
公众号第176篇的SWI:

图中的小黑点都是微出血,中间黑乎乎一团,应该是血管瘤。详细请看上一篇:头痛恶心三小时,溶栓吗?
今天又遇到一个奇怪的病例:
女,71岁,起床后发现言语不流利。

颅脑CT似乎正常。

MRA正常。

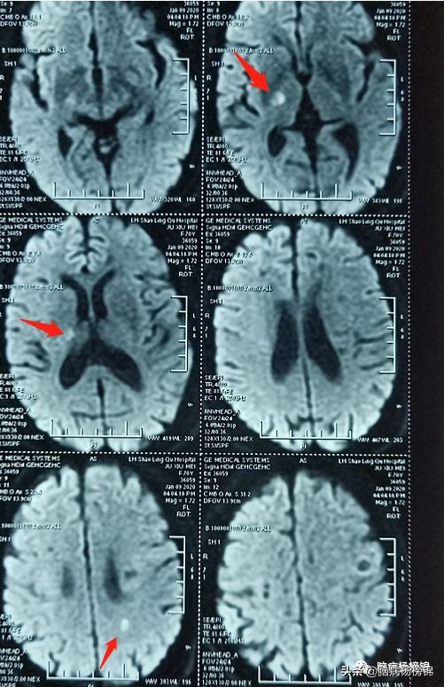
DWI显示:急性脑梗塞。

伸舌右偏。

右下肢病理征阳性。
属于醒后卒中,溶栓吗?
风靡溶栓,小心打脸,不仔细看,出血玩玩。
常言道:医生越老越有用。
我说:医生越老越害怕,越治越胆小,如履薄冰,胆战心惊,不得不睁大眼睛,带上花镜,紧盯阅片灯。

CT片子就是*子骗**,急性脑梗塞看不出来,脑出血也这么考验人。

还是核磁共振有优势。

脑梗塞的发病时间一目了然。

同时出现急性脑梗塞和脑出血,肯定不能溶栓。

SWI排除淀粉样脑血管病。
积极排查全身有没有肿瘤,排除特鲁索、副肿瘤综合征。
欢迎博士和教授斧正,谢谢!