脑出血是脑血管疾病中发病率、致死率、致残率都很高的一种疾病,因此,降低死亡率、提高预后良好率、使用微创办法治疗脑出血是神经外科医生的重大任务。近日,州人民医院神经外科主任医师周成武、主治医师马占海、韩尤斌在兰大二院神经外科主任医师、博士生导师李强主任,贾艳飞博士的帮助下,应用神经内镜清除脑血肿取得了良好效果,尤其是基底节区脑出血、小脑出血、脑叶出血三例典型的神经内镜清除脑血肿病例!
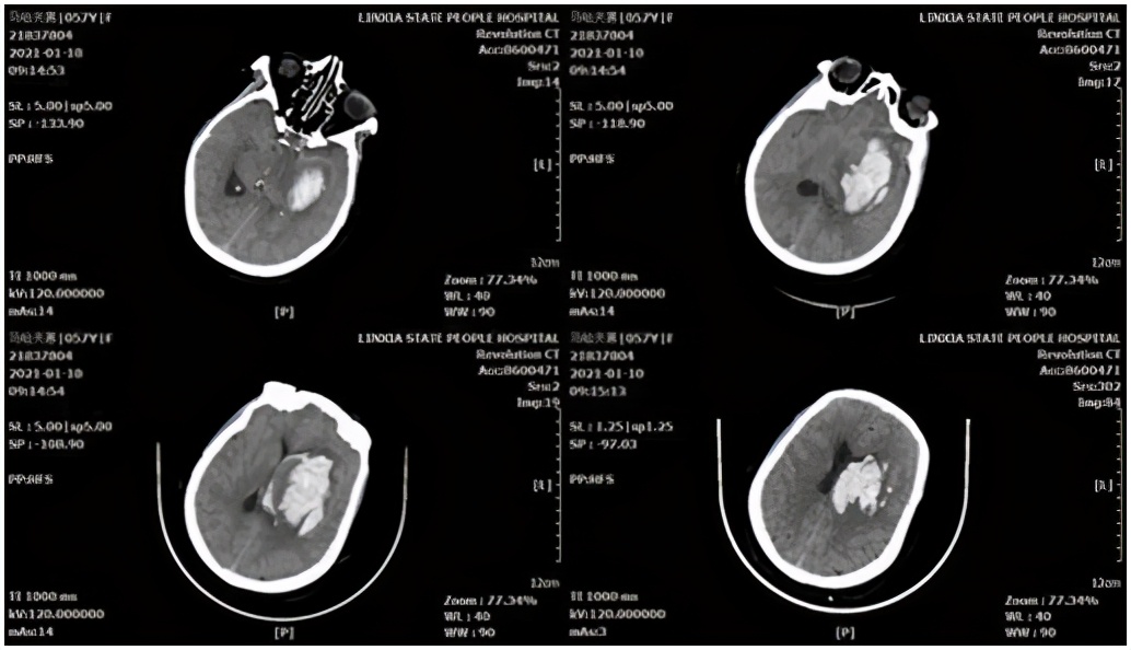
基底节区脑血肿病例,患者女性,58岁。主因“突发意识障碍、呕吐伴右侧肢体无力4小时”,急诊以“高血压脑出血”收入院,头颅CT示显示:左侧基底节区脑出血破入脑室。
术前头颅CT

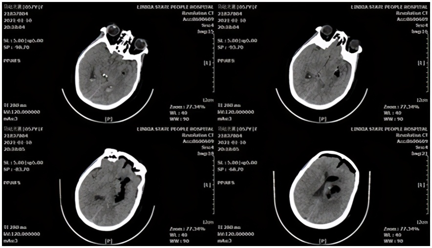
术中采用额中回入路,并用血肿-脑脊液置换技术,最终清除基底节区、脑室内全部血肿,术后血肿腔不放置引流管,取得了良好效果。
术后头颅CT

小脑出血病例,患者男性,77岁。主因"突发意识障碍,恶心、呕吐4小时",于2021-02-02,急诊以"高血压脑出血"收入院。头颅CT示:右侧小脑出血破入第四脑室,梗阻性脑积水形成。
术前头颅CT

术中采用 幕下 旁正中入路,并用血肿-脑脊液置换技术,最终清除小脑半球、第四脑室全部血肿,术后血肿腔不放置引流管,取得了良好效果。
术后头颅CT

脑叶出血病例,患者女性,61岁。主因"“突发意识障碍、恶心、呕吐5小时”",于2021-02-20收入院。头颅CT示:左侧颞顶叶脑内血肿。
术前CT

术中采用微骨窗入路,保护缺血半暗带,最终 回复 良好。
术后CT

神经内镜下清除血肿具有手术时间短、一次性清除血肿完全、直视下电凝责任血管、手术切口长度短,脑组织损伤小、术后治疗费用低等优点,使我院治疗高血压脑出血再上新台阶。目前,我院神经外科已成功开展手术十余例,大大降低了脑出血患者的病死率及致残率,有效减轻了家庭负担,有助于提高患者的生活质量,深受广大高血压脑出血患者的认可和肯定。
供稿:马占海 编辑:柴秀礼 审核:马丁援 发布:马占龙