124年前,威廉·伦琴(William Roentgen)无意间发现了X射线,该射线为我们打开了未知的世界。从那以后,它不断发展:科学家发明了CT扫描和磁共振成像(MRI),解开了我们身体中的许多秘密。

正在进行体操运动的体操运动员,在CT下的状态。

在磁共振下,硅胶乳房一览无余。

使用断层扫描仪拍摄的大脑血管照片。

左侧为普通拍摄,右侧为涂抹了碘伏后再进行拍摄。

一名双胞胎孕妇的磁共振扫描。

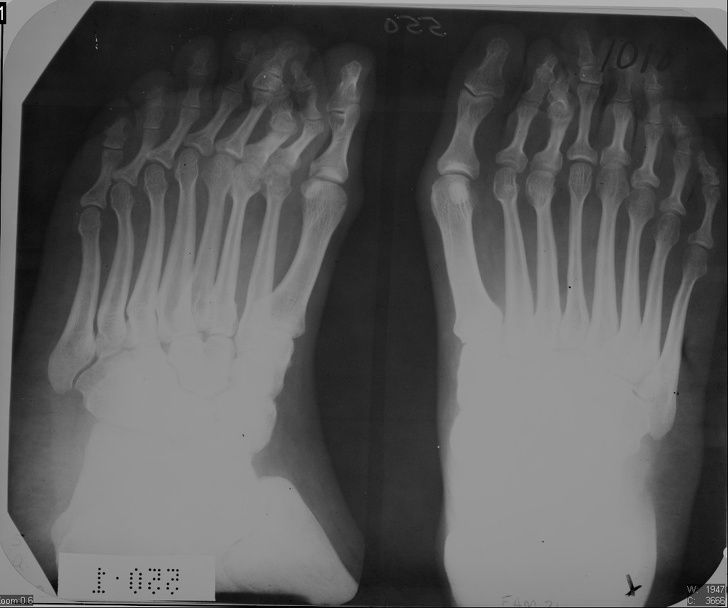
多指患者的脚部X射线照片

三岁孩子和六岁孩子的手,随着年龄的增长,骨骼之间的缝隙也越来越紧。

吸烟容易导致肺气肿,在X射线下它是这样的。

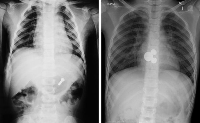
这就是为什么你不应该让孩子们玩小东西的原因。