病历描述:围手术期下肢深静脉血栓形成的原因可有长期卧床导致静脉血流滞缓,手术止血剂引起血液高凝状态及抗生素导致的静脉壁损伤等。那么当出现了围手术期深静脉血栓应该如何处理呢?如何选择最合适的治疗手段?华法林及肝素该如何应用?
81岁老年女性
主诉:突发左下肢肿胀24小时
现病史:患者突发左下肢肿胀24小时,下肢彩超提示左髂静脉股静脉腘静脉胫前静脉胫后静脉血栓,急诊入院。
既往史:胸椎压缩性骨折术后3周,既往高血压,高血脂,骨质疏松。
个人史及家族史:无特殊
查体:左下肢肿胀
诊断:
1.左下肢深静脉血栓:急性期?亚急性期?慢性血栓再发?
2.肺动脉栓塞待排?进一步检查?
3.左髂静脉受压综合症?进一步检查?
4.胸椎压缩性骨折术后
5.原发性高血压
6.骨质疏松
7.高脂血症
进一步检查
1:左下肢深静脉血栓:急性期?亚急性期?慢性血栓再发?
病史追踪,D-二聚体,超声评估血栓回声,血管造影评估血栓
2:肺动脉栓塞进一步检查:肺部CTA,血管造影
3:左髂静脉受压综合症进一步检查:主髂动脉下腔静脉髂静脉CTA+CTV
在明确上述问题之前,予以一个剂量的快速有效的抗凝是推荐的
肺部CTA:肺动脉未及血栓及栓塞征象,见图1

图1
血液D-二聚体:4324ug/L(正常值:≤340ug/L)
急诊造影:小腿深静脉通畅,腘静脉通畅,见图2

图2
急诊造影:大腿段腘静脉通畅,股静脉通畅,见图3

图3
急诊造影:股总静脉、髂内外静脉大量新鲜血栓形成,见图4

图4
本病例治疗方案
1.抗凝治疗:
LMWH:每12小时一*那支**曲肝素钙;华法林:首剂6mg,第二天开始每日3mg;4~6天后根据凝血功能的PT时间和INR停用那曲肝素钙和调整华法林用量
2.溶栓治疗:尿激酶,每12小时20万单位经足背10万单位经腹股沟插管,共持续3~6天,溶栓药物给予时弹性绷带包扎整条患肢
3.每48小时监测凝血功能和D-二聚体,PT时间达到20~25或INR达到1.8时停用那曲肝素钙, PT时间超过30或INR超过3.0时下调华法林用量;联用状态大于7天, PT时间仍未达到20或INR仍未达到1.8时华法林加用半片
4.CDT持续5天后再次造影,球囊扩张或/和支架置入治疗髂静脉闭塞或狭窄
5.医疗压力袜:选择合适的压力和长度的医疗压力袜
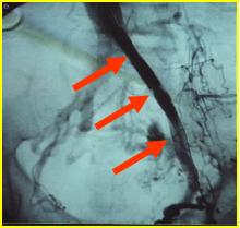
溶栓治疗后复查:
髂股静脉血栓大部分溶解,显示左髂静脉受压情况(Cockett综合征),见图5

图5
深静脉血栓(Cockett综合症继发):见图6、图7、图8、图9、图10、图11
图6

图7

图8

图9

图10

图11
更多病历可到医生汇(医学V直播)观看。