


# 病例简介 #
近日,在呼吸与危重症医学科副主任医师李鹏飞、主治医师赵岳及其他团队成员的通力合作下,成功完成了一例采用经支气管镜二氧化碳冻融联合两性霉素B药物滴入方法治疗支气管真菌感染的病例。经过前后三个月的精心治疗,患者因支气管真菌性肉芽肿造成堵塞而出现的呼吸困难症状得到缓解。
# 患者入院情况 #
患者女性,76岁,在呼吸与危重症医学科先后住院4次,患者入院时喘憋严重,呼吸困难,不能平卧,单侧半卧位即感明显喘憋加重,四肢浮肿明显。胸部CT影像上可见左肺支气管变窄伴远端大面积团片状软组织影,出现了阻塞性肺炎及大量左侧胸腔积液。
# 治疗情况 #

“山路弯弯、障碍重重”

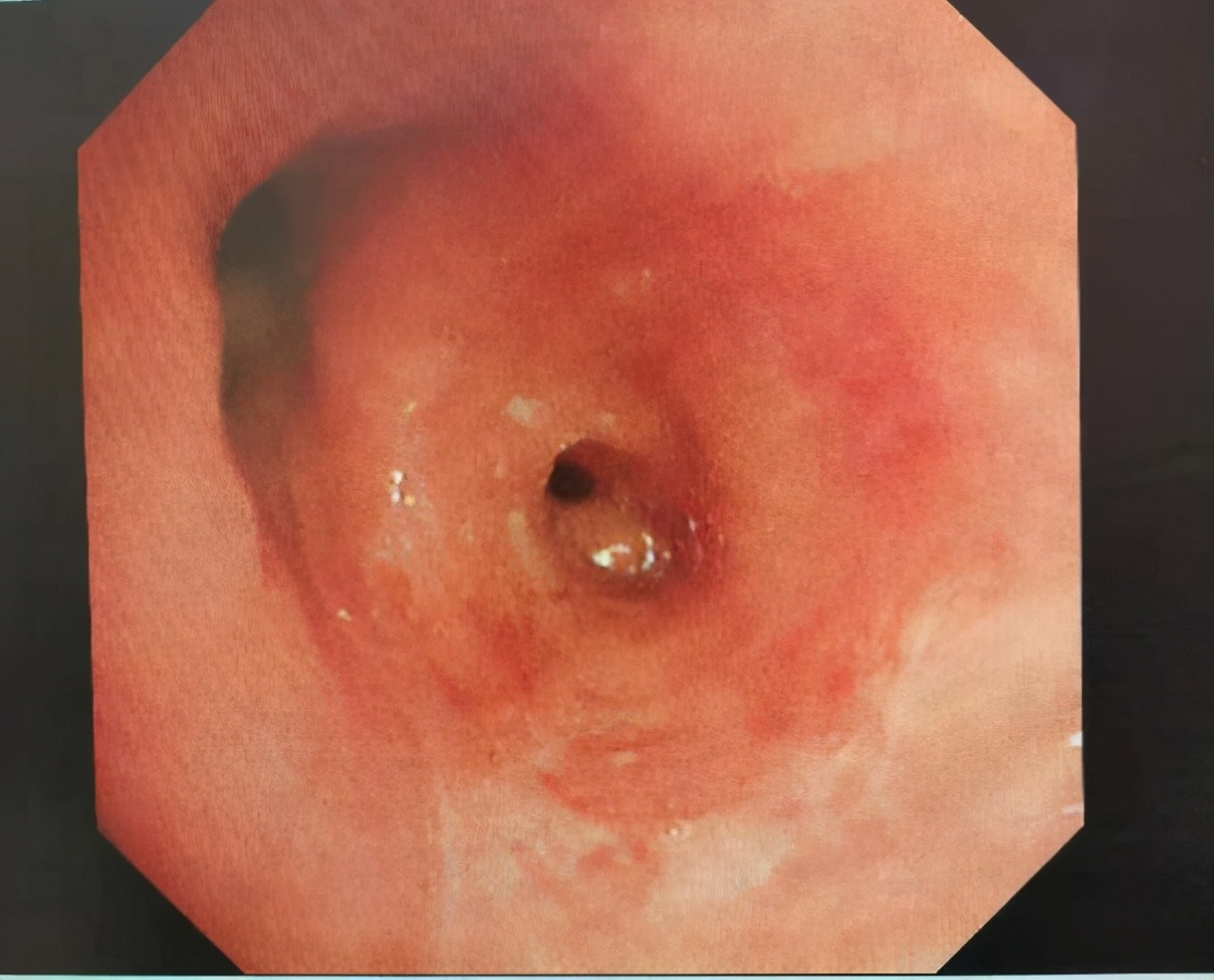
支气管腔内肿物冻融后,左舌叶通畅
入院给予积极胸腔穿刺引流后,安福成主任给予患者行支气管镜检查可见左舌叶支气管开口处巨大腔内肿物,阻塞左舌叶约95%,这正是造成患者呼吸困难的主要原因。
经过支气管镜活检,病理诊断为真菌感染,之后给予两次支气管镜下两性霉素B药物滴入治疗,并给予全身抗真菌治疗,咳嗽、咳痰、胸闷症状有所改善,考虑支气管内肉芽肿阻塞远端气道导致病情的反复发生,与患者家属充分沟通后,予精心准备,在麻醉医生的配合下,完成了经支气管镜二氧化碳冻融,经多次镜下治疗,患者左舌叶气道基本通畅。


李鹏飞、赵岳医师行支气管镜操作
# 病例延伸 #
良性气道肉芽肿性疾病是各级气道在受到炎症、外伤、异物等刺激后气管粘膜异常增生,导致气道阻塞而引起的一系列临床症状,在我国常见病因为支气管结核、长期气管插管或气管造口术后。随着内镜技术的发展,气管镜下介入治疗是解决良性气道狭窄最有效的方法,其中二氧化碳冻融术是治疗良性气道狭窄的方法之一。目前我们团队可以借助支气管镜应用高频电刀、氩气刀、冷冻、球囊扩张、药物注射、支架置入等方法治疗各类良、恶性气道狭窄,呼吸与危重症医学科呼吸介入团队将以过硬的技术更好地服务辖区百姓。
# 呼吸与危重症医学科介绍 #
门头沟区医院呼吸与危重症医学科诞生于2012年4月,自成立以来,励精图治,诊疗范围逐步扩大。目前在肺癌全程管理方面(例如肺结节诊治,晚期肺癌的化疗,免疫治疗,靶向治疗,早期肺癌的微波消融治疗)能力突出,尤其在慢阻肺、哮喘的规范治疗方面走在全国的前列,是全国二级医院呼吸与危重症医学科规范化建设优秀单位。
呼吸与危重症医学科人才济济,有来自于门头沟区潭柘寺的现任呼吸科主任安福成,仁心仁术,得到患者一致好评;有以呼吸介入技术见长的医师吕金堂,拿手绝活是经皮肺穿刺活检,锁骨下深静脉穿刺;还有精研气管镜介入的医生李鹏飞、赵岳等。
科室突出特色: 早期肺癌的微波消融治疗,呼吸衰竭的有创、无创通气治疗;在住院患者中融入肺康复、重症康复理念,加速患者的康复进程。区医院呼吸与危重症医学科,在肺结节诊治、气管镜介入、呼吸危重症诊疗方面技术全面,是呼吸科发展的引擎。
关注门头沟区医院,关注呼吸与危重症医学科,让您的疾病得到最佳治疗。
供稿:呼吸与危重症医学科
编辑:院办