宫颈癌是HPV感染的偶然事件,却具有必然性!HPV感染有很大的危险发展为癌前病变及宫颈癌;E6E7是发生子SIL及子宫颈癌的必要条件(除少数外);被视为CINII+及子宫颈癌的强预测因子。 HPV病毒以及感染特点如下
☛ HPV特性
- 45nm~55nm,环状双链DNA病毒,安全套并不安全!
- 在自然界中稳定性好,寒冷的条件下能独立存活数个月,警惕HPV间接传播途径。
- 依靠宿主细胞进行复制转录翻译。
- 不存在于血液、唾液。
☛ HPV 进入体内的方式


☛ HPV病毒侵染宿主细胞的过程(约84天)

☛ HPV感染是宫颈的一次“感冒”!
HPV在人群中的感染率为10~15%。在女性一生中的感染率为60~70%。90%的Hr HPV可在2年内通过自身免疫机制清除。1%左右最终发展为HSIL/ICC。

☛ HPV感染致宫颈癌的模式图(传统)


☛ HPV感染的自然过程:

与年龄、全身及阴道免疫、阴道微生态环境、怀孕次数、避孕药、吸烟酗酒等不良生活方式有关。
☛ HPV持续性感染的常见原因

阴道微生态
女性生殖道感染和性传播感染是全球性的重大社会及公共卫生问题,已引起全社会的广泛关注。

☛ 女性阴道防御系统

☛ 阴道黏膜

☛ 乳杆菌作用机制
- 乳酸维持酸性环境
- 形成保护性菌膜,防止入侵微生物定植
- 杀灭致病菌:H2O2杀灭入侵的致病菌
阴道微生态平衡的核心:维持乳酸菌的优势地位!
☛ 微生态正常

☛ 各类阴道炎的发病机理及共性问题

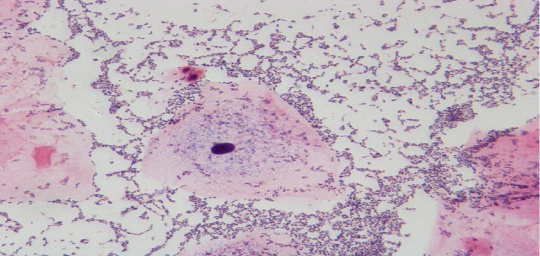
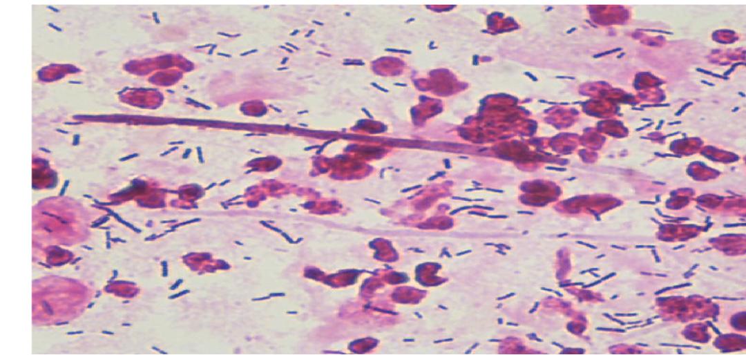
☛ 阴道微生态环境的评价 ——形态学检测:革兰染色镜检
菌群的密集度:标本中细菌分布、排列的密集程度, 即每克或每毫升标本中的菌落数。
分级标准(放大倍10×100观察每视野平均细菌数):
I级 (记为“+”)1个~9个;
II级 (记为“++”) 10个~99个;
III级 (记为“+++”)100个以上;
IV级 (记为“+ +++”)细菌聚集成团 。
菌群的多样性:菌群中细菌种类的多少。
分级标准:
I级 (记为“+”)能辨别1~3种细菌;
II级 (记为“++”)能辨别4~6种细菌;
III级 (记为“+++”)能辨别7~10种细菌;
IV级 (记为“++++”)能辨别11种以上细菌。
优势菌

病原微生物:真菌、滴虫
☛ 阴道分泌物功能学检测指标

☛ 阴道微生态评价报告

宫颈阴道部与阴道微环境密切相关。正常育龄期女性阴道内优势菌群为乳杆菌,各种菌群处于动态平衡。当这种平衡被打破,乳杆菌被致病菌取代,即发生各种阴道炎,如AV、BV、CV、TV、VVC。
阴道炎(ABCTV)
AV:需氧菌性阴道炎——乳杆菌减少,需氧菌增多
BV:细菌性阴道病——乳杆菌减少,厌氧菌繁殖
CV:细胞溶解性阴道病——乳杆菌过度增生,pH下降
TV:滴虫阴道炎——滴虫感染
VVC:外阴阴道假丝酵母菌病——念珠菌感染
☛ 阴道微生态评价与下生殖道炎症诊断

阴道微生态与HPV感染


结果:HPV阳性组阴道加德纳菌和加氏乳杆菌检出率高于HPV阴性组。
01
细菌性阴道病( BV )

☛ BV与CIN
2012年Gillet等的一项Meta分析 329篇文章, 17 个横断面研究,2个发病率研究,结果认为BV与CIN之间有着相关性(OR 1.51,95%CI 1.24~1.83)。研究结果显示BV与CIN级别无关,但CIN组BV的检出率与对照组差异有统计学意义(P<0.05),提示BV与CIN有关,支持BV是CIN的危险因素的观点。
Gillet E, Meys JF, Verstraelen H,et al, Association between bacterial vaginosis and cervical intraepithelial neoplasia: systematic review and meta-analysis, PLoS One. 2012;7(10):e45201
☛ BV与HPV感染
BV与高危型HPV清除延迟相关

☛ BV与HPV
Gillet等的一项Meta分析证实:6372例女性,BV阳性率30%。BV与宫颈HPV感染有相关性OR 1.43(95%CI:1.11-1.84)。分析原因,可能为:
- 在正常的阴道菌群中,乳酸杆菌产生的过氧化氢可以起到防御致病菌作用,而在BV患者中,乳杆菌的减少厌氧菌的大量增加是造成其他病原微生物感染的危险因素;
- BV阴道分泌物中黏蛋白降解酶增加,通过毒力破坏黏膜屏障,提高HPV等的易感性;
- BV时亚硝胺聚集诱导上皮细胞转化,协助其他致癌因素的作用如HPV感染发挥作用。
Gillet E1, Meys JF, Verstraelen H,et al. Bacterial vaginosis is associated with uterine cervical human papillomavirus infection: a meta-analysis, BMC Infect Dis. 2011 Jan 11;11:10
02
外阴阴道假丝酵母菌病( VVC )

☛ VVC与HPV
韦敏等通过对1000例门诊就诊女性进行检查,将阴道微生态结果与HPV感染之间进行相关性分析,通过单 因素分析发现,乳酸杆菌缺乏、细菌性阴道病及支原体感染是 HPV 感染的危险因素,而多因素统计分析,只有细菌性阴道病是 HPV 感染的独立的危险因素。结果提示:VVC与HPV感染之间无相关性。
杨瑾等通过对2960例女性相关检查结果进行分析研究,结果显示:HRHPV阳性组VVC检出率高于阴性组,进行1年随访后发现,合并VVC的HR-HPV感染转阴率低于未合并VVC者,提示VVC与HR HPV持续感染具有相关性。
由此可见,目前对于VVC与HPV感染之间的相关性 尚未明确 。
韦敏,黄宁,林晓琰,等,南宁市妇女人乳头瘤病毒感染及阴道微生态状况的流行病学调查.中国微生态学杂志,2015,27(6):722-725.
杨瑾,陈洪波,李柱南,等.下生殖道感染与子宫颈高危型HPV感染及转归的相关性.中华妇产科杂志,2014,49(3):222-223
☛ VVC与CIN
Engberts等对VVC与CIN的相关性进行横断面研究,共纳入445671例女性,进行细胞学筛查与阴道微生态检查,结果显示:在细胞学正常组与异常组比较,VVC的检出率无明显差异,提示VVC与细胞学改变无相关性,也间接提示VVC可能与CIN不相关。
Vieria-Baptista等的研究也显示,VVC在细胞学≤LSIL组和>LSIL组的检出率分别为34%和35.5%,两者比较,差异无统计学意义。提示:VVC与CIN不相关。
目前研究结果提示,VVC与CIN之间 无相关性 。
Engberts MK,Vermeulen CF,Verbruggen BS,et al.Candida and squamous neoplasia of immigrants and Dutch women as established in population-based cervical screening.Int J Gynecol Cancer,2006,16(4):1596-1600.
Vieria-Baptista P,Lima-silva J,Pinto C,et al.Bacterial vagionsis,aerobic vaginitis,vaginal inflammation and major Pap smear abnormalities.Eur J Clin Microbiol ifect Dis.2016,35(4):657-664.
03
滴虫阴道炎( TV )

☛ TV与HPV
既往曾认为为TV为宫颈癌的病因。
Depuydt等对62994例女性进行TV与HPV感染之间的相关性研究,结果显示:HPV阳性组及阴性组的TV检查率分别为0.61%及0.33%,差异有统计学意义。因此认为,TV与HPV感染之间具有相关性。
杨瑾等研究显示,HR HPV阳性及阴性组Tv检出率分别为8.7%及6.86%,差异无统计学意义。该研究认为:TV与HPV感染之间无相关性。
目前,TV与HPV之间的相关性 尚存在争议 。
Depuydt CE,Leuridan E,Van Damme P,et al.Epidemiology of Trichomonas and human papillomavirus infection detected by real-time PCR in flanders.Gynecol Obstet Invest ,2010,70(4):273-280.
杨瑾,陈洪波,李柱南,等.下生殖道感染与子宫颈高危型HPV感染及转归的相关性.中华妇产科杂志,2014,49(3):222-223.
☛ TV与CIN
Donders等对63251例女性进行宫颈癌筛查,结果提示:TV与HPV感染相关,但并不是高级别CIN的病因。因此认为,TV与CIN不相关。
李长东等通过横断面研究对6339例女性进行CIN危险因素分析,结果显示:CIN发生率为5.9%,除HR HPV感染外,TV病史也是CIN发生的危险因素。
目前,TV与CIN之间的相关性 也存在争议 。
Dondors GG,Depuydt CE, Bogers JP,et al.Association of Trichomonas vaginitis and cytological abnormalities of the cervix in low risk women.Plos One ,2013,8(12).
李长东,张为远,等.2007-2008年北京地区25-54岁已婚妇女子宫颈上皮内瘤变的高危因素分析.中华妇产科杂志,2010,45(10):757-761.
☛ TV与HPV、CIN可能的机制
TV可能使子宫颈上皮变性坏死,引起子宫颈上皮的屏障作用破坏,引发免疫反应,释放炎症因子,易于其他病原微生物繁殖,从而协同HPV的持续感染,最终促进宫颈病变的发生。
04
需氧菌性阴道炎(AV)
需氧菌性阴道炎是由阴道乳杆菌减少,需氧菌增多引起的阴道炎症。2002年Donders正式提出了AV的诊断标准,并对AV特征进行描述:大量黄色、非鱼腥味的臭味分泌物、外阴瘙痒、*交性**不适、阴道黏膜充血,严重者有散在出血点或溃疡等。
☛ AV与HPV、CIN
Vieira Baptista 对622名女性进行横断面研究,结果显示:中、重度AV的检出率在>LSIL者中较正常者高,提示AV可能与细胞学异常相关,但并未发现AV与HPV感染之间的相关性。
苑晓微等总结了3064 患者资料,其中 HPV 阳性者 1614 例, HPV 检测阴性者 1450 。结果显示:HPV 检测阳性者细菌性阴道病( BV) 感染者占比 6. 57% ( 106 /1614) ,需氧菌性阴道炎( AV) 感染者占比 18. 34% ( 296 /1614) ,HPV 检测阴性者 BV 感染者占比 3. 45% ( 50 /1450) ,AV 感染 者占比 6. 69% ( 97 /1450) ,两组差异具有统计学意义( P < 0. 05) ,提示 HPV 感染增加了 AV、BV 的感染率。
Vieria-Baptista P,Lima-silva J,Pinto C,et al.Bacterial vagionsis,aerobic vaginitis,vaginal inflammation and major Pap smear abnormalities.Eur J Clin Microbiol ifect Dis.2016,35(4):657-664.
苑晓微,张雯, 何平 等,人乳头状瘤病毒感染与阴道微生态环境之间的关系研究.中国性科学, 2019 ,vol(28) :102-105.
综上所述,BV、AV与HPV感染、CIN、宫颈癌之间具有一定的相关性;TV、VVC与HPV感染、CIN、宫颈癌之间的相关性不确定。
05
乳酸杆菌与HPV、CIN
Korshunov等通过对39例HPV阳性CIN患者阴道分泌物情况进行分析,发现宫颈癌前病变的发生与阴道内乳酸杆菌的减少密切相关。
Dols等通过检测感染HIV与BV患者阴道中的高危型HPV以及乳酸杆菌情况,发现在有HIV与HPV感染的人群各种阴道乳酸杆菌均有显著减少,在HPV感染女性中普遍存在卷曲乳酸杆菌的显著减少。
乳酸杆菌有类似质粒的功能,可以整合HPVl6病毒,从而防止病毒与宿主细胞整合。Aires等发现,乳酸杆菌可以很好地表达HPVl6的病毒颗粒。
那么,究竟阴道内哪种乳酸杆菌具有强大的整合HPV病毒的功能,需要进一步研究筛选。
因此,HPV与阴道微生态失调的相关机制也仍需进一步探讨。HPV检测为阳性时,要重视阴道微生态的检测,尤其是HPV16、18型感染时重视HPV感染时AV、BV及混合性阴道炎的诊治
总结
1.阴道微生态失调与HPV感染相关
2.阴道微生态失调与HPV感染持续状态相关
3.阴道微生态失调与宫颈病变(CIN、宫颈)相关
4.重视阴道微生态的重建,重视增强全身免疫功能的提升,重视性伴的管理。
本文版权归原作者所有,转载是传递更多信息之目的,如有侵权,请联系删除。