肾炎病人感冒引发的血尿严重吗 (iga肾病感冒肉眼血尿)

急性间质性肾炎是急性肾衰竭的常见病因,也是许多患者在慢性肾脏病基础上发生急性肾衰竭的主要原因之一。因临床表现缺乏特异性,很容易漏诊。来自江苏省人民医院肾脏科的张承宁主任结合临床实际病例就急性间质性肾炎的诊疗进行了分享。

不明原因腰痛、血尿

61岁的老年女性因“腰痛20余天,肉眼血尿2天”于2017年12月26日入院。12月初患者无明显诱因下出现下腰部疼痛,夜间休息痛为主,活动后好转,不伴有尿频尿急尿痛等,未予以重视。12月中旬,患者受凉后出现咳嗽,未伴有咳痰,未予特殊处理,后因咳嗽加重就诊于当地医院,予以阿莫西林抗感染、茶碱镇咳等对症处理。2天前,患者输液过程中出现肉眼血尿伴尿频尿急尿痛,伴尿量减少、恶心呕吐,呕吐物为胃内容物,不伴有水肿,遂于当地医院查。

尿常规检查显示:尿蛋白3+、葡萄糖1+、潜血2+、红细胞383.5/HPF。血常规示:白细胞:16x109/L、中性粒细胞百分比:88.3%,钾:3.3 mmol/L,肌酐:109 μmol/L,尿酸:345 μmol/L。泌尿系CT:左肾结石、双侧肾周渗出改变,右侧输尿管稍扩张。

患者病程中无发热,有咳嗽,无痰,近2日小便量较少,伴尿痛尿频尿急;有恶心呕吐,纳差,大便正常,无胸闷气喘,无水肿,近2月患者体重无明显下降。否认“高血压、糖尿病、冠心病”等其他慢性病史,否认“肝炎、结核”等传染病史,否认其他重大手术外伤史,否认输血史,否认药物及其他过敏史。

入院查体

T:36.7 ℃,P:94 次/分,R:18 次/分,BP:160/88 mmHg。神志清,精神可,发育正常,正常面容,自主体位。全身皮肤粘膜无黄染、皮疹、出血点,无蜘蛛痣、肝掌,无溃疡,全身浅表淋巴结未及肿大。眼睑无浮肿,结膜无充血、水肿,巩膜无黄染。颈部对称,无颈静脉怒张,肝颈静脉回流征阴性,气管位置正中,甲状腺未及明显肿大。听诊双肺呼吸音稍粗,未闻及明显干、湿啰音。心前区无隆起,心率94次/分,心律齐,各瓣膜区未闻及病理性杂音。腹平软,无压痛和反跳痛,肝脾肋下未触及,移动性浊音阴性,双肾区叩痛阳性,双下肢无水肿。

患者入院后诊断考虑为急性肾损伤、肾周围炎,予抗感染及对症支持治疗,后因尿量进行性减少,血肌酐进行性升高于2017-12-28开始血液透析治疗。

实验室检查

血常规+网织红细胞计数:白细胞 11.01x109/L,淋巴细胞计数 0.76x109/L,中性粒细胞计数 9.37x109/L,红细胞 3.512L,血红蛋白106 g/L,血小板 130x109/L,网织红细胞百分比1.67%;尿常规:尿隐血3+,尿蛋白 2+,尿白细胞 2+,尿糖1+;24h尿蛋白定量375 mg。

生化:丙氨酸氨基转移酶11.8 U/L,天门冬氨酸氨基转移酶23.5 U/L,总胆固醇3.50 mmol/L,甘油三脂 0.96 mmol/L,尿素 15.2 mmol/L,肌酐 463.8 μmol/L,尿酸432 μmol/L,钙1.93 mmol/L,磷1.36 mmol/L,钠128 mmol/L,氯94 mmol/L,乳酸脱氢酶 285 U/L,α-*丁酸羟**脱氢酶 189 U/L,总蛋白质 52.7 g/L,白蛋白 31.1 g/L,葡萄糖 6.68 mmol/L;C反应蛋白59.10 mg/L;B型利钠肽前体 1361 pg/mL;降钙素原1.67 ng/mL,心肌标志物测定组合: 肌红蛋白 58 μg/L;凝血五项组合:D-二聚体 1.06 mg/L;

尿红细胞位相:红细胞计数 127万个/ml,异常红细胞30%,正常红细胞70%;尿微量白蛋白>300 mg/L,尿微量白蛋白/尿肌酐>1492.5 mg/g;补体C3 0.82 g/L,转铁蛋白1.53 g/L,输血前8项:乙肝表面抗原 阳性,乙肝e抗体 阳性,乙肝核心抗体 阳性。尿酸化功能组套:可滴定酸3.0 mmol/L,铵根离子7.0 mmol/L;25羟维生素D 17.3 nmol/L;甲状旁腺激素71.9 pg/mL,糖化血红蛋白、抗O、肾综合征出血热抗体、尿细菌涂片、骨钙素、类风湿因子、免疫球蛋白、补体、肿瘤标志物正常。泌尿系B超示左肾结晶,双肾周积液,双侧输尿管不扩张,膀胱充盈欠佳。

结合病史和临床表现, 患者急性肾损伤的原因可能有哪些?

本病例特点:老年女性,腰痛、咳嗽后出现肉眼血尿、尿频尿急尿痛、尿量减少、恶心呕吐伴血肌酐短时间内进行性升高。可能的诊断有:

ANCA相关性血管炎肾损害

患者表现为少尿或无尿、血尿(常为肉眼血尿)、红细胞管型、蛋白尿、高血压、有时伴有水肿,迅速进展至肾功能衰竭,同时伴有中至重度贫血。病理表现为新月体性肾小球肾炎,血清抗中性粒细胞胞质抗体(ANCA)阳性。

IgA肾病

IgA肾病是最为常见的一种原发性肾小球疾病,指肾小球系膜区以IgA或IgA沉积为主,伴或不伴有其他免疫球蛋白在肾小球系膜区沉积的原发性肾小球病。多在上呼吸道感染1~3天后出现反复发作的肉眼血尿,持续数小时至数天后可转为镜下血尿,可伴有腹痛,腰痛,肌肉痛或低热。少部分IgA肾病患者病理表现为新月体性肾小球肾炎,临床表现为急进性肾小球肾炎。

急性间质性肾炎

感染或药物都可引起急性间质性肾炎,患者表现为迅速出现的少尿或非少尿急性肾功能损害,肉眼或镜下血尿,常伴近端及远端肾小管功能损害,出现肾性糖尿及低比重低渗透压尿,可伴季肋部痛、关节痛、淋巴结肿大、肝功能异常、血小板减少、溶血偶可见。血常规嗜酸粒细胞增多,血免疫球蛋白IgE含量升高。B超检查双肾体积增大。

进一步检查

患者入院后查抗核抗体、抗中性粒细胞胞浆抗体、抗肾小球基底膜抗体、抗双链DNA抗体、抗ENA抗体组套、抗磷脂酶A2受体抗体、血清免疫固定电泳均阴性,急性肾损伤原因不明,予抗感染及对症支持治疗后于2018-01-03行肾脏穿刺活检。

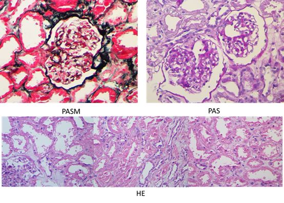
2018-01-08肾活检病理报告示:见21个肾小球,肾小球细胞数稍增多,系膜细胞节段性轻度增生,系膜基质节段性增多,毛细血管开放,可见少数微血栓,基底膜不增厚,未见*轨双**及钉突,少数小球球囊粘连。多处灶性小管上皮细胞颗粒样变性、空泡样变性、微绒毛脱落,个别小管上皮细胞坏死、脱落,灶性小管扩张,管腔见少量蛋白管型及红细胞管型,间质水肿、散在炎细胞浸润,可见单个核细胞、淋巴细胞、少许中性粒细胞,无明显纤维化,小动脉壁不增厚。

感冒引起血尿怎么回事,感冒了肉眼看见血尿什么原因

免疫荧光:1个肾小球,IgG:(-);IgA:(-);IgM:系膜区节段性块状、颗粒样(+++);C1q:(-); C3:(-);C4:(-);Fibrogen:基底膜节段性颗粒样(+);TPO:(-);TG:(-);κ链:(-);λ链:(-);HBsAg:(-);HBcAg:(-);PLA2R:基底膜节段性颗粒样(+)。 刚果红染色:(-)。

确诊急性间质性肾炎

患者入院后因进行性少尿,尿液检查示尿糖阳性、尿酸化功能异常,考虑急性间质性肾炎可能性较大,乙肝病毒DNA <5.00E+02 IU/mL,于抗感染、抗病毒同时2017-12-28开始每日予甲强龙80mg治疗。患者住院期间肾功能变化如下:

感冒引起血尿怎么回事,感冒了肉眼看见血尿什么原因

患者经治疗后从2018-01-04开始出现尿量增多,结合患者肾脏病理及肾功能情况甲强龙于2018-01-08减至40mg,患者肾功能持续好转,于2018-01-11拔除股静脉导管出院,继续每日口服强的松30mg,10后复查生化:总胆固醇 4.93mmol/L,甘油三脂2.73mmol/L,白蛋白37.8 g/L,葡萄糖 5.14mmol/L,尿素 6.01mmol/L,肌酐77.5μmol/L,尿酸 200μmol/L;乙肝病毒DNA <5.00E+02U/mL,嘱患者强的松减量至20mg。

急性间质性肾炎的治疗原则有哪些?

急性间质性肾炎的治疗原则包括:去除病因、支持治疗以防治并发症以及促进肾功能恢复。

➤ 一般治疗力争去除病因,停用相关可疑药物。

➤ 支持治疗对症治疗改善水肿必要时行透析治疗等。

➤ 特殊治疗去除病因后肾功能无明显改善、肾功能损害严重以及肾脏病理提示肾间质弥漫性炎性细胞浸润可早期给予糖皮质激素治疗。

初始剂量可为泼尼松30-40mg/d(必要时可用至1mg/kg/d,若患者的肾功能在治疗后1~2周内获得改善,则可用药4-6周即停药。如果患者应用糖皮质激素2周后仍无缓解迹象,且肾活检显示并无或仅有轻度间质纤维化则可考虑加用细胞毒类药物。

经验总结

本例最后诊断为急性间质性肾炎。急性间质性肾炎是以肾间质的炎性细胞浸润、肾小管呈不同程度变性为基本特征的一组肾脏疾病,病因多样,大致有药物过敏、感染、肾移植急性排异反应、系统性疾病伴发等几种;此外,特发性急性间质性肾炎病因尚不完全清楚,但目前已经明确其中部分发病与病毒感染有关。

临床表现以急性肾损伤为主,尿检查异常包括血尿、白细胞尿及蛋白尿(多为轻度蛋白尿,以低分子蛋白尿为主),白细胞尿通常为无菌性白细胞尿,有时可发现嗜酸性白细胞,偶见白细胞管型,a常伴有明显肾小管功能损害,出现肾性糖尿、低渗透压尿,有时可有远端或肾小管酸中毒,偶见Fanconi综合征(糖尿、氨基酸尿、磷酸盐尿、尿酸尿等)。

主要病理改变为程度不等的肾间质水肿、炎症浸润性病变及肾小管损伤,而缺乏肾小球及肾血管的损伤,无间质的纤维化。大多数急性间质性肾炎有明确的病因,去除病因及时治疗,疾病可获痊愈,或使病情得到不同程度的逆转。

本例患者以急进性肾炎为临床表现,短时间内出现尿量减少、肉眼血尿及血肌酐进行性快速升高,发病前有上呼吸道感染,不容易与ANCA相关性肾小球肾炎、表现为新月体性肾小球肾炎的IgA肾病鉴别

随着检查的完善患者有肾性糖尿、尿酸化功能异常等提示肾小管功能损害,临床医师高度怀疑其为急性间质性肾炎,因其合并有肾周感染未能早期行肾脏穿刺活检,予经验性治疗后患者肾功能明显好转。

抗感染治疗后行肾穿刺活检进一步确诊其为急性间质性肾炎。该例患者临床表现除急性肾损伤还合并有慢性乙型肝炎、肾周围炎,在治疗过程中出现肺部真菌感染。对其使用甲强龙治疗需建立在充分的抗病毒及抗感染治疗基础上。

对此类患者的治疗需注意:

➤ 肾功能损伤的患者使用抗病毒药物恩替卡韦时需根据其内生肌酐清除率来计算剂量,该患者少尿透析时剂量为0.5mg每周一次,随着肾功能好转加量为隔日一次。

➤ 患者合并感染的时候使用激素需充分权衡利弊,利大于弊的时候也要充分抗感染治疗。

更多精彩分享,尽在病例店铺

感冒引起血尿怎么回事,感冒了肉眼看见血尿什么原因

长按二维码|关注病例店铺

点击“阅读原文”,学习更多实战经验!