患者女,34岁,四川省绵阳市人。
一、李小勇脑脊液中心治疗过程和结果
第1家医院治疗32天
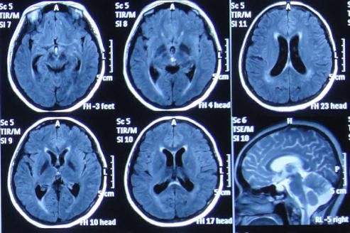
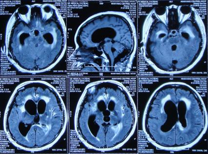
患者于2015年7月31日,无明显诱因突发头痛发热症状,体温升高至38.6℃,因自行服药3天后无改善即2015年8月3日,就诊并住入第1家的位于四川省成都市某军医院的神经内科,查头MRI示“右侧小脑半球结节影,环性强化”(图-1)。

图-1:2015年8月3日头部MRI
经头孢哌酮舒巴坦抗感染治疗1周后即2015年8月9日,仍间断头痛,发热有下降,但仍反复,但患者意识反变差,表情也变淡漠,查头部CT(图-2)。

图-2:2015年8月9日头部CT
第1家医院治疗12天后即2015年8月15日,因仍头痛,考虑跟颈椎有关但查核磁后未见明显异常(图-3)。

图-3:2015年8月15日颈椎MRI
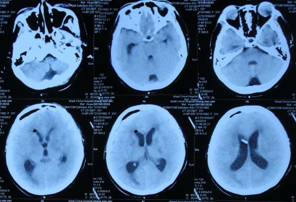
第1家医院治疗13天后即2015年8月16日,查头CT:双侧侧脑室,三脑室及四脑室扩张(图-4),且给予腰穿检查,提示颅压高(脑脊液检查结果不详),给予相关对症治疗。

图-4:2015年8月16日头部CT
第1家医院治疗16天后即2015年8月19日,间断头痛,腰穿颅内压仍高,查头部CT示脑室进一步扩张(图-5)。

图-5:2015年8月19日头部CT
给予利福平,异烟肼,吡秦酰胺,左氧氟沙星抗痨治疗8天后即第1家医院治疗24天后即2015年8月27日,患者意识变清,仍间断低热,头痛,言语变很少,但脑膜刺激征阳性。
第2家医院治疗77天
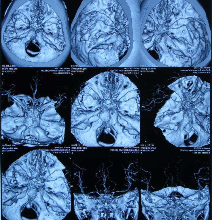
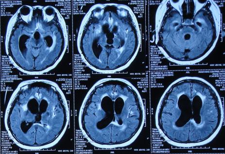
在第1家医院治疗32天后即2015年9月4日,为了进一步的治疗,转入上级的第2家我国西部著名的位于四川省成都市的某三甲医院的神经外科。查头部增强MRI示脑积水,感染性病变可能,结核,脑室系统扩张(图-6);头部CTA示脑积水,双侧基底节区多发低密度影,多系腔梗灶,颅内大血管未见明显异常(图-7);胸部CT:双下肺散在慢性炎症,双侧胸膜增厚,双侧胸腔少量积液(片子丢失)。

图-6:2015年9月4日头部CTA

图-7:2015年9月4日头部MRI增强
第2家医院治疗3天后即2015年9月7日,查头部CT示侧脑室扩张明显(图-8),次日2015年9月8日,进行了右侧侧脑室钻孔外引流术,查脑脊液细菌培养阴性,PPD(结核菌素)试验阴性。

图-8:2015年9月7日头部CT
第2家医院治疗5天后即2015年9月9日(脑室外引流术后2天),查头部CT示脑室稍有缩小(图-9)。

图-9:2015年9月9日头部CT
第2家医院治疗15天后即2015年9月19日(脑室外引流术后12天),因右侧侧脑室引流管堵塞,脑室再次扩张(图-10)。

图-10:2015年9月19日头部CT
次日2015年9月20日,拔除了右侧侧脑室引流管+左侧侧脑室外引流术,术后当天复查头部CT示脑室缩小(图-11),医生考虑结核性脑膜炎可能性大,给予异烟肼、利福平、乙胺丁醇,吡秦酰胺四联抗结核治疗,同时给予激素、营养支持治疗。

图-11:2015年9月20日头部CT
第2家医院治疗26天后即拔除右侧脑室引流管+左侧侧脑室外引流术后10天即2015年9月30日,查头部CT示脑室再次扩张(图-12)。

图-12:2015年9月30日头部CT
第2家医院治疗34天后即拔除右侧脑室引流管+左侧侧脑室外引流术后18天即2015年10月8日,但右侧肢体活动差,查头部CT示脑室也仍扩张(图-13),考虑引流管再次堵塞,故拔除了左侧侧脑室外引流管,改做腰大池置管持续引流术。

图-13:2015年10月8日头部CT
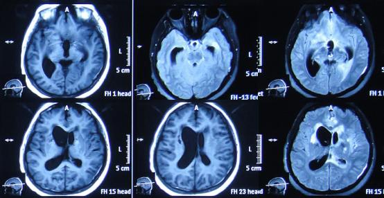
第2家医院治疗38天后即拔除右侧脑室引流管+左侧侧脑室外引流术后22天即2015年10月12日,即腰大池置管持续引流术后4天,查头部MRI示脑室仍扩张(图-14)。

图-14:2015年10月12日头部MRI
在第2家医院继续腰大池持续引流治疗1个月期间,曾多次查头部CT:2015年10月21日(图-15),2015年10月26日(图-16),2015年11月13日(图-17)均示脑室扩张反而越来越重。

图-15:2015年10月21日头部CT

图-16:2015年10月26日头部CT

图-17:2015年11月13日头部CT
第3家医院治疗31天
在第2家医院77天后即2015年11月20日,因患者意识呈昏睡状态,右侧肢体活动变更差,考虑结核可能更大,故转至第3家北京解放军某医院的结核科,入院时查PPD试验阳性,头部MRI示脑室扩张(图-18),给予异烟肼、利福平、乙胺丁醇,吡秦酰胺四联抗结核治疗,同时给予激素、营养支持治疗。

图-18:2015年11月20日头部MRI
第3家医院结核科治疗10天后即2015年11月30日,因脑室扩张加重,转至该院的神经外院,考虑双侧脑室不通,转入神外第2天即2015年12月2日接受了双侧脑室腹腔分流术及小脑病变活检术,术后当天查头部CT示双侧脑室分流术后状态(图-19)。

图-19:2015年12月2日头部CT
术后小脑病变病理示小脑组织内淋巴细胞浸润,见大量凝固性坏死,抗酸染色查到少量阳性菌,结核可能性大,继续给予异烟肼、利福平、乙胺丁醇,吡秦酰胺四联抗结核治疗,同时给予激素、营养支持治疗。
第3家医院治疗20天后即2015年12月10日,查头部CT示脑室仍有扩张(图-20)。

图-20:2015年12月10日头部CT
第4家医院治疗5个半月
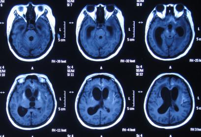
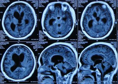
第3家医院治疗31天后即2015年12月21日,医生认为脑积水“已解决”,但仍右侧肢体活动差,建议出院,因此,患者转回第4家当地的四川省绵阳市某医院进行康复治疗。转院次日2015年12月22日,查头部MRI脑室扩张(图-21),继续抗痨、抗感染、激素、脱水等相关治疗。

图-21:2015年12月22日头部MRI
在第4家医院治疗5个半月内,患者头部仍脑积水(图-22、图-23、图-24)。

图-22:2015年12月25日头部CT

图-23:2016年2月15日头部MRI

图-24:2016年5月8日头部MRI
在外院先后经4家治疗9月余后即2016年6月3日,且还出现了吞咽困难,不能经口进食只能鼻饲流食,恶心呕吐,反应慢。医生告知家属治疗困难且预后差,让其有个“心理准备”,但家属不愿放弃坚持继续治疗,一位医生建议到北京的李小勇脑脊液中心。
二、李小勇脑脊液中心治疗过程和结果
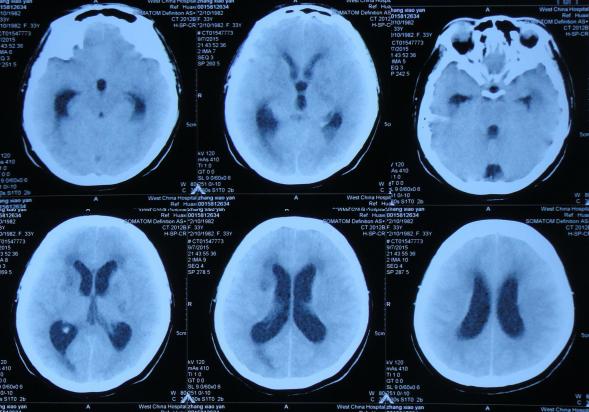
2016年6月3日住入李小勇脑脊液中心,入院时:卧床,反应慢,表情淡漠,言语迟钝(问答无反应),吞咽困难,只能鼻饲流食,头部有多处手术疤痕,右下肢自主活动差,但刺激后能动(图-25);入院第2天即2016年6月5日,头部CT示脑积水,脑室粘连,脑萎缩(图-26)。

图-25:2016年6月3日入院时

图-26:2016年6月5日头部CT入院时
入院后4天即2016年6月7日,进行了脑室腹腔分流管取出术+脑室腹腔分流泵取出术+脑室外引流术+脑室腹壁外引流术+透明隔造瘘术,术后当天查头部CT示脑室引流术后(图-27)。

图-27:2016年6月7日术后头部CT
入院治疗2个月时间内,虽脑室缩小,但仍有结核性脑脓肿(图-28、图-29),且病情持续加重致昏睡,不能遵嘱活动,不能言语。

图-28:2016年6月12日

图-29:2016年6月22日
入院2个月后即2016年8月3日,病情有好转:恶心呕吐基本消失,肢体能遵嘱活动,且反应变快(图-30)。

图-30:2016年8月3日
入院治疗111天后即2016年9月22日,病情进一步有好转:遵嘱和自主活动反应变快,但言语交流问答差(图-31)。

图-31:2016年9月22日遵嘱和自主活动反应变快
入院治疗115天后即2016年9月26日,病情又有好转:肢体反应基本正常,能够言语交流说话(图-32)。

图-32:2016年9月26日能够言语交流说话
入院治疗近6个月后即2016年11月29日,经口进食变基本正常,能在搀扶下行走,能用筷子夹花生豆但手部力量弱(图-33)。

图-33:2016年11月29日
入院治疗11个月后即2017年5月8日,接受了脑室腹腔分流术,术后恢复良好,切口愈合良好(图-34)。

图-34:脑室腹腔分流术后第1天
2017年5月30日(外院先后经成都北京4家医院9月余治疗后病情仍持续加重,终在李小勇脑脊液科康复出院)。出院时:神志清楚,饮食基本正常,言语交流基本正常,但走路需搀扶,出院时头部CT示未见明显异常(图-35)。

图-35:2017年5月30日出院时头部CT
三、出院后随访
出院后2年余即2019年7月4日来院复查,复查时:精神状态良好,肢体活动走路基本正常,但仍遗留近期记忆稍差,家属对李小勇脑脊液科团队表示感谢,让他们三口之家又重获幸福生活(图-36)。

图-36:2017年7月4日
(完)