伤的诊断、以及治疗方式
根据病史及专科查体以及影像学检查,可以很明确的诊断肩袖损伤,肩袖损伤的治疗跟以前科普过的肩袖肌腱炎的治疗方式类似,均以关节镜下行肩袖修补术来进行治疗,具有微创,创伤小的明显优势。
经典医案
患:女 47岁
主诉:外伤致右肩关节疼痛伴活动受限20天。
现病史:患者自诉于20天前因外伤出现右肩部疼痛、肿胀并活动受限。夜间疼痛较重,曾行热敷、理疗等治疗,具体不详,效果一般,今为治疗来我院就诊,我科门诊医师经检查后以“右肩袖损伤”收入院。
专科检查:右肩关节未见明显畸形,右肩部广泛性压痛、肿胀,尤以右肩峰处为著,右肩关节外展、上举、内旋等主被动活动功能受限,疼痛弧(+),Neer sign(+),Hawkin's tset(+),jobe test(+),外旋Lag试验(-),吹号征(-),Lift-off试验(-)。肢端血运及感觉可。
辅助检查:
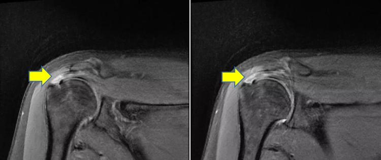
术前磁共振:
1.右侧肩袖(冈上肌腱)损伤
2.右侧肱骨大结节骨髓水肿
3.右肩关节间隙、肩峰下滑囊、喙突下滑囊少量积液。

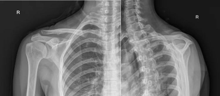
右肩关节正位+Y位 X线:可见肱骨大结节增生,以及二型肩峰

根据查体及辅助检查我们可以明确诊断为
1. 右肩袖损伤
2. 右肩峰撞击综合征
治疗方法的选择:肩关节镜探查清理术+外展功能重建术+肩袖修复术
关节镜治疗的优势:传统等切开手术,手术切口大,手术视野局限,手术损伤较大。现阶段的关节镜手术技术成熟,可通过数个1cm小切口,进行盂肱关节的探查,明确其他合并损伤,清除肩峰下滑囊,根据术前及术中各种定位手段,可在镜下进行肩袖修复,对于同时合并肩峰骨质增生者,可同时行肩峰成形术。相对来说,关节镜手术通过特殊的摄像系统,可在镜下清晰暴露损伤的肌腱并给予充分修复,手术更加微创,术后恢复更快。
镜下可见:冈上肌腱全层撕裂

肩袖修复术后表现:原撕裂冈上肌腱已被完美固定于肱骨大结节

术后3月行肩关节磁共振复查:冈上肌腱走形正常。肩袖损伤完美治愈。

在合理的肩关节功能康复锻炼下,患者肩关节活动恢复正常,肌力正常。