虽然已经过去了十多年,但女子嘴里长出头发的罕见病例仍然让专家们困惑。当初是一名19岁的意大利女子在坎帕尼亚大学见到医生时,她迫切地想知道答案。她的诊断是一种叫做牙龈多毛症的罕见疾病。

她在19岁时被初次诊断并接受治疗,但六年之后,她一年内又出现了同样的症状。
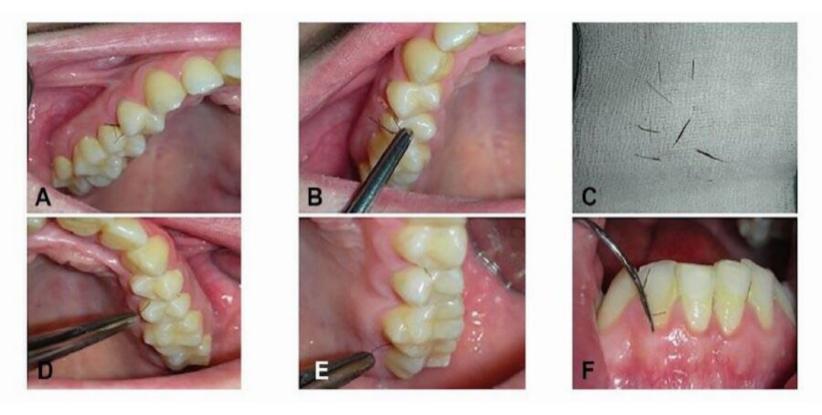
他们的发现发表在《口腔外科学、口腔医学、口腔病理学和口腔放射学》杂志上,记录了这名女子奇怪并反复出现的症状。2009年,她第一次寻求帮助,当时她的上门牙后面不断长出睫毛状的毛发。
医生诊断她患有多囊卵巢综合征,这是由性激素失衡引起的,可导致毛发过度生长。医生给她开了避孕药来调节激素水平,并给她做了口腔手术来去除牙龈上的毛发。
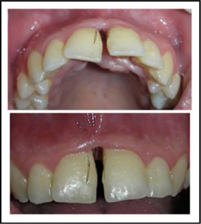
起初,这似乎奏效了。有好几年,她牙上的毛发都没有再长出来,但在2015年,毛发又长出来了,而且扩散到了下巴和脖子。

早在20世纪60年代,这种病例就只发生过5次并且其他病例患者均为男性。
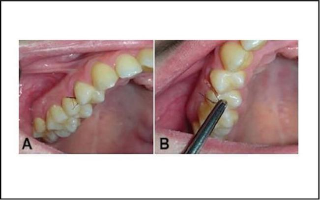
这位当时25岁的女子在毛发长出来之前已经停止服用避孕药,所以医生们只是像以前一样采取了*管双**齐下的方法:医生给她开了药物来平衡她的激素水平,还给她做了手术,并让她一年后再来。但在接受这些治疗后,她的牙龈长出了更多的毛发。
由于这是一种罕见的情况,医生决定利用她的情况,从她的牙龈中提取一小块组织样本。显微镜显示,长出毛发的牙龈组织异常厚。
正如研究人员在他们的研究中提出的理论,口腔粘膜组织与构成我们胚胎皮肤的组织密切相关。这可能解释了为什么这些毛细胞在这个女子的口腔中被激活。
事实上,在口腔中有种很普遍的皮脂腺,它会在毛囊附近的皮肤上分泌一种油性物质。然而,嘴里长出毛发并不是这个原因。该研究的作者指出,这种病仍然是一个谜。
该研究解释说:“对于口腔粘膜中这一相对常发但异常的情况和另一种物质的缺失,还没有明确的解释。”

这名女子正在服用避孕药来调节她的荷尔蒙,从而减少毛发的生长。她还做了头发切除手术。
在他们看来,在整个医学文献的历史上,似乎只有5个病例与这个相似。这些病例可以追溯到20世纪60年代,而且都是在男性身上发现的。
最终,这似乎是有文献记载的首例多囊卵巢综合征刺激或导致口腔毛发生长的病例。由于没有治愈这种疾病的方法,这位不幸的女士可能在可预见的未来,醒来后会突然发现自己的嘴巴长满了毛。