1.缓解牙痛不适
初戴牙套后会有1-2周的适应期,每次复诊加力后,牙齿可能会产生轻微的疼痛,这种疼痛通常都是能忍受的,疼痛一般持续2-3天左右,无需用药。如果疼痛没有减轻或持续加重,请与医生联系。为减轻疼痛,可采用口含凉水,食用软食,使用正畸保护蜡等措施。

(正畸保护蜡的使用方法)
2.饮食注意事项
牙套(学名矫治器、正畸托槽)通过粘接方式固定于牙面, 一般情况下不会脱落,为了避免托槽脱落,在饮食方面需要注意:不能啃食带骨的食物。以下食物应剔骨后食用:排骨、鸡翅、鸡腿、鸭脖、兔头、螃蟹等。
带核的水果应去核后食用:枣、李子、话梅、坚果类等。

大块食物及较硬的水果应切成小块或片后食用,进食时用牙齿咬合面进行咀嚼:苹果、梨、桃等。

进食较硬的食物(如花生、胡豆等)或黏性食物(如年糕、汤圆、口香糖等)很容易引起托槽脱落,应小心食用。
宜细嚼慢咽,切忌狼吞虎咽,如咀嚼时感到有硬物顶住托槽,则不能继续咬实,以免造成托槽脱落。
3.良好的口腔卫生习惯
配戴牙套的患者在治疗过程中要特别注意口腔卫生。如果牙齿没有刷干净,牙面及托槽周围会有食物残渣、软垢,在口腔细菌长期作用下会出现牙龈红肿、出血、牙龈炎、牙周病、牙齿表面脱矿、龋坏等情况。

(牙龈炎,典型表现为牙龈边缘红肿,刷牙出血)

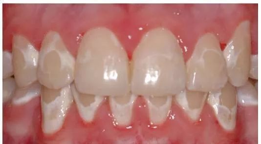
(牙釉质脱矿,典型表现为托槽周围亚冠表面白垩色斑块)
刷牙时间:请在早、中、晚三餐后、进食零食后、复诊前一定要刷牙。每次刷牙的时间不少于三分钟。确保每颗牙齿的三面(唇面、舌面、咬合面)都能得到有效清洁。重点清洁矫治器周围,要把牙齿上的软垢及残留的食物残渣仔细刷干净。
(刷牙时确保每颗牙齿的三面都能得到有效清洁)
推荐使用小头软毛牙刷或正畸专用牙刷、含氟牙膏、牙线、间隙刷、冲牙器等。

(正畸专用牙刷,边缘刷毛较长,中间刷毛较短,能够较好适应粘贴托槽后的牙表面形态)

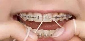
(使用牙线清洁弓丝下方、牙齿邻接处等牙刷无法清洁到的部位)

(牙齿间隙刷)

(冲牙器)
小提示:漱口不能代替刷牙!
4、良好的医患配合
按时复诊:根据医生的上班时间和您的具体情况,预约好复诊时间。如果您临时有事请在该医生上班时间打电话改约时间。

以下情况及时联系:如果矫治器脱落,或发现口腔内钢丝扎嘴或者钢丝变形,要及时与医生联系。医生会根据您的具体情况安排处理时间。
严格按医嘱配戴矫治装置。
5.纠正口腔不良习惯
口腔不良习惯可导致口颌系统受到异常的压力,口腔不良习惯持续的时间越长,错合畸形发生的可能性和严重程度就越大。因此尽早破除不良的口腔习惯,阻断畸形的发生发展十分必要。

温馨提醒:
高效、快捷、完美的正畸治疗不仅取决于医生的技术,更依赖于患者的配合,良好的医患配合能够起到事半功倍的效果。请仔细阅读以上注意事项,并严格遵守。为您拥有一副健康美丽的牙齿,让我们共同努力吧!
本文来源于网络,转载仅作分享
如有侵权,联系我们会在第一时间删除!