介入手术室外的提示灯亮着,显示手术正在进行中,然而屋内一片漆黑,一束光格外显眼,医生全神贯注地注视着屏幕,将这束光安全送达患者体内的肿瘤部位,通过10多分钟的照射将肿瘤“切除”。这是南方医科大学深圳医院胸外科最近开展的一项新技术——肿瘤光动力治疗,可以说是表皮粘膜及管道肿瘤的克星,目前该院已成功治疗了食管癌及肺癌等多例胸部肿瘤。
李大爷就是这项新技术的受益者。今年70岁的他患有慢阻肺,每天都需要间断地吸氧,平日可谓大门不出二门不迈,也不曾做过胃镜检查。不知何时,肿瘤已经在他的食管上安家,并占地扩张,将“平房”盖楼成了“别墅”,把食管堵得只剩一条细缝,只有流质才能通过。

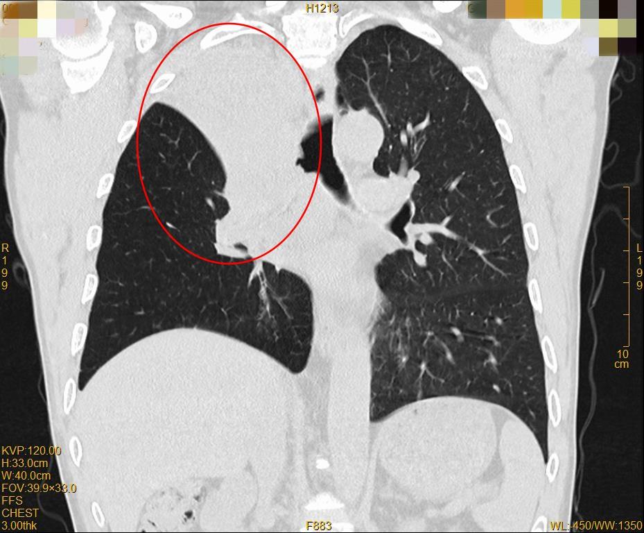
▲治疗前右肺上叶不张

▲治疗后肺复张
来到医院时,李大爷几乎不能吃东西,只能喝点米汤,日渐消瘦、虚弱。在做内镜检查时,直径最小的内镜管子都无法穿越肿瘤占领的地界,消化内科医生告知家属,这种情况下内镜手术做不了。以老爷子虚弱的身体状况,外科手术根本无法耐受。再这样下去,老爷子会饿死的。胸外科提出光动力治疗方案救了老爷子的命,在介入手术室从食管置入头发丝大小的导丝,再通过导丝置入光纤,激光照射治疗肿瘤。

▲光动力治疗准备
光动力治疗是一种有氧分子参与的伴随生物效应的光敏化反应。医生首先给患者静脉注入光敏剂(血卟啉注射液),这药就像警察,一眼就能揪出肿瘤组织。其原理是肿瘤组织和正常组织对光敏剂吸收的差异性,吸收能力是30:1,光敏剂会选择性富集于肿瘤组织。这时候医生再选择适宜的光纤,深入到患者体内的肿瘤部位,采用激光照射,靶向杀死破坏肿瘤细胞。
“就像晒太阳一样,普通人晒了无害,而光过敏人群的皮肤就会出现变红、发疹子等症状,吸收了光敏剂的肿瘤组织就像光过敏人群,通过光照可以发生光化学作用,致使肿瘤的细胞被破坏和微血管的栓塞,肿瘤细胞逐渐坏死,同时对普通组织几乎没有伤害。”胸外科张建华主任解释道。

▲DSA下食管癌光动力治疗过程
医生先后两次通过DSA联合内镜下行食管癌光动力治疗,李大爷体内的肿瘤组织逐步萎缩脱落,老爷子的病情逐步平稳,已经恢复正常饮食。
张建华主任说,光动力治疗(PDT)是一种新型的肿瘤治疗方法,组织选择性好,创伤很小,特别适合表皮、管道肿瘤的治疗,它与传统疗法有很好的兼容性和互补性,避免了开胸、开腹等手术造成的创伤和痛苦,在国际上已应用于食管癌、肺癌、胸壁肿瘤、胸膜间皮瘤、胃癌、头颈部肿瘤、咽癌、腹腔肉瘤、膀胱癌、妇科肿瘤、直肠癌、皮肤癌等。但是手术治疗仍是目前治疗大多数肿瘤的首选方法,光动力治疗仅适用于无法手术患者的一种姑息治疗,必须在专业医生的指导下选用。
记者:严珊珊
通讯员:王小欢