新生儿锁骨骨折属于几级不良事件 (新生儿锁骨骨折是谁的责任)

新生儿出生之前,他/她在做啥?他/她在天上,在遥远的一方,挑妈妈。

新生儿锁骨骨折医院有没有责任,新生儿锁骨骨折属于医疗事故吗

然后呢?刚出生,宝宝就锁骨骨折了,这个时候的妈妈肯定非常自责,非常沮丧,非常伤心;心想:"这可怎么办,这么小就锁骨骨折,肯定很痛,造罪啊"。本该是一家人其乐融融的时候,随着宝宝锁骨骨折的发生,一家人陷入了紧张不安,焦虑责备中。但是,既然事情都发生了,说再多都无用了,最好的办法还是迅速脑补,并按照医生的方案跟进治疗。毕竟,新生儿锁骨骨折说不常见,也多见。治疗及预后上还是非常好的,治疗恰当一般不会留下后遗症。毕竟,新生儿骨骼的生长能力强,可塑性好。

造成新生儿锁骨骨折的常见原因:

锁骨呈S形,架于胸骨柄与肩峰之间,是连接上肢与躯干之间的唯一骨性支架。锁骨位于皮下,表浅,受外力作用时易发生骨折,发生率占全身骨折的5%~10%。新生儿锁骨骨折是新生儿娩出过程中最常的并发症之一,多见于自然分娩过程。据统计,每100个分娩的孩子中就有1-2例会出现锁骨骨折。主要与宝宝个子太,妈妈骨盆较小,出生的时候经过产道受到骨盆边缘的挤压而引起锁骨骨折。当然,也有助产的时候手法比较粗暴或者缺乏经验引起产伤的个案。因此,巨大胎儿、肩难产、产程异常、产钳、臀位阴道分娩等与新生儿锁骨骨折的关系最为密切,应当引起重视!

新生儿锁骨骨折医院有没有责任,新生儿锁骨骨折属于医疗事故吗

肩难产是指胎头娩出后,胎儿肩膀卡在骨盆出口处,不能娩出的情况,肩难产的发生率为0.2%~3.0%。肩难产虽然发生概率不算高,但是一旦发生,如果贻误时机或处理不当,对孕妇和胎儿都会造成很大的伤害。肩难产的病因有很多,比如:孕妇有妊娠期糖尿病史、高龄、多胎、多产、肥胖、扁平骨盆或者狭窄骨盆等情况;胎儿体重偏大、体型发育不匀称;分娩过程中助产不当,如强硬牵拉胎头、按压宫底或过早协助胎头外旋等。孕妇可从两方面着手降低肩难产概率,首先是怀孕期间保证营养均衡,控制血压,血糖和体重,避免胎儿体重过大;其次是分娩时采取不同的姿势,积极引导或配合胎儿调整姿势,使胎儿找到最容易通过产道的方法。

新生儿锁骨骨折医院有没有责任,新生儿锁骨骨折属于医疗事故吗

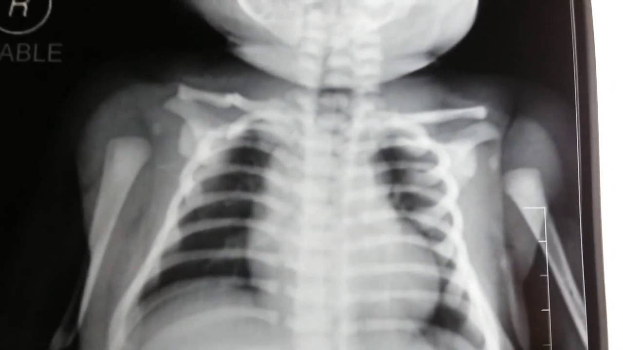
新生儿锁骨骨折了,该如何判断?做X光有辐射吗?

出生后的一大段时间里,可能医生或者家属都还蒙在鼓里,不知道宝宝发生了锁骨骨折。直到有一天,你注意到宝宝一侧上肢不动或少动;给宝宝穿衣服,洗澡或者牵拉宝宝一侧上肢时哭泣,或者发现两边的锁骨位置不一致,或者按压锁骨局部宝宝哭闹挣扎等情况,那肯定是要高度怀疑发生锁骨骨折了。新生儿锁骨骨折的确诊方法主要有两种:X线和超声。

新生儿锁骨骨折医院有没有责任,新生儿锁骨骨折属于医疗事故吗

X光诊断

拍摄胸部X光片是判断宝宝是否有锁骨骨折最直接了当的方法。当然,很多宝妈宝爸总担心X光有辐射。从专业角度来说,医院中X光,DR机,CT等,都会释放电离辐射。所以医院通常会有个黄色的标志(如下图,或者提示前方高能!)。这类辐射超过一定的定量,就会损伤DNA,假如细胞不能修复DNA,则可致癌,导致胎儿畸形等危害。

但是,日常医院的X光辐射是极其有限的。比如,手足X光:0.001毫希沃特(mSv),腰椎X光:0.7毫希沃特(mSv),胸部X光:0.1毫希沃特(mSv),腹部X光:1.2毫希沃特(mSv)。普通人超过100毫希沃特(mSv)的辐射量,才会对身体有危害。因而,一般的X光片都不会引起胎儿畸形或影响宝宝发育的

新生儿锁骨骨折医院有没有责任,新生儿锁骨骨折属于医疗事故吗

尽管如此,还是有很多家长担心X光的放射性,在选择拍X光片时常常忧心忡忡,因而可以选择超声诊断!超声检查作为最常用且最安全的一种临床诊断方法,它不仅无创、无痛、方便快捷又准确,还可以定期随访骨折的愈合情况。

新生儿锁骨骨折医院有没有责任,新生儿锁骨骨折属于医疗事故吗

新生儿锁骨骨折怎么治疗?预后如何?

锁骨骨折的治疗方式需要根据骨折类型以及骨折端的移位程度而定。假如新生儿的锁骨骨折属于青枝骨折,且无明显的移位现象,一般不做特殊出路,或采用"8"字绷带把宝宝的上肢固定在胸臂上1-2周。这些简单的处置,不是为了治疗骨折本身,而是为了减少疼痛而带来的痛苦。另外,还要尽量少搬动宝宝,动作轻柔,睡觉时也要避免骨折侧的肩受压。

但如果伴有成角畸形或者移位者,需要观察是否合并血管、神经损伤等,再复位,再行"8"字绷带固定。在绑绷带的时候,一定要注意在两侧腋窝的地方垫小纱块,防止局部压迫(有一部分宝宝可能过了2周才发现锁骨骨折,这个时候锁骨断端已经长出骨痂,看上去及摸起来都有鼓包,这是正常现象,不用误以为是什么肿瘤之类的,瞎担心啊~骨折端错位越明显,形成的骨痂包块也越大)。

新生儿锁骨骨折医院有没有责任,新生儿锁骨骨折属于医疗事故吗

新生儿锁骨骨折恢复较快,无需手术治疗,一般1-2周骨膜增生及骨痂形成,3-4周就会愈合。当新生宝宝的骨骼生长能力强,可塑性高,一般锁骨骨折后3个月就可以塑形正常了,不会留下任何后遗症,对外观和功能都不会造成影响,家长大可不必担心。

#知识改变生话# #423头条知识节# #健康真相馆# #头条辟谣# #健康真相官# #头条辟谣#