这是严肃的科普文章,请阅读者保持纯洁的视角。
医院里经常可以遇到一些人,他们会刻意将异物插入肛门。塞进的异物则五花八门,从按摩器、手机、棒球,到茄子、萝卜、灯泡、筷子,还有黄鳝,泥鳅,蛇这些东西,不一而足。这些人以男性多见,也有女性。
据美国卫生和公共服务部(U.S.Department of Health and Human Services)统计,每年,平均有5739名美国人在肛门内发现异物后住院治疗。
在这些直肠的“外来物体”中,每年平均有19种是动物,主要包括鱼类、蛇类和老鼠等小型啮动物。
根据文献统计,肛门异物发病率,没有种族差异。因此,虽然我国没有权威地统计数据,但是,从美国的统计数据来推断,我国,每年起码有两万多人会因为在肛门内发现异物而住院。
肛门塞异物,是很危险的行为,轻者可能造成直肠粘膜受伤出血,肛门出血裂伤,肛门*禁失**,严重则会刺穿直肠引发腹膜炎,危及生命安全。
肛门塞异物患者通常分为*慰自**或自虐两种心态,*慰自**者很多都是潜在或隐性同性恋,最常见的就是塞长型瓜类,由于患者外部已不觉刺激,愈塞愈进去,一旦塞进肛门,肛门有括约肌,而且至乙状结肠处有弯曲而不易取出,往往会造成肠梗阻而危及生命。这些异物经常需要手术取出。
下面我们来看看常见的这些直肠异物。为了保护病人的隐私,X光片已经经过技术处理,看不出任何病人的信息。

这是一个啤酒瓶。男性。
上面是一个啤酒瓶在大肠里。病人是男性。这是常见的肛门内异物。
这种情况,往往只要给病人打上全身麻醉,肛门松弛后,就可以用卵圆钳经过肛门把啤酒瓶拉出来。

大肠里的擀面杖。男性
这是做饺子皮用的擀面杖。对,全部塞进去了。你知道怎么看男女吗?看骨盆的角度。
取出的方法如同上面。

这个是什么瓶子?
这也是一个玻璃瓶。也需要麻醉下取出来。

塞进直肠的灯泡。这个是女性病人。
塞进直肠的灯泡。
灯泡大头先塞进去,自己根本就取不出来。
别说把灯泡塞到肛门里去,就是塞到嘴巴里,没有医生帮助,自己也取不出来!亲,千万别尝试把灯泡塞到嘴巴里啊。

也是一个白炽灯灯泡,是小头先塞进去。看出来男女了吗?
这也是一个白炽灯灯泡,是小头先塞进去老外灯泡的说明书上,有不要把灯泡塞进嘴巴的说明,说塞进去自己取不出来。
类似的还有圆形的球类的异物。

这是一个直径8厘米的玻璃圆球。
直肠里塞了灯泡或者圆球,是肛门*慰自**人群的常见意外。
要取出灯泡,需要肛门充分松驰,才能取出来。可以在肛门处打局麻,但是效果不好,不够松,可以打腰麻或者硬麻,当然,最好是全麻,就可以有满意的肛门松驰。
其次,就是选用合适工具。
大家知道,胎儿够嫰吧,需要用产钳拽出来的时候,也不会拽坏,因为它受力均匀。

上面图片是产钳,从直肠里把直径8厘米的圆球拽出来。
产钳原来的用法是助产。
只要产钳能够夹住灯泡或者圆球,把肛门扩大,可以轻松把灯泡拽出来。不用担心灯泡会碎了。当然,为了保险起见,可以在直肠与肛门处打 润滑油如石蜡油,有润滑后,会更容易拽出来。
这样做,就不用开膛剖肚取异物了。毕竟,开腹手术创伤太大了。
产钳*法大**,历经多次取灯泡了。可惜当年我们没有拍照手机或者相机,所以没有留下照片。
同样的道理,产钳可以把大部分直肠异物给拽出来。
如今提倡男女平权,产钳也不能只给女生用啊。

12个熟鸡蛋。
直肠和乙状结肠里面,塞满了12个去掉鸡蛋壳的熟鸡蛋。这个取出来比较容易。

玻璃大瓶子
这是一个玻璃大瓶子。塞得相当深了,只有切开肚子取出来啦。

可怜的眼镜。
这玩意大家认识吧,这个东西塞进去,还真不多的。是不是主人想要大肠做文艺青年呢?

诺基亚3310手机
这是诺基亚3310手机,给这个手机打电话,还能够震动呢。现在的孩子可能已经不知道这个手机了。主人把它塞进去,主要是想利用它的震动功能。

杯子。
这个还是比较常见的,认得出来吗?

男性病人,也是个杯子。
这个也是一个玻璃杯。

高脚酒杯
这个是一个高脚酒杯。

谁认得出这个是什么?
这是什么呢?好像里面还有电池。所以啊,淘宝上买的工具,还是要合理使用啊。

六神花露水瓶子。
这是最常见的花露水瓶子。

这么大爷能塞进去。
速溶咖啡的罐子。

来电池了。
一节一号电池。

像什么?
你们看看这是什么?

芝麻开门
塞了钥匙进去,难道是要叫肛门芝麻开门?

这个是什么
这个是什么,我忘记了,你们认认看?

像不像陀螺?
这是一个专门用于肛门*慰自**的*用品性**—肛塞。主人把它塞得太里面了。

透视下从肛门里夹取直肠里的东西

马桶刷在直肠里。

直肠和乙状结肠里有一只手。
这只手实在太大了,已经把肠子撑破了,只好开腹取出来。

开腹取出来后,发现是一只塑料手。

洗澡用的莲蓬头
上面是洗澡用的莲蓬头,因为有钩,只好开刀取出来。

上面是手术取出来的莲蓬头。
上面这些肛门内异物,大多是物体,相对来说好处理。
但是,下面的就麻烦了。

一只松鼠在直肠里。

病人和他的这只出现在直肠里的松鼠在病人来医院一周前的合照。
松鼠把他的直肠抓破了,最后松鼠死在他的直肠里,医生只好给他开刀取出来了。
在我国,最常见的,出现在直肠里的动物是黄鳝或者泥鳅。出事情最多的是黄鳝。

上面是前几年一名患者大肠里的黄鳝。
这条黄鳝还是雌性的黄鳝,你知道我怎么看出来的吗?
上面的病人,男,56岁,结婚很多年了,有个儿子。在人前,夫妻俩恩爱无比,一家三口其乐融融。可是,只有他自己知道的痛苦是:他是一个男同,不但是男同,还是男同里的受者。
一开始他用过茄子,花露水瓶子等一些固体物体塞肛门,倒也相安无事。有一天,他突发奇想,抓住一条黄鳝的尾巴,让黄鳝头钻到菊花里去,由于黄鳝会挣扎,有动感,有很滑,他竟然有了前所未有的快感。从此,他一发不可收拾,常常用黄鳝塞菊花。
这样做了一个月后,他又一次菊花塞黄鳝,手抓不住,竟然让黄鳝钻进了肛门里面。这黄鳝,泥土里面没洞都能够给你钻出一个洞来,进了肛门,就死命往里面钻。有人说,黄鳝为什么不想转身退出来?它也没有那个智商啊。
大肠里都是毒气和大便,不是黄鳝能够生存的地方。这黄鳝受了刺激就垂死挣扎,死命乱钻。
他那时候是痛的死去活来。《西游记》看过吧,孙悟空在铁扇公主肚子里捣乱,就是那种痛法。
这个时候,他应该马上去医院,黄鳝虽然会乱钻,但是肠道毕竟是有弹性的,钻破肠管的可能性还是不大的。黄鳝很快就会死掉。如果这个时候去了医院,医生可以给他在麻醉下,撑开菊花,用钳子钳住并拉出黄鳝。那一般也没什么事情了。
可他觉得难为情啊,不敢去医院。其实,是他多想了,一般来说,医生肯定会为他保守秘密的。
黄鳝折腾了一会儿,不动了,死了。这个时候,他肚子也不痛了。他觉得事情过去了,就盼望着自己能够通过大便把黄鳝拉出来。
第一天,他拉不出大便,肚子隐隐痛,他继续上班。
第二天,他拉不出大便,肚子很痛,还是没去医院。
第三天,他拉不出大便,剧烈腹痛。去了一个小医院,告诉医生,自己经常便秘,希望开点通便的药物,医生给他开了。
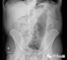
第4天,他拉不出大便。剧烈呕吐,剧烈腹痛。实在熬不住了,就去了一个大医院,但是,他隐瞒了自己把黄鳝塞进菊花的病史。
医生给他检查的时候,发现已经有腹膜炎症状,怀疑肠梗阻,拍了个片子,就是上面那个片子:一条大黄鳝在肚子里。
考虑到他已经有腹膜炎的症状,说明肠子已经有个地方破了。只能动手术了。
把肚子打开后,发现大肠破了个洞,黄鳝的头,就在那个洞里。他肚子里都是大便。他的肠子水肿很厉害。黄鳝堵住了大肠,肠梗阻,导致大肠坏死穿孔了。
这种情况下,就是把大肠的洞补起来,洞也长不好。只能造瘘了。也就是在破了个洞的地方把大肠割断,肚皮上挖个洞,大肠拖到肚皮外面,以后的大便从肚皮上排出来。等肚子里炎症消退后,再把大肠放回肚子里接回去。这样他要动2次手术。
就这样,他死里逃生了。


上面是近年医院里的一个病人,也是乙状结肠新鲜穿孔。医生给他开腹手术,从腹腔里取出来的5条泥鳅和一条黄鳝。
该病人提供的病史,是自己把活泥鳅和黄鳝生吞下去所导致。其实,医生一看泥鳅和黄鳝的颜色以及肠穿孔的部位,就知道怎么回事了。
我之所以要连续提出两例被塞入肛门内的黄鳝病例,就是要提醒大家,把黄鳝塞入肛门内,真的会要命的。
你还别说,我国每年有很多人因为把黄鳝塞入肛门而不得不来医院开刀,因为黄鳝会把肠子钻破的。
很多人会说,他在池塘游泳被黄鳝钻进去了……
其实,医生也懂是怎么回事,但是会被记者写成报道……
为了给这些病人完成病历书写又充分照顾他们的面子,我曾经教一位肛门异物的病人这么说:“我便秘了,感觉大便卡在肛门里,要用东西挖,就用玻璃瓶去捅,结果……”只要把异物的名字改一改,各种肛门内异物便可通用。
一般情况下,这些肛门异物的病人,来到医院后,医生都会给他上麻醉。把病人麻醉后,在透视下从肛门里夹取直肠里的东西。
一般情况下,用产钳可以取出大部分直肠异物。
如果从肛门里取不出,那就要开膛破肚了。
有时候,病人因为害羞而不肯来医院,耽误了时间后,会造成肠梗阻肠坏死,那肯定要开膛破肚手术啦。
几年前,“一位男子被人迷晕后肛门被塞入玻璃杯。”的视频在一些电视台*放播**,此事也很快成为各大网站头条。很多人呼吁警方介入。经过这些媒体报道,病人隐私被大家所知道,病人一定很尴尬和痛苦。
每年,都有大量男性肛门*慰自**的人把奇怪的东西塞到肛门里,拿不出来,发现太迟的时候,开膛破肚去取出来,创伤很大,可以说半条命都没有了。这种因为害羞而延误的现象,是值得警惕的。
我不歧视这一类肛门*慰自**的人,他们自己有他们的性癖好,让他们戒掉这种癖好,和让普通男人戒掉和女人啪啪是一样的不可能。每个人都有权利让自己安全地获得快乐。唯一的可行方法就是教他们安全地*慰自**。
安全的唯一办法,就是做好把手,保证每次拿得出。(比如黄鳝尾巴上穿一条铁丝把手之类。)淘宝网上也有一些工具可以买来用,相对比较安全。
万一把东西塞进肛门去却拿不出,千万要第一时间去医院求助医生。不及时去医院,堵在大肠的异物会导致肠梗阻,会导致大肠坏死。大肠坏死后再动手术,会要人命的,即使手术能够成功,也要接受2次手术,戴3到6个月的人工肛门袋,多伤人啊。
去医院看病者,不要害羞,要告诉医生实话,请相信医生一定会为病人保守秘密。
肛门*慰自**的人群比例其实挺高,我国的人口众多,绝对人数是个大数字。我写这一类的肛门异物让医生知道有这么一回事,怎么去取出来,让*慰自**者知道如何才能安全*慰自**,这是本文的目的。