前言
子宫内膜异位症 ( endometriosis,EM) ,主要影响育龄期妇女。目前对此病发病的机理有多种说法,普遍认可的是子宫内膜种植学说。腹腔镜的组织病理学活检被认为是金标准。
临床表现
临床表现:包括痛经、慢性盆腔疼痛、深部*交性**痛、周期性肠不适、乏力/倦意和不育。后盆腔深部子宫内膜异位症与大便困难的严重程度增加有关,直肠阴道隔的深部子宫内膜异位症与大便困难和*交性**疼痛相关。
目前,公认的首选影像检查是盆腔超声,但在视野和操作员依赖性方面存在局限性。妇科检查对病灶定位不够准确, 直肠内镜只能对直肠 EM 病变进行评估。然而,对于复杂病例以及制定手术计划时,MRI 的价值越来越受到重视。当临床怀疑深部子宫内膜异位症时,确定病变的范围肯定是有益的,MR 关键作用是能否在手术前预测患者有无异位到肠壁、膀胱和输尿管等部位,来确定深部子宫内膜异位的范围,换言之,MR 的作用不是来诊断 EM。而是确定 EMT 受累部位,术前制定详细的手术计划。
病理和生理特征
EM 的病理和生理特征是指活内膜组织种植在子宫腔以外的部位, 生长、浸润及反复出血。异位活内膜组织 (包括腺体和间质) 可以随着卵巢激素水平的变化而发生周期性充血、肿胀和出血,同时会引起平滑肌组织反应性增生,而使局部解剖结构扭曲变形,增加诊断难度。EM 临床病理分型如下: 腹膜型、卵巢型、深部浸润型子宫内膜异位 (deep infiltrating endometriosis, DIE) 和其他部位 EM。DIE 是 EM 一种特殊类型, 指 EM 病灶在腹膜下浸润深度 ≥5mm,狭义的仅指后盆部的 EM,而广义的则包括宫骶韧带、子宫直肠陷窝、直肠阴道隔、肠道、输尿管及膀胱等。

EM 异位至输卵管、卵巢、输尿管、静脉、腹壁、膀胱、阴道直肠生殖隔、道格拉斯窝。
MRI 技术要求
欧洲泌尿生殖放射协会制定了盆腔 EM MRI 指南,建议膀胱适度充盈,推荐使用抗蠕动剂,1.5T 和 3.0T 均可以应用于 EM 诊断,依据个体需要,检查时处于月经周期的时间不做限制。有研究认为 T1WI 是诊断子宫内膜异位囊肿的金 标准,推荐采用 T1WI 抑脂和非抑脂相结合,可以通过 2D 或 3D-Dixon 水脂分离技术来实现。无脂肪抑制的 T2WI 是诊断盆腔 EM 的最佳序列,薄层斜轴位扫描可以提高宫旁病灶的诊断。增强检查对 EM 的诊断没有肯定的帮助,不推荐使用,对合并附件肿块、子宫内膜病变或盆腔炎时的鉴别诊断有帮助。

1.5T 3.0T
两者提供了大致相同的图像质量。

应用抗蠕动剂应用提高图像质量,更清晰显示道格拉斯窝积液。

(a)在膀胱充盈且无肠道准备的情况下进行的成像图像质量欠佳,并且疾病可能被忽略。
(b)进行肠道准备后,注意中的高质量图像和直肠-乙状结肠前部的子宫内膜异位病变。
MRI 表现
信号取决于病灶内各种组织成分的比例以及出血量和出血时间,使得 MRI 信号高低混杂,T1WI 和 T2WI 低信号 (代表纤维组织)、混合不同比例的 T2WI 高信号 (代表异位的活内膜组织) 和 T1WI 高信号 (代表不同时期的出血 信号)。MRI 对<5mm 的 EM 病灶诊断不足,EM 病灶呈低信号与盆壁肌肉组织信号相仿,由于纤维组织增生导致粘连变形解剖结构失常,都会对 EM 病灶的评估带来困难。
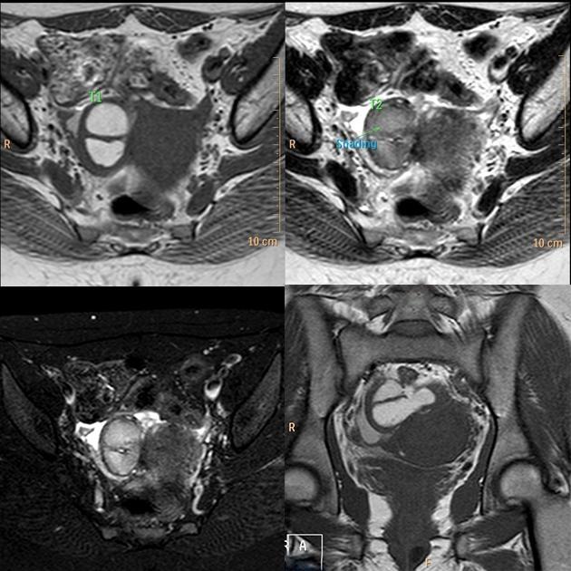
(1)卵巢 EM 又称巧克力囊肿,为伴有出血成分的假囊肿, 囊壁由纤维成分组成,约 50% 为多灶性、双侧性,不同时期出血的 MRI 信号强度不同,表现为 T1WI 和 T2WI 信号多变。由于囊液内大量浓集的铁离子和蛋白成分缩短了 T2 弛豫时间, 使得囊液呈低信号到信号缺失的渐进性变化,即 T2WI「阴影征」,有时可见液-液平面。卵巢巧克力囊肿需与 T1WI 高信号的病灶,如黄体囊肿、合并出血性病变、黏液性囊腺瘤或囊腺癌、畸胎瘤、附件脓肿等鉴别,T1WI 抑脂、DWI 和增强 MRI 可以起到鉴别诊断的作用。

右侧卵巢巧克力囊肿,囊壁 T1WI 和 T2WI、T2WI 抑脂呈低信号,囊内 T1WI 和 T2WI、T2WI 抑脂呈高信号,提示出血或蛋白成分。
(2)深部浸润型子宫内膜异位 (DIE),主要累及宫颈后区,包括子宫直肠陷窝、宫骶韧带、直肠前壁、直肠阴道隔、阴道后壁、盆壁组织,卵巢 EM 病灶常与 DIE 病灶粘连成团,导致子宫极度后屈、甚至形成冰冻骨盆。
放射科医生需要熟悉解剖结构,术前确定 DIE 的部位,为手术提供精准诊断。以下为 DIE 的病例
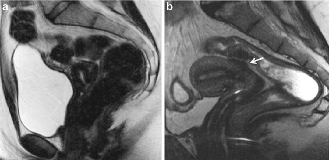
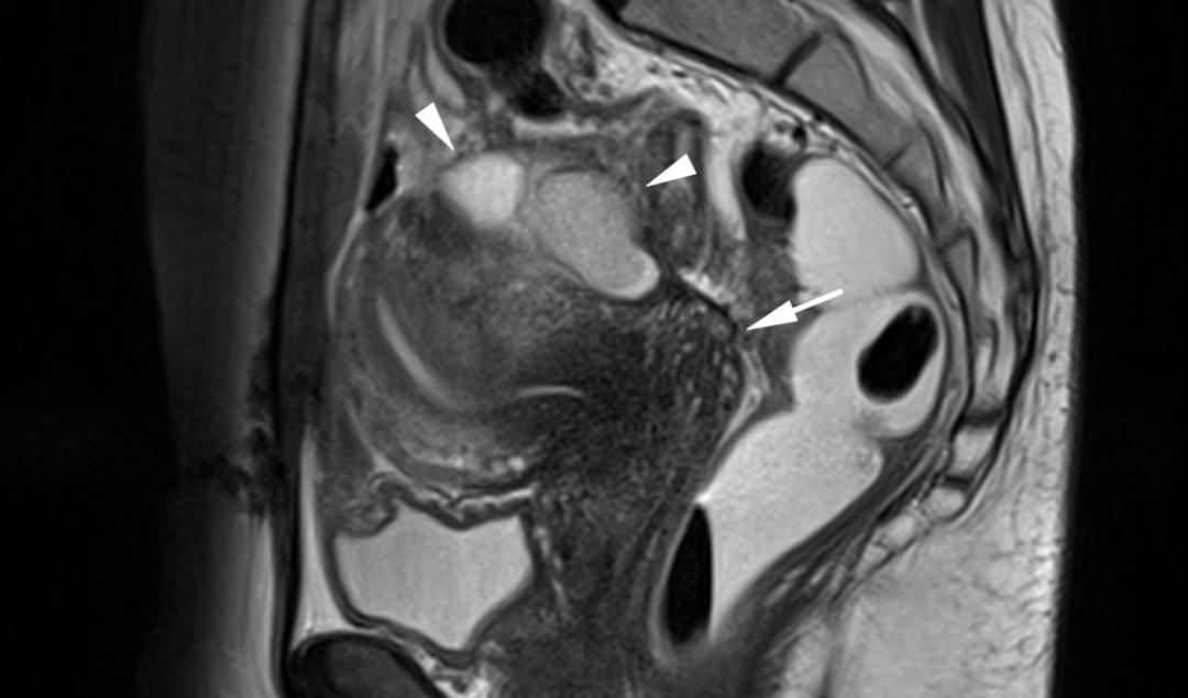
CASE 1
子宫内膜异位至膀胱,T2WI 矢状位显示膀胱顶上壁低信号结节,仔细观察其内超小高信号结节。

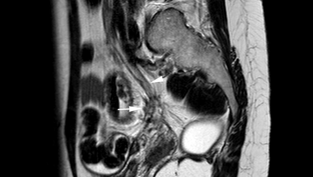
CASE 2
子宫内膜异位至左侧输尿管下段,T2WI 轴位和矢状位子宫颈左旁结节样低信号,边缘呈不规则星芒状,左侧输尿管扩张。


CASE 3
子宫内膜异位至直肠系膜,T2WI 轴位阴道左后方低信号结节,边缘星芒状,累及直肠系膜,但未累及直肠壁。

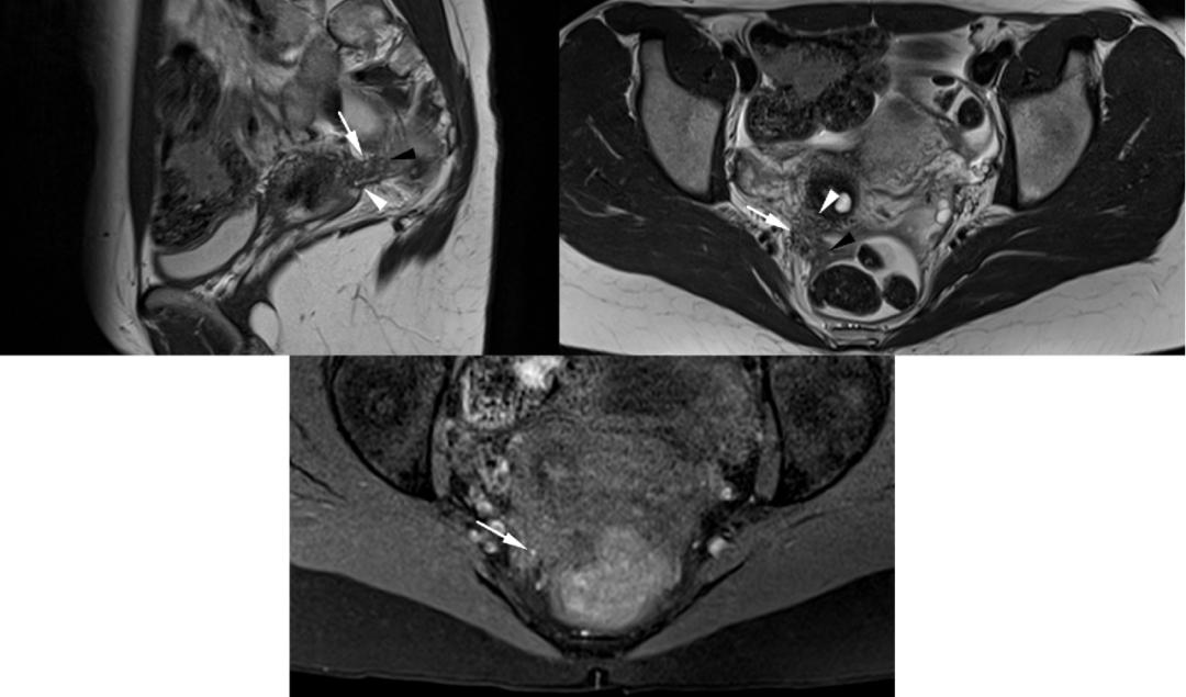
CASE 4
子宫内膜异位至双侧卵巢,T2WI 斜冠位和轴位双侧卵巢类圆形高低混杂信号结节,注意左侧卵巢子宫内膜异位症与乙状结肠之间线性低信号影,提示这些结构之间的粘连。


CASE 5
子宫内膜异位至右侧卵巢,T2WI 轴位发现右侧附件区「葫芦形」高信号,但是更应该注意的是病灶右侧带状低信号,提示与周围结构的黏连。

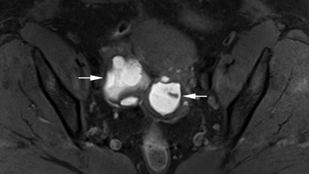
CASE 6
子宫内膜异位至右侧卵巢,T2WI 矢状位呈类圆形高信号,注意的是同时异位至道格拉斯窝及宫颈后区,T2WI 矢状位显示病灶呈低信号,中间夹杂更高信号结节,T1WI 轴位显示病灶多发高信号结节(提示多发出血点)


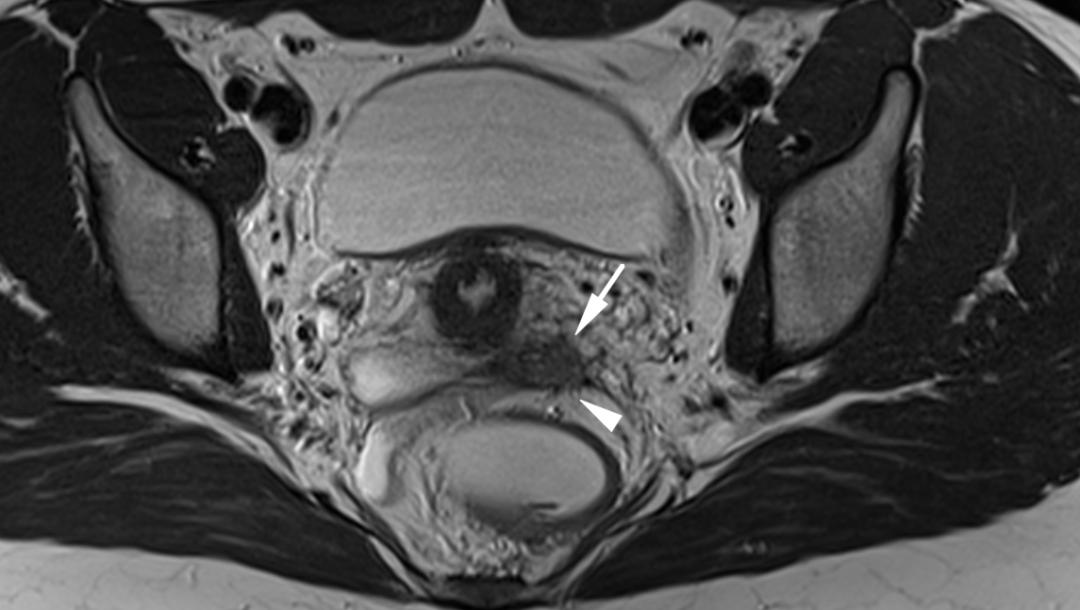
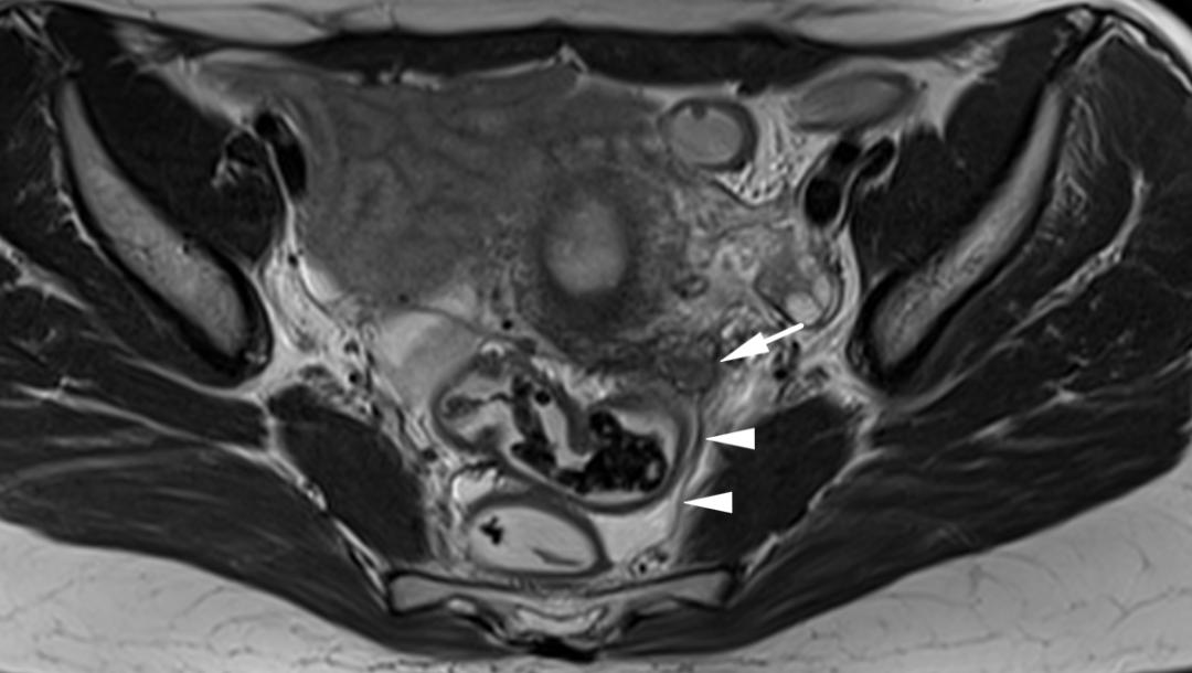
CASE 7
子宫内膜异位至左侧子宫骶韧带,T2WI 轴位子宫骶韧带前方结节样低信号,边缘不规则呈星芒状

CASE 8
T2WI 矢状位显示子宫颈右后方结节样低信号,其内微小高信号结节,边缘毛糙,累及右侧子宫骶韧带、阴道后穹窿、直肠壁; T1WI 轴位可见小结节高信号,提示出血。

CASE 9
子宫内膜异位至阴道-直肠生殖隔,T2WI 轴位和矢状位显示阴道生殖隔结节样高信号,边缘星芒状,同时显示道格拉斯窝积液。


CASE 10
子宫内膜异位症反复手术后内脏粘连,T2WI 矢状位显示子宫前壁和乙状结肠之间脂肪信号消失和增厚的纤维化组织,表示这些结构之间的粘连。


来源:影像时间
【版权声明】本平台属公益学习平台,转载系出于传递更多学习信息之目的,且已标明作者和出处,如不希望被传播的老师可与我们联系删除