张南

本文将讨论前庭神经鞘瘤的发现、治疗计划和治疗后监测的适当影像学策略。本文将阐述前庭神经鞘瘤的典型和不同的影像学表现,以及鉴别诊断时应考虑的影像学特征。了解前庭神经鞘瘤的自然史,肿瘤生长的最佳测量和定义,有助于放射影像科医生评估保守治疗的失效和对手术或放疗的需要。为了确定保守治疗的成功与否,放射影像科医生需要了解前庭神经鞘瘤的自然史以及肿瘤生长是如何定义的。最后,将强调有助于指导手术或放疗等恰当治疗的影像学特征,并将描述预期的治疗后影像学变化。
关键点:
● 前庭神经鞘瘤是桥小脑角池和内听耳道最常见的肿瘤,影像学特征提示可认为的诊断。
●三维T2w序列是检测前庭神经鞘瘤的一种经济有效的手段,然而钆剂增强成像在特定的背景下和对模棱两可的发现是必需的。
●了解肿瘤生长的自然史、最佳测量和定义有助于评估保守治疗的失效和对治疗干预的需求。
●MRI有助于决定手术或放疗是否是恰当的治疗干预,为手术计划提供重要信息,并监测治疗后的肿瘤。
前庭神经鞘瘤(VSs)占颅内肿瘤的6% - 8%,占桥小脑角(CPA)池和内听道(IAM)病变的绝大多数。影像学在这些肿瘤的检查、特征描述和治疗中起着关键的作用。
成像策略
MRI是检测和随访前庭神经鞘瘤(VSs)的标准医疗。重T2加权(T2w) 3D采集可提供对桥小脑角(CPA)和内听道(IAM)的高空间分辨率各向同性描述,具有脑池成像效果。这些可能是基于3D T2w梯度回波(GRE)或3D快速自旋回波(FSE)技术(表1)。它们被用于对前庭神经鞘瘤(VSs)的初始检测,并越来越多地用于肿瘤监测。三维T2w GRE方法采用稳态自由进动(steady-state free precession)序列,提供高信噪比。虽然条带伪影(banding artifact)可能是由磁场不均匀性引起的相移误差(phase shift errors due to magnetic field inhomogeneities)所致,但通过获取至少两个非共振体积(off resonance volumes)(例如,使用稳态采集的快速成像[fast imaging using steady-state Acquisition,FIESTA],稳态的相构干涉[constructive interference in steady state,CISS])可以缓解这些误差。三维T2w FSE序列受敏感性伪影影响较小;然而,考虑到所需的长回声序列长度(the long echo train lengths required),它们容易模糊(prone to blurring)。这些缺陷已经被当代三维T2w快速自旋回波(FSE)技术解决,如容积、各向同性快速自旋回波采集(volume,isotropic turbo spin echo acquisition,VISTA)、CUBE和采样,以及使用不同翻转角度演化(SPACE)的应用优化对比增强的完善(perfection with applicationoptimized contrasts using different flip angle evolution [SPACE]).。这些三维T2w 快速自旋回波(FSE)技术的特点是显著缩短回波间距,可变的翻转角度,以重新聚焦射频脉冲,从而抑制模糊,同时减少流量和化学位移伪影(significantly shortened echo spacing, and variable flip angles for the refocusing radio-frequency pulses, so suppressing blurring while reducing flow and chemical shift artifacts.)。
薄层钆剂增强前后T1加权成像用于病灶的特征描述,并可用于肿瘤治疗后的随访。脂肪饱和的T1w成像可能是术后脂肪移植的有用辅助。传统上使用2至3毫米薄层自旋回波T1w序列行后颅窝成像,而3D T1w序列现在被认为是最佳的。特别是,与3 D T1w梯度回波脉冲(GRE)序列相比,3 D T1w 快速自旋回波( FSE)序列从减少血管强化和易感性的影响中获益(见表1)。
表1成像序列。
|
序列类型 |
GE |
西门子 |
飞利浦 |
|
3DT2wGRE(梯度回波) |
3D FIESTA-C |
3D CISS |
3D -SSFP |
|
优化3D FSE(快速自旋回波)(T1w和T2w)*a |
CUBE |
SPACE |
VISTA |
|
缩写:FIESTA,稳态采集快速成像;SPACE,采用不同翻转角度演化的应用优化对比的采样完美;SSFP:稳态自由进动;VISTA,体积各向同性快速自旋回波采集。 *a用诸如有效回波时间和翻转角度等因素的变化来影响组织对比度。 |
|||

创新的磁共振成像技术,如“编码金属伪影校正(Slice Encoding for Metal Artifact Correction,SEMAC)”也可以应用于改善听觉植入患者CPA和IAM的MRI设置条件的可视化。CT在有MRI禁忌证的患者中扮演着重要的角色,偶尔也可用于术前计划。
桥小脑角(CPA)池前庭神经鞘瘤的影像学表现及鉴别诊断
桥小脑角池前庭神经鞘瘤(CPA cistern VS)通常在以“冰淇淋蛋卷”形状(an “ice cream cone” configuration)扩展到CPA前,通过耳孔(the porus acusticus)在内听道(IAM)延伸。MRI示T1w等信号,T2w高信号病变。较小的神经鞘瘤通常表现为均匀强化,高达40%的神经鞘瘤表现为不均匀强化(enhance heterogeneously),5%至15%表现为囊性改变(图1)。存在肿瘤性囊肿是重要的,因为它们易于(predispose)快速生长,增加手术并发症发生率,并降低放疗的疗效。虽然肉眼可见出血相对少见(<1%),但在大多数患者中,血敏序列(haem-sensitive sequences)出现微出血改变在年轻的患者中,高血管密度的CPA神经鞘瘤亚群以明显的血管流空为特征。其他影像学特征包括硬脑膜增强(25%)和邻近实质水肿(40%)。虽然脑积水最常与第四脑室梗阻有关,但由于神经鞘瘤向脑脊液分泌蛋白质,也可能存在交通性脑积水。偶见脑干背侧局灶性T2w高信号,可能与前庭核变性有关(图2)。

图1。桥小脑角(CPA)囊性神经鞘瘤的表现。(A)钆剂后T1w轴位像显示肿瘤内囊肿,而(B)和(C)钆剂后T1w轴位像和CISS轴位像显示肿瘤周围囊肿。(D) CISS轴位和(E)钆剂后T1w图像中显示的薄壁囊肿与手术中神经血管损伤的风险增加相关。

图2。CPA前庭神经鞘瘤(VS)的变异性表现。(A) T2*轴位示VS微出血。(B)钆剂后T1w轴位像显示囊性VS伴硬脑膜尾部(箭头)。(C) T2 CISS图像显示前庭核区T2高信号灶(箭头)。(D) T2w轴位图像显示VS伴邻近脑水肿,(E)冠状位钆剂后T1w显示相关脑积水。(F) T2 CISS图像所示的血管充血和(G) T2w图像所示的大量出血是进一步的变异型影像学特征。
5%的患者存在双侧前庭神经鞘瘤(VSs),是神经纤维瘤病2型(NF2)的标志。NF2是一种常染色体显性肿瘤易感性疾病,出生发病率为1 / 25至33000。嵌合体(mosaic)型NF2患者可能表现为单侧前庭神经鞘瘤(VSs),但通常会有临床特征或家族病史。NF2前庭神经鞘瘤(VSs)的特点是年龄较轻,生长较快,并在耳蜗内延伸。NF2还与其他颅神经神经鞘瘤和脑膜瘤有关,可能在后颅窝发生碰撞瘤。全神经轴成像是合适的,因为75%的患者也会发生脊柱内的神经鞘瘤和室管膜瘤(图3)。

图3。NF2背景下的前庭神经鞘瘤。(A)钆剂后T1w显示双侧前庭神经鞘瘤伴右侧三叉神经鞘瘤(箭头),而(B) T2w矢状(#`O′)图显示相关的脊髓室管膜瘤(箭头指示最大的肿瘤)。
在重大手术系列中,前庭神经鞘瘤(VSs)占桥小脑角(CPA)肿瘤的60%至70%。其他最常见的原发性CPA轴外肿瘤是脑膜瘤(10% - 15%)和上皮样囊肿(5%)。表2显示了这些病变的显著影像学特征(图4-6)。在术前区分CPA脑膜瘤与VSs很重要,因为它们与神经血管结构、多变的组织学和潜在的侵袭性有不同的关联,因此影响手术入路。CPA中的非前庭神经鞘瘤(Non-VSs)可能来自三叉(V)、面(VII)、舌咽(IX)、迷走(X)、副(XI)和舌下(XII)神经,在放射影像学和临床上可能类似前庭神经鞘瘤(VSs)。CPA的其他原发性病变包括蛛网膜囊肿、转移瘤、发育性病变(如脂肪瘤、皮样囊肿)和血管性病变(如血管瘤、动静脉畸形、动脉瘤)。(Box 1, 表 3)。也应考虑转移性软脑膜病变(如肺癌、乳腺癌、黑色素瘤、淋巴瘤)和炎性病变(如结节病、结核)的继发性软脑膜受累,并需要与临床病史和脑脊液(CSF)分析相联系以辅助诊断。值得注意的是,小于1%的VS患者存在面神经功能障碍,这样的临床表现应该增加选择VII神经鞘瘤、血管病变或进袭性软脑膜疾病等诊断的可能性。还应该记住,在没有诊断NF2的情况下,双侧病变是很少见的,所以这样的发现应该促使放射影像科医生考虑其他原因,如软脑膜疾病。
表2 鉴别诊断:CPA三类主要肿块的影像学特征。
|
肿瘤 |
起源 |
形态/位置 |
CT特征 |
T1w/T2w信号 |
强化 |
其他序列 |
位于内听道基底的侧方 |
|
前庭神经鞘瘤 |
神经鞘雪旺氏细胞,通常是前庭下神经 |
以扩大的耳孔为中心。球形与岩骨背侧呈锐角。 |
密度可变,但主要是等密度。钙化罕见。 |
T1等信号/T2高信号 |
中度和不均匀性,病灶较大,伴无强化囊性变 |
血敏感序列微出血。波谱上肌醇峰 |
可能向迷路内延伸,并注意到有沿面神经管的延伸,提示类似面神经鞘瘤。 |
|
脑膜瘤 |
CPA(或很少见的内听道)蛛网膜脑膜上皮细胞 |
以岩骨后方为中心,半球形宽基底,与耳孔不对称。高低不平的内侧轮廓。 |
通常(70%)高密度,可能有骨质增生和钙化(20%)。耳孔无扩大 |
可能是如皮质的T1等强信号,T2等强信号 |
硬脑膜尾征中等度均匀强化 |
相较VS,ADC减少,但有重叠。相较VS, CBV增加。波谱上有丙氨酸峰, |
内听道(IAM)扩展时,在CISS序列上保留淋巴管周围信号 |
|
表皮样囊肿 |
外胚层细胞内含物 |
潜入基底池内,伴细小的不规则表面。延伸到对侧CPA以及幕上。 |
通常为脑脊液密度,偶有周围钙化和岩骨成型 |
通常与脑脊液信号呈等信号,少见T1高信号,T2低信号的“白色表皮样囊肿” |
无强化 |
蛛网膜囊肿与脑脊液相关的DWI、FLAIR信号增高相鉴别。三维T2w序列定义良好。波谱上乳酸峰 |
|
|
缩写:ADC、表观扩散系数;DWI:弥散加权成像;FLAIR:流体衰减反转恢复。 |
|||||||

Box1 CPA或IAM病变的影像学鉴别诊断.

前庭神经鞘瘤
脑膜瘤
非前庭神经鞘瘤
发育性 :表皮样/胆脂瘤/错构瘤
血管性:动脉瘤/动静脉畸形/静脉畸形
软脑膜疾病:感染/炎症/肿瘤(淋巴瘤或转移瘤)

图4。CPA脑膜瘤影像学鉴别诊断。(A)钆剂后T1w轴位脑膜瘤图像显示沿岩锥体后部的宽基底,其位置相对IAM是偏心的; (B) CT上有钙化。(C)钆剂后T1w轴位图像显示脑膜瘤伴管内延伸。注意,当(D)脑膜瘤有IAM延伸时,CISS序列上淋巴管周围信号是如何被保留的,而(E) VS(箭头)周围的信号可能会减低。

图5。CPA肿块的影像学鉴别诊断。(A) T2w轴位和(B) DWI显示CPA表皮样病变,与(C) T2w轴位和(D) DWI所显示的CPA蛛网膜囊肿相比,DWI增加。(E)钆剂增强后T1w轴位图像通过在神经线上其尾部的增强(箭头)识别面神经神经鞘瘤。

图6。CPA肿块表征的陷阱。(A)轴位T1w图像,由于低流量静脉畸形,斑块状T1高信号。(B)钆剂后T1w轴位图像,双侧CPA病变和继发于软脑膜不典型横纹肌畸胎瘤的额外的脑膜强化。(C) T2w轴位像,从岩尖(箭头)转移的CPA外生性扩展,伴 CT检查证实骨质改变(D)。(E)钆剂后T1w轴位像显示CPA来自轴内的胶质母细胞瘤(GBM)向外延伸。(F)和(G) T2w和钆剂后T1w轴位图像显示血管母细胞瘤外生性从桥脑侧方脑膜附着延伸到CPA。
当分析CPA肿块时,应确保它不是由邻近结构引起的。外生性轴内病变(Exophytic intra-axial lesions)从脑干和小脑延伸(如,儿童的髓母细胞瘤和转移性或成人的血管母细胞瘤)或从第四脑室(如室管膜瘤,脉络膜丛肿瘤)可能表现为CPA肿块性病变。值得注意的是,在年轻患者中,原发性CPA肿瘤很少见,因此在这种情况下,应始终考虑外生性轴内病变。同样,除非追溯到其起源点,起源于岩尖(如转移瘤或软骨肉瘤)或颈静脉孔(如副神经节瘤)的肿块可能被误认为CPA 的VS。
内耳道前庭神经鞘瘤的影像学表现及鉴别诊断
VSs的起源是有争议的,它们被描述为起源于(从中央胶质细胞过渡到雪旺细胞的)Obersteiner-Redlich区附近的神经鞘和Scarpa神经节。VIII过渡区最远端部分延伸超过4-5 mm,这可能解释了小型IAM VSs的可变位置。内听道(IAM)神经鞘瘤在3D FSE或GRE序列上通常为如脑脊液(CSF)的低信号(hypointense to CSF),呈结节状或纺锤状(nodular or fusiform morphology)。约85%的前庭神经鞘瘤(VSs)来自于下前庭神经(the inferior vestibular nerve),较少的比例来自于上前庭神经(the superior vestibular nerve)(9%)或耳蜗神经(the cochlear nerve)(6%)。哑铃状神经鞘瘤(Dumbbell-shaped schwannomas)可能从IAM扩展进入耳蜗(the cochlea)(跨耳蜗轴trans-modiolar)、前庭(vestibule)(跨迷路斑trans-macular),或中耳(middle ear)(跨耳的transotic)(图7)。

图7。内听道(IAM)前庭神经鞘瘤外观。CISS轴位图像显示(A)小结节状下前庭神经鞘瘤(箭头)和(B)沿下前庭神经和耳蜗神经延伸的纺锤形神经鞘瘤。(C)钆剂后T1w图像显示跨耳蜗轴延伸(箭头)。
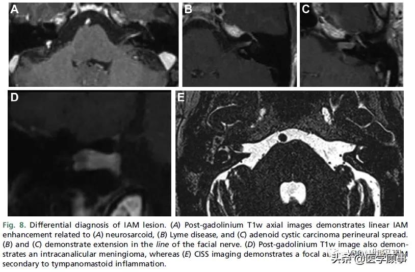
尽管在每个病理学的发生频率方面有差异(图8),内听道(IAM )的VSs的鉴别诊断是类似于那些以桥小脑角为中心的前庭神经鞘瘤(VSs)(参见表3)。首选,统计学上,内听道(IAM)病变在更可能代表前庭神经鞘瘤(VS),神经鞘瘤占所有内听道(IAM)肿瘤的90%以上。最近的一项对在临床和影像学上感觉与前庭神经鞘瘤(VS)相符的内听道(IAM)病变的研究,表明只有2.5%的患者在手术中发现为其他病理。其次,炎性和肿瘤性软脑膜疾病更常表现为内听道(IAM)病变,而不是桥小脑角(CPA)肿块。当考虑内听道(IAM)的炎症和恶性疾病时,无论是炎症性中耳疾病还是来自面神经神经周围播散,在外侧岩骨中寻找病因总是很重要的。

图8。内听道(IAM)病变的鉴别诊断。(A)钆剂后T1w轴位图像显示与(A)神经肉瘤、(B)莱姆病和(C)腺样囊性癌神经周围波散相关的线性IAM增强。(B)和(C)显示面神经线的延伸。(D)钆剂后T1w图像也显示管内脑膜瘤,而(E) CISS图像显示IAM中继发于鼓室瘤样炎症的局灶性异常。
表3 CPA或IAM病变影像学评估的要点和陷阱。
|
影像审查区域 |
为什么? |
|
囊变的证据 |
肿瘤快速生长的倾向和对手术/放疗的有效性和并发症发生率的影响 |
|
强化延伸到其他颅神经孔和管 |
考虑影响手术入路的非前庭神经鞘瘤 |
|
与岩尖,颈静脉孔和脑的连接界面 |
确保是原发性CPA病变,而不是来自邻近结构的外生性延伸 |
|
检查岩骨外侧是否与疾病相接触 |
急性和慢性炎症性中耳疾病和面神经神经周围播散均可呈现向内听道的延伸 |
|
复习平扫T1w序列 |
不要误解如同钆剂增强的T1w高信号(如脂肪瘤) |
|
注意肿块的耳外成分是否同内听道(IAM)呈偏心性,并与岩骨形成钝角 |
考虑为影响手术入路的脑膜瘤 |
|
检查是否有过多的流空和血管 |
向外科医生凸显富血管VS变异或考虑其他血管病变 |
|
在标准平面重建容积序列 |
确保评估肿瘤生长的测量技术的一致性 |
|
在无诊断NF2的情况下,确认其他软脑膜病变或双侧病变 |
提示炎症/感染性/肿瘤性软脑膜疾病的替代诊断 |

当症状进展迅速,有系统性恶性肿瘤或免疫抑制的临床病史时,当包括面神经麻痹时,放射影像科医生应特别警惕可能出现的另外的病理。提示另一种诊断的影像学特征包括线性钆剂增强、双侧病变以及疾病向侧面延及面神经或中耳。需要注意的是,IAM底部的生理性血管钆剂增强、Scarpa神经节的正常扩张或耳蜗内血管袢都可能类似小的前庭神经鞘瘤(VS)。
前庭神经鞘瘤的临床表现及影像学诊断指征
几乎所有前庭神经鞘瘤患者都有听力症状。感音神经性耳聋(Sensorineural hearing loss)是最常见的引发诊断的症状(95%),5%的患者是突然发病的。大多数患者也经历过不对称耳鸣,尽管它是罕见的(<1%),是一个孤立的主诉症状。较大的肿瘤更有可能出现与后颅窝压迫有关的症状,有可能出现不稳定、真眩晕、面部疼痛和麻木。对于不相关的临床表现,MRI后检测到VSs的偶然诊断现在可能占10%。
诊断影像学检查需要在单侧或不对称听力学症状或其他相关的局部症状和体征的患者中发现VSs。另外,MRI在纯音测听时提示有非对称听力损失。对于提示成像所需的耳际听力阈值不对称性,目前尚无标准化标准。听力测量标准的最佳选择将取决于目标是达到最大的灵敏度(随着MRI研究的增加)还是最大的阳性预测价值。最近的美国国家临床卓越研究所(National Institute of Clinical Excellence)指南指出,在超过两个相邻频率的阈值中存在≧15db的耳际差异的患者应接受MRI检查;然而,对听力标准仍存有争议,并没有前瞻性研究可用。最全面的成像标准应考虑多种因素(如年龄、噪声暴露史、其他听觉前庭症状),并可能通过机器学习算法加以澄清。
前庭神经鞘瘤的不同治疗方案及影像学的作用
治疗VSs的三个主要方法是等待和扫描保守处理、手术和放疗。在不太常见的情况下,可以考虑药物治疗,然而,这主要是在NF2的背景下。治疗决策是多因素的,考虑临床(如年龄和症状)以及影像学发现(大小和生长)。除了对选择治疗方案产生影响外,成像在干预计划和治疗后监测方面也发挥着关键作用。
等待和扫描保守处理
由于大多数前庭神经鞘瘤(VSs)体积小且增长缓慢,“等待和扫描”方案正在发挥越来越大的作用,特别是在老年患者中。将讨论测量技术,适当的成像时机,最佳的成像协议,和对肿瘤生长的定义。
肿瘤测量
一致的测量技术和可靠的肿瘤大小测量对于评估肿瘤大小和生长速率是重要的。在临床实践和研究环境中,测量的执行方式存在相当大的差异(图9)。标准化的肿瘤测量方法,虽然没有一个被统一采用已被各组织推广。在最近的一次共识会议上,最大的耳道外尺寸(The largest extrameatal dimension)被认为是关键的测量指标,它构成了大多数肿瘤分期分类的基础(表4)。虽然这些单一的线性测量已经被广泛采用,但众所周知,容易产生测量误差,可以通过组合多个线性维度或评估面积维度来提高可靠性和一致性。

图9。测量VS的不同方法(双箭头表示)。钆剂后T1w轴位图像显示之前记录的VS大小测量描述:(A)最长轴位尺寸,(B)最大耳道外尺寸,(C)平行于岩锥后方的最大耳道外尺寸,(D)垂直于岩锥后方的的最大耳道外尺寸,(E)垂直和平行于岩锥后的尺寸与头尾向尺寸(AAOHNS方法)的组合,(F) IAM的线性最长轴向尺寸和(G)区域尺寸。
表4 前庭神经鞘瘤的分期系统。
|
肿瘤大小 |
House |
Koos |
Samii:肿瘤范围 |
|
管内 |
管内 |
1级 T1 |
孤立于内听道 |
|
≦10mm |
1级(小) |
II级 T2 T3a |
较小的耳道外延伸 |
|
≦15mm |
2级(中等) |
耳道外肿瘤无脑干接触 |
|
|
≦20mm |
|||
|
≦30mm |
3级(偏大) |
III级 T3b |
肿瘤接触脑干无压迫 |
|
≦40mm |
4级(大) |
IV级 T4a |
肿瘤压迫脑干 |
|
>40mm |
5级(巨大) |
T4b |
肿瘤严重压迫脑干和四脑室 |

进一步的精度可以通过应用体积分析来实现,在考虑测量误差的情况下,体积分析被认为具有确定连续扫描之间有生长的最佳能力。尽管算法正在迅速发展,但目前在临床实践中,体积分析的常规应用仍面临挑战。完全自动分割通常是不可能的,特别是考虑到邻近硬脑膜和静脉强化、坏死和碰撞肿瘤所造成的困难。准确分割肿瘤的能力也依赖于图像采集,使用T2w序列时,相对于邻近组织的对比度不佳,当穿过肿瘤小于5个层面时,测量误差将增加到大于10%。除了对药物治疗的监测外,线性维度目前仍然足够用于大多数临床决策,并能够以70%至90%的准确性预测体积进展。人工智能方法已经被应用于完全自动化的分割和容量评估,因此可能在VS监控中有未来的作用。
以VSs的自然病史作为指导,以优化等待和扫描成像随访间隔和持续时间
为了指导对VSs进行保守治疗的随访成像方案,对其自然病史有一定的了解是很重要的。桥小脑角(CPA) 前庭神经鞘瘤(VSs)的平均增长率为1 - 2 mm/年,约为肿瘤体积的33% /年,但这是可变的,增长随时间而变化。较大的肿瘤和囊性肿瘤有更大的生长倾向,约10%的肿瘤表现出大于1cm /年的快速生长。20%到50%的肿瘤会有一定程度的生长,需要干预,这通常发生在诊断后的头2到3年。观察到VS稳定的时间越长,随后生长的风险就越低,但在5%到10%的患者中,应该注意到,生长首先发生在5年后。在5%到20%的肿瘤中,已经观察到肿瘤会经历自发消退。因此,由于最显著的增长发生在发病后的最初2 - 3年,这应该是监测最密集的时期;然而,检测生长也需要更长期的随访。目前还没有标准化的方案,尽管大多数指南建议在稳定肿瘤的背景下,在增加MRI研究之间的持续时间之前,进行3到5年的每年影像学检查。
MRI序列用于“等待和扫描”成像随访
一系列研究表明,三维(3D)T2w MRI序列在预测肿瘤进展方面与钆剂增强成像相当,两种不同类型序列测量值的平均差异小于0.5 mm。尽管指南表明任何一种MRI方法都是可以接受的,但由于对多次使用钆基药物的长期安全性的担忧,3D T2w序列很可能会被采用
增强成像预测肿瘤进展的能力,两种不同类型序列之间的测量值平均差异小于0.5 mm。尽管指南表明任何一种MRI方法都是可以接受的,但由于对多次使用钆基药物的长期安全性的担忧,序列很可能会采用3D T2w。
肿瘤生长和“等待和扫描”失效的保守处理
肿瘤生长的证明对于判断等待扫描保守治疗是否失效以及是否需要特殊的干预至关重要,因此需要定义“显著”生长。最近的立场声明指出,与指标(index)研究相比,线性测量的增长是指大于2毫米,或1.2mm3或大于20%的体积增长。还提出了增长率(growth rate)的概念,而不是绝对增长率(absolute growth),作为需要改变管理战略的一个特点。由于定义生长的能力将依赖于成像和测量技术,因此可以认为,系列成像研究之间可检测到的最小差异应该在局部计算,基于部门协议参数。很有可能,未来的方法将包括先进的成像参数和基因改变,以帮助预测肿瘤的行为和生长倾向。
应该认识到,生长并不是决定是否提供手术或放疗的唯一因素。肿瘤的绝对大小很重要,值得注意的是,较大的肿瘤与较年轻的患者有关,这可能反映了更具有进袭性的肿瘤生物学特性。此外,多学科团队还会考虑患者的偏好、年龄、合并症和临床特征(如听力损失)。
外科治疗前庭神经鞘瘤中的影像学研究
可能需要手术来解决大的或增长的桥小脑角(CPA)的前庭神经鞘瘤(VSs),主要的手术选择是乙状窦后(枕下)或迷路手术入路(图10和11)。中颅窝入路较少用于切除管内肿瘤或有小的耳道外部分的肿瘤。通过迷路和中颅窝的手术路径有保留听力的潜力。表5列出了手术步骤的总结,以及每种手术入路的优点和作用。对于年轻的患者,三叉神经痛的患者,以及有明显囊性成分的患者,手术通常优于放疗。由于放疗引起的肿瘤肿胀会导致面神经或脑干受压缺血,因此手术治疗对较大的肿瘤也有好处。



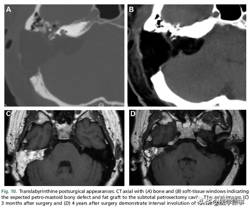
图10。经迷路手术后的表现。CT轴位显示(A)骨和(B)软组织窗,表明预期的岩骨乳突骨缺损和脂肪移植到次全岩骨切除术腔。T1w轴位图像(C)术后3个月和(D)术后4年显示脂肪移植物的间隔退化。

图11。乙状窦后及中颅窝入路术后表现。乙状窦后入路表现:(A)轴位CT显示预期的枕乳突骨和耳孔后(箭头)骨缺损,(B) T2w轴位CT显示左侧小脑瘤样改变和左侧CPA增宽。颅中窝后入路表现:(C)冠状位CT显示颞部颅骨切开术和内听道缺损(箭头),(D) T1w冠状位CT显示内听道缺损部位的脂肪移植(箭头)。
术前影像学评估
表6(图12)提出了术前影像学检查清单,根据所选择的手术入路,列出了最相关的术前影像学特征。应确定的主要观察结果包括:

●静脉变异可能会侵犯手术路径;
●面神经位于前庭神经鞘瘤(VS)前,可能会导致意外损伤
●扩大的岩骨-乳突气房需要密封以防止脑脊液漏
●内听道(IAM)内肿瘤的侧向延伸可能限制切除或导致并发症发生率增加
●内耳CISS或3D FLAIR信号异常,显示听力预后较差。

图12。前庭神经鞘瘤(VS)手术的术前影像学评估。(A)钆剂后T1w图像说明了如何通过后乙状结窦入路估计IAM基底通路。从乙状窦后2厘米处延伸至后半规管线(点)的箭头线。(箭头)(B) CT显示明显的乙状窦前外侧(箭头),可阻碍经迷路的路径。
人们对MRI技术的潜力越来越感兴趣,以显示脑池面神经相对于肿瘤的位置。尽管显微镜下观察和术中监测,对大于2cm的肿瘤进行手术时,面神经功能仅50%至70%能保留。少于10%的面神经位于肿瘤的前部或下部,术前识别这些神经尤其重要,因为它们在切除早期就会遇到。由于常规T2 3D序列在较大VS中不能很好地显示与扁平或减弱的面神经的界面,因此我们探索了面神经束纤维跟踪成像预测面神经位置的潜力(图13)。技术方面将在稍后的文章中进行更详细的讨论。最近对14项研究(n=234)进行的系统综述和汇总分析表明,87%的研究证实面神经与外科手术结果一致使用概率性纤维跟踪成像的前瞻性盲法研究正在进行中,其整合到神经导航系统的潜力以及对保留面神经功能的实际影响还需要作进一步评估。

图13。面神经纤维跟踪成像。概率DTI纤维跟踪成像与T2 CISS图像融合显示前庭神经鞘瘤外侧的耳蜗神经和内侧的面神经。
术后影像学评估
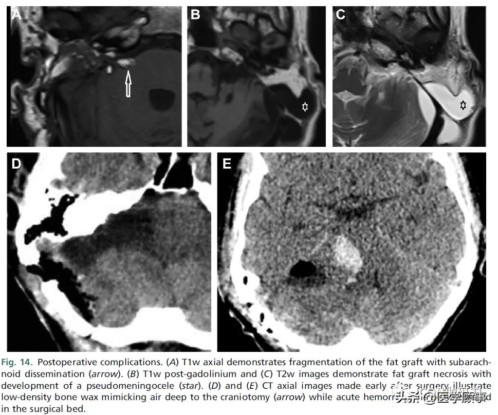
本文描述了每个手术入路的预期术后MRI表现。可能需要影像学检查来评估术后并发症。潜在的术后并发症取决于手术入路(见表6),由于脑脊液漏(和相关的脑膜炎)或脑实质损伤,需要影像学评估。在脑脊液漏(1% - 8%)的情况下,CT和3D T2w MRI可用于识别未封闭的岩骨乳突气房(petro-mastoid air cells)、颅骨切除术边缘或岩尖处的缺口,以及相关的脑脊液逸出(transgression)(图14)。经迷路手术后脂肪移植物坏死(1%)也可能导致易发生脑脊液漏,表现为移植物碎裂和液体浸润(manifests as fragmentation and fluid infiltration of the graft),可能导致类脂性脑膜炎(potential lipoid meningitis)和假性脑膜膨出(pseudomeningocele)。用于密封气房或控制导静脉出血的骨蜡不应被误认为是手术部位或硬脑膜静脉血栓部位的颅内空气(Bone wax used to seal air cells or control bleeding from emissary veins should not be mistaken for intracranial air at the site of surgery or dural venous thrombus.)。脑实质损伤可能继发于动脉或静脉缺血、脑炎或回缩损伤(be secondary to arterial or venous ischemia, cerebritis, or retraction injury)。术后出血(0.6%)可能由静脉损伤引起,尤其是岩静脉桥接,因为几乎所有的大肿瘤都附着于岩静脉(Postoperative hemorrhage (0.6%) may result from venous injury, with particular risk to bridging petrosal veins which are adherent to almost all large tumors.)。也有患同侧硬脑膜静脉窦血栓的风险(5% - 6%)。

图14。术后并发症。(A) T1w轴位示脂肪移植物碎裂,蛛网膜下腔播散(箭头)。(B)钆剂后T1w和(C) T2w显示脂肪移植物坏死并出现假性脑膜膨出(星形)。(D)和(E)术后早期CT轴位图像显示开颅深部低密度骨蜡类似空气(箭头),而在手术瘤床上显示有急性出血。
术后影像监测
虽然可以实现肿瘤全切除(GTR),但手术的目标已从全切除转向功能保留。近全切除(NTR)残留小于5%,次全切除(STR)残留大于5%。在GTR的背景下,由于炎症和早期纤维化,切除部位仍然预期有强化。在术后1年,可以根据线性增强的模式对复发风险进行分层(3%会出现),但很少进展,而结节性强化的复发率可增加6 - 16倍。目前还没有标准化的GTR的监测方法,但稳定的MRI改变一般需要随访3 - 5年,取决于是否有线性或结节性强化。在这种情况下,随访MRI是否需要钆剂增强是有争议的。在近全切除(NTR)和次全切除(STR)的情况下,肿瘤残余通常与面神经有关(图15)。NTR和STR的MRI监测方案与术前肿瘤类似;然而,小的肿瘤残余显示出更惰性的生物学行为。

图15。VS残留术后监测。钆剂后T1w轴位片显示(A)线性强化(箭头),这是正常的术后表现,(B)有时会出现更大和更厚的肿起(箭头),(C)显示面神经线上残留的VS(箭头)。
前庭神经鞘瘤的放射治疗
前庭神经鞘瘤的替代治疗干预主要是放疗,最常见的是用伽玛刀或直线加速器进行立体定向放疗(SRT)。在大多数中小型 (<3cm)VSs中,SRT被认为是主要的处理方法,而且更有成本效益。当校正预期的肿瘤自然史时,11 - 13Gy剂量的SRT有75%的控制率,且具有相似的长期听力结果。
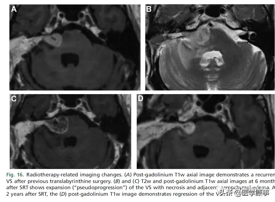
治疗前MRI主要需要用于肿瘤的轮廓勾画和计算准确的剂量体积直方图。使用三维T2w成像,有效的肿瘤分割现在已经被证明是可能的。一些影像学特征也可用于预测预后,保持的耳蜗CISS信号与听力保持有关,而一些纹理特征参数和较低的治疗前ADC值与放射治疗的反应有关。SRT后的预期变化包括暂时性增大,根据定义,25% - 60%的患者会出现这种情况。这不能被误解为肿瘤进展,因为只有一小部分增大的肿瘤出现了肿瘤进展。随后的肿瘤收缩通常在治疗后2年内发生,20 - 55个月后肿瘤体积缩小到小于原来的大小肿瘤肿胀通常与中央强化减弱(坏死)有关,但这与治疗的成功无关。放疗也可导致邻近脑实质信号改变(30%),通常会消退(图16)。尽管只有少数报道明确的良性VSs在放疗后变成恶性,但仍有人担心SRT会导致神经鞘瘤的恶性转变。

图16。放疗相关的成像变化。(A)钆剂后T1w轴位像显示既往经迷路手术后VS复发。(B)和(C) SRT术后6个月T2w和钆剂后T1w轴位图像显示VS扩张(假性进展),伴坏死和周围脑实质水肿。SRT后2年,(D)钆剂后T1w图像显示VS退缩。
前庭神经鞘瘤的药物治疗
贝伐单抗(Avastin)是一种血管内皮生长因子结合抗体,据报道,在与NF2相关的进展性VS中,有40% - 60%的患者可诱导肿瘤缩小和听力改善。其他生物疗法,如(一种ErbB2/EGFR*制剂抑**)拉帕替尼(lapatinib),也在评估中。肿瘤大小的体积变化是确定开始和继续治疗资格的关键,同时也为临床试验提供可靠的结果工具。成像也可能在预测这些药物治疗的反应中发挥未来的作用,一系列研究已经显示,贝伐单抗反应与成像标志物(如Ktrans和平均ADC)之间有很好的相关性。
总结
对于前庭神经鞘瘤(VSs)的诊断、治疗计划和随访,影像是不可或缺的。MRI增加了对有症状和偶然发生的小肿瘤的检测,需要长期监测。MRI技术和影像分析的发展继续加强了放射影像学在VS管理中的作用。