患者女 ,70岁,北京房山人。
一、李小勇脑脊液科入院前病史
患者因间断性头晕、行走不稳,伴双上肢放射痛,麻木,于2020年4月11日入住北京某三级医院的中医骨伤科,当日查颈椎CT示椎管狭窄性颈椎病(图-1)。

图-1: 2020年4月11日颈椎CT
入院后第二天2020年4月12日查颈椎MR示颈椎病(脊髓型)( 图-2 )。

图-2: 2020年4月12日颈椎MR
2020年4月22日即入院后第11天,行前路颈5-6椎间盘切除椎间植骨融合内固定术。术后患者双上肢放射痛及麻木感较前缓解,头晕改善,但仍遗留右手第1-4指麻木,而且双腿略感无力,如期拆线出院回家。
2020年5月10日(即第一次颈椎术后18天)患者洗脸时再次突发头晕,表现为天旋地转,恶心,呕吐视物旋转,行走不稳,经休息症状不缓解,再次就诊入院。查头颅MR显示急性小脑梗塞( 图-3 ),给予改善微循环、降血脂、控制血压及对症治疗后患者头晕好转出院,但行走时仍有摇晃感。

图-3: 2020年5月10日头颅MR
2020年7月14日(即第一次颈椎病术后83天)患者又出现头晕加重,尤以低头扭头时明显(注:患者未按照医嘱佩戴颈托),而且双上肢放射痛,麻木再次出现,双下肢无力,行走不稳,门诊复查头颅MR示小脑陈旧性梗塞( 图-4 )。

图-4: 2020年7月14日头颅MR
经休息和口服药物对症治疗后,症状未减轻,反而逐渐加重,并出现胸部,腹部感觉麻木。于是2020年7月31日(即第一次颈椎病术后100天)再次入院治疗。
2020年8月1日(即第一次颈椎病术后第101天)患者复查颈椎MR示颈椎病,椎管狭窄,颈髓受压( 图-5 )。

图-5: 2020年8月1日颈椎MR
2020年8月4日(即第一次行前路颈5-6椎间盘切除椎间植骨融合内固定术后第114天),再次行颈椎前路颈5、颈6锥体次全切、人工锥体钛板螺钉内固定术,2020年8月5日(即第二次颈椎病术后第1天)复查颈椎平片及颈椎CT示椎管狭窄解除,人工椎体位置良好( 图-6、图-7 )。

图-6: 2020年8月5日颈椎平片

图-7: 2020年8月5日颈椎CT
但2020年8月12日22:30(即第二次颈椎病术后第7天)患者突发高热达39.0℃,随后血压持续下降,收缩压低至90mmHg以下,急给予补液升压降温等治疗。次日(即2020年8月13日)凌晨1:59测血压为85/40mmHg,于2020年8月13日(即第二次颈椎病术后第8天)凌晨2:43急转入综合ICU治疗,诊断考虑为感染性休克,给予拔除中心静脉导管并留取血培养,同时给予盐酸万古霉素(1g,q12h)和美罗培南(1g,q8h)抗感染及补液升压治疗后,患者体温和血压逐渐恢复至正常。
2020年8月13日(即第二次颈椎病术后第8天)患者开始出现颈部肿胀,床旁B超检查发现颈部切口深部积液,超声引导下穿刺抽出约87ml淡黄色透明液体,同时积液送细菌培养。2020年8月14日(即第二次颈椎病术后第9天)再次在床旁B超引导下穿刺抽液,抽出约90ml淡黄色透明液体,并加压包扎。复查颈部MR示术区皮下大量包裹性积液,考虑脑脊液漏( 图-8 )。

图-8: 2020年8月14日颈部MR
于2020年08月17日(即第二次颈椎病术后第12天)转回中医骨伤科继续治疗,患者伤口开始出现漏液,给予每日换药并加压包扎。之前送检的血培养回报为肺炎克雷伯杆菌亚种感染,给予调整抗生素为美罗培南1g,1次/8小时,阿米卡星0.6g,1次/日抗感染治疗。2020年08月19日(即第二次颈椎病术后第14天)中心静脉导管头细菌培养结果示鲍曼/醋酸不动杆菌。
但2020年8月25日(即第二次颈椎病术后第17天)患者颈部肿胀较前更加明显,而且加压包扎效果也不好,再次在B超引导下抽液,抽出135ml无色透明脑脊液。患者右下肢肿胀,查双下肢血管彩超示右下肢深静脉及肌间静脉血栓。
于是2020年08月27日(即第二次颈椎病术后第19天)请介入科行下腔静脉滤器植入术,另外又在全麻下行颈椎术原切口脑脊液漏窦道探查修补术;术后当日颈部切口引流出约100ml淡红色液体。
2020年8月28日(即颈椎脑脊液漏修补术后第1天)术区仍引流出约80ml淡红色液体,给予颈部加压包扎,红光照射等治疗,效果均不理想。患者再次出现发热,最高达38.8℃,给予对症治疗后体温渐降至正常。
2020年8月29日(即颈椎脑脊液漏修补术后第2天即第二次颈椎病术后第21天),术区引流出约20ml淡红色液体。2020年8月30日(即颈椎脑脊液漏修补术后第3天即第二次颈椎病术后第22天),术区未引流出任何液体。2020年8月31日(即颈椎脑脊液漏修补术后第4天即第二次颈椎病术后第23天),因无引流液流出,拔除颈部术区引流管(注:医生以为治愈,但仍有积液)。但拔除引流管后,颈部仍有触压波动感,并且之后切口仍有渗液,此时转入更专业的李小勇脑脊液科治疗。
二、李小勇脑脊液科治疗过程和结果
2020年9月1日(即颈椎脑脊液漏修补术后第5天即第二次颈椎病术后第24天)住入脑脊液科治疗。入院时:可见颈部一长约15cm手术切口,缝线未拆,周围肿胀,挤压可见渗液,皮缘浸泡泛白( 图-9 )。

图-9: 2020年9月1日
2020年9月2日(入脑脊液科次日,即颈椎脑脊液漏修补术后第6天,即第二次颈椎病术后第25天)复查颈部MR示术区皮下深部仍有包裹性积液( 图-10 )。

图-10: 2020年9月2日颈部MR
于2020年9月3日(入脑脊液科第3天,即颈椎脑脊液漏修补术后第7天即第二次颈椎病术后第25天)行脑室外引流术。术后复查头颅CT:引流管位置良好( 图-11 )。

图-11: 2020年9月3日头颅CT
2020年9月8日(入脑脊液科第8天,即脑室外引流术后第5天,颈椎脑脊液漏修补术后第12天,即第二次颈椎病术后第25天)患者颈部肿胀完全缓解,切口周缘变干燥,漏液消失,全部拆线( 图-12 )。

图-12: 2020年9月8日
2020年9月14日(入脑脊液科第14天,即脑室外引流术后第11天,即颈椎脑脊液漏修补术后第18天,即第二次颈椎病术后第31天)复查颈部MR示皮下积液已基本消失( 图-13 )。

图-13: 2020年9月14日
2020年9月21日(入脑脊液科第21天,即脑室外引流术后第18天,颈椎脑脊液漏修补术后第25天,即第二次颈椎病术后第38天)患者颈部伤口逐渐愈合良好( 图-14 )。

图-14: 2020年9月21日
2020年9月26日(入脑脊液科第26天,即脑室外引流术后第23天,即颈椎脑脊液漏修补术后第30天,即第二次颈椎病术后第43天),夹闭引流管后无伤口脑脊液漏,复查头颅CT示脑室无扩张积水( 图-15 )。

图-15: 2020年9月26日头颅CT
2020年9月28日(入脑脊液科第28天,即脑室外引流术后第25天,即颈椎脑脊液漏修补术后第32天,即第二次颈椎病术后第45天)复查颈部MR:术区皮下积液消失( 图-16 ),于是当日拔除脑室引流管。

图-16: 2020年9月28日颈部MR
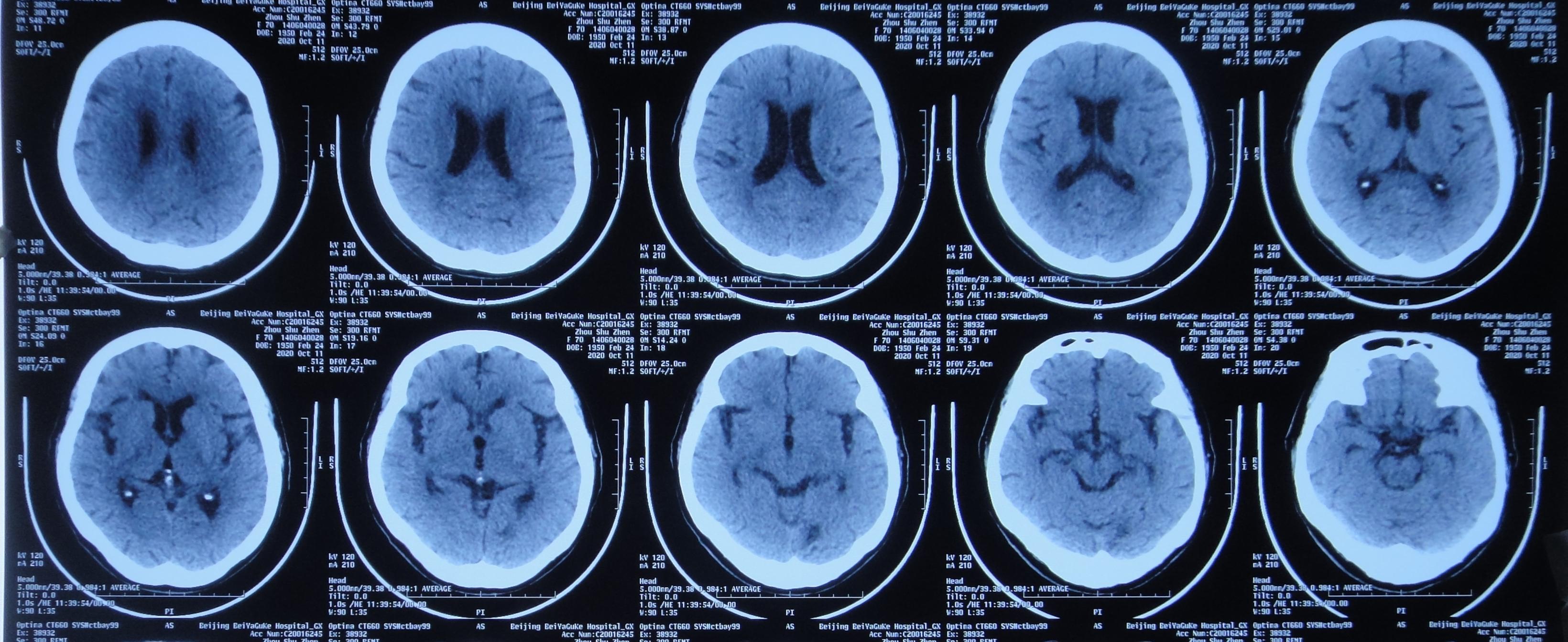
2020年10月11日(入脑脊液科第41天,拔除脑室引流管后第14天,即第二次颈椎病术后第59天)颈部伤口愈合良好,复查头颅CT:未见异常( 图-17 ),于是转回中医骨伤科继续康复锻炼及治疗。

图-17: 2020年10月11日头颅CT
2020年10月20日(入脑脊液科第50天,拔除脑室引流管后第23天,即第二次颈椎病术后第68天)患者颈部伤口愈合良好,但仍有头晕无法独立下地行走,好转出院( 图-18 )。

图-18: 2020年10月20日
三、出院后随访
出院后近5月即2021年3月17日,来院复查:已基本可以独立行走,但仍间断轻度头晕( 图-19 )。

图-19: 2021年3月17日
(完)